JavaScript is disabled in your browser. Please enable JavaScript to view this website.
AB281924

Anti-Fibrinogen gamma chain antibody [EP24539-127]

  • BOND RX™ Validated
  • 20ul selling size
  • RabMAb
  • Recombinant
  • What is this?

Be the first to review this product! Submit a review

|

(5 Publications)

Anti-Fibrinogen gamma chain antibody [EP24539-127] (ab281924) is a rabbit monoclonal antibody detecting Fibrinogen gamma chain in Western Blot, IP, IHC-P, ICC/IF. Suitable for Human, Mouse, Rat.

- Biophysical QC for unrivalled batch-batch consistency

View Alternative Names

PRO2061, FGG, Fibrinogen gamma chain

9 Images
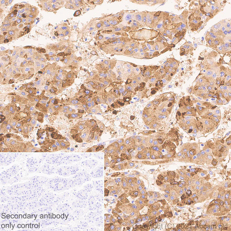
Immunohistochemistry (Formalin/PFA-fixed paraffin-embedded sections) - Anti-Fibrinogen gamma chain antibody [EP24539-127] (AB281924)
  • IHC-P

Supplier Data

Immunohistochemistry (Formalin/PFA-fixed paraffin-embedded sections) - Anti-Fibrinogen gamma chain antibody [EP24539-127] (AB281924)

Immunohistochemical analysis of paraffin-embedded Human pancreas tissue labelling Fibrinogen gamma chain with ab281924 at 1/4000 (0.135 ug/ml) dilution followed by a ready to use LeicaDS9800 (Bond™ Polymer Refine Detection). Positive staining in the blood plasma and stroma of human pancreas (PMID : 16510577). The section was incubated with ab281924 for 30 mins at room temperature. The immunostaining was performed on a Leica Biosystems BOND® RX instrument Counterstained with Hematoxylin.

Secondary antibody only control : Secondary antibody is a ready to use LeicaDS9800 (Bond™ Polymer Refine Detection).

Heat mediated antigen retrieval with Tris-EDTA buffer (pH 9.0, epitope retrieval solution2) for 20 mins.

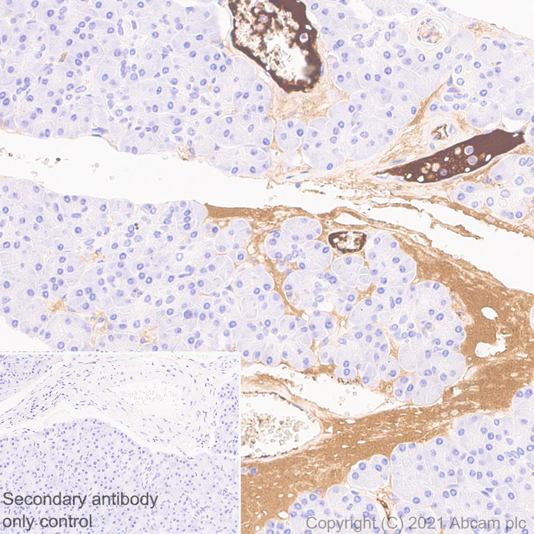
Immunohistochemistry (Formalin/PFA-fixed paraffin-embedded sections) - Anti-Fibrinogen gamma chain antibody [EP24539-127] (AB281924)
  • IHC-P

Supplier Data

Immunohistochemistry (Formalin/PFA-fixed paraffin-embedded sections) - Anti-Fibrinogen gamma chain antibody [EP24539-127] (AB281924)

Immunohistochemical analysis of paraffin-embedded Human hepatocellular carcinoma tissue labelling Fibrinogen gamma chain with ab281924 at 1/4000 (0.135 ug/ml) dilution followed by a ready to use LeicaDS9800 (Bond™ Polymer Refine Detection). Positive staining on human hepatocellular carcinoma (PMID : 30863175). The section was incubated with ab281924 for 30 mins at room temperature.The immunostaining was performed on a Leica Biosystems BOND® RX instrument Counterstained with Hematoxylin.

Secondary antibody only control : Secondary antibody is a ready to use LeicaDS9800 (Bond™ Polymer Refine Detection).

Heat mediated antigen retrieval with Tris-EDTA buffer (pH 9.0, epitope retrieval solution2) for 20 mins.

