JavaScript is disabled in your browser. Please enable JavaScript to view this website.
AB281576

Anti-Fibronectin antibody [EP-5] - BSA and Azide free

Be the first to review this product! Submit a review

|

(0 Publication)

Mouse Recombinant Monoclonal Fibronectin antibody. Carrier free. Suitable for IHC-P, ICC/IF, WB and reacts with Human samples.

View Alternative Names

FN, FN1, Fibronectin, Cold-insoluble globulin, CIG

6 Images
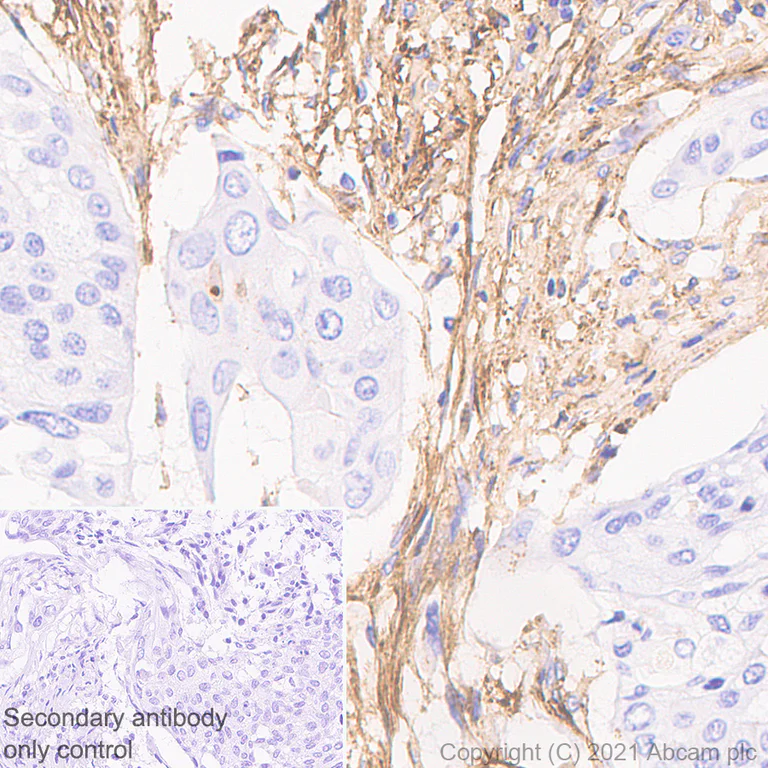
Immunohistochemistry (Formalin/PFA-fixed paraffin-embedded sections) - Anti-Fibronectin antibody [EP-5] - BSA and Azide free (AB281576)
  • IHC-P

Lab

Immunohistochemistry (Formalin/PFA-fixed paraffin-embedded sections) - Anti-Fibronectin antibody [EP-5] - BSA and Azide free (AB281576)

This data was developed using ab281574 the same antibody clone in a different buffer formulation.

Immunohistochemical analysis of paraffin-embedded Human colon cancer tissue labeling Fibronectin with ab281574 at 1/100 (10.52 ug/ml) dilution followed by a ready to use LeicaDS9800 (Bond® Polymer Refine Detection) . Positive staining in stromal cells of human colon cancer.The section was incubated with ab281574 for 30 mins at room temperature.The immunostaining was performed on a Leica Biosystems BOND® RX instrument Counterstained with Hematoxylin.

Secondary antibody only control : Secondary antibody is a ready to use LeicaDS9800 (Bond® Polymer Refine Detection) .

Heat mediated antigen retrieval with Citrate buffer (pH 6.0, epitope retrieval solution 1) for 20 mins

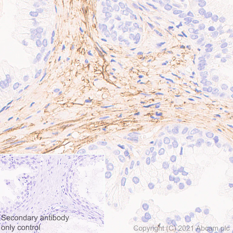
Immunohistochemistry (Formalin/PFA-fixed paraffin-embedded sections) - Anti-Fibronectin antibody [EP-5] - BSA and Azide free (AB281576)
  • IHC-P

Lab

Immunohistochemistry (Formalin/PFA-fixed paraffin-embedded sections) - Anti-Fibronectin antibody [EP-5] - BSA and Azide free (AB281576)

This data was developed using ab281574 the same antibody clone in a different buffer formulation.

Immunohistochemical analysis of paraffin-embedded Human cervical cancer tissue labeling Fibronectin with ab281574 at 1/100 (10.52 ug/ml) dilution followed by a ready to use LeicaDS9800 (Bond® Polymer Refine Detection) . Positive staining in stromal cells of human cervical cancer.The section was incubated with ab281574 for 30 mins at room temperature.The immunostaining was performed on a Leica Biosystems BOND® RX instrument Counterstained with Hematoxylin.

