JavaScript is disabled in your browser. Please enable JavaScript to view this website.
AB281575

Anti-Fibronectin antibody [10/Fibronectin]

  • BOND RX™ Validated
  • Recombinant
  • KO Validated
  • Lab Essentials
  • What is this?

Be the first to review this product! Submit a review

|

(1 Publication)

Mouse Recombinant Monoclonal Fibronectin antibody. Suitable for IHC-P, WB and reacts with Human samples. Cited in 1 publication.

View Alternative Names

FN, FN1, Fibronectin, Cold-insoluble globulin, CIG

7 Images
Immunohistochemistry (Formalin/PFA-fixed paraffin-embedded sections) - Anti-Fibronectin antibody [10/Fibronectin] (AB281575)
  • IHC-P

Lab

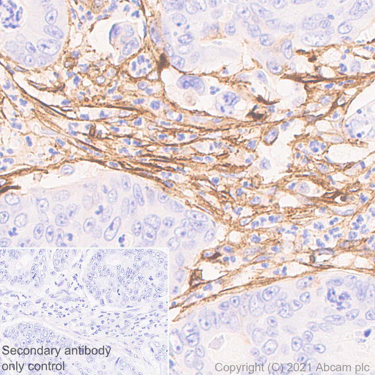
Immunohistochemistry (Formalin/PFA-fixed paraffin-embedded sections) - Anti-Fibronectin antibody [10/Fibronectin] (AB281575)

Immunohistochemical analysis of paraffin-embedded Human colon cancer tissue labeling Fibronectin with ab281575 at 1/2000 (0.551 ug/ml) dilution followed by a ready to use LeicaDS9800 (Bond® Polymer Refine Detection). Positive staining in stromal cells of human colon cancer.The section was incubated with ab281575 for 30 mins at room temperature.The immunostaining was performed on a Leica Biosystems BOND RX instrument Counterstained with Hematoxylin.

Secondary antibody only control : Secondary antibody is a ready to use LeicaDS9800 (Bond® Polymer Refine Detection) .

Heat mediated antigen retrieval with Citrate buffer (pH 6.0, epitope retrieval solution 1) for 20 mins

Immunohistochemistry (Formalin/PFA-fixed paraffin-embedded sections) - Anti-Fibronectin antibody [10/Fibronectin] (AB281575)
  • IHC-P

Lab

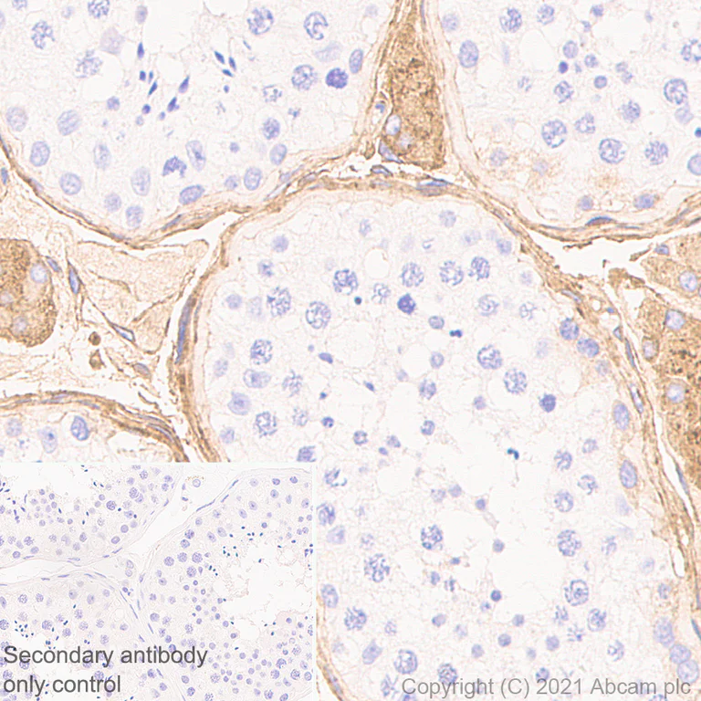
Immunohistochemistry (Formalin/PFA-fixed paraffin-embedded sections) - Anti-Fibronectin antibody [10/Fibronectin] (AB281575)

Immunohistochemical analysis of paraffin-embedded Human testis tissue labeling Fibronectin with ab281575 at 1/2000 (0.551 ug/ml) dilution followed by a ready to use LeicaDS9800 (Bond® Polymer Refine Detection) . Positive staining in stromal cells of human testis.The section was incubated with ab281575 for 30 mins at room temperature.The immunostaining was performed on a Leica Biosystems BOND® RX instrument Counterstained with Hematoxylin.

