JavaScript is disabled in your browser. Please enable JavaScript to view this website.
AB224689

Anti-Fibronectin antibody [EPR19241-46] - BSA and Azide free

Be the first to review this product! Submit a review

|

(1 Publication)

Rabbit Recombinant Monoclonal Fibronectin antibody. Carrier free. Suitable for IP, WB, ICC/IF, Flow Cyt (Intra), IHC-P and reacts with Mouse, Rat samples. Cited in 1 publication.

View Alternative Names

Fibronectin, FN, Fn1

5 Images
Immunohistochemistry (Formalin/PFA-fixed paraffin-embedded sections) - Anti-Fibronectin antibody [EPR19241-46] - BSA and Azide free (AB224689)
  • IHC-P

Supplier Data

Immunohistochemistry (Formalin/PFA-fixed paraffin-embedded sections) - Anti-Fibronectin antibody [EPR19241-46] - BSA and Azide free (AB224689)

Immunohistochemical analysis of paraffin-embedded mouse stomach tissue labeling Firbonectin with ab199056 at 1/2000 dilution, followed by Goat Anti-Rabbit IgG H&L (HRP) Ready to use. Positive staining on the extracellular matrix of mouse stomach (PMID : 650151).

Secondary antibody only control : Used PBS instead of primary antibody, secondary antibody is Goat Anti-Rabbit IgG H&L (HRP) Ready to use.

This data was developed using the same antibody clone in a different buffer formulation containing PBS, BSA, glycerol, and sodium azide (ab199056).

Heat mediated antigen retrieval was performed with Tris/EDTA buffer pH 9.0 before commencing with IHC staining protocol.

Immunohistochemistry (Formalin/PFA-fixed paraffin-embedded sections) - Anti-Fibronectin antibody [EPR19241-46] - BSA and Azide free (AB224689)
  • IHC-P

Supplier Data

Immunohistochemistry (Formalin/PFA-fixed paraffin-embedded sections) - Anti-Fibronectin antibody [EPR19241-46] - BSA and Azide free (AB224689)

Immunohistochemical analysis of paraffin-embedded rat stomach tissue labeling Fironectin with ab199056 at 1/2000 dilution, followed by Goat Anti-Rabbit IgG H&L (HRP) Ready to use. Positive staining on the extracellular matrix of rat stomach (PMID : 650151).

Secondary antibody only control : Used PBS instead of primary antibody, secondary antibody is Goat Anti-Rabbit IgG H&L (HRP) Ready to use.

This data was developed using the same antibody clone in a different buffer formulation containing PBS, BSA, glycerol, and sodium azide (ab199056).

Heat mediated antigen retrieval was performed with Tris/EDTA buffer pH 9.0 before commencing with IHC staining protocol.

Immunocytochemistry/ Immunofluorescence - Anti-Fibronectin antibody [EPR19241-46] - BSA and Azide free (AB224689)
  • ICC/IF

Supplier Data

Immunocytochemistry/ Immunofluorescence - Anti-Fibronectin antibody [EPR19241-46] - BSA and Azide free (AB224689)

Immunofluorescent analysis of 4% paraformaldehyde-fixed, 0.1% Triton X-100 permeabilized Hepa 1-6 (mouse hepatoma epithelial cell line) cells labeling Fibronectin with ab199056 at 1/250 dilution followed by Goat Anti-Rabbit IgG H&L (Alexa Fluor® 488) (ab150077) secondary antibody at 1/1000 dilution (green). Confocal image showing cytoplasmic and membranous staining on Hepa1-6 cells.

The nuclear counter stain is DAPI (blue). Tubulin is detected with Anti-alpha Tubulin antibody [DM1A] - Microtubule Marker (Alexa Fluor® 594) (ab195889) (red) at 1/200 dilution.

Secondary antibody only control : Used PBS instead of primary antibody, secondary antibody is Goat Anti-Rabbit IgG H&L (Alexa Fluor® 488) (ab150077) secondary antibody at 1/1000 dilution.

This data was developed using the same antibody clone in a different buffer formulation containing PBS, BSA, glycerol, and sodium azide (ab199056).

Flow Cytometry (Intracellular) - Anti-Fibronectin antibody [EPR19241-46] - BSA and Azide free (AB224689)
  • Flow Cyt (Intra)

Supplier Data

Flow Cytometry (Intracellular) - Anti-Fibronectin antibody [EPR19241-46] - BSA and Azide free (AB224689)

Intracellular flow cytometric analysis of 4% paraformaldehyde-fixed, 90% methanol permeabilized Hepa1-6 (mouse hepatoma epithelial cell line) cell line labeling Fibronectin with ab199056 at 1/500 dilution (red) compared with a Rabbit IgG, monoclonal [EPR25A] - Isotype Control (ab172730) (black) and an unlabeled control (cells without incubation with primary antibody and secondary antibody) (blue). Goat Anti-Rabbit IgG H&L (Alexa Fluor® 488) at 1/2000 dilution was used as the secondary antibody.

