JavaScript is disabled in your browser. Please enable JavaScript to view this website.
AB219366

Anti-Fibronectin antibody [F1] - Low endotoxin, Azide free

4

(1 Review)

|

(10 Publications)

Rabbit Recombinant Monoclonal Fibronectin antibody. Carrier free. Suitable for ICC/IF, WB, Flow Cyt (Intra), IHC-P and reacts with Human samples. Cited in 10 publications.

View Alternative Names

FN, FN1, Fibronectin, Cold-insoluble globulin, CIG

5 Images
Immunocytochemistry/ Immunofluorescence - Anti-Fibronectin antibody [F1] - Low endotoxin, Azide free (AB219366)
  • ICC/IF

Unknown

Immunocytochemistry/ Immunofluorescence - Anti-Fibronectin antibody [F1] - Low endotoxin, Azide free (AB219366)

ICC/IF image of unpurified ab32419 stained HepG2 (Human liver hepatocellular carcinoma cell line) cells. The cells were fixed in 4% formaldehyde (10 minutes) and then incubated in 1%BSA / 10% normal goat serum / 0.3M glycine in 0.1% PBS-Tween for 1 hour to permeabilize the cells and block non-specific protein-protein interactions. The cells were then incubated with the antibody ab32419 at 1/100 dilution overnight at +4°C. The secondary antibody (green) was DyLight® 488 goat anti- rabbit (ab96899) IgG (H+L) used at a 1/1000 dilution for 1 hour. Alexa Fluor® 594 WGA was used to label plasma membranes (red) at a 1/200 dilution for 1 hour. DAPI was used to stain the cell nuclei (blue) at a concentration of 1.43 μM.

This data was developed using the same antibody clone in a different buffer formulation containing PBS BSA glycerol and sodium azide (ab32419).

Immunocytochemistry/ Immunofluorescence - Anti-Fibronectin antibody [F1] - Low endotoxin, Azide free (AB219366)
  • ICC/IF

AbReview31625****

Immunocytochemistry/ Immunofluorescence - Anti-Fibronectin antibody [F1] - Low endotoxin, Azide free (AB219366)

ICC/IF image of unpurified ab32419 stained human mesenchymal stem cells. The cells were fixed in paraformaldehyde and then incubated in 0.1%BSA / 1% goat serum for 30 minutes, to block non-specific protein-protein interactions. The cells were then incubated with the antibody (ab32419, 1/100 dilution) for 2 hours at 22°C. The secondary antibody (green) was Alexa Fluor® 488 goat anti-rabbit IgG. DAPI was used to stain the cell nuclei (blue).

This data was developed using the same antibody clone in a different buffer formulation containing PBS, BSA, glycerol, and sodium azide (ab32419).

This image is courtesy of an anonymous Abreview.

Flow Cytometry (Intracellular) - Anti-Fibronectin antibody [F1] - Low endotoxin, Azide free (AB219366)
  • Flow Cyt (Intra)

Unknown

Flow Cytometry (Intracellular) - Anti-Fibronectin antibody [F1] - Low endotoxin, Azide free (AB219366)

Intracellular Flow Cytometry analysis of HepG2 (Human liver hepatocellular carcinoma cell line) cells labeling Fibronectin with purified ab32419 at 1/20 dilution (10 μg/mL) (red). Cells were fixed with 4% paraformaldehyde and permeabilized with 90% methanol. A Goat anti rabbit IgG (Alexa Fluor®488) at 1/2000 dilution was used as the secondary antibody. Rabbit monoclonal IgG (Black) was used as the isotype control, cells without incubation with primary antibody and secondary antibody (Blue) was used as the unlabeled control.

This data was developed using the same antibody clone in a different buffer formulation containing PBS, BSA, glycerol, and sodium azide (ab32419).

