JavaScript is disabled in your browser. Please enable JavaScript to view this website.
AB271976

Anti-Fibroblast activation protein, alpha antibody [EPR20021] - BSA and Azide free

2

(1 Review)

|

(0 Publication)

Anti-Fibroblast activation protein, alpha antibody [EPR20021] - BSA and Azide free (ab271976) is a rabbit recombinant monoclonal antibody provided in a PBS only buffer for easy conjugation. Suitable for Western Blot, IHC-P in Human.

- BSA, sodium azide, and glycerol-free for easy conjugation
- Biophysical QC for unrivalled batch-batch consistency

View Alternative Names

Prolyl endopeptidase FAP, 170 kDa melanoma membrane-bound gelatinase, Dipeptidyl peptidase FAP, Fibroblast activation protein alpha, Gelatine degradation protease FAP, Integral membrane serine protease, Post-proline cleaving enzyme, Serine integral membrane protease, Surface-expressed protease, FAPalpha, SIMP, Seprase, FAP

12 Images
Immunohistochemistry (Formalin/PFA-fixed paraffin-embedded sections) - Anti-Fibroblast activation protein, alpha antibody [EPR20021] - BSA and Azide free (AB271976)
  • IHC-P

Lab

Immunohistochemistry (Formalin/PFA-fixed paraffin-embedded sections) - Anti-Fibroblast activation protein, alpha antibody [EPR20021] - BSA and Azide free (AB271976)

This data was developed using the same antibody clone in a different buffer formulation (ab207178).

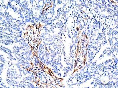
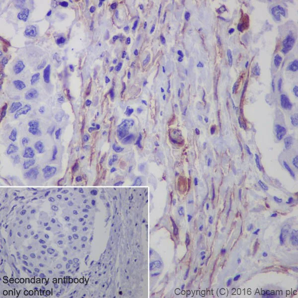
Immunohistochemical analysis of formalin fixed paraffin embedded human colon carcinoma labelling Fibroblast activation protein, alpha with ab207178 at a concentration of 3 µg/ml. The immunostaining was performed on a Ventana DISCOVERY ULTRA (Roche Tissue Diagnostics) instrument with an OptiView DAB IHC Detection Kit. Heat mediated antigen retrieval was conducted for 32 mins at 100°C with ULTRA cell conditioning solution (CC1, pH 8.5). ab207178 anti- Fibroblast activation protein, alpha [EPR20021] was incubated at 37°C for 16 mins. Sections were counterstained with Hematoxylin II. Image inset shows absence of staining in secondary antibody only control.

Immunohistochemistry (Formalin/PFA-fixed paraffin-embedded sections) - Anti-Fibroblast activation protein, alpha antibody [EPR20021] - BSA and Azide free (AB271976)
  • IHC-P

AbReview62299****

Immunohistochemistry (Formalin/PFA-fixed paraffin-embedded sections) - Anti-Fibroblast activation protein, alpha antibody [EPR20021] - BSA and Azide free (AB271976)

Formalin-fixed, paraffin-embedded human colon cancer tissue labeling Fibroblast activation protein, alpha using ab207178 at 1/100 dilution in immunohistochemical analysis. Heat mediated antigen retieval using Citrate, pH 6.0.

This data was developed using the same antibody clone in a different buffer formulation containing PBS, BSA, glycerol, and sodium azide (ab207178).

Courtesy of an anonymous abreview

Immunohistochemistry (Formalin/PFA-fixed paraffin-embedded sections) - Anti-Fibroblast activation protein, alpha antibody [EPR20021] - BSA and Azide free (AB271976)
  • IHC-P

Lab

Immunohistochemistry (Formalin/PFA-fixed paraffin-embedded sections) - Anti-Fibroblast activation protein, alpha antibody [EPR20021] - BSA and Azide free (AB271976)