Secondary antibody only control : Secondary antibody is a ready to use LeicaDS9800 (Bond® Polymer Refine Detection) .

Heat mediated antigen retrieval with Citrate buffer (pH 6.0, epitope retrieval solution 1) for 20 mins

Immunohistochemistry (Formalin/PFA-fixed paraffin-embedded sections) - Anti-Fibronectin antibody [10/Fibronectin] (AB281575)
  • IHC-P

Lab

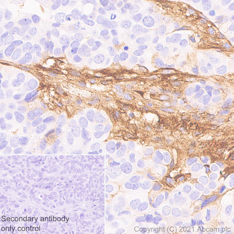
Immunohistochemistry (Formalin/PFA-fixed paraffin-embedded sections) - Anti-Fibronectin antibody [10/Fibronectin] (AB281575)

Immunohistochemical analysis of paraffin-embedded Human ovarian cancer tissue labeling Fibronectin with ab281575 at 1/2000 (0.551 ug/ml) dilution followed by a ready to use LeicaDS9800 (Bond® Polymer Refine Detection) . Positive staining in stromal cells of human ovarian cancer.The section was incubated with ab281575 for 30 mins at room temperature.The immunostaining was performed on a Leica Biosystems BOND® RX instrument Counterstained with Hematoxylin.

Secondary antibody only control : Secondary antibody is a ready to use LeicaDS9800 (Bond® Polymer Refine Detection) .

Heat mediated antigen retrieval with Citrate buffer (pH 6.0, epitope retrieval solution 1) for 20 mins

Western blot - Anti-Fibronectin antibody [10/Fibronectin] (AB281575)
  • WB

Lab

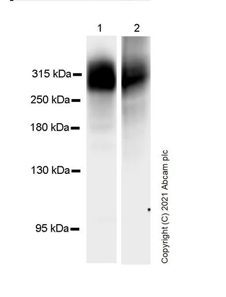
Western blot - Anti-Fibronectin antibody [10/Fibronectin] (AB281575)

Western blot : Mouse Monoclonal[10/Fibronectin] to Fibronectin ab281575 staining at 1/500 dilution, shown in green; Rabbit anti-ACTN4 (ab108198) loading control staining at 1/20,000 dilution, shown in magenta. A band was observed at 238-268 kDa in Wild-type MCF7 cell lysates with no signal observed at this size in FN1 knockout MCF7 cell line. To generate this image, samples were run on an SDS-PAGE gel then transferred onto a nitrocellulose membrane. Membranes were blocked in 3 % Milk in TBS-0.1 % Tween® 20 (TBS-T) before incubation with primary antibodies overnight at 4 °C. Blots were washed four times in TBS-T, incubated with secondary antibodies for 1 h at room temperature, washed again four times then imaged. Secondary antibodies used were Goat anti-Mouse 800CW & Goat anti-Rabbit 680RD at 1/20,000 dilution.

All lanes:

Western blot - Anti-Fibronectin antibody [10/Fibronectin] (ab281575) at 1/500 dilution

Lane 1:

Wild-type MCF7 at 20 µg

Lane 2:

Western blot - Human FN1 knockout MCF7 cell line (ab286324) at 20 µg

Lane 3:

HepG2 at 20 µg

Lane 4:

PC-3 at 20 µg

Secondary

All lanes:

Goat anti-Mouse 800CW & Goat anti-Rabbit 680RD at 1/20000 dilution

Predicted band size: 272 kDa

Observed band size: 238-268 kDa

false

Western blot - Anti-Fibronectin antibody [10/Fibronectin] (AB281575)
  • WB

Lab

Western blot - Anti-Fibronectin antibody [10/Fibronectin] (AB281575)

Western blot : Mouse Monoclonal[10/Fibronectin] to Fibronectin ab281575 staining at 1/500 dilution, shown in green; Rabbit anti-ACTN4 (ab108198) loading control staining at 1/20,000 dilution, shown in magenta.