This data was developed using the same antibody clone in a different buffer formulation containing PBS, BSA, glycerol, and sodium azide (ab199056).

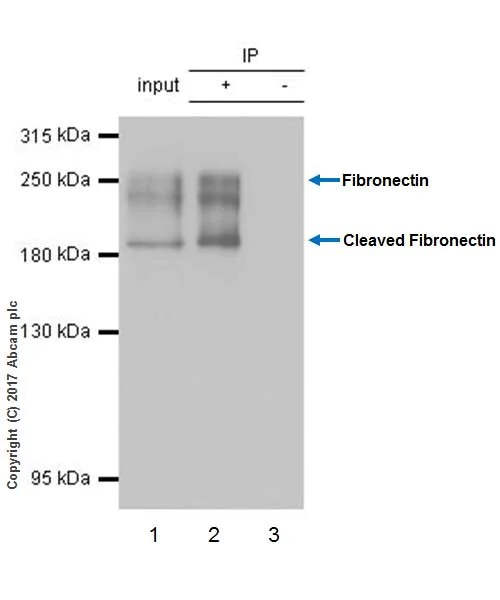
Immunoprecipitation - Anti-Fibronectin antibody [EPR19241-46] - BSA and Azide free (AB224689)
  • IP

Supplier Data

Immunoprecipitation - Anti-Fibronectin antibody [EPR19241-46] - BSA and Azide free (AB224689)

Fibronectin was immunoprecipitated from 0.35 mg of mouse plasma with ab199056 at 1/30 dilution. Western blot was performed from the immunoprecipitate using ab199056 at 1/1000 dilution. VeriBlot for IP Detection Reagent (HRP) (ab131366), was used for detection at 1/10000 dilution.

Lane 1 : Mouse plasma 10 μg (Input).

Lane 2 : ab199056 IP in mouse plasma.

Lane 3 : Rabbit monoclonal IgG (ab172730) instead of ab199056 in mouse plasma.

Blocking and dilution buffer and concentration : 5% NFDM/TBST.

Exposure time : 1 second.

This data was developed using the same antibody clone in a different buffer formulation containing PBS, BSA, glycerol, and sodium azide (ab199056).

All lanes:

Immunoprecipitation - Anti-Fibronectin antibody [EPR19241-46] (<a href='/en-us/products/primary-antibodies/fibronectin-antibody-epr19241-46-ab199056'>ab199056</a>)

Predicted band size: 262 kDa

false

  • Unconjugated

    Anti-Fibronectin antibody [EPR19241-46]

  • Biotin

    Biotin Anti-Fibronectin antibody [EPR19241-46] (Detector)

Key facts

Host species

Rabbit

Clonality

Monoclonal

Clone number

EPR19241-46

Isotype

IgG

Carrier free

Yes

Reacts with

Mouse, Rat

Applications

IP, WB, IHC-P, ICC/IF, Flow Cyt (Intra)

applications

Immunogen

The exact immunogen used to generate this antibody is proprietary information.

Specificity

Western blot and IHC tests of human samples were negative.

Reactivity data

{ "title": "Reactivity Data", "filters": { "stats": ["", "Species", "Dilution Info", "Notes"], "tabs": { "all-applications": {"fullname" : "All Applications", "shortname": "All Applications"}, "IP" : {"fullname" : "Immunoprecipitation", "shortname":"IP"}, "WB" : {"fullname" : "Western blot", "shortname":"WB"}, "ICCIF" : {"fullname" : "Immunocytochemistry/ Immunofluorescence", "shortname":"ICC/IF"}, "FlowCytIntra" : {"fullname" : "Flow Cytometry (Intracellular)", "shortname":"Flow Cyt (Intra)"}, "IHCP" : {"fullname" : "Immunohistochemistry (Formalin/PFA-fixed paraffin-embedded sections)", "shortname":"IHC-P"} }, "product-promise": { "all": "all", "testedAndGuaranteed": "tested", "guaranteed": "expected", "predicted": "predicted", "notRecommended": "not-recommended" } }, "values": { "Mouse": { "IP-species-checked": "testedAndGuaranteed", "IP-species-dilution-info": "", "IP-species-notes": "<p></p>", "WB-species-checked": "guaranteed", "WB-species-dilution-info": "", "WB-species-notes": "<p></p>", "ICCIF-species-checked": "testedAndGuaranteed", "ICCIF-species-dilution-info": "", "ICCIF-species-notes": "<p></p>", "FlowCytIntra-species-checked": "testedAndGuaranteed", "FlowCytIntra-species-dilution-info": "", "FlowCytIntra-species-notes": "<p></p>", "IHCP-species-checked": "testedAndGuaranteed", "IHCP-species-dilution-info": "", "IHCP-species-notes": "<p></p>" }, "Rat": { "IP-species-checked": "predicted", "IP-species-dilution-info": "", "IP-species-notes": "", "WB-species-checked": "guaranteed", "WB-species-dilution-info": "", "WB-species-notes": "<p></p>", "ICCIF-species-checked": "predicted", "ICCIF-species-dilution-info": "", "ICCIF-species-notes": "", "FlowCytIntra-species-checked": "predicted", "FlowCytIntra-species-dilution-info": "", "FlowCytIntra-species-notes": "", "IHCP-species-checked": "predicted", "IHCP-species-dilution-info": "", "IHCP-species-notes": "" } } }