Secondary antibody only control : Secondary antibody is a ready to use LeicaDS9800 (Bond® Polymer Refine Detection) .

Heat mediated antigen retrieval with Citrate buffer (pH 6.0, epitope retrieval solution 1) for 20 mins

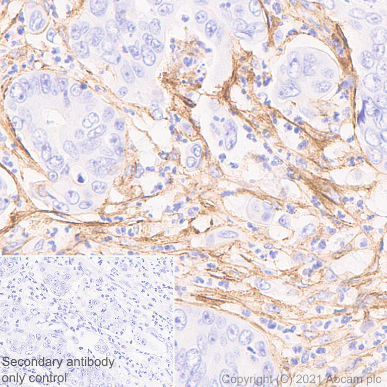
Immunohistochemistry (Formalin/PFA-fixed paraffin-embedded sections) - Anti-Fibronectin antibody [EP-5] - BSA and Azide free (AB281576)
  • IHC-P

Lab

Immunohistochemistry (Formalin/PFA-fixed paraffin-embedded sections) - Anti-Fibronectin antibody [EP-5] - BSA and Azide free (AB281576)

This data was developed using ab281574 the same antibody clone in a different buffer formulation.

Immunohistochemical analysis of paraffin-embedded Human prostatic hyperplasia tissue labeling Fibronectin with ab281574 at 1/100 (10.52 ug/ml) dilution followed by a ready to use LeicaDS9800 (Bond® Polymer Refine Detection) . Positive staining in stromal cells of human prostatic hyperplasia.The section was incubated with ab281574 for 30 mins at room temperature.The immunostaining was performed on a Leica Biosystems BOND® RX instrument Counterstained with Hematoxylin.

Secondary antibody only control : Secondary antibody is a ready to use LeicaDS9800 (Bond® Polymer Refine Detection) .

Heat mediated antigen retrieval with Citrate buffer (pH 6.0, epitope retrieval solution 1) for 20 mins

Immunocytochemistry/ Immunofluorescence - Anti-Fibronectin antibody [EP-5] - BSA and Azide free (AB281576)
  • ICC/IF

Lab

Immunocytochemistry/ Immunofluorescence - Anti-Fibronectin antibody [EP-5] - BSA and Azide free (AB281576)

This data was developed using ab281574 the same antibody clone in a different buffer formulation.Immunofluorescent analysis of 4% Paraformaldehyde-fixed, 0.1% TritonX-100 permeabilized U-87 MG cells labelling Fibronectin with ab281574 at 1/50 (21.04 ug/ml) dilution, followed by ab150113 Goat Anti-Mouse IgG H&L (Alexa Fluor® 488) antibody at 1/1000 dilution (Green). Confocal image showing cytoplasmic and membranous staining in U-87 MG cell line. ab179513 Anti-beta Tubulin rabbit monoclonal antibody was used to counterstain tubulin at 1/200 dilution (Red). The Nuclear counterstain was DAPI (Blue).

Secondary antibody only control : Secondary antibody is ab150113 Goat Anti-Mouse IgG H&L (Alexa Fluor® 488) at 1/1000 dilution.

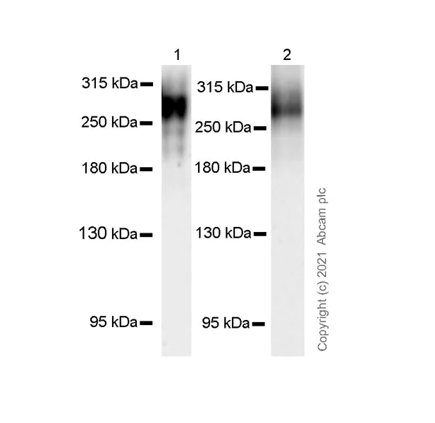
Western blot - Anti-Fibronectin antibody [EP-5] - BSA and Azide free (AB281576)
  • WB

Lab

Western blot - Anti-Fibronectin antibody [EP-5] - BSA and Azide free (AB281576)

This data was developed using 281574, the same antibody clone in a different buffer formulation.

Blocking and diluting buffer and concentration : ntercept® (TBS) Blocking Buffer diluted with an equal volume of 0.1% TBS

The expression molecular weight observed is consistent with what has been described in the literature (PMID : 28367057).

Lanes 1-3 : Merged signal (red and green). Green - ab281574 observed at 285kDa. Red - loading control ab52901(Rabbit monoclonal [EP1331Y] to beta Tubulin) observed at 50 kDa.