A band was observed at 272 kDa in Wild-type A549 cell lysates with no signal observed at this size in FN1 knockout A549 cell line.

To generate this image, samples were run on an SDS-PAGE gel then transferred onto a nitrocellulose membrane. Membranes were blocked in 3pc Milk in TBS-0.1 % Tween® 20 (TBS-T) before incubation with primary antibodies overnight at 4 °C. Blots were washed four times in TBS-T, incubated with secondary antibodies for 1 h at room temperature, washed again four times then imaged.

Secondary antibodies used were Goat anti-Rabbit 800CW & Goat anti-Mouse 680RD at 1/20,000 dilution.

All lanes:

Western blot - Anti-Fibronectin antibody [10/Fibronectin] (ab281575) at 1/500 dilution

Lane 1:

Wild-type A549 at 20 µg

Lane 2:

FN1 knockout A549

Lane 2:

Western blot - Human FN1 knockout A549 cell line (<a href='/en-us/products/cell-lines/human-fn1-knockout-a549-cell-line-ab286514'>ab286514</a>) at 20 µg

Lane 3:

HepG2 at 20 µg

Secondary

All lanes:

Goat anti-Rabbit 800CW & Goat anti-Mouse 680RD at 1/20000 dilution

Predicted band size: 272 kDa

Observed band size: 272 kDa

false

Western blot - Anti-Fibronectin antibody [10/Fibronectin] (AB281575)
  • WB

Lab

Western blot - Anti-Fibronectin antibody [10/Fibronectin] (AB281575)

Blocking and diluting buffer and concentration : 5% NFDM/TBST

Samples are non-boiled as boiling may cause protein aggregates.

The expression molecular weight observed is consistent with what has been described in the literature (PMID : 28367057).

Exposure time : lane 1 : 3 secondslane 2 : 37 seconds

All lanes:

Western blot - Anti-Fibronectin antibody [10/Fibronectin] (ab281575) at 1/1000 dilution

Lane 1:

Human plasma lysate at 20 µg

Lane 2:

U-87 MG (human glioblastoma-astrocytoma epithelial cell), whole cell lysate at 40 µg

Secondary

All lanes:

Peroxidase-Conjugated Goat anti-Mouse IgG (H+L) at 1/10000 dilution

Predicted band size: 262 kDa

Observed band size: 285 kDa

false

Western blot - Anti-Fibronectin antibody [10/Fibronectin] (AB281575)
  • WB

Lab

Western blot - Anti-Fibronectin antibody [10/Fibronectin] (AB281575)

Blocking and diluting buffer and concentration : Intercept® (TBS) Blocking Buffer diluted with an equal volume of 0.1% TBS

The expression molecular weight observed is consistent with what has been described in the literature (PMID : 28367057).

Lanes 1-3 : Merged signal (red and green). Green - ab281575 observed at 285kDa. Red - loading control ab52901(Rabbit monoclonal [EP1331Y] to beta Tubulin) observed at 50 kDa.

Lanes 1-2 : ab281575 Anti-Fibronectin antibody was shown to react with Fibronectin in HAP1 cells in Western blot. Loss of signal was observed when Fibronectin knockout sample was used. Wild-type and Fibronectin knockout samples were subjected to SDS-PAGE.

ab281575 and Anti-beta Tubulin antibody [EP1331Y] - Loading Control (ab52901) were incubated at 4℃ overnight at 1 in 1000 dilution and 1 in 20000 dilution respectively. Blots were developed with Goat anti-Rabbit IgG H&L (IRDye® 680CW) preadsorbed (ab216777) and Goat anti-Mouse IgG H&L (IRDye® 800RD) preadsorbed (ab216772) secondary antibodies at 1 in 10000 dilution for 1 hour at room temperature before imaging.