Immunocytochemistry/ Immunofluorescence - Anti-Fibronectin antibody [F1] - Low endotoxin, Azide free (AB219366)
  • ICC/IF

Lab

Immunocytochemistry/ Immunofluorescence - Anti-Fibronectin antibody [F1] - Low endotoxin, Azide free (AB219366)

Clone F1 (ab219366) has been successfully conjugated by Abcam. This image was generated using Anti-Fibronectin antibody [F1] (Alexa Fluor® 488). Please refer to ab198933 for protocol details.

ab198933 staining Fibronectin in A431 (Human epidermoid carcinoma cell line) cells. The cells were fixed with 4% formaldehyde (10 minutes), permeabilized with 0.1% Triton X-100 for 5 minutes and then blocked with 1% BSA/10% normal goat serum/0.3M glycine in 0.1% PBS-Tween for 1 hour. The cells were then incubated overnight at +4°C with ab198933 at a 1/100 dilution (shown in green) and ab195889, Mouse monoclonal to alpha Tubulin (Alexa Fluor® 594), at a 1/250 dilution (shown in red). Nuclear DNA was labelled with DAPI (shown in blue).

Image was taken with a confocal microscope (Leica-Microsystems, TCS SP8).

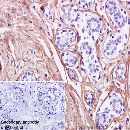
Immunohistochemistry (Formalin/PFA-fixed paraffin-embedded sections) - Anti-Fibronectin antibody [F1] - Low endotoxin, Azide free (AB219366)
  • IHC-P

Unknown

Immunohistochemistry (Formalin/PFA-fixed paraffin-embedded sections) - Anti-Fibronectin antibody [F1] - Low endotoxin, Azide free (AB219366)

Immunohistochemical staining of paraffin embedded human breast carcinoma with purified ab32419 at a dilution of 1/250. The secondary antibody used is ab97051 a HRP-conjugated goat anti-rabbit IgG (H+L) at a dilution of 1/500. The sample is counter-stained with hematoxylin. Antigen retrieval was perfomed using Tris-EDTA buffer pH 9.0. PBS was used instead of the primary antibody as the negative control and is shown in the inset.

This data was developed using the same antibody clone in a different buffer formulation containing PBS BSA glycerol and sodium azide (ab32419).

Key facts

Host species

Rabbit

Clonality

Monoclonal

Clone number

F1

Isotype

IgG

Carrier free

Yes

Reacts with

Human

Applications

IHC-P, Flow Cyt (Intra), WB, ICC/IF

applications

Immunogen

The exact immunogen used to generate this antibody is proprietary information.

Reactivity data

{ "title": "Reactivity Data", "filters": { "stats": ["", "Species", "Dilution Info", "Notes"], "tabs": { "all-applications": {"fullname" : "All Applications", "shortname": "All Applications"}, "ICCIF" : {"fullname" : "Immunocytochemistry/ Immunofluorescence", "shortname":"ICC/IF"}, "WB" : {"fullname" : "Western blot", "shortname":"WB"}, "FlowCytIntra" : {"fullname" : "Flow Cytometry (Intracellular)", "shortname":"Flow Cyt (Intra)"}, "IHCP" : {"fullname" : "Immunohistochemistry (Formalin/PFA-fixed paraffin-embedded sections)", "shortname":"IHC-P"} }, "product-promise": { "all": "all", "testedAndGuaranteed": "tested", "guaranteed": "expected", "predicted": "predicted", "notRecommended": "not-recommended" } }, "values": { "Human": { "ICCIF-species-checked": "testedAndGuaranteed", "ICCIF-species-dilution-info": "", "ICCIF-species-notes": "<p></p>", "WB-species-checked": "testedAndGuaranteed", "WB-species-dilution-info": "", "WB-species-notes": "<p></p>", "FlowCytIntra-species-checked": "testedAndGuaranteed", "FlowCytIntra-species-dilution-info": "", "FlowCytIntra-species-notes": "<p><a href='/en-us/products/primary-antibodies/rabbit-igg-monoclonal-epr25a-isotype-control-low-endotoxin-azide-free-ab199376'>ab199376</a> - Rabbit monoclonal IgG, is suitable for use as an isotype control with this antibody.</p>", "IHCP-species-checked": "testedAndGuaranteed", "IHCP-species-dilution-info": "", "IHCP-species-notes": "<p></p> Perform heat-mediated antigen retrieval with Tris/EDTA buffer pH 9.0 before commencing with IHC staining protocol." } } }

Product details

ab219366 is the carrier-free version of ab32419.

Species reactivity
Mouse, Rat: We have preliminary internal testing data to indicate this antibody may not react with these species.
Please contact us for more information.