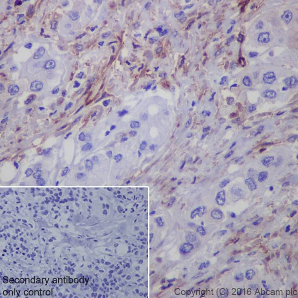
This data was developed using the same antibody clone in a different buffer formulation containing PBS, BSA, glycerol, and sodium azide (ab207178). Immunohistochemical analysis of paraffin-embedded Human stomach cancer tissue labeling Fibroblast activation protein, alpha with ab207178 at 1/1000 (0.718 ug/ml) followed by a ready to use LeicaDS9800 (Bond™ Polymer Refine Detection). Positive staining on stromal fibroblast cells of human stomach cancer. The section was incubated with ab207178 for 30 mins at room temperature. The immunostaining was performed on a Leica Biosystems BOND® RX instrument. Counterstained with Hematoxylin. Secondary antibody only control : Secondary antibody is a ready to use LeicaDS9800 (Bond™ Polymer Refine Detection) Heat mediated antigen retrieval was performed with Tris-EDTA buffer (pH 9.0, Epitope Retrieval Solution2) for 20 mins.

Immunohistochemistry (Formalin/PFA-fixed paraffin-embedded sections) - Anti-Fibroblast activation protein, alpha antibody [EPR20021] - BSA and Azide free (AB271976)
  • IHC-P

Supplier Data

Immunohistochemistry (Formalin/PFA-fixed paraffin-embedded sections) - Anti-Fibroblast activation protein, alpha antibody [EPR20021] - BSA and Azide free (AB271976)

Immunohistochemical analysis of paraffin-embedded human pancreas tissue labeling Fibroblast activation protein, alpha with ab207178 at 1/250 dilution, followed by Goat Anti-Rabbit IgG H&L (HRP) (ab97051) at 1/500 dilution.

Negative control : no staining on human pancreas [PMID : 22371645].

Counter stained with Hematoxylin.

Perform heat mediated antigen retrieval with Tris/EDTA buffer pH 9.0 before commencing with IHC staining protocol.

This data was developed using the same antibody clone in a different buffer formulation containing PBS, BSA, glycerol, and sodium azide (ab207178).

Immunohistochemistry (Formalin/PFA-fixed paraffin-embedded sections) - Anti-Fibroblast activation protein, alpha antibody [EPR20021] - BSA and Azide free (AB271976)
  • IHC-P

Supplier Data

Immunohistochemistry (Formalin/PFA-fixed paraffin-embedded sections) - Anti-Fibroblast activation protein, alpha antibody [EPR20021] - BSA and Azide free (AB271976)

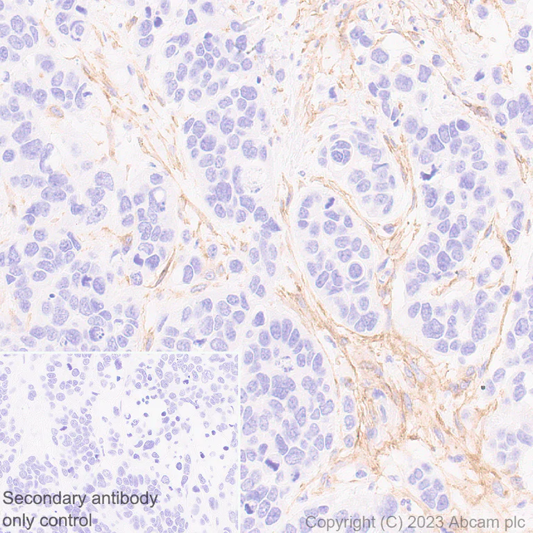
Immunohistochemical analysis of paraffin-embedded human breast cancer tissue labeling Fibroblast activation protein, alpha with ab207178 at 1/250 dilution, followed by Goat Anti-Rabbit IgG H&L (HRP) (ab97051) at 1/500 dilution. Cell surface staining on stromal cells of human breast cancer is observed [PMID : 18628473].

Counter stained with Hematoxylin.

Secondary antibody only control : Used PBS instead of primary antibody, secondary antibody is Goat Anti-Rabbit IgG H&L (HRP) (ab97051) at 1/500 dilution.

Perform heat mediated antigen retrieval with Tris/EDTA buffer pH 9.0 before commencing with IHC staining protocol.

This data was developed using the same antibody clone in a different buffer formulation containing PBS, BSA, glycerol, and sodium azide (ab207178).