All lanes:

Western blot - Anti-Fibronectin antibody [10/Fibronectin] (ab281575) at 1/500 dilution

Lane 1:

Wild type HAP1(human chronic myelogenous leukemia near-haploid cell line), whole cell lysate at 20 µg

Lane 2:

Fibronectin knockout HAP1(human chronic myelogenous leukemia near-haploid cell line), whole cell lysate at 20 µg

Lane 3:

HepG2 (human hepatocellular carcinoma epithelial cell), whole cell lysate at 20 µg

Secondary

All lanes:

Goat Anti-Mouse IgG H&L (IRDye® 800CW) (<a href='/en-us/products/secondary-antibodies/goat-mouse-igg-h-l-irdye-800cw-preadsorbed-ab216772'>ab216772</a>) and Goat Anti-Rabbit IgG H&L (IRDye® 680RD) (<a href='/en-us/products/secondary-antibodies/goat-rabbit-igg-h-l-irdye-680rd-preadsorbed-ab216777'>ab216777</a>) at 1/10000 dilution

Predicted band size: 262 kDa

Observed band size: 285 kDa

false

  • Carrier free

    Anti-Fibronectin antibody [10/Fibronectin] - BSA and Azide free

Key facts

Host species

Mouse

Clonality

Monoclonal

Clone number

10/Fibronectin

Isotype

IgG1

Light chain type

kappa

Carrier free

No

Reacts with

Human

Applications

IHC-P, WB

applications

Reactivity data

{ "title": "Reactivity Data", "filters": { "stats": ["", "Species", "Dilution Info", "Notes"], "tabs": { "all-applications": {"fullname" : "All Applications", "shortname": "All Applications"}, "IHCP" : {"fullname" : "Immunohistochemistry (Formalin/PFA-fixed paraffin-embedded sections)", "shortname":"IHC-P"}, "IP" : {"fullname" : "Immunoprecipitation", "shortname":"IP"}, "WB" : {"fullname" : "Western blot", "shortname":"WB"}, "IHCFr" : {"fullname" : "Immunohistochemistry (Frozen sections)", "shortname":"IHC-Fr"}, "ICCIF" : {"fullname" : "Immunocytochemistry/ Immunofluorescence", "shortname":"ICC/IF"} }, "product-promise": { "all": "all", "testedAndGuaranteed": "tested", "guaranteed": "expected", "predicted": "predicted", "notRecommended": "not-recommended" } }, "values": { "Human": { "IHCP-species-checked": "testedAndGuaranteed", "IHCP-species-dilution-info": "1/2000", "IHCP-species-notes": "<p></p> Perform heat-mediated antigen retrieval with citrate buffer pH 6 before commencing with IHC staining protocol.", "IP-species-checked": "notRecommended", "IP-species-dilution-info": "", "IP-species-notes": "<p></p>", "WB-species-checked": "testedAndGuaranteed", "WB-species-dilution-info": "1/500", "WB-species-notes": "<p></p>", "IHCFr-species-checked": "notRecommended", "IHCFr-species-dilution-info": "", "IHCFr-species-notes": "", "ICCIF-species-checked": "notRecommended", "ICCIF-species-dilution-info": "", "ICCIF-species-notes": "<p></p>" }, "Mouse": { "IHCP-species-checked": "notRecommended", "IHCP-species-dilution-info": "1/2000", "IHCP-species-notes": "<p></p> Perform heat-mediated antigen retrieval with citrate buffer pH 6 before commencing with IHC staining protocol.", "IP-species-checked": "notRecommended", "IP-species-dilution-info": "", "IP-species-notes": "", "WB-species-checked": "notRecommended", "WB-species-dilution-info": "1/500", "WB-species-notes": "<p></p>", "IHCFr-species-checked": "notRecommended", "IHCFr-species-dilution-info": "", "IHCFr-species-notes": "<p></p>", "ICCIF-species-checked": "notRecommended", "ICCIF-species-dilution-info": "", "ICCIF-species-notes": "<p></p>" }, "Rat": { "IHCP-species-checked": "notRecommended", "IHCP-species-dilution-info": "1/2000", "IHCP-species-notes": "<p></p> Perform heat-mediated antigen retrieval with citrate buffer pH 6 before commencing with IHC staining protocol.", "IP-species-checked": "notRecommended", "IP-species-dilution-info": "", "IP-species-notes": "", "WB-species-checked": "notRecommended", "WB-species-dilution-info": "1/500", "WB-species-notes": "<p></p>", "IHCFr-species-checked": "notRecommended", "IHCFr-species-dilution-info": "", "IHCFr-species-notes": "<p></p>", "ICCIF-species-checked": "notRecommended", "ICCIF-species-dilution-info": "", "ICCIF-species-notes": "" } } }