Immunocytochemistry/ Immunofluorescence - Anti-Fibrinogen gamma chain antibody [EP24539-127] (AB281924)
  • ICC/IF

Supplier Data

Immunocytochemistry/ Immunofluorescence - Anti-Fibrinogen gamma chain antibody [EP24539-127] (AB281924)

Immunofluorescent analysis of 100% methanol-fixed, 0.1% TritonX-100 permeabilized HepG2 cells labelling Fibrinogen gamma chain with ab281924 at 1/100 (5.38 ug/ml) dilution, followed by ab150077 Goat Anti-Rabbit IgG H&L (Alexa Fluor® 488) antibody at 1/1000 dilution (Green) Confocal image showing cytoplasmic staining in HepG2 cells is observed. ab195889 Anti-alpha Tubulin mouse monoclonal antibody - Microtubule Marker (Alexa Fluor® 594) was used to counterstain tubulin at 1/200 dilution (Red). The Nuclear counterstain was DAPI (Blue). Secondary antibody only control : Secondary antibody is ab150077 Goat Anti-Rabbit IgG H&L (Alexa Fluor® 488) at 1/1000 dilution.

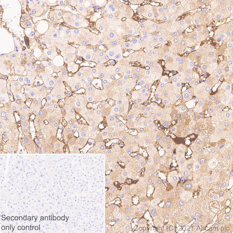
Immunohistochemistry (Formalin/PFA-fixed paraffin-embedded sections) - Anti-Fibrinogen gamma chain antibody [EP24539-127] (AB281924)
  • IHC-P

Supplier Data

Immunohistochemistry (Formalin/PFA-fixed paraffin-embedded sections) - Anti-Fibrinogen gamma chain antibody [EP24539-127] (AB281924)

Immunohistochemical analysis of paraffin-embedded Human liver tissue labelling Fibrinogen gamma chain with ab281924 at 1/4000 (0.135 ug/ml) dilution followed by a ready to use LeicaDS9800 (Bond™ Polymer Refine Detection). Positive staining on human liver (PMID : 24648543). The section was incubated with ab281924 for 30 mins at room temperature. The immunostaining was performed on a Leica Biosystems BOND® RX instrument Counterstained with Hematoxylin.

Secondary antibody only control : Secondary antibody is a ready to use LeicaDS9800 (Bond™ Polymer Refine Detection).

Heat mediated antigen retrieval with Tris-EDTA buffer (pH 9.0, epitope retrieval solution2) for 20 mins.

Immunoprecipitation - Anti-Fibrinogen gamma chain antibody [EP24539-127] (AB281924)
  • IP

Supplier Data

Immunoprecipitation - Anti-Fibrinogen gamma chain antibody [EP24539-127] (AB281924)

Fibrinogen gamma chain was immunoprecipitated from 0.35 mg HepG2 (human hepatocellular carcinoma epithelial cell) whole cell lysate 10 ug with ab281924 at 1/30 dilution (2ug in 0.35mg lysates). Western blot was performed on the immunoprecipitate using ab281924 at 1/1000 dilution. VeriBlot for IP secondary antibody (HRP) (ab131366) was used at 1/5000 dilution.

Lane 1 : HepG2 (human hepatocellular carcinoma epithelial cell) whole cell lysate 10 ug.

Lane 2 : ab281924 IP in HepG2 whole cell lysate.

Lane 3 : Rabbit monoclonal IgG (ab172730) instead of ab281924 in HepG2 whole cell lysate.

Blocking and dilution buffer and concentration : 5% NFDM/TBST.

Exposure time : 3 seconds.

All lanes:

Immunoprecipitation - Anti-Fibrinogen gamma chain antibody [EP24539-127] (ab281924)

Predicted band size: 52 kDa

Observed band size: 50 kDa

false

Immunoprecipitation - Anti-Fibrinogen gamma chain antibody [EP24539-127] (AB281924)
  • IP

Supplier Data

Immunoprecipitation - Anti-Fibrinogen gamma chain antibody [EP24539-127] (AB281924)

Fibrinogen gamma chain was immunoprecipitated from 0.35 mg Mouse plasma lysate 10 ug with ab281924 at 1/30 dilution (2ug in 0.35mg lysates). Western blot was performed on the immunoprecipitate using ab281924 at 1/1000 dilution. VeriBlot for IP secondary antibody (HRP) (ab131366) was used at 1/5000 dilution.

