JavaScript is disabled in your browser. Please enable JavaScript to view this website.
AB268022

Anti-Fibronectin antibody [EPR23110-46] - BSA and Azide free

5

(3 Reviews)

|

(1 Publication)

Anti-Fibronectin antibody [EPR23110-46] - BSA and Azide free (ab268022) is a rabbit recombinant monoclonal antibody in a PBS only buffer for easy conjugation detecting Fibronectin in Western Blot, IHC-P, IHC-Fr, ICC/IF. Suitable for Human, Mouse, Rat.

- KO validated for confirmed specificity
- BSA, sodium azide, and glycerol-free for easy conjugation
- Biophysical QC for unrivalled batch-batch consistency

View Alternative Names

FN, FN1, Fibronectin, Cold-insoluble globulin, CIG

12 Images
Immunohistochemistry (Formalin/PFA-fixed paraffin-embedded sections) - Anti-Fibronectin antibody [EPR23110-46] - BSA and Azide free (AB268022)
  • IHC-P

Lab

Immunohistochemistry (Formalin/PFA-fixed paraffin-embedded sections) - Anti-Fibronectin antibody [EPR23110-46] - BSA and Azide free (AB268022)

This data was developed using ab268020, the same antibody clone in a different buffer formulation.

Immunohistochemical analysis of formalin fixed paraffin embedded human esophageal squamus cell carcinoma labelling fibronectin with ab268020 at a concentration of 0.05µg/ml. The immunostaining was performed on a Ventana DISCOVERY ULTRA (Roche Tissue Diagnostics) instrument with a OptiView DAB IHC Detection Kit. Heat mediated antigen retrieval was performed with DISCOVERY cell conditioning solution (CC1) 100°C, pH8.5 for 32mins.

ab268020 anti-fibronectin antibody [EPR23110-46] was incubated for 16mins at 37°C. Sections were counterstained with Hematoxylin II. Image inset shows absence of staining in secondary antibody only control.

Customers are encouraged to optimise antigen retrieval conditions, antibody concentration, incubation times and temperature for best results in their own IHC assay workflow (automated and manual).

Immunocytochemistry/ Immunofluorescence - Anti-Fibronectin antibody [EPR23110-46] - BSA and Azide free (AB268022)
  • ICC/IF

Unknown

Immunocytochemistry/ Immunofluorescence - Anti-Fibronectin antibody [EPR23110-46] - BSA and Azide free (AB268022)

Immunofluorescent analysis of 4% Paraformaldehyde-fixed, 0.1% TritonX-100 permeabilized HepG2 (human hepatocellular carcinoma epithelial cell) cells labeling Fibronectin with ab268020 at 1/50 dilution, followed by ab150077 AlexaFluor®488 Goat anti-Rabbit secondary antibody at 1/1000 dilution (Green). Confocal image showing cytoplasmic staining in HepG2 cells is observed. ab195889 Anti-alpha Tubulin antibody [DM1A] - Microtubule Marker (Alexa Fluor® 594) was used to counterstain tubulin at 1/200 dilution (Red). The nuclear counterstain was DAPI (Blue).

Secondary antibody only control : Secondary antibody is ab150077 AlexaFluor®488 Goat anti-Rabbit secondary at 1/1000 dilution.

This data was developed using the same antibody clone in a different buffer formulation containing PBS, BSA, glycerol, and sodium azide (ab268020).

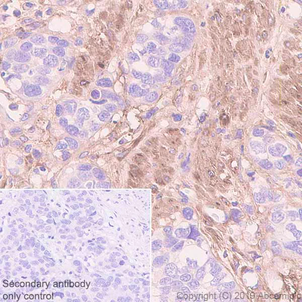
Immunohistochemistry (Formalin/PFA-fixed paraffin-embedded sections) - Anti-Fibronectin antibody [EPR23110-46] - BSA and Azide free (AB268022)
  • IHC-P

Unknown

Immunohistochemistry (Formalin/PFA-fixed paraffin-embedded sections) - Anti-Fibronectin antibody [EPR23110-46] - BSA and Azide free (AB268022)

Immunohistochemical analysis of paraffin-embedded human esophageal squamous cell carcinoma tissue labeling Fibronectin with ab268020 at 1/2000 dilution (0.29 μg/ml) followed by a ready to use Goat Anti-Rabbit IgG H&L (HRP). Positive staining in the stroma of human esophageal squamous cell carcinoma (PMID : 30314454). Counterstained with hematoxylin.