Product details

What are the advantages of a recombinant monoclonal antibody?
This product is a recombinant monoclonal antibody, which offers several advantages including:

  • - High batch-to-batch consistency and reproducibility
  • - Improved sensitivity and specificity
  • - Long-term security of supply
  • - Animal-free batch production

For more information, read more on recombinant antibodies.

Want a custom formulation?
This antibody clone is manufactured by Abcam. If you require a custom buffer formulation or conjugation for your experiments, please contact orders@abcam.com

Properties and storage information

Form
Liquid
Purification technique
Affinity purification Protein A
Storage buffer
pH: 7.2 - 7.4 Preservative: 0.01% Sodium azide Constituents: PBS, 40% Glycerol (glycerin, glycerine), 0.05% BSA
Shipped at conditions
Blue Ice
Appropriate short-term storage duration
1-2 weeks
Appropriate short-term storage conditions
+4°C
Appropriate long-term storage conditions
-20°C
Aliquoting information
Upon delivery aliquot
Storage information
Avoid freeze / thaw cycle

Product protocols

For this product, it's our understanding that no specific protocols are required. You can visit:

Target data

Fibronectins bind cell surfaces and various compounds including collagen, fibrin, heparin, DNA, and actin (PubMed : 3024962, PubMed : 3593230, PubMed : 3900070, PubMed : 7989369). Fibronectins are involved in cell adhesion, cell motility, opsonization, wound healing, and maintenance of cell shape (PubMed : 3024962, PubMed : 3593230, PubMed : 3900070, PubMed : 7989369). Involved in osteoblast compaction through the fibronectin fibrillogenesis cell-mediated matrix assembly process, essential for osteoblast mineralization (By similarity). Participates in the regulation of type I collagen deposition by osteoblasts (By similarity). Acts as a ligand for the LILRB4 receptor, inhibiting FCGR1A/CD64-mediated monocyte activation (PubMed : 34089617).. Anastellin. Binds fibronectin and induces fibril formation. This fibronectin polymer, named superfibronectin, exhibits enhanced adhesive properties. Both anastellin and superfibronectin inhibit tumor growth, angiogenesis and metastasis. Anastellin activates p38 MAPK and inhibits lysophospholipid signaling.. Secreted by contracting muscle, induces liver autophagy, a degradative pathway for nutrient mobilization and damage removal, and systemic insulin sensitization via hepatic ITGA5 : ITGB1 integrin receptor signaling.
See full target information FN1

Publications (1)

Recent publications for all applications. Explore the full list and refine your search

Stem cell research & therapy 14:160 PubMed37316923

2023

Bioactivity of human adult stem cells and functional relevance of stem cell-derived extracellular matrix in chondrogenesis.

Applications

Unspecified application

Species

Unspecified reactive species

Yangzi Jiang,Rocky S Tuan
View all publications

Product promise

We are committed to supporting your work with high-quality reagents, and we're here for you every step of the way. In the unlikely event that one of our products does not perform as expected, you're protected by our Product Promise.
For full details, please see our Terms & Conditions

Please note: All products are 'FOR RESEARCH USE ONLY. NOT FOR USE IN DIAGNOSTIC OR THERAPEUTIC PROCEDURES'.

For licensing inquiries, please contact partnerships@abcam.com