JavaScript is disabled in your browser. Please enable JavaScript to view this website.
AB268023

Anti-Fibronectin antibody [EPR23110-25] - BSA and Azide free

Be the first to review this product! Submit a review

|

(1 Publication)

Rabbit Recombinant Monoclonal Fibronectin antibody. Carrier free. Suitable for Flow Cyt, WB, IHC-P, IHC-Fr and reacts with Mouse, Rat, Human samples. Cited in 1 publication.

View Alternative Names

FN, FN1, Fibronectin, Cold-insoluble globulin, CIG

9 Images
Immunohistochemistry (Formalin/PFA-fixed paraffin-embedded sections) - Anti-Fibronectin antibody [EPR23110-25] - BSA and Azide free (AB268023)
  • IHC-P

Unknown

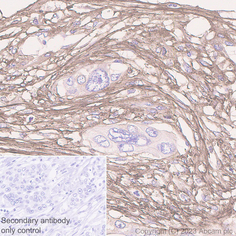
Immunohistochemistry (Formalin/PFA-fixed paraffin-embedded sections) - Anti-Fibronectin antibody [EPR23110-25] - BSA and Azide free (AB268023)

Immunohistochemical analysis of paraffin-embedded human mammary gland tissue labeling Fibronectin with ab268021 at 1/2000 dilution (0.23 μg/ml) followed by a ready to use Goat Anti-Rabbit IgG H&L (HRP). Positive staining in the stroma of human mammary gland (PMID : 650101). Counterstained with hematoxylin.

Secondary antibody only control : Secondary antibody is a ready to use Goat Anti-Rabbit IgG H&L (HRP).

Heat mediated antigen retrieval using ab93684 (Tris/EDTA buffer, pH 9.0).

This data was developed using the same antibody clone in a different buffer formulation containing PBS, BSA, glycerol, and sodium azide (ab268021).

Immunohistochemistry (Formalin/PFA-fixed paraffin-embedded sections) - Anti-Fibronectin antibody [EPR23110-25] - BSA and Azide free (AB268023)
  • IHC-P

Unknown

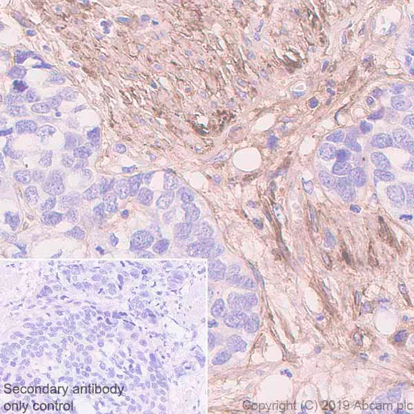
Immunohistochemistry (Formalin/PFA-fixed paraffin-embedded sections) - Anti-Fibronectin antibody [EPR23110-25] - BSA and Azide free (AB268023)

Immunohistochemical analysis of paraffin-embedded human esophageal squamous cell carcinoma tissue labeling Fibronectin with ab268021 at 1/2000 dilution (0.23 μg/ml) followed by a ready to use Goat Anti-Rabbit IgG H&L (HRP). Positive staining in the stroma of human esophageal squamous cell carcinoma (PMID : 30314454). Counterstained with hematoxylin.

Secondary antibody only control : Secondary antibody is a ready to use Goat Anti-Rabbit IgG H&L (HRP).

Heat mediated antigen retrieval using ab93684 (Tris/EDTA buffer, pH 9.0).

This data was developed using the same antibody clone in a different buffer formulation containing PBS, BSA, glycerol, and sodium azide (ab268021).