Lane 1 : Mouse plasma lysate 10 ug.

Lane 2 : ab281924 IP in Mouse plasma lysate.

Lane 3 : Rabbit monoclonal IgG (ab172730) instead of ab281924 in mouse plasma lysate.

Blocking and dilution buffer and concentration : 5% NFDM/TBST.

Exposure time : 3 seconds.

All lanes:

Immunoprecipitation - Anti-Fibrinogen gamma chain antibody [EP24539-127] (ab281924)

Predicted band size: 52 kDa

Observed band size: 50 kDa

false

Western blot - Anti-Fibrinogen gamma chain antibody [EP24539-127] (AB281924)
  • WB

Lab

Western blot - Anti-Fibrinogen gamma chain antibody [EP24539-127] (AB281924)

Blocking and diluting buffer and concentration : 5% NFDM/TBST

Exposure time : Lanes 1 : 1 seconds.

Lane 2 : 26 seconds.

All lanes:

Western blot - Anti-Fibrinogen gamma chain antibody [EP24539-127] (ab281924) at 1/1000 dilution

Lane 1:

Human liver lysate at 10 µg

Lane 2:

Mouse liver lysate at 10 µg

Secondary

All lanes:

Goat Anti-Rabbit IgG (HRP) with minimal cross-reactivity with human IgG at 1/1000 dilution

Predicted band size: 52 kDa

Observed band size: 100 kDa,50 kDa

false

Western blot - Anti-Fibrinogen gamma chain antibody [EP24539-127] (AB281924)
  • WB

Lab

Western blot - Anti-Fibrinogen gamma chain antibody [EP24539-127] (AB281924)

Blocking and diluting buffer and concentration : 5% NFDM/TBST

Low expression : A549/DU145 (PMID : 17949478).

All lanes:

Western blot - Anti-Fibrinogen gamma chain antibody [EP24539-127] (ab281924) at 1/1000 dilution

Lane 1:

HepG2 (human hepatocellular carcinoma epithelial cell), whole cell lysate at 10 µg

Lane 2:

A549 (human lung carcinoma epithelial cell), whole cell lysate at 10 µg

Lane 3:

DU145 (human prostate carcinoma epithelial cell), whole cell lysate at 10 µg

Secondary

All lanes:

Western blot - Goat Anti-Rabbit IgG H&L (HRP) (<a href='/en-us/products/secondary-antibodies/goat-rabbit-igg-h-l-hrp-ab97051'>ab97051</a>) at 1/50000 dilution

Predicted band size: 52 kDa

Observed band size: 50 kDa

false

Exposure time: 26s

Western blot - Anti-Fibrinogen gamma chain antibody [EP24539-127] (AB281924)
  • WB

Lab

Western blot - Anti-Fibrinogen gamma chain antibody [EP24539-127] (AB281924)

Blocking and diluting buffer and concentration : 5% NFDM/TBST

The expression profile/ molecular weight observed is consistent with what has been described in the literature (PMID : 21480334).

Exposure time : Lanes 1-5 : 10 seconds

Lane 6 : 37 seconds.

All lanes:

Western blot - Anti-Fibrinogen gamma chain antibody [EP24539-127] (ab281924) at 1/5000 dilution

Lane 1:

Human plasma lysate at 10 µg

Lane 2:

Human plasma lysate treated with PNGase F whole cell lysate at 10 µg

Lane 3:

Mouse plasma lysate at 10 µg

Lane 4:

Mouse plasma lysate treated with PNGase F whole cell lysate at 10 µg

Lane 5:

Rat plasma lysate at 10 µg

Lane 6:

Rat liver lysate at 10 µg

Secondary

All lanes:

Goat Anti-Rabbit IgG (HRP) with minimal cross-reactivity with human IgG at 1/20000 dilution

Predicted band size: 52 kDa

Observed band size: 100 kDa,50 kDa

false

  • Carrier free

    Anti-Fibrinogen gamma chain antibody [EP24539-127] - BSA and Azide free

Key facts

Host species

Rabbit

Clonality

Monoclonal

Clone number

EP24539-127

Isotype

IgG

Carrier free

No

Reacts with

Mouse, Rat, Human

Applications

IP, IHC-P, WB, ICC/IF

applications

Immunogen

The exact immunogen used to generate this antibody is proprietary information.