Lanes 1-2 : ab281574 Anti-Fibronectin antibody was shown to react with Fibronectin in HAP1 cells in Western blot. Loss of signal was observed when Fibronectin knockout sample was used. Wild-type and Fibronectin knockout samples were subjected to SDS-PAGE.

ab281574 and Anti-beta Tubulin antibody [EP1331Y] - Loading Control (ab52901) were incubated at 4℃ overnight at 1 in 1000 dilution and 1 in 20000 dilution respectively. Blots were developed with Goat anti-Rabbit IgG H&L (IRDye® 680CW) preadsorbed (ab216777) and Goat anti-Mouse IgG H&L (IRDye® 800RD) preadsorbed (ab216772) secondary antibodies at 1 in 10000 dilution for 1 hour at room temperature before imaging.

All lanes:

Western blot - Anti-Fibronectin antibody [EP-5] (<a href='/en-us/products/primary-antibodies/fibronectin-antibody-ep-5-ab281574'>ab281574</a>) at 1/500 dilution

Lane 1:

Wild type HAP1(human chronic myelogenous leukemia near-haploid cell line), whole cell lysate at 20 µg

Lane 2:

Fibronectin knockout HAP1(human chronic myelogenous leukemia near-haploid cell line), whole cell lysate at 20 µg

Lane 3:

Human plasma lysate at 20 µg

Secondary

All lanes:

Goat Anti-Mouse IgG H&L (IRDye® 800CW) (<a href='/en-us/products/secondary-antibodies/goat-mouse-igg-h-l-irdye-800cw-preadsorbed-ab216772'>ab216772</a>) and Goat Anti-Rabbit IgG H&L (IRDye® 680RD) (<a href='/en-us/products/secondary-antibodies/goat-rabbit-igg-h-l-irdye-680rd-preadsorbed-ab216777'>ab216777</a>) at 1/10000 dilution

Predicted band size: 262 kDa

Observed band size: 285 kDa

false

Western blot - Anti-Fibronectin antibody [EP-5] - BSA and Azide free (AB281576)
  • WB

Lab

Western blot - Anti-Fibronectin antibody [EP-5] - BSA and Azide free (AB281576)

This data was developed using 281574, the same antibody clone in a different buffer formulation.

Blocking and diluting buffer and concentration : 5% NFDM/TBST

Exposure time : Lane 1 : 125 seconds
Lane 2 : 70 seconds

All lanes:

Western blot - Anti-Fibronectin antibody [EP-5] (<a href='/en-us/products/primary-antibodies/fibronectin-antibody-ep-5-ab281574'>ab281574</a>) at 1/1000 dilution

Lane 1:

Human colon lysate at 10 µg

Lane 2:

U-87 MG (human glioblastoma-astrocytoma epithelial cell), whole cell lysate at 20 µg

Secondary

All lanes:

Peroxidase-Conjugated Goat anti-Mouse IgG (H+L) at 1/10000 dilution

Predicted band size: 262 kDa

Observed band size: 285 kDa

false

Key facts

Host species

Mouse

Clonality

Monoclonal

Clone number

EP-5

Isotype

IgG1

Carrier free

Yes

Reacts with

Human

Applications

IHC-P, WB, ICC/IF

applications

Reactivity data

{ "title": "Reactivity Data", "filters": { "stats": ["", "Species", "Dilution Info", "Notes"], "tabs": { "all-applications": {"fullname" : "All Applications", "shortname": "All Applications"}, "IHCP" : {"fullname" : "Immunohistochemistry (Formalin/PFA-fixed paraffin-embedded sections)", "shortname":"IHC-P"}, "ICCIF" : {"fullname" : "Immunocytochemistry/ Immunofluorescence", "shortname":"ICC/IF"}, "IP" : {"fullname" : "Immunoprecipitation", "shortname":"IP"}, "WB" : {"fullname" : "Western blot", "shortname":"WB"}, "IHCFr" : {"fullname" : "Immunohistochemistry (Frozen sections)", "shortname":"IHC-Fr"} }, "product-promise": { "all": "all", "testedAndGuaranteed": "tested", "guaranteed": "expected", "predicted": "predicted", "notRecommended": "not-recommended" } }, "values": { "Human": { "IHCP-species-checked": "testedAndGuaranteed", "IHCP-species-dilution-info": "", "IHCP-species-notes": "<p></p>", "ICCIF-species-checked": "testedAndGuaranteed", "ICCIF-species-dilution-info": "", "ICCIF-species-notes": "<p></p>", "IP-species-checked": "notRecommended", "IP-species-dilution-info": "", "IP-species-notes": "<p></p>", "WB-species-checked": "testedAndGuaranteed", "WB-species-dilution-info": "", "WB-species-notes": "<p></p>", "IHCFr-species-checked": "notRecommended", "IHCFr-species-dilution-info": "", "IHCFr-species-notes": "" }, "Mouse": { "IHCP-species-checked": "notRecommended", "IHCP-species-dilution-info": "", "IHCP-species-notes": "<p></p>", "ICCIF-species-checked": "notRecommended", "ICCIF-species-dilution-info": "", "ICCIF-species-notes": "<p></p>", "IP-species-checked": "notRecommended", "IP-species-dilution-info": "", "IP-species-notes": "", "WB-species-checked": "notRecommended", "WB-species-dilution-info": "", "WB-species-notes": "<p></p>", "IHCFr-species-checked": "notRecommended", "IHCFr-species-dilution-info": "", "IHCFr-species-notes": "<p></p>" }, "Rat": { "IHCP-species-checked": "notRecommended", "IHCP-species-dilution-info": "", "IHCP-species-notes": "<p></p>", "ICCIF-species-checked": "notRecommended", "ICCIF-species-dilution-info": "", "ICCIF-species-notes": "", "IP-species-checked": "notRecommended", "IP-species-dilution-info": "", "IP-species-notes": "", "WB-species-checked": "notRecommended", "WB-species-dilution-info": "", "WB-species-notes": "<p></p>", "IHCFr-species-checked": "notRecommended", "IHCFr-species-dilution-info": "", "IHCFr-species-notes": "<p></p>" } } }