Immunohistochemistry (Formalin/PFA-fixed paraffin-embedded sections) - Anti-Fibronectin antibody [EPR23110-25] - BSA and Azide free (AB268023)
  • IHC-P

Supplier Data

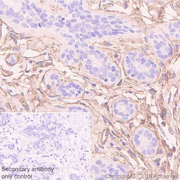
Immunohistochemistry (Formalin/PFA-fixed paraffin-embedded sections) - Anti-Fibronectin antibody [EPR23110-25] - BSA and Azide free (AB268023)

Immunohistochemical analysis of paraffin-embedded human pancreatic carcinoma labeling Fibronectin with ab268021 at 1/2000 dilution (0.228 µg/ml) followed by a ready to use Goat Anti-Rabbit IgG H&L (HRP).The section was incubated with ab268021 at 4°C overnight. Positive staining in the human pancreatic carcinoma noted. Counterstained with hematoxylin. Secondary antibody only control : Secondary antibody is a ready to use Goat Anti-Rabbit IgG H&L (HRP). Heat mediated antigen retrieval using ab93684 (Tris/EDTA buffer, pH 9.0). This data was developed using the same antibody clone in a different buffer formulation containing PBS, BSA, glycerol, and sodium azide (ab268021).

Immunohistochemistry (Frozen sections) - Anti-Fibronectin antibody [EPR23110-25] - BSA and Azide free (AB268023)
  • IHC-Fr

Unknown

Immunohistochemistry (Frozen sections) - Anti-Fibronectin antibody [EPR23110-25] - BSA and Azide free (AB268023)

Immunohistochemical analysis of frozen section of 4% PFA-fixed, 0.2% Triton X-100 permeabilized rat colon tissue labeling Fibronectin with ab268021 at 1/100 dilution followed by ab150077 AlexaFluor®488 Goat anti-Rabbit secondary antibody at 1/1000 dilution (Green). Positive staining mainly on smooth muscle of rat colon (PMID : 17881565). The nuclear counterstain is DAPI (Blue).

Secondary antibody only control : Secondary antibody is ab150077 AlexaFluor®488 Goat anti-Rabbit secondary antibody at 1/1000 dilution.

Heat mediated antigen retrieval using sodium citrate buffer (10mM citrate pH 6.0 + 0.05% Tween-20).

This data was developed using the same antibody clone in a different buffer formulation containing PBS, BSA, glycerol, and sodium azide (ab268021).

Flow Cytometry - Anti-Fibronectin antibody [EPR23110-25] - BSA and Azide free (AB268023)
  • Flow Cyt

Unknown

Flow Cytometry - Anti-Fibronectin antibody [EPR23110-25] - BSA and Azide free (AB268023)

Flow cytometric analysis of NIH/3T3 (mouse embryonic fibroblast) cells labeling Fibronectin with ab268021 at 1/500 dilution (Red) compared with a Rabbit monoclonal IgG (ab172730) (Black) isotype control and an unlabeled control (cells without incubation with primary antibody and secondary antibody) (Blue). A Goat anti rabbit IgG (Alexa Fluor® 488, ab150077) at 1/2000 dilution was used as the secondary antibody.

Gated on viable cells.

This data was developed using the same antibody clone in a different buffer formulation containing PBS, BSA, glycerol, and sodium azide (ab268021).

Immunohistochemistry (Frozen sections) - Anti-Fibronectin antibody [EPR23110-25] - BSA and Azide free (AB268023)
  • IHC-Fr

Unknown

Immunohistochemistry (Frozen sections) - Anti-Fibronectin antibody [EPR23110-25] - BSA and Azide free (AB268023)

Immunohistochemical analysis of frozen section of 4% PFA-fixed, 0.2% Triton X-100 permeabilized mouse colon tissue labeling Fibronectin with ab268021 at 1/100 dilution followed by ab150077 AlexaFluor®488 Goat anti-Rabbit secondary antibody at 1/1000 dilution (Green). Positive staining mainly on smooth muscle of mouse colon (PMID : 17881565). The nuclear counterstain is DAPI (Blue).

Secondary antibody only control : Secondary antibody is ab150077 AlexaFluor®488 Goat anti-Rabbit secondary antibody at 1/1000 dilution.

Heat mediated antigen retrieval using sodium citrate buffer (10mM citrate pH 6.0 + 0.05% Tween-20).

This data was developed using the same antibody clone in a different buffer formulation containing PBS, BSA, glycerol, and sodium azide (ab268021).