Secondary antibody only control : Secondary antibody is a ready to use Goat Anti-Rabbit IgG H&L (HRP).

Heat mediated antigen retrieval using ab93684 (Tris/EDTA buffer, pH 9.0).

This data was developed using the same antibody clone in a different buffer formulation containing PBS, BSA, glycerol, and sodium azide (ab268020).

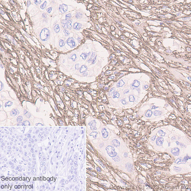
Immunohistochemistry (Formalin/PFA-fixed paraffin-embedded sections) - Anti-Fibronectin antibody [EPR23110-46] - BSA and Azide free (AB268022)
  • IHC-P

Unknown

Immunohistochemistry (Formalin/PFA-fixed paraffin-embedded sections) - Anti-Fibronectin antibody [EPR23110-46] - BSA and Azide free (AB268022)

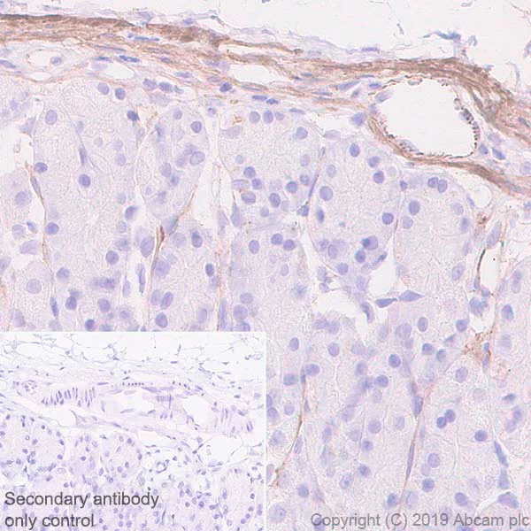
Immunohistochemical analysis of paraffin-embedded human mammary gland tissue labeling Fibronectin with ab268020 at 1/2000 dilution (0.29 μg/ml) followed by a ready to use Goat Anti-Rabbit IgG H&L (HRP). Positive staining in the stroma of human mammary gland (PMID : 650101). Counterstained with hematoxylin.

Secondary antibody only control : Secondary antibody is a ready to use Goat Anti-Rabbit IgG H&L (HRP).

Heat mediated antigen retrieval using ab93684 (Tris/EDTA buffer, pH 9.0).

This data was developed using the same antibody clone in a different buffer formulation containing PBS, BSA, glycerol, and sodium azide (ab268020).

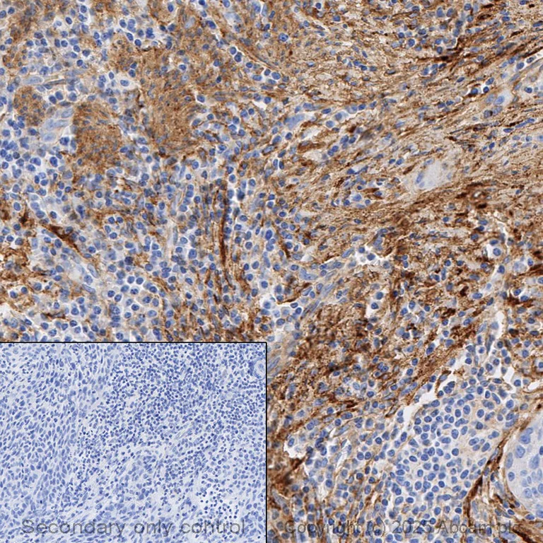
Immunohistochemistry (Formalin/PFA-fixed paraffin-embedded sections) - Anti-Fibronectin antibody [EPR23110-46] - BSA and Azide free (AB268022)
  • IHC-P