Patented technology
Our RabMAb® technology is a patented hybridoma-based technology for making rabbit monoclonal antibodies. For details on our patents, please refer to RabMAb® patents.

What are the advantages of a recombinant monoclonal antibody?
This product is a recombinant monoclonal antibody, which offers several advantages including:

  • - High batch-to-batch consistency and reproducibility
  • - Improved sensitivity and specificity
  • - Long-term security of supply
  • - Animal-free batch production

For more information, read more on recombinant antibodies.

Conjugation ready
Our carrier-free antibodies are typically supplied in a PBS-only formulation, purified and free of BSA, sodium azide and glycerol. This conjugation-ready format is designed for use with fluorochromes, metal isotopes, oligonucleotides, and enzymes, which makes them ideal for antibody labelling, functional and cell-based assays, flow-based assays (e.g. mass cytometry) and Multiplex Imaging applications.

Use our conjugation kits for antibody conjugates that are ready-to-use in as little as 20 minutes with 1 minute hands-on-time and 100% antibody recovery: available for fluorescent dyes, HRP, biotin and gold.

What does low endotoxin mean?
Our low endotoxin, azide-free formats have low endotoxin level (1 EU/mg, determined by the TAL assay) and are free from azide, to achieve consistent experimental results in functional assays.

Properties and storage information

Form
Liquid
Purification technique
Affinity purification Protein A
Storage buffer
pH: 7.2 - 7.4 Constituents: PBS
Shipped at conditions
Blue Ice
Appropriate short-term storage conditions
+4°C
Appropriate long-term storage conditions
+4°C
Storage information
Do Not Freeze

Product protocols

For this product, it's our understanding that no specific protocols are required. You can visit:

Target data

Fibronectins bind cell surfaces and various compounds including collagen, fibrin, heparin, DNA, and actin (PubMed : 3024962, PubMed : 3593230, PubMed : 3900070, PubMed : 7989369). Fibronectins are involved in cell adhesion, cell motility, opsonization, wound healing, and maintenance of cell shape (PubMed : 3024962, PubMed : 3593230, PubMed : 3900070, PubMed : 7989369). Involved in osteoblast compaction through the fibronectin fibrillogenesis cell-mediated matrix assembly process, essential for osteoblast mineralization (By similarity). Participates in the regulation of type I collagen deposition by osteoblasts (By similarity). Acts as a ligand for the LILRB4 receptor, inhibiting FCGR1A/CD64-mediated monocyte activation (PubMed : 34089617).. Anastellin. Binds fibronectin and induces fibril formation. This fibronectin polymer, named superfibronectin, exhibits enhanced adhesive properties. Both anastellin and superfibronectin inhibit tumor growth, angiogenesis and metastasis. Anastellin activates p38 MAPK and inhibits lysophospholipid signaling.. Secreted by contracting muscle, induces liver autophagy, a degradative pathway for nutrient mobilization and damage removal, and systemic insulin sensitization via hepatic ITGA5 : ITGB1 integrin receptor signaling.
See full target information FN1

Publications (10)

Recent publications for all applications. Explore the full list and refine your search

Tumour biology : the journal of the International 37:13509-13520 PubMed27465556

2016

Fibronectin protects lung cancer cells against docetaxel-induced apoptosis by promoting Src and caspase-8 phosphorylation.

Applications

Unspecified application

Species

Human

Sida Qin,Boxiang Zhang,Guodong Xiao,Xin Sun,Gang Li,Guanghong Huang,Xiao Gao,Xiang Li,Huangzhen Wang,Chengcheng Yang,Hong Ren

Scientific reports 5:14131 PubMed26370615

2015

The Anti-fibrotic Effects and Mechanisms of MicroRNA-486-5p in Pulmonary Fibrosis.

Applications

Unspecified application

Species

Unspecified reactive species

Xiaoming Ji,Baiqun Wu,Jingjing Fan,Ruhui Han,Chen Luo,Ting Wang,Jingjin Yang,Lei Han,Baoli Zhu,Dong Wei,Jingyu Chen,Chunhui Ni

Tumour biology : the journal of the International 37:1641-50 PubMed26307396

2015

Upregulation of HOXB7 promotes the tumorigenesis and progression of gastric cancer and correlates with clinical characteristics.