Immunohistochemistry (Formalin/PFA-fixed paraffin-embedded sections) - Anti-Fibronectin antibody [EPR23110-25] - BSA and Azide free (AB268023)
  • IHC-P

Unknown

Immunohistochemistry (Formalin/PFA-fixed paraffin-embedded sections) - Anti-Fibronectin antibody [EPR23110-25] - BSA and Azide free (AB268023)

Immunohistochemical analysis of paraffin-embedded mouse stomach tissue labeling Fibronectin with ab268021 at 1/2000 dilution (0.23 μg/ml) followed by a ready to use Goat Anti-Rabbit IgG H&L (HRP). Positive staining in the smooth muscle of mouse stomach (PMID : 650101). Counterstained with hematoxylin.

Secondary antibody only control : Secondary antibody is a ready to use Goat Anti-Rabbit IgG H&L (HRP).

Heat mediated antigen retrieval using ab93684 (Tris/EDTA buffer, pH 9.0).

This data was developed using the same antibody clone in a different buffer formulation containing PBS, BSA, glycerol, and sodium azide (ab268021).

Immunohistochemistry (Formalin/PFA-fixed paraffin-embedded sections) - Anti-Fibronectin antibody [EPR23110-25] - BSA and Azide free (AB268023)
  • IHC-P

Unknown

Immunohistochemistry (Formalin/PFA-fixed paraffin-embedded sections) - Anti-Fibronectin antibody [EPR23110-25] - BSA and Azide free (AB268023)

Immunohistochemical analysis of paraffin-embedded rat liver tissue labeling Fibronectin with ab268021 at 1/2000 dilution (0.23 μg/ml) followed by a ready to use Goat Anti-Rabbit IgG H&L (HRP). Positive staining in the perivascular tissue of sinusoids of rat liver (PMID : 650101). Counterstained with hematoxylin.

Secondary antibody only control : Secondary antibody is a ready to use Goat Anti-Rabbit IgG H&L (HRP).

Heat mediated antigen retrieval using ab93684 (Tris/EDTA buffer, pH 9.0).

This data was developed using the same antibody clone in a different buffer formulation containing PBS, BSA, glycerol, and sodium azide (ab268021).

Western blot - Anti-Fibronectin antibody [EPR23110-25] - BSA and Azide free (AB268023)
  • WB

Unknown

Western blot - Anti-Fibronectin antibody [EPR23110-25] - BSA and Azide free (AB268023)

Blocking and dilution buffer : 5% NFDM/TBST.

Exposure time : 44 seconds.

The expression molecular weight observed is consistent with what has been described in the literature (PMID : 28367057).

ab268021 was shown to specifically react with Fibronectin in wild-type HAP1 cells as signal was lost in Fibronectin knockout cells. Wild-type and Fibronectin knockout samples were subjected to SDS-PAGE. ab268021 and ab179475 (Rabbit anti-Integrin alpha V loading control) were incubated 1 hour at room temperature at 1/1000 dilution and 1/5000 dilution respectively. Blots were developed with Goat Anti-Rabbit IgG, (H+L), Peroxidase conjugated (ab97051) secondary antibody at 1/100,000 dilution for 1 hour at room temperature before imaging. The blot was developed on a BIO-RAD® ChemiDoc™ MP instrument using the ECL technique.

This data was developed using the same antibody clone in a different buffer formulation containing PBS, BSA, glycerol, and sodium azide (ab268021).

All lanes:

Western blot - Anti-Fibronectin antibody [EPR23110-25] (<a href='/en-us/products/primary-antibodies/fibronectin-antibody-epr23110-25-ab268021'>ab268021</a>) at 1/1000 dilution

Lane 1:

Human colon lysate at 20 µg

Lane 2:

Human stomach lysate at 20 µg

Lane 3:

Wild-type HAP1 whole cell lysate at 40 µg

Lane 4:

Fibronectin knockout HAP1 whole cell lysate at 40 µg

Secondary

Lanes 1 - 2:

Western blot - VeriBlot for IP Detection Reagent (HRP) (<a href='/en-us/products/reagents/veriblot-for-ip-detection-reagent-hrp-ab131366'>ab131366</a>) at 1/1000 dilution

Lanes 3 - 4:

Western blot - Goat Anti-Rabbit IgG H&L (HRP) (<a href='/en-us/products/secondary-antibodies/goat-rabbit-igg-h-l-hrp-ab97051'>ab97051</a>) at 1/100000 dilution

Predicted band size: 262 kDa

Observed band size: 285 kDa

false

Key facts

Host species

Rabbit

Clonality

Monoclonal

Clone number

EPR23110-25

Isotype

IgG

Carrier free

Yes

Reacts with

Rat, Human, Mouse

Applications

WB, IHC-P, IHC-Fr, Flow Cyt

applications

Immunogen

The exact immunogen used to generate this antibody is proprietary information.