Supplier Data

Immunohistochemistry (Formalin/PFA-fixed paraffin-embedded sections) - Anti-Fibronectin antibody [EPR23110-46] - BSA and Azide free (AB268022)

Immunohistochemical analysis of paraffin-embedded Human pancreatic carcinoma tissue labeling Fibronectin with ab268020 at 1/4000 dilution (0.146 µg/ml) followed by a ready to use Goat Anti-Rabbit IgG H&L (HRP). The section was incubated with ab268020 at 4°C overnight. Positive staining in the human pancreatic carcinoma counterstained with hematoxylin. Secondary antibody only control : Secondary antibody is a ready to use Goat Anti-Rabbit IgG H&L (HRP)(ab214880) Heat mediated antigen retrieval using ab93684 (Tris/EDTA buffer, pH 9.0).

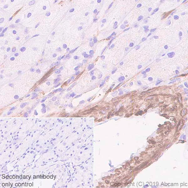
Immunohistochemistry (Frozen sections) - Anti-Fibronectin antibody [EPR23110-46] - BSA and Azide free (AB268022)
  • IHC-Fr

Unknown

Immunohistochemistry (Frozen sections) - Anti-Fibronectin antibody [EPR23110-46] - BSA and Azide free (AB268022)

Immunohistochemical analysis of frozen section of 4% PFA-fixed, 0.2% Triton X-100 permeabilized rat colon tissue labeling Fibronectin with ab268020 at 1/100 dilution followed by ab150077 AlexaFluor®488 Goat anti-Rabbit secondary at 1/1000 dilution (Green). Positive staining mainly on smooth muscle of rat colon (PMID : 17881565) is observed. The nuclear counterstain is DAPI (Blue).

Secondary antibody only control : Secondary antibody is ab150077 AlexaFluor®488 Goat anti-Rabbit secondary at 1/1000 dilution

Heat mediated antigen retrieval using sodium citrate buffer (10mM citrate pH 6.0 + 0.05% Tween-20).

This data was developed using the same antibody clone in a different buffer formulation containing PBS, BSA, glycerol, and sodium azide (ab268020).

Immunohistochemistry (Formalin/PFA-fixed paraffin-embedded sections) - Anti-Fibronectin antibody [EPR23110-46] - BSA and Azide free (AB268022)
  • IHC-P

Unknown

Immunohistochemistry (Formalin/PFA-fixed paraffin-embedded sections) - Anti-Fibronectin antibody [EPR23110-46] - BSA and Azide free (AB268022)

Immunohistochemical analysis of paraffin-embedded mouse stomach tissue labeling Fibronectin with ab268020 at 1/2000 dilution (0.29 μg/ml) followed by a ready to use Goat Anti-Rabbit IgG H&L (HRP). Positive staining in the smooth muscle of mouse stomach (PMID : 650101) Counterstained with hematoxylin.

Secondary antibody only control : Secondary antibody is a ready to use Goat Anti-Rabbit IgG H&L (HRP).

Heat mediated antigen retrieval using ab93684 (Tris/EDTA buffer, pH 9.0).

This data was developed using the same antibody clone in a different buffer formulation containing PBS, BSA, glycerol, and sodium azide (ab268020).

Immunohistochemistry (Formalin/PFA-fixed paraffin-embedded sections) - Anti-Fibronectin antibody [EPR23110-46] - BSA and Azide free (AB268022)
  • IHC-P

Unknown

Immunohistochemistry (Formalin/PFA-fixed paraffin-embedded sections) - Anti-Fibronectin antibody [EPR23110-46] - BSA and Azide free (AB268022)

Immunohistochemical analysis of paraffin-embedded rat stomach tissue labeling Fibronectin with ab268020 at 1/2000 dilution (0.29 μg/ml) followed by a ready to use Goat Anti-Rabbit IgG H&L (HRP). Positive staining in the smooth muscle of rat stomach (PMID : 650101) Counterstained with hematoxylin.