Immunohistochemistry (Formalin/PFA-fixed paraffin-embedded sections) - Anti-Fibroblast activation protein, alpha antibody [EPR20021] - BSA and Azide free (AB271976)
  • IHC-P

Supplier Data

Immunohistochemistry (Formalin/PFA-fixed paraffin-embedded sections) - Anti-Fibroblast activation protein, alpha antibody [EPR20021] - BSA and Azide free (AB271976)

This data was developed using the same antibody clone in a different buffer formulation containing PBS, BSA, glycerol, and sodium azide (ab207178). Immunohistochemical analysis of paraffin-embedded Human sciatic nerve tissue labeling Fibroblast activation protein, alpha with ab207178 at 1/1000 (0.718 ug/ml) followed by a ready to use LeicaDS9800 (Bond™ Polymer Refine Detection). Negative control : no staining on human sciatic nerve. The section was incubated with ab207178 for 30 mins at room temperature. The immunostaining was performed on a Leica Biosystems BOND® RX instrument. Counterstained with Hematoxylin. Secondary antibody only control : Secondary antibody is a ready to use LeicaDS9800 (Bond™ Polymer Refine Detection) Heat mediated antigen retrieval was performed with Tris-EDTA buffer (pH 9.0, Epitope Retrieval Solution2) for 20 mins.

Immunohistochemistry (Formalin/PFA-fixed paraffin-embedded sections) - Anti-Fibroblast activation protein, alpha antibody [EPR20021] - BSA and Azide free (AB271976)
  • IHC-P

Supplier Data

Immunohistochemistry (Formalin/PFA-fixed paraffin-embedded sections) - Anti-Fibroblast activation protein, alpha antibody [EPR20021] - BSA and Azide free (AB271976)

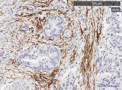
Immunohistochemical analysis of paraffin-embedded human pancreatic cancer tissue labeling Fibroblast activation protein, alpha with ab207178 at 1/250 dilution, followed by Goat Anti-Rabbit IgG H&L (HRP) (ab97051) at 1/500 dilution. Cell surface staining on stromal cells of human pancreas cancer is observed [PMID : 2371645].

Counter stained with Hematoxylin.

Secondary antibody only control : Used PBS instead of primary antibody, secondary antibody is Goat Anti-Rabbit IgG H&L (HRP) (ab97051) at 1/500 dilution.

Perform heat mediated antigen retrieval with Tris/EDTA buffer pH 9.0 before commencing with IHC staining protocol.

This data was developed using the same antibody clone in a different buffer formulation containing PBS, BSA, glycerol, and sodium azide (ab207178).

Immunohistochemistry (Formalin/PFA-fixed paraffin-embedded sections) - Anti-Fibroblast activation protein, alpha antibody [EPR20021] - BSA and Azide free (AB271976)
  • IHC-P

Supplier Data

Immunohistochemistry (Formalin/PFA-fixed paraffin-embedded sections) - Anti-Fibroblast activation protein, alpha antibody [EPR20021] - BSA and Azide free (AB271976)

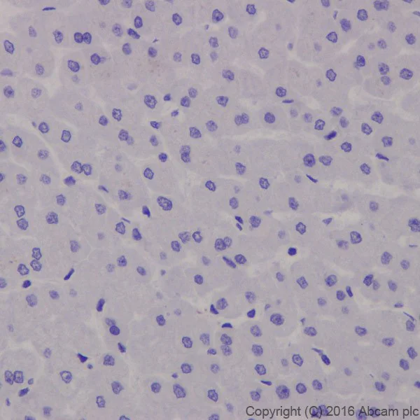
Immunohistochemical analysis of paraffin-embedded human liver tissue labeling Fibroblast activation protein, alpha with ab207178 at 1/250 dilution, followed by Goat Anti-Rabbit IgG H&L (HRP) (ab97051) at 1/500 dilution.

Negative control : no staining on human liver [PMID : 9139873].

Counter stained with Hematoxylin.

Perform heat mediated antigen retrieval with Tris/EDTA buffer pH 9.0 before commencing with IHC staining protocol.