Product details

ab281576 is the carrier-free version of ab281574.

What are the advantages of a recombinant monoclonal antibody?
This product is a recombinant monoclonal antibody, which offers several advantages including:

  • - High batch-to-batch consistency and reproducibility
  • - Improved sensitivity and specificity
  • - Long-term security of supply
  • - Animal-free batch production

For more information, read more on recombinant antibodies.

Want a custom formulation?
This antibody clone is manufactured by Abcam. If you require a custom buffer formulation or conjugation for your experiments, please contact orders@abcam.com

Conjugation ready
Our carrier-free antibodies are typically supplied in a PBS-only formulation, purified and free of BSA, sodium azide and glycerol. This conjugation-ready format is designed for use with fluorochromes, metal isotopes, oligonucleotides, and enzymes, which makes them ideal for antibody labelling, functional and cell-based assays, flow-based assays (e.g. mass cytometry) and Multiplex Imaging applications.

Use our conjugation kits for antibody conjugates that are ready-to-use in as little as 20 minutes with 1 minute hands-on-time and 100% antibody recovery: available for fluorescent dyes, HRP, biotin and gold.

Compatibility
This product is compatible with the Maxpar® Antibody Labeling Kit from Fluidigm, without the need for antibody preparation. Maxpar® is a trademark of Fluidigm Canada Inc.

Properties and storage information

Form
Liquid
Purification technique
Affinity purification Protein A
Storage buffer
pH: 7.2 - 7.4 Constituents: PBS
Shipped at conditions
Blue Ice
Appropriate short-term storage conditions
+4°C
Appropriate long-term storage conditions
+4°C
Storage information
Do Not Freeze

Product protocols

For this product, it's our understanding that no specific protocols are required. You can visit:

Target data

Fibronectins bind cell surfaces and various compounds including collagen, fibrin, heparin, DNA, and actin (PubMed : 3024962, PubMed : 3593230, PubMed : 3900070, PubMed : 7989369). Fibronectins are involved in cell adhesion, cell motility, opsonization, wound healing, and maintenance of cell shape (PubMed : 3024962, PubMed : 3593230, PubMed : 3900070, PubMed : 7989369). Involved in osteoblast compaction through the fibronectin fibrillogenesis cell-mediated matrix assembly process, essential for osteoblast mineralization (By similarity). Participates in the regulation of type I collagen deposition by osteoblasts (By similarity). Acts as a ligand for the LILRB4 receptor, inhibiting FCGR1A/CD64-mediated monocyte activation (PubMed : 34089617).. Anastellin. Binds fibronectin and induces fibril formation. This fibronectin polymer, named superfibronectin, exhibits enhanced adhesive properties. Both anastellin and superfibronectin inhibit tumor growth, angiogenesis and metastasis. Anastellin activates p38 MAPK and inhibits lysophospholipid signaling.. Secreted by contracting muscle, induces liver autophagy, a degradative pathway for nutrient mobilization and damage removal, and systemic insulin sensitization via hepatic ITGA5 : ITGB1 integrin receptor signaling.
See full target information FN1

Product promise

We are committed to supporting your work with high-quality reagents, and we're here for you every step of the way. In the unlikely event that one of our products does not perform as expected, you're protected by our Product Promise.
For full details, please see our Terms & Conditions

Please note: All products are 'FOR RESEARCH USE ONLY. NOT FOR USE IN DIAGNOSTIC OR THERAPEUTIC PROCEDURES'.

For licensing inquiries, please contact partnerships@abcam.com