Secondary antibody only control : Secondary antibody is a ready to use Goat Anti-Rabbit IgG H&L (HRP).

Heat mediated antigen retrieval using ab93684 (Tris/EDTA buffer, pH 9.0).

This data was developed using the same antibody clone in a different buffer formulation containing PBS, BSA, glycerol, and sodium azide (ab268020).

Immunocytochemistry/ Immunofluorescence - Anti-Fibronectin antibody [EPR23110-46] - BSA and Azide free (AB268022)
  • ICC/IF

Unknown

Immunocytochemistry/ Immunofluorescence - Anti-Fibronectin antibody [EPR23110-46] - BSA and Azide free (AB268022)

Immunofluorescent analysis of 4% Paraformaldehyde-fixed, 0.1% TritonX-100 permeabilized NIH/3T3 (mouse embryonic fibroblast) cells labeling Fibronectin with ab268020 at 1/50 dilution, followed by ab150077 AlexaFluor®488 Goat anti-Rabbit secondary antibody at 1/1000 dilution (Green). Confocal image showing cytoplasmic staining in NIH/3T3 cells is observed. ab195889 Anti-alpha Tubulin antibody [DM1A] - Microtubule Marker (Alexa Fluor® 594) was used to counterstain tubulin at 1/200 dilution (Red). The nuclear counterstain was DAPI (Blue).

Secondary antibody only control : Secondary antibody is ab150077 AlexaFluor®488 Goat anti-Rabbit secondary at 1/1000 dilution.

This data was developed using the same antibody clone in a different buffer formulation containing PBS, BSA, glycerol, and sodium azide (ab268020).

Immunohistochemistry (Frozen sections) - Anti-Fibronectin antibody [EPR23110-46] - BSA and Azide free (AB268022)
  • IHC-Fr

Unknown

Immunohistochemistry (Frozen sections) - Anti-Fibronectin antibody [EPR23110-46] - BSA and Azide free (AB268022)

Immunohistochemical analysis of frozen section of 4% PFA-fixed, 0.2% Triton X-100 permeabilized mouse colon tissue labeling Fibronectin with ab268020 at 1/100 dilution followed by ab150077 AlexaFluor®488 Goat anti-Rabbit secondary at 1/1000 dilution (Green). Positive staining mainly on smooth muscle of mouse colon (PMID : 17881565) is observed. The nuclear counterstain is DAPI (Blue).

Secondary antibody only control : Secondary antibody is ab150077 AlexaFluor®488 Goat anti-Rabbit secondary at 1/1000 dilution

Heat mediated antigen retrieval using sodium citrate buffer (10mM citrate pH 6.0 + 0.05% Tween-20).

This data was developed using the same antibody clone in a different buffer formulation containing PBS, BSA, glycerol, and sodium azide (ab268020).

Western blot - Anti-Fibronectin antibody [EPR23110-46] - BSA and Azide free (AB268022)
  • WB

Lab

Western blot - Anti-Fibronectin antibody [EPR23110-46] - BSA and Azide free (AB268022)

This data was developed using the same antibody clone in a different buffer formulation (ab268020).

Western blot : Rabbit Monoclonal[EPR23110-46] to Fibronectin ab268020 staining at 1/1000 dilution, shown in green; Mouse anti-CANX (ab238078) loading control staining at 1/20,000 dilution, shown in magenta. A band was observed at 238-268 kDa in Wild-type MCF7 cell lysates with no signal observed at this size in FN1 knockout MCF7 cell line. To generate this image, samples were run on an SDS-PAGE gel then transferred onto a nitrocellulose membrane. Membranes were blocked in 3 % Milk in TBS-0.1 % Tween® 20 (TBS-T) before incubation with primary antibodies overnight at 4 °C. Blots were washed four times in TBS-T, incubated with secondary antibodies for 1 h at room temperature, washed again four times then imaged. Secondary antibodies used were Goat anti-Rabbit 800CW & Goat anti-Mouse 680RD at 1/20,000 dilution.