This data was developed using the same antibody clone in a different buffer formulation containing PBS, BSA, glycerol, and sodium azide (ab207178).

Immunohistochemistry (Formalin/PFA-fixed paraffin-embedded sections) - Anti-Fibroblast activation protein, alpha antibody [EPR20021] - BSA and Azide free (AB271976)
  • IHC-P

AbReview57315****

Immunohistochemistry (Formalin/PFA-fixed paraffin-embedded sections) - Anti-Fibroblast activation protein, alpha antibody [EPR20021] - BSA and Azide free (AB271976)

Immunohistochemical analysis of formaldehyde fixed paraffin embedded human Ovarian carcinoma tissue sectioins labeling Fibroblast activation protein with ab207178 at 1/500. Biotin conjugated goat anti-rabbit IgG at 1/300 was used as the secondary antibody. Antigen retrieval was heat mediated using citric acid.

This data was developed using the same antibody clone in a different buffer formulation containing PBS, BSA, glycerol, and sodium azide (ab207178).

This image is of an Abreciew submitted byCarl Hobbs.

Immunohistochemistry (Formalin/PFA-fixed paraffin-embedded sections) - Anti-Fibroblast activation protein, alpha antibody [EPR20021] - BSA and Azide free (AB271976)
  • IHC-P

Supplier Data

Immunohistochemistry (Formalin/PFA-fixed paraffin-embedded sections) - Anti-Fibroblast activation protein, alpha antibody [EPR20021] - BSA and Azide free (AB271976)

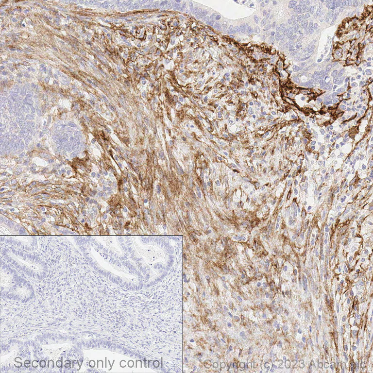
Immunohistochemical analysis of formalin fixed paraffin embedded human colon carcinoma labelling fibroblast activation protein alpha with ab271976 at a concentration of 5µg/ml. The immunostaining was performed on a Ventana DISCOVERY ULTRA (Roche Tissue Diagnostics) instrument with an OptiView DAB IHC Detection Kit. Heat mediated antigen retrieval was conducted for 32min with ULTRA cell conditioning solution (CC1 pH8.5). ab271976 anti fibroblast activation protein alpha antibody was incubated at 37oC for 16min. Sections were counterstained is with Hematoxylin II. Image inset shows absence of staining in secondary antibody only control

Western blot - Anti-Fibroblast activation protein, alpha antibody [EPR20021] - BSA and Azide free (AB271976)
  • WB

Lab

Western blot - Anti-Fibroblast activation protein, alpha antibody [EPR20021] - BSA and Azide free (AB271976)

This data was developed using ab207178, the same antibody clone in a different buffer formulation. Different batches of ab207178 were tested on IMR-90 (Human lung fibroblast cell line) lysate at 1.0 µg/ml. 15 µg of lysate was loaded in each lane. Bands observed at 95 kDa.

All lanes:

Western blot - Anti-Fibroblast activation protein, alpha antibody [EPR20021] (<a href='/en-us/products/primary-antibodies/fibroblast-activation-protein-alpha-antibody-epr20021-ab207178'>ab207178</a>)

Predicted band size: 88 kDa

Observed band size: 95 kDa

false

Western blot - Anti-Fibroblast activation protein, alpha antibody [EPR20021] - BSA and Azide free (AB271976)
  • WB

Lab

Western blot - Anti-Fibroblast activation protein, alpha antibody [EPR20021] - BSA and Azide free (AB271976)

This data was developed using ab207178, the same antibody clone in a different buffer formulation.