Applications

Unspecified application

Species

Unspecified reactive species

Jia-Qin Cai,Xiao-Wu Xu,Yi-Ping Mou,Ke Chen,Yu Pan,Di Wu

Endocrine-related cancer 21:327-41 PubMed24413608

2014

Different molecular profiles are associated with breast cancer cell homing compared with colonisation of bone: evidence using a novel bone-seeking cell line.

Applications

Unspecified application

Species

Unspecified reactive species

Faith Nutter,Ingunn Holen,Hannah K Brown,Simon S Cross,C Alyson Evans,Matthew Walker,Robert E Coleman,Jules A Westbrook,Peter J Selby,Janet E Brown,Penelope D Ottewell

PloS one 9:e86137 PubMed24516514

2014

Gene expression profiling and secretome analysis differentiate adult-derived human liver stem/progenitor cells and human hepatic stellate cells.

Applications

IHC-P

Species

Human

Silvia Berardis,Catherine Lombard,Jonathan Evraerts,Adil El Taghdouini,Valérie Rosseels,Pau Sancho-Bru,Juan Jose Lozano,Leo van Grunsven,Etienne Sokal,Mustapha Najimi

Matrix biology : journal of the International Soci 34:124-31 PubMed24148804

2013

Heparin-dependent regulation of fibronectin matrix conformation.

Applications

Unspecified application

Species

Unspecified reactive species

Brant Hubbard,Jo Ann Buczek-Thomas,Matthew A Nugent,Michael L Smith

Translational research : the journal of laboratory 162:181-90 PubMed23856093

2013

VAV1 represses E-cadherin expression through the transactivation of Snail and Slug: a potential mechanism for aberrant epithelial to mesenchymal transition in human epithelial ovarian cancer.

Applications

WB

Species

Human

Senn Wakahashi,Tamotsu Sudo,Noriko Oka,Sayaka Ueno,Satoshi Yamaguchi,Kiyoshi Fujiwara,Chiho Ohbayashi,Ryuichiro Nishimura

Proceedings of the National Academy of Sciences of 110:11982-7 PubMed23818604

2013

Highly multiplexed single-cell analysis of formalin-fixed, paraffin-embedded cancer tissue.

Applications

ICC/IF

Species

Human

Michael J Gerdes,Christopher J Sevinsky,Anup Sood,Sudeshna Adak,Musodiq O Bello,Alexander Bordwell,Ali Can,Alex Corwin,Sean Dinn,Robert J Filkins,Denise Hollman,Vidya Kamath,Sireesha Kaanumalle,Kevin Kenny,Melinda Larsen,Michael Lazare,Qing Li,Christina Lowes,Colin C McCulloch,Elizabeth McDonough,Michael C Montalto,Zhengyu Pang,Jens Rittscher,Alberto Santamaria-Pang,Brion D Sarachan,Maximilian L Seel,Antti Seppo,Kashan Shaikh,Yunxia Sui,Jingyu Zhang,Fiona Ginty

Experimental biology and medicine (Maywood, N.J.) 237:178-85 PubMed22302709

2012

Role of myocyte enhancing factor 2B in epithelial myofibroblast transition of human gingival keratinocytes.

Applications

Unspecified application

Species

Unspecified reactive species

Qiang Sun,Apsorn Sattayakhom,Johannes Backs,Wolfgang Stremmel,Walee Chamulitrat

Cryobiology 57:113-21 PubMed18703039

2008

Long-term storage in liquid nitrogen does not affect cell viability in cardiac valve allografts.

Applications

IHC-Fr

Species

Unspecified reactive species

V Mirabet,C Carda,P Solves,E Novella-Maestre,F Carbonell-Uberos,J M Caffarena,F Hornero,J A Montero,R J Roig
View all publications

Product promise

We are committed to supporting your work with high-quality reagents, and we're here for you every step of the way. In the unlikely event that one of our products does not perform as expected, you're protected by our Product Promise.
For full details, please see our Terms & Conditions

Please note: All products are 'FOR RESEARCH USE ONLY. NOT FOR USE IN DIAGNOSTIC OR THERAPEUTIC PROCEDURES'.

For licensing inquiries, please contact partnerships@abcam.com