JavaScript is disabled in your browser. Please enable JavaScript to view this website.
AB267465

Anti-Fibromodulin antibody [EPR23029-174]

Be the first to review this product! Submit a review

|

(2 Publications)

Rabbit Recombinant Monoclonal Fibromodulin antibody. Suitable for WB and reacts with Mouse, Rat, Human samples. Cited in 2 publications.

View Alternative Names

FM, SLRR2E, FMOD, Fibromodulin, Collagen-binding 59 kDa protein, Keratan sulfate proteoglycan fibromodulin, KSPG fibromodulin

3 Images
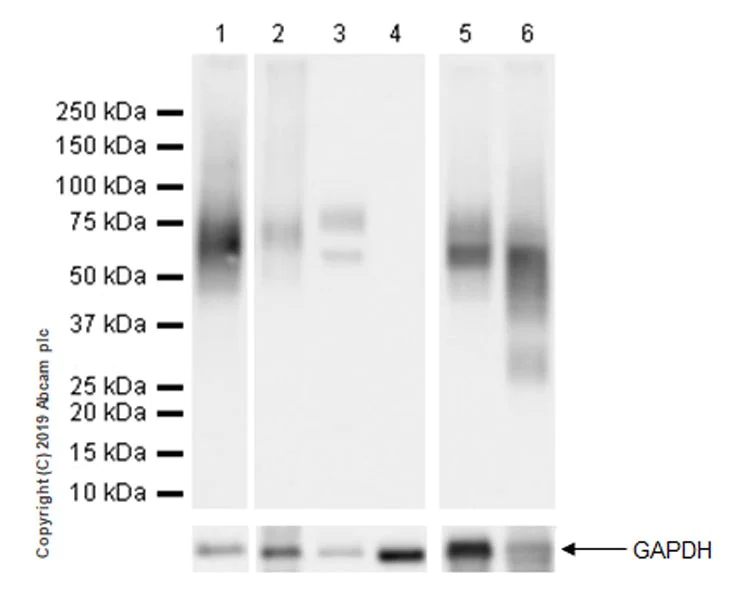
Western blot - Anti-Fibromodulin antibody [EPR23029-174] (AB267465)
  • WB

Supplier Data

Western blot - Anti-Fibromodulin antibody [EPR23029-174] (AB267465)

Blocking and diluting buffer and concentration : 5% NFDM/TBST

The expression profile/ molecular weight observed is consistent with what has been described in the literature (PMID : 12623288, 8895216)

Negative control : Hut-78 (PMID : 15741214)

Exposure time : Lane 1 second; Lanes 2-6 : 3 seconds

All lanes:

Western blot - Anti-Fibromodulin antibody [EPR23029-174] (ab267465) at 1/1000 dilution

Lane 1:

Human articular cartilage lysate at 20 µg

Lane 2:

Human uterus lysate at 20 µg

Lane 3:

Human skin lysate at 20 µg

Lane 4:

HuT-78 (human sezary syndrome cutaneous t lymphocyte) whole cell lysate at 20 µg

Lane 5:

Mouse articular cartilage lysate at 20 µg

Lane 6:

Rat articular cartilage lysate at 20 µg

Secondary

Lanes 1 - 4:

Western blot - VeriBlot for IP Detection Reagent (HRP) (<a href='/en-us/products/reagents/veriblot-for-ip-detection-reagent-hrp-ab131366'>ab131366</a>) at 1/1000 dilution

Lanes 5 - 6:

Western blot - Goat Anti-Rabbit IgG H&L (HRP) (<a href='/en-us/products/secondary-antibodies/goat-rabbit-igg-h-l-hrp-ab97051'>ab97051</a>) at 1/1000 dilution

Predicted band size: 43 kDa

Observed band size: 60-100 kDa

false

Western blot - Anti-Fibromodulin antibody [EPR23029-174] (AB267465)
  • WB

Lab

Western blot - Anti-Fibromodulin antibody [EPR23029-174] (AB267465)

Blocking and diluting buffer and concentration : 5% NFDM/TBST

The expression profile/ molecular weight observed is consistent with what has been described in the literature (PMID : 12623288, 8895216).

Two bands of 46kDa and 40kDa are de-glycosylated forms. The bands of 60-100kDa are glycosylated forms.

Exposure time : 3 minutes

All lanes:

Western blot - Anti-Fibromodulin antibody [EPR23029-174] (ab267465) at 1/1000 dilution

Lane 1:

Human uterus tissue lysate at 20 µg

Lane 2:

Human uterus tissue treated with PNGase F lysate at 20 µg

Secondary

All lanes:

Western blot - VeriBlot for IP Detection Reagent (HRP) (<a href='/en-us/products/reagents/veriblot-for-ip-detection-reagent-hrp-ab131366'>ab131366</a>) at 1/1000 dilution

Predicted band size: 43 kDa

Observed band size: 60-100 kDa

false

Western blot - Anti-Fibromodulin antibody [EPR23029-174] (AB267465)
  • WB

Lab

Western blot - Anti-Fibromodulin antibody [EPR23029-174] (AB267465)