Western blot : Anti-Fibroblast activation protein, alpha antibody [EPR20021] ab207178 staining at 1/1000 dilution, shown in green; Mouse anti GAPDH ab8245 loading control staining at 1/20000 dilution, shown in magenta. A band was observed at 80-100 kDa. To generate this image, samples were run on an SDS-PAGE gel then transferred onto a nitrocellulose membrane. Membranes were blocked in 3pc Milk in TBS-0.1 % Tween 20 (TBS-T) before incubation with primary antibodies overnight at 4 C. Blots were washed four times in TBS-T, incubated with secondary antibodies for 1 h at room temperature, washed again four times then imaged. Secondary antibodies used were Goat anti-Rabbit 800CW and Goat anti-Mouse 680RD at 1/20,000 dilution.

All lanes:

Western blot - Anti-Fibroblast activation protein, alpha antibody [EPR20021] (<a href='/en-us/products/primary-antibodies/fibroblast-activation-protein-alpha-antibody-epr20021-ab207178'>ab207178</a>) at 1/1000 dilution

Lane 1:

Wild-type MCF7 BFA (5 g/mL, 6h) at 20 µg

Lane 2:

Wild-type MCF7 BFA (0 g/mL, 6h) at 20 µg

Lane 3:

FAP knockout MCF7 BFA (5 g/mL, 6 h) at 20 µg

Lane 4:

FAP knockout MCF7 BFA (0 g/mL, 6 h) at 20 µg

Secondary

All lanes:

Goat anti-Rabbit 800CW & Goat anti-Mouse 680RD at 1/20000 dilution

Predicted band size: 80-100 kDa

Observed band size: 80-100 kDa

false

  • Carrier free

    Anti-Fibroblast activation protein, alpha antibody [EPR20021] - Low endotoxin, Azide free

  • Unconjugated

    Anti-Fibroblast activation protein, alpha antibody [EPR20021]

Key facts

Host species

Rabbit

Clonality

Monoclonal

Clone number

EPR20021

Isotype

IgG

Carrier free

Yes

Reacts with

Human

Applications

WB, IHC-P

applications

Immunogen

The exact immunogen used to generate this antibody is proprietary information.

Specificity

Except for the 95kDa form, 100-120kDa or even higher molecular weights were also observed due to glycosylation (PMID: 24551161, PMID: 28452380).

Reactivity data

{ "title": "Reactivity Data", "filters": { "stats": ["", "Species", "Dilution Info", "Notes"], "tabs": { "all-applications": {"fullname" : "All Applications", "shortname": "All Applications"}, "WB" : {"fullname" : "Western blot", "shortname":"WB"}, "IHCP" : {"fullname" : "Immunohistochemistry (Formalin/PFA-fixed paraffin-embedded sections)", "shortname":"IHC-P"} }, "product-promise": { "all": "all", "testedAndGuaranteed": "tested", "guaranteed": "expected", "predicted": "predicted", "notRecommended": "not-recommended" } }, "values": { "Human": { "WB-species-checked": "testedAndGuaranteed", "WB-species-dilution-info": "", "WB-species-notes": "<p></p>", "IHCP-species-checked": "testedAndGuaranteed", "IHCP-species-dilution-info": "", "IHCP-species-notes": "<p></p>" } } }

Product details

What is this antibody validated in?
Anti-Fibroblast activation protein, alpha antibody [EPR20021] - BSA and Azide free (ab271976) is a rabbit recombinant monoclonal antibody and is validated for use in Western Blot (WB), Immunohistochemistry (IHC-P) in Human samples.

What is the molecular weight of Fibroblast activation protein, alpha?
Anti-Fibroblast activation protein, alpha [EPR20021] - BSA and Azide free (ab271976) specifically detects a band for Fibroblast activation protein, alpha (UniProt: Q12884) at a molecular weight of 88kDa.

Other related products
We have a range of other formats of antibody clone [EPR20021] also available for your convenience: ab207178, Carrier free - ab222924, Carrier free - ab271976, Alexa Fluor® 750 - ab322951

Patented technology
Our RabMAb® technology is a patented hybridoma-based technology for making rabbit monoclonal antibodies. For details on our patents, please refer to RabMAb® patents.

What are the advantages of a recombinant monoclonal antibody?
This product is a recombinant monoclonal antibody, which offers several advantages including:

  • - High batch-to-batch consistency and reproducibility
  • - Improved sensitivity and specificity
  • - Long-term security of supply
  • - Animal-free batch production

For more information, read more on recombinant antibodies.