Reactivity data

{ "title": "Reactivity Data", "filters": { "stats": ["", "Species", "Dilution Info", "Notes"], "tabs": { "all-applications": {"fullname" : "All Applications", "shortname": "All Applications"}, "IP" : {"fullname" : "Immunoprecipitation", "shortname":"IP"}, "FlowCyt" : {"fullname" : "Flow Cytometry", "shortname":"Flow Cyt"}, "WB" : {"fullname" : "Western blot", "shortname":"WB"}, "IHCP" : {"fullname" : "Immunohistochemistry (Formalin/PFA-fixed paraffin-embedded sections)", "shortname":"IHC-P"}, "ICCIF" : {"fullname" : "Immunocytochemistry/ Immunofluorescence", "shortname":"ICC/IF"}, "IHCFr" : {"fullname" : "Immunohistochemistry (Frozen sections)", "shortname":"IHC-Fr"} }, "product-promise": { "all": "all", "testedAndGuaranteed": "tested", "guaranteed": "expected", "predicted": "predicted", "notRecommended": "not-recommended" } }, "values": { "Human": { "IP-species-checked": "notRecommended", "IP-species-dilution-info": "", "IP-species-notes": "<p></p>", "FlowCyt-species-checked": "guaranteed", "FlowCyt-species-dilution-info": "", "FlowCyt-species-notes": "", "WB-species-checked": "testedAndGuaranteed", "WB-species-dilution-info": "", "WB-species-notes": "<p></p>", "IHCP-species-checked": "testedAndGuaranteed", "IHCP-species-dilution-info": "", "IHCP-species-notes": "<p></p>", "ICCIF-species-checked": "notRecommended", "ICCIF-species-dilution-info": "", "ICCIF-species-notes": "<p></p>", "IHCFr-species-checked": "predicted", "IHCFr-species-dilution-info": "", "IHCFr-species-notes": "" }, "Mouse": { "IP-species-checked": "notRecommended", "IP-species-dilution-info": "", "IP-species-notes": "<p></p>", "FlowCyt-species-checked": "testedAndGuaranteed", "FlowCyt-species-dilution-info": "", "FlowCyt-species-notes": "<p></p>", "WB-species-checked": "testedAndGuaranteed", "WB-species-dilution-info": "", "WB-species-notes": "<p></p>", "IHCP-species-checked": "testedAndGuaranteed", "IHCP-species-dilution-info": "", "IHCP-species-notes": "<p></p>", "ICCIF-species-checked": "notRecommended", "ICCIF-species-dilution-info": "", "ICCIF-species-notes": "<p></p>", "IHCFr-species-checked": "guaranteed", "IHCFr-species-dilution-info": "", "IHCFr-species-notes": "<p>Heat mediated antigen retrieval using sodium citrate buffer (10mM citrate pH 6.0 + 0.05% Tween-20).</p>" }, "Rat": { "IP-species-checked": "notRecommended", "IP-species-dilution-info": "", "IP-species-notes": "<p></p>", "FlowCyt-species-checked": "guaranteed", "FlowCyt-species-dilution-info": "", "FlowCyt-species-notes": "", "WB-species-checked": "testedAndGuaranteed", "WB-species-dilution-info": "", "WB-species-notes": "<p></p>", "IHCP-species-checked": "testedAndGuaranteed", "IHCP-species-dilution-info": "", "IHCP-species-notes": "<p></p>", "ICCIF-species-checked": "notRecommended", "ICCIF-species-dilution-info": "", "ICCIF-species-notes": "<p></p>", "IHCFr-species-checked": "predicted", "IHCFr-species-dilution-info": "", "IHCFr-species-notes": "" } } }

Product details

ab268023 is the carrier-free version of ab268021.