All lanes:

Western blot - Anti-Fibronectin antibody [EPR23110-46] (<a href='/en-us/products/primary-antibodies/fibronectin-antibody-epr23110-46-ab268020'>ab268020</a>) at 1/1000 dilution

Lane 1:

Wild-type MCF7 at 20 µg

Lane 2:

Western blot - Human FN1 knockout MCF7 cell line (ab286324) at 20 µg

Lane 3:

HepG2 at 20 µg

Lane 4:

PC-3 at 20 µg

Secondary

All lanes:

Goat anti-Rabbit 800CW & Goat anti-Mouse 680RD at 1/20000 dilution

Predicted band size: 272 kDa

Observed band size: 238 kDa,268 kDa

false

Western blot - Anti-Fibronectin antibody [EPR23110-46] - BSA and Azide free (AB268022)
  • WB

Lab

Western blot - Anti-Fibronectin antibody [EPR23110-46] - BSA and Azide free (AB268022)

This data was developed using the same antibody clone in a different buffer formulation containing PBS, BSA, glycerol, and sodium azide (ab268020).

ab268020 was shown to specifically react with Fibronectin in wild-type HAP1 cells as signal was lost in Fibronectin knockout cells. Wild-type and Fibronectin knockout samples were subjected to SDS-PAGE. ab268020 and ab129002 (Rabbit anti-Vinculin loading control) were incubated 1 hour at room temperature at 1/1000 dilution and 1/5000 dilution respectively. Blots were developed with Goat Anti-Rabbit IgG, (H+L), Peroxidase conjugated (ab97051) secondary antibody at 1/100,000 dilution for 1 hour at room temperature before imaging. The blot was developed on a BIO-RAD® ChemiDoc™ MP instrument using the ECL technique.

Exposure time : Lanes 1-2 : 37 seconds; Lanes 3-4 : 3 minutes.

Blocking/diluting buffer and concentration : 5% NFDM/TBST.

All lanes:

Western blot - Anti-Fibronectin antibody [EPR23110-46] - BSA and Azide free (ab268022) at 0.585 µg/mL

Lane 1:

Human stomach tissue lysate at 10 µg

Lane 2:

NIH/3T3 (mouse embryonic fibroblast), whole cell lysate at 10 µg

Lane 3:

Fibronectin-1 knockout HAP1 whole cell lysate at 40 µg

Lane 4:

Wild-type HAP1 whole cell lysate at 40 µg

Predicted band size: 262 kDa

Observed band size: 285 kDa

true

Key facts

Host species

Rabbit

Clonality

Monoclonal

Clone number

EPR23110-46

Isotype

IgG

Carrier free

Yes

Reacts with

Mouse, Rat, Human

Applications

WB, IHC-P, IHC-Fr, ICC/IF

applications

Immunogen

The exact immunogen used to generate this antibody is proprietary information.

Specificity

This product is not suitable for testing mouse and rat tissue samples in western blot.