Product details

ab224689 is the carrier-free version of ab199056.

Patented technology
Our RabMAb® technology is a patented hybridoma-based technology for making rabbit monoclonal antibodies. For details on our patents, please refer to RabMAb® patents.

What are the advantages of a recombinant monoclonal antibody?
This product is a recombinant monoclonal antibody, which offers several advantages including:

  • - High batch-to-batch consistency and reproducibility
  • - Improved sensitivity and specificity
  • - Long-term security of supply
  • - Animal-free batch production

For more information, read more on recombinant antibodies.

Conjugation ready
Our carrier-free antibodies are typically supplied in a PBS-only formulation, purified and free of BSA, sodium azide and glycerol. This conjugation-ready format is designed for use with fluorochromes, metal isotopes, oligonucleotides, and enzymes, which makes them ideal for antibody labelling, functional and cell-based assays, flow-based assays (e.g. mass cytometry) and Multiplex Imaging applications.

Use our conjugation kits for antibody conjugates that are ready-to-use in as little as 20 minutes with 1 minute hands-on-time and 100% antibody recovery: available for fluorescent dyes, HRP, biotin and gold.

Compatibility
This product is compatible with the Maxpar® Antibody Labeling Kit from Fluidigm, without the need for antibody preparation. Maxpar® is a trademark of Fluidigm Canada Inc.

Properties and storage information

Form
Liquid
Purification technique
Affinity purification Protein A
Storage buffer
pH: 7.2 - 7.4 Constituents: PBS
Shipped at conditions
Blue Ice
Appropriate short-term storage conditions
+4°C
Appropriate long-term storage conditions
+4°C
Storage information
Do Not Freeze

Product protocols

For this product, it's our understanding that no specific protocols are required. You can visit:

Target data

Fibronectins bind cell surfaces and various compounds including collagen, fibrin, heparin, DNA, and actin (By similarity). Fibronectins are involved in cell adhesion, cell motility, opsonization, wound healing, and maintenance of cell shape healing, and maintenance of cell shape (By similarity). Involved in osteoblast compaction through the fibronectin fibrillogenesis cell-mediated matrix assembly process, essential for osteoblast mineralization (PubMed : 21768292). Participates in the regulation of type I collagen deposition by osteoblasts (PubMed : 21768292). Acts as a ligand for the Lilrb4a receptor, inhibiting Fcgr1/CD64-mediated monocyte activation (PubMed : 34089617).. Secreted by contracting muscle, induces liver autophagy, a degradative pathway for nutrient mobilization and damage removal, and systemic insulin sensitization via hepatic ITGA5 : ITGB1 integrin receptor signaling.. Anastellin. Binds fibronectin and induces fibril formation. This fibronectin polymer, named superfibronectin, exhibits enhanced adhesive properties. Both anastellin and superfibronectin inhibit tumor growth, angiogenesis and metastasis. Anastellin activates p38 MAPK and inhibits lysophospholipid signaling.
See full target information Fn1

Publications (1)

Recent publications for all applications. Explore the full list and refine your search

Acta pharmaceutica Sinica. B 13:967-981 PubMed36970197

2023

Concurrent silencing of TBCE and drug delivery to overcome platinum-based resistance in liver cancer.

Applications

Unspecified application

Species

Unspecified reactive species

Senlin Li,Siyu Chen,Zhihui Dong,Xingdong Song,Xiuling Li,Ziqi Huang,Huiru Li,Linzhuo Huang,Ganyuan Zhuang,Ran Lan,Mingyan Guo,Wende Li,Phei Er Saw,Lei Zhang
View all publications

Product promise

We are committed to supporting your work with high-quality reagents, and we're here for you every step of the way. In the unlikely event that one of our products does not perform as expected, you're protected by our Product Promise.
For full details, please see our Terms & Conditions

Please note: All products are 'FOR RESEARCH USE ONLY. NOT FOR USE IN DIAGNOSTIC OR THERAPEUTIC PROCEDURES'.

For licensing inquiries, please contact partnerships@abcam.com