Patented technology
Our RabMAb® technology is a patented hybridoma-based technology for making rabbit monoclonal antibodies. For details on our patents, please refer to RabMAb® patents.

What are the advantages of a recombinant monoclonal antibody?
This product is a recombinant monoclonal antibody, which offers several advantages including:

  • - High batch-to-batch consistency and reproducibility
  • - Improved sensitivity and specificity
  • - Long-term security of supply
  • - Animal-free batch production

For more information, read more on recombinant antibodies.

Conjugation ready
Our carrier-free antibodies are typically supplied in a PBS-only formulation, purified and free of BSA, sodium azide and glycerol. This conjugation-ready format is designed for use with fluorochromes, metal isotopes, oligonucleotides, and enzymes, which makes them ideal for antibody labelling, functional and cell-based assays, flow-based assays (e.g. mass cytometry) and Multiplex Imaging applications.

Use our conjugation kits for antibody conjugates that are ready-to-use in as little as 20 minutes with 1 minute hands-on-time and 100% antibody recovery: available for fluorescent dyes, HRP, biotin and gold.

Compatibility
This product is compatible with the Maxpar® Antibody Labeling Kit from Fluidigm, without the need for antibody preparation. Maxpar® is a trademark of Fluidigm Canada Inc.

Properties and storage information

Form
Liquid
Purification technique
Affinity purification Protein A
Storage buffer
pH: 7.2 - 7.4 Constituents: PBS
Shipped at conditions
Blue Ice
Appropriate short-term storage conditions
+4°C
Appropriate long-term storage conditions
+4°C
Storage information
Do Not Freeze

Product protocols

For this product, it's our understanding that no specific protocols are required. You can visit:

Target data

Fibronectins bind cell surfaces and various compounds including collagen, fibrin, heparin, DNA, and actin (PubMed : 3024962, PubMed : 3593230, PubMed : 3900070, PubMed : 7989369). Fibronectins are involved in cell adhesion, cell motility, opsonization, wound healing, and maintenance of cell shape (PubMed : 3024962, PubMed : 3593230, PubMed : 3900070, PubMed : 7989369). Involved in osteoblast compaction through the fibronectin fibrillogenesis cell-mediated matrix assembly process, essential for osteoblast mineralization (By similarity). Participates in the regulation of type I collagen deposition by osteoblasts (By similarity). Acts as a ligand for the LILRB4 receptor, inhibiting FCGR1A/CD64-mediated monocyte activation (PubMed : 34089617).. Anastellin. Binds fibronectin and induces fibril formation. This fibronectin polymer, named superfibronectin, exhibits enhanced adhesive properties. Both anastellin and superfibronectin inhibit tumor growth, angiogenesis and metastasis. Anastellin activates p38 MAPK and inhibits lysophospholipid signaling.. Secreted by contracting muscle, induces liver autophagy, a degradative pathway for nutrient mobilization and damage removal, and systemic insulin sensitization via hepatic ITGA5 : ITGB1 integrin receptor signaling.
See full target information FN1

Publications (1)

Recent publications for all applications. Explore the full list and refine your search

Experimental and therapeutic medicine 27:142 PubMed38476910

2024

Fluorofenidone attenuates renal fibrosis by inhibiting lysosomal cathepsin‑mediated NLRP3 inflammasome activation.

Applications

Unspecified application

Species

Unspecified reactive species

Linfeng Zheng,Wenjuan Mei,Jing Zhou,Xin Wei,Zhijuan Huang,Xiaozhen Lin,Li Zhang,Wei Liu,Qian Wu,Jinhong Li,Yan Yan
View all publications

Product promise

We are committed to supporting your work with high-quality reagents, and we're here for you every step of the way. In the unlikely event that one of our products does not perform as expected, you're protected by our Product Promise.
For full details, please see our Terms & Conditions

Please note: All products are 'FOR RESEARCH USE ONLY. NOT FOR USE IN DIAGNOSTIC OR THERAPEUTIC PROCEDURES'.

For licensing inquiries, please contact partnerships@abcam.com