Reactivity data

{ "title": "Reactivity Data", "filters": { "stats": ["", "Species", "Dilution Info", "Notes"], "tabs": { "all-applications": {"fullname" : "All Applications", "shortname": "All Applications"}, "WB" : {"fullname" : "Western blot", "shortname":"WB"}, "IP" : {"fullname" : "Immunoprecipitation", "shortname":"IP"}, "FlowCyt" : {"fullname" : "Flow Cytometry", "shortname":"Flow Cyt"}, "ICCIF" : {"fullname" : "Immunocytochemistry/ Immunofluorescence", "shortname":"ICC/IF"}, "IHCFr" : {"fullname" : "Immunohistochemistry (Frozen sections)", "shortname":"IHC-Fr"}, "IHCP" : {"fullname" : "Immunohistochemistry (Formalin/PFA-fixed paraffin-embedded sections)", "shortname":"IHC-P"} }, "product-promise": { "all": "all", "testedAndGuaranteed": "tested", "guaranteed": "expected", "predicted": "predicted", "notRecommended": "not-recommended" } }, "values": { "Human": { "WB-species-checked": "testedAndGuaranteed", "WB-species-dilution-info": "", "WB-species-notes": "<p>This product is not suitable for testing mouse and rat tissue samples in western blot.</p>", "IP-species-checked": "notRecommended", "IP-species-dilution-info": "", "IP-species-notes": "<p></p>", "FlowCyt-species-checked": "notRecommended", "FlowCyt-species-dilution-info": "", "FlowCyt-species-notes": "<p></p>", "ICCIF-species-checked": "testedAndGuaranteed", "ICCIF-species-dilution-info": "", "ICCIF-species-notes": "<p></p>", "IHCFr-species-checked": "guaranteed", "IHCFr-species-dilution-info": "", "IHCFr-species-notes": "", "IHCP-species-checked": "testedAndGuaranteed", "IHCP-species-dilution-info": "", "IHCP-species-notes": "<p></p>" }, "Mouse": { "WB-species-checked": "testedAndGuaranteed", "WB-species-dilution-info": "", "WB-species-notes": "<p>This product is not suitable for testing mouse and rat tissue samples in western blot.</p>", "IP-species-checked": "notRecommended", "IP-species-dilution-info": "", "IP-species-notes": "<p></p>", "FlowCyt-species-checked": "notRecommended", "FlowCyt-species-dilution-info": "", "FlowCyt-species-notes": "<p></p>", "ICCIF-species-checked": "testedAndGuaranteed", "ICCIF-species-dilution-info": "", "ICCIF-species-notes": "<p></p>", "IHCFr-species-checked": "testedAndGuaranteed", "IHCFr-species-dilution-info": "", "IHCFr-species-notes": "<p>Heat mediated antigen retrieval using sodium citrate buffer (10mM citrate pH 6.0 + 0.05% Tween-20).</p>", "IHCP-species-checked": "testedAndGuaranteed", "IHCP-species-dilution-info": "", "IHCP-species-notes": "<p></p>" }, "Rat": { "WB-species-checked": "testedAndGuaranteed", "WB-species-dilution-info": "", "WB-species-notes": "<p>This product is not suitable for testing mouse and rat tissue samples in western blot.</p>", "IP-species-checked": "notRecommended", "IP-species-dilution-info": "", "IP-species-notes": "<p></p>", "FlowCyt-species-checked": "notRecommended", "FlowCyt-species-dilution-info": "", "FlowCyt-species-notes": "<p></p>", "ICCIF-species-checked": "guaranteed", "ICCIF-species-dilution-info": "", "ICCIF-species-notes": "", "IHCFr-species-checked": "testedAndGuaranteed", "IHCFr-species-dilution-info": "", "IHCFr-species-notes": "<p>Heat mediated antigen retrieval using sodium citrate buffer (10mM citrate pH 6.0 + 0.05% Tween-20).</p>", "IHCP-species-checked": "testedAndGuaranteed", "IHCP-species-dilution-info": "", "IHCP-species-notes": "<p></p>" } } }

Product details

What is this antibody validated in?
Anti-Fibronectin antibody [EPR23110-46] - BSA and Azide free (ab268022) is a rabbit recombinant monoclonal antibody and is validated for use in Western Blot (WB), Immunohistochemistry (IHC-P), Immunohistochemistry (IHC-Fr), Immunocytochemistry/immunofluorescence (ICC/IF) in Human, Mouse, Rat samples.

What is the molecular weight of Fibronectin?
Anti-Fibronectin [EPR23110-46] - BSA and Azide free (ab268022) specifically detects a band for Fibronectin (UniProt: P02751) at a molecular weight of 262kDa.

Specificity confirmed
The specificity of Anti-Fibronectin antibody [EPR23110-46] - BSA and Azide free (ab268022) has been confirmed by Western blot testing in FN1 Knockout HAP1 cells.

Other related products
We have a range of other formats of antibody clone [EPR23110-46] also available for your convenience: ab268020, Carrier free - ab268022, Alexa Fluor® 594 - ab309604, Alexa Fluor® 568 - ab313020, Alexa Fluor® 555 - ab313223, Alexa Fluor® 647 - ab313350, Alexa Fluor® 488 - ab314679, Alexa Fluor® 750 - ab321527

Patented technology
Our RabMAb® technology is a patented hybridoma-based technology for making rabbit monoclonal antibodies. For details on our patents, please refer to RabMAb® patents.