Blocking and diluting buffer and concentration : 5% NFDM/TBST Exposure time : 114 seconds

All lanes:

Western blot - Anti-Fibromodulin antibody [EPR23029-174] (ab267465) at 1/1000 dilution

All lanes:

Recombinant Human Fibromodulin/FMOD protein (aa75-376) 20ng

Secondary

All lanes:

Western blot - Goat Anti-Rabbit IgG H&L (HRP) (<a href='/en-us/products/secondary-antibodies/goat-rabbit-igg-h-l-hrp-ab97051'>ab97051</a>) at 1/100000 dilution

Predicted band size: 43 kDa

Observed band size: 35 kDa

false

Key facts

Host species

Rabbit

Clonality

Monoclonal

Clone number

EPR23029-174

Isotype

IgG

Carrier free

No

Reacts with

Mouse, Rat, Human

Applications

WB

applications

Immunogen

The exact immunogen used to generate this antibody is proprietary information.

Reactivity data

{ "title": "Reactivity Data", "filters": { "stats": ["", "Species", "Dilution Info", "Notes"], "tabs": { "all-applications": {"fullname" : "All Applications", "shortname": "All Applications"}, "IP" : {"fullname" : "Immunoprecipitation", "shortname":"IP"}, "WB" : {"fullname" : "Western blot", "shortname":"WB"}, "IHCP" : {"fullname" : "Immunohistochemistry (Formalin/PFA-fixed paraffin-embedded sections)", "shortname":"IHC-P"} }, "product-promise": { "all": "all", "testedAndGuaranteed": "tested", "guaranteed": "expected", "predicted": "predicted", "notRecommended": "not-recommended" } }, "values": { "Human": { "IP-species-checked": "notRecommended", "IP-species-dilution-info": "", "IP-species-notes": "<p></p>", "WB-species-checked": "testedAndGuaranteed", "WB-species-dilution-info": "1/1000", "WB-species-notes": "<p></p>", "IHCP-species-checked": "notRecommended", "IHCP-species-dilution-info": "", "IHCP-species-notes": "<p></p>" }, "Mouse": { "IP-species-checked": "notRecommended", "IP-species-dilution-info": "", "IP-species-notes": "", "WB-species-checked": "testedAndGuaranteed", "WB-species-dilution-info": "1/1000", "WB-species-notes": "<p></p>", "IHCP-species-checked": "notRecommended", "IHCP-species-dilution-info": "", "IHCP-species-notes": "<p></p>" }, "Rat": { "IP-species-checked": "notRecommended", "IP-species-dilution-info": "", "IP-species-notes": "", "WB-species-checked": "testedAndGuaranteed", "WB-species-dilution-info": "1/1000", "WB-species-notes": "<p></p>", "IHCP-species-checked": "notRecommended", "IHCP-species-dilution-info": "", "IHCP-species-notes": "<p></p>" } } }

Product details

Patented technology
Our RabMAb® technology is a patented hybridoma-based technology for making rabbit monoclonal antibodies. For details on our patents, please refer to RabMAb® patents.

Properties and storage information

Form
Liquid
Purification technique
Affinity purification Protein A
Storage buffer
pH: 7.2 - 7.4 Preservative: 0.01% Sodium azide Constituents: PBS, 40% Glycerol (glycerin, glycerine), 0.05% BSA
Shipped at conditions
Blue Ice
Appropriate short-term storage duration
1-2 weeks
Appropriate short-term storage conditions
+4°C
Appropriate long-term storage conditions
-20°C
Aliquoting information
Upon delivery aliquot
Storage information
Avoid freeze / thaw cycle

Product protocols

For this product, it's our understanding that no specific protocols are required. You can visit:

Target data

Affects the rate of fibrils formation. May have a primary role in collagen fibrillogenesis (By similarity).
See full target information FMOD

Publications (2)

Recent publications for all applications. Explore the full list and refine your search

Journal of cellular physiology 239:e31404 PubMed39129212

2024

MiR-494-3p regulates skin fibroblast activities by mediating fibromodulin production.

Applications

Unspecified application

Species

Unspecified reactive species

Feng Zhao,Linshu Wang,Yuxin Zhang,Siqi Tang,Ping Ji,Xuerong Xiang,Xiaoxiao Pang

Cellular & molecular biology letters 29:2 PubMed38172726

2024

Transfer RNA-derived small RNA tRF-Glu-CTC attenuates neointimal formation via inhibition of fibromodulin.

Applications

Unspecified application

Species

Unspecified reactive species

Qi-Lan Jiang,Jia-Ying Xu,Qing-Ping Yao,Rui Jiang,Qin Xu,Bo-Tao Zhang,Tao Li,Jun Jiang
View all publications
websiteProtocolBooklet
en

Product promise

We are committed to supporting your work with high-quality reagents, and we're here for you every step of the way. In the unlikely event that one of our products does not perform as expected, you're protected by our Product Promise.
For full details, please see our Terms & Conditions

Please note: All products are 'FOR RESEARCH USE ONLY. NOT FOR USE IN DIAGNOSTIC OR THERAPEUTIC PROCEDURES'.

For licensing inquiries, please contact partnerships@abcam.com