Reactivity data

{ "title": "Reactivity Data", "filters": { "stats": ["", "Species", "Dilution Info", "Notes"], "tabs": { "all-applications": {"fullname" : "All Applications", "shortname": "All Applications"}, "ICCIF" : {"fullname" : "Immunocytochemistry/ Immunofluorescence", "shortname":"ICC/IF"}, "IP" : {"fullname" : "Immunoprecipitation", "shortname":"IP"}, "FlowCyt" : {"fullname" : "Flow Cytometry", "shortname":"Flow Cyt"}, "WB" : {"fullname" : "Western blot", "shortname":"WB"}, "IHCP" : {"fullname" : "Immunohistochemistry (Formalin/PFA-fixed paraffin-embedded sections)", "shortname":"IHC-P"} }, "product-promise": { "all": "all", "testedAndGuaranteed": "tested", "guaranteed": "expected", "predicted": "predicted", "notRecommended": "not-recommended" } }, "values": { "Human": { "ICCIF-species-checked": "testedAndGuaranteed", "ICCIF-species-dilution-info": "1/100", "ICCIF-species-notes": "<p></p>", "IP-species-checked": "testedAndGuaranteed", "IP-species-dilution-info": "1/30", "IP-species-notes": "<p></p>", "FlowCyt-species-checked": "notRecommended", "FlowCyt-species-dilution-info": "", "FlowCyt-species-notes": "<p></p>", "WB-species-checked": "testedAndGuaranteed", "WB-species-dilution-info": "1/1000", "WB-species-notes": "<p></p>", "IHCP-species-checked": "testedAndGuaranteed", "IHCP-species-dilution-info": "1/4000", "IHCP-species-notes": "<p></p>" }, "Mouse": { "ICCIF-species-checked": "notRecommended", "ICCIF-species-dilution-info": "1/100", "ICCIF-species-notes": "<p></p>", "IP-species-checked": "testedAndGuaranteed", "IP-species-dilution-info": "1/30", "IP-species-notes": "<p></p>", "FlowCyt-species-checked": "notRecommended", "FlowCyt-species-dilution-info": "", "FlowCyt-species-notes": "<p></p>", "WB-species-checked": "testedAndGuaranteed", "WB-species-dilution-info": "1/1000", "WB-species-notes": "<p></p>", "IHCP-species-checked": "notRecommended", "IHCP-species-dilution-info": "1/4000", "IHCP-species-notes": "<p></p>" }, "Rat": { "ICCIF-species-checked": "guaranteed", "ICCIF-species-dilution-info": "", "ICCIF-species-notes": "", "IP-species-checked": "guaranteed", "IP-species-dilution-info": "", "IP-species-notes": "", "FlowCyt-species-checked": "notRecommended", "FlowCyt-species-dilution-info": "", "FlowCyt-species-notes": "<p></p>", "WB-species-checked": "testedAndGuaranteed", "WB-species-dilution-info": "1/1000", "WB-species-notes": "<p></p>", "IHCP-species-checked": "notRecommended", "IHCP-species-dilution-info": "1/4000", "IHCP-species-notes": "<p></p>" } } }

Product details

What is this antibody validated in?
Anti-Fibrinogen gamma chain antibody [EP24539-127] (ab281924) is a rabbit recombinant monoclonal antibody and is validated for use in Western Blot (WB), Immunoprecipitation (IP), Immunohistochemistry (IHC-P), Immunocytochemistry/immunofluorescence (ICC/IF) in Human, Mouse, Rat samples.

What is the molecular weight of Fibrinogen gamma chain?
Anti-Fibrinogen gamma chain [EP24539-127] (ab281924) specifically detects a band for Fibrinogen gamma chain (UniProt: P02679) at a molecular weight of 52kDa.

Trial sizes available!
Test your antibody or perform pre-screening before committing to a larger quantity. Sold in 10µl. Discover our selection of trial-size antibodies.

Other related products
We have a range of other formats of antibody clone [EP24539-127] also available for your convenience: ab281924, Carrier free - ab281944

Patented technology
Our RabMAb® technology is a patented hybridoma-based technology for making rabbit monoclonal antibodies. For details on our patents, please refer to RabMAb® patents.

What are the advantages of a recombinant monoclonal antibody?
This product is a recombinant monoclonal antibody, which offers several advantages including:

  • - High batch-to-batch consistency and reproducibility
  • - Improved sensitivity and specificity
  • - Long-term security of supply
  • - Animal-free batch production

For more information, read more on recombinant antibodies.