What are the advantages of a recombinant monoclonal antibody?
This product is a recombinant monoclonal antibody, which offers several advantages including:

  • - High batch-to-batch consistency and reproducibility
  • - Improved sensitivity and specificity
  • - Long-term security of supply
  • - Animal-free batch production

For more information, read more on recombinant antibodies.

Conjugation ready
Our carrier-free antibodies are typically supplied in a PBS-only formulation, purified and free of BSA, sodium azide and glycerol. This conjugation-ready format is designed for use with fluorochromes, metal isotopes, oligonucleotides, and enzymes, which makes them ideal for antibody labelling, functional and cell-based assays, flow-based assays (e.g. mass cytometry) and Multiplex Imaging applications.

Use our conjugation kits for antibody conjugates that are ready-to-use in as little as 20 minutes with 1 minute hands-on-time and 100% antibody recovery: available for fluorescent dyes, HRP, biotin and gold.

Compatibility
This product is compatible with the Maxpar® Antibody Labeling Kit from Fluidigm, without the need for antibody preparation. Maxpar® is a trademark of Fluidigm Canada Inc.

Properties and storage information

Form
Liquid
Purification technique
Affinity purification Protein A
Storage buffer
pH: 7.2 - 7.4 Constituents: PBS
Shipped at conditions
Blue Ice
Appropriate short-term storage conditions
+4°C
Appropriate long-term storage conditions
+4°C
Storage information
Do Not Freeze

Product protocols

For this product, it's our understanding that no specific protocols are required. You can visit:

Target data

Fibronectins bind cell surfaces and various compounds including collagen, fibrin, heparin, DNA, and actin (PubMed : 3024962, PubMed : 3593230, PubMed : 3900070, PubMed : 7989369). Fibronectins are involved in cell adhesion, cell motility, opsonization, wound healing, and maintenance of cell shape (PubMed : 3024962, PubMed : 3593230, PubMed : 3900070, PubMed : 7989369). Involved in osteoblast compaction through the fibronectin fibrillogenesis cell-mediated matrix assembly process, essential for osteoblast mineralization (By similarity). Participates in the regulation of type I collagen deposition by osteoblasts (By similarity). Acts as a ligand for the LILRB4 receptor, inhibiting FCGR1A/CD64-mediated monocyte activation (PubMed : 34089617).. Anastellin. Binds fibronectin and induces fibril formation. This fibronectin polymer, named superfibronectin, exhibits enhanced adhesive properties. Both anastellin and superfibronectin inhibit tumor growth, angiogenesis and metastasis. Anastellin activates p38 MAPK and inhibits lysophospholipid signaling.. Secreted by contracting muscle, induces liver autophagy, a degradative pathway for nutrient mobilization and damage removal, and systemic insulin sensitization via hepatic ITGA5 : ITGB1 integrin receptor signaling.
See full target information FN1

Publications (1)

Recent publications for all applications. Explore the full list and refine your search

Nature communications 16:6276 PubMed40628739

2025

Unveiling aging heterogeneities in human dermal fibroblasts via nanosensor chemical cytometry.

Applications

Unspecified application

Species

Unspecified reactive species

Youngho Song,Inwoo Seo,Changyu Tian,Jiseon An,Seongcheol Park,Jiyu Hyun,Seunghyuk Jung,Hyun Su Park,Hyun-Ji Park,Suk Ho Bhang,Soo-Yeon Cho
View all publications

Product promise

We are committed to supporting your work with high-quality reagents, and we're here for you every step of the way. In the unlikely event that one of our products does not perform as expected, you're protected by our Product Promise.
For full details, please see our Terms & Conditions

Please note: All products are 'FOR RESEARCH USE ONLY. NOT FOR USE IN DIAGNOSTIC OR THERAPEUTIC PROCEDURES'.

For licensing inquiries, please contact partnerships@abcam.com