Conjugation ready
Our carrier-free antibodies are typically supplied in a PBS-only formulation, purified and free of BSA, sodium azide and glycerol. This conjugation-ready format is designed for use with fluorochromes, metal isotopes, oligonucleotides, and enzymes, which makes them ideal for antibody labelling, functional and cell-based assays, flow-based assays (e.g. mass cytometry) and Multiplex Imaging applications.

Use our conjugation kits for antibody conjugates that are ready-to-use in as little as 20 minutes with 1 minute hands-on-time and 100% antibody recovery: available for fluorescent dyes, HRP, biotin and gold.

Compatibility
This product is compatible with the Maxpar® Antibody Labeling Kit from Fluidigm, without the need for antibody preparation. Maxpar® is a trademark of Fluidigm Canada Inc.

Properties and storage information

Form
Liquid
Purification technique
Affinity purification Protein A
Storage buffer
pH: 7.2 - 7.4 Constituents: PBS
Shipped at conditions
Blue Ice
Appropriate short-term storage conditions
+4°C
Appropriate long-term storage conditions
+4°C
Storage information
Do Not Freeze

Product protocols

For this product, it's our understanding that no specific protocols are required. You can visit:

Target data

Cell surface glycoprotein serine protease that participates in extracellular matrix degradation and involved in many cellular processes including tissue remodeling, fibrosis, wound healing, inflammation and tumor growth. Both plasma membrane and soluble forms exhibit post-proline cleaving endopeptidase activity, with a marked preference for Ala/Ser-Gly-Pro-Ser/Asn/Ala consensus sequences, on substrate such as alpha-2-antiplasmin SERPINF2 and SPRY2 (PubMed : 14751930, PubMed : 16223769, PubMed : 16410248, PubMed : 16480718, PubMed : 17381073, PubMed : 18095711, PubMed : 21288888, PubMed : 24371721). Degrade also gelatin, heat-denatured type I collagen, but not native collagen type I and IV, vitronectin, tenascin, laminin, fibronectin, fibrin or casein (PubMed : 10347120, PubMed : 10455171, PubMed : 12376466, PubMed : 16223769, PubMed : 16651416, PubMed : 18095711, PubMed : 2172980, PubMed : 7923219, PubMed : 9065413). Also has dipeptidyl peptidase activity, exhibiting the ability to hydrolyze the prolyl bond two residues from the N-terminus of synthetic dipeptide substrates provided that the penultimate residue is proline, with a preference for Ala-Pro, Ile-Pro, Gly-Pro, Arg-Pro and Pro-Pro (PubMed : 10347120, PubMed : 10593948, PubMed : 16175601, PubMed : 16223769, PubMed : 16410248, PubMed : 16651416, PubMed : 17381073, PubMed : 21314817, PubMed : 24371721, PubMed : 24717288). Natural neuropeptide hormones for dipeptidyl peptidase are the neuropeptide Y (NPY), peptide YY (PYY), substance P (TAC1) and brain natriuretic peptide 32 (NPPB) (PubMed : 21314817). The plasma membrane form, in association with either DPP4, PLAUR or integrins, is involved in the pericellular proteolysis of the extracellular matrix (ECM), and hence promotes cell adhesion, migration and invasion through the ECM. Plays a role in tissue remodeling during development and wound healing. Participates in the cell invasiveness towards the ECM in malignant melanoma cancers. Enhances tumor growth progression by increasing angiogenesis, collagen fiber degradation and apoptosis and by reducing antitumor response of the immune system. Promotes glioma cell invasion through the brain parenchyma by degrading the proteoglycan brevican. Acts as a tumor suppressor in melanocytic cells through regulation of cell proliferation and survival in a serine protease activity-independent manner.
See full target information FAP

Product promise

We are committed to supporting your work with high-quality reagents, and we're here for you every step of the way. In the unlikely event that one of our products does not perform as expected, you're protected by our Product Promise.
For full details, please see our Terms & Conditions

Please note: All products are 'FOR RESEARCH USE ONLY. NOT FOR USE IN DIAGNOSTIC OR THERAPEUTIC PROCEDURES'.

For licensing inquiries, please contact partnerships@abcam.com