Properties and storage information

Form
Liquid
Purification technique
Affinity purification Protein A
Storage buffer
pH: 7.2 - 7.4 Preservative: 0.01% Sodium azide Constituents: PBS, 40% Glycerol (glycerin, glycerine), 0.05% BSA
Shipped at conditions
Blue Ice
Appropriate short-term storage duration
1-2 weeks
Appropriate short-term storage conditions
+4°C
Appropriate long-term storage conditions
-20°C
Aliquoting information
Upon delivery aliquot
Storage information
Avoid freeze / thaw cycle

Product protocols

For this product, it's our understanding that no specific protocols are required. You can visit:

Target data

Together with fibrinogen alpha (FGA) and fibrinogen beta (FGB), polymerizes to form an insoluble fibrin matrix. Has a major function in hemostasis as one of the primary components of blood clots. In addition, functions during the early stages of wound repair to stabilize the lesion and guide cell migration during re-epithelialization. Was originally thought to be essential for platelet aggregation, based on in vitro studies using anticoagulated blood. However, subsequent studies have shown that it is not absolutely required for thrombus formation in vivo. Enhances expression of SELP in activated platelets via an ITGB3-dependent pathway. Maternal fibrinogen is essential for successful pregnancy. Fibrin deposition is also associated with infection, where it protects against IFNG-mediated hemorrhage. May also facilitate the antibacterial immune response via both innate and T-cell mediated pathways.
See full target information FGG

Publications (5)

Recent publications for all applications. Explore the full list and refine your search

Molecular medicine reports 32: PubMed40539438

2025

circRNA hsa_circ_0072107 aggravates myocardial hypertrophy via its function as a competitive endogenous RNA of miR‑516b‑5p.

Applications

Unspecified application

Species

Unspecified reactive species

Rui Wang,Yongli He,Wuxia Ma,Jindong Xu,Qi Zhong,Cheng Huang

Chinese medicine 19:137 PubMed39369234

2024

Proteomic analysis and experimental validation reveal the blood-brain barrier protective of Huanshaodan in the treatment of SAMP8 mouse model of Alzheimer's disease.

Applications

Unspecified application

Species

Unspecified reactive species

Yunfang Su,Ningning Liu,Pan Wang,Congcong Shang,Ruiqin Sun,Jinlian Ma,Zhonghua Li,Huifen Ma,Yiran Sun,Zijuan Zhang,Junying Song,Zhishen Xie,Jiangyan Xu,Zhenqiang Zhang

Acta biochimica et biophysica Sinica 56:645-656 PubMed38529553

2024

Huperzine A ameliorates neurological deficits after spontaneous subarachnoid hemorrhage through endothelial cell pyroptosis inhibition.

Applications

Unspecified application

Species

Unspecified reactive species

Qiang Hu,Rong Zhang,Xiaoqiao Dong,Dingbo Yang,Wenhua Yu,Quan Du

American journal of cancer research 12:5552-5563 PubMed36628278

2022

Claudin 19 inhibits the malignant potential of breast cancer cells by modulating extracellular matrix-associated UBE2C/Wnt signaling.

Applications

Unspecified application

Species

Unspecified reactive species

Jingxiu Xu,Mingjie Chen,Mingyu Hu,Hanlu Wang,Zhongqiang Zuo,Jianguo Wang,Zhiyin Xie

Frontiers in physiology 12:731234 PubMed34531764

2021

Revealing the Angiopathy of Lacrimal Gland Lesion in Type 2 Diabetes.

Applications

Unspecified application

Species

Unspecified reactive species

Junfa Xue,Bin Zhang,Shengqian Dou,Qingjun Zhou,Min Ding,Mingming Zhou,Huifeng Wang,Yanling Dong,Dongfang Li,Lixin Xie
View all publications

Product promise

We are committed to supporting your work with high-quality reagents, and we're here for you every step of the way. In the unlikely event that one of our products does not perform as expected, you're protected by our Product Promise.
For full details, please see our Terms & Conditions

Please note: All products are 'FOR RESEARCH USE ONLY. NOT FOR USE IN DIAGNOSTIC OR THERAPEUTIC PROCEDURES'.

For licensing inquiries, please contact partnerships@abcam.com