JavaScript is disabled in your browser. Please enable JavaScript to view this website.
AB267473

Anti-Ficolin 2 antibody [EPR23146-225]

Be the first to review this product! Submit a review

|

(0 Publication)

Rabbit Recombinant Monoclonal Ficolin 2 antibody. Suitable for IP, WB and reacts with Human samples.

View Alternative Names

FCNL, FCN2, Ficolin-2, 37 kDa elastin-binding protein, Collagen/fibrinogen domain-containing protein 2, EBP-37, Ficolin-B, Ficolin-beta, Hucolin, L-ficolin, Serum lectin p35

3 Images
Western blot - Anti-Ficolin 2 antibody [EPR23146-225] (AB267473)
  • WB

Supplier Data

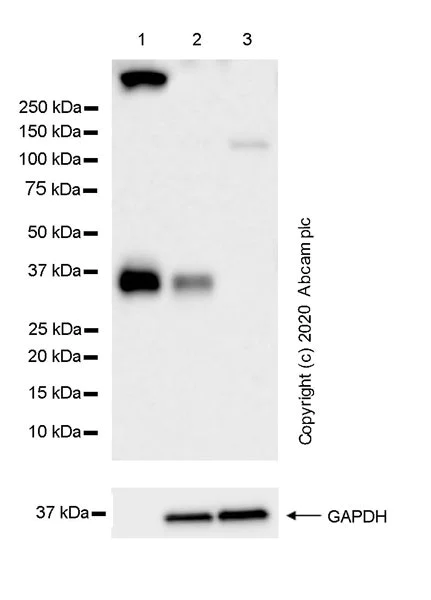
Western blot - Anti-Ficolin 2 antibody [EPR23146-225] (AB267473)

FCN2 has a high molecular weight (400 kDa) due to extensive disulfide bridge formation (PMID : 16595153)

Negative control : Human brain (PMID : 8576206)

A weak unidentifiable band was observed in brain tissue

Blocking/diluting buffer and concentration : 5% NFDM/TBST

All lanes:

Western blot - Anti-Ficolin 2 antibody [EPR23146-225] (ab267473) at 1/1000 dilution

Lane 1:

Human plasma at 20 µg

Lane 2:

Human liver tissue lysate at 20 µg

Lane 3:

Human brain tissue lysate at 20 µg

Secondary

All lanes:

Western blot - Anti-mouse IgG for IP (HRP) (<a href='/en-us/products/secondary-antibodies/mouse-igg-for-ip-hrp-ab131368'>ab131368</a>) at 1/1000 dilution

Predicted band size: 34 kDa

false

Immunoprecipitation - Anti-Ficolin 2 antibody [EPR23146-225] (AB267473)
  • IP

Supplier Data

Immunoprecipitation - Anti-Ficolin 2 antibody [EPR23146-225] (AB267473)

Ficolin 2 was immunoprecipitated from 0.35 mg Human plasma with ab267473 at 1/30 dilution . Western blot was performed on the immunoprecipitate using ab267473 at 1/1000 dilution. VeriBlot for IP Detection Reagent (HRP(ab131366) was used at 1/5000 dilution.

Lane 1 : Human plasma lysate 10 μg.
Lane 2 : ab267473 IP in Human plasma.
Lane 3 : Rabbit monoclonal IgG isotype control (ab172730) instead of ab267473 in Human plasma.

Blocking and dilution buffer and concentration : 5% NFDM/TBST.

Exposure time : 7.75 seconds

Ficolin 2 has a high molecular weight (250 kDa) due to extensive disulfide bridge formation (PMID : 16595153).

All lanes:

Immunoprecipitation - Anti-Ficolin 2 antibody [EPR23146-225] (ab267473)

Predicted band size: 34 kDa

Observed band size: 250 kDa,35 kDa

false

Western blot - Anti-Ficolin 2 antibody [EPR23146-225] (AB267473)
  • WB

Supplier Data

Western blot - Anti-Ficolin 2 antibody [EPR23146-225] (AB267473)

Blocking/diluting buffer and concentration : 5% NFDM/TBST

Exposure time : 5.5 seconds

All lanes:

Western blot - Anti-Ficolin 2 antibody [EPR23146-225] (ab267473) at 1/1000 dilution

Lane 1:

Human Ficolin 2 recombinant Protein (aa26- 313) 20 ng

Lane 2:

Human Ficolin 1 recombinant Protein (aa28- 326) 20 ng

Secondary

All lanes:

Western blot - Goat Anti-Rabbit IgG H&L (HRP) (<a href='/en-us/products/secondary-antibodies/goat-rabbit-igg-h-l-hrp-ab97051'>ab97051</a>) at 1/100000 dilution

Predicted band size: 34 kDa

false

  • Carrier free

    Anti-Ficolin 2 antibody [EPR23146-225] - BSA and Azide free

Key facts

Host species

Rabbit

Clonality

Monoclonal

Clone number

EPR23146-225

Isotype

IgG

Carrier free

No

Reacts with

Human

Applications

WB, IP

applications

Immunogen

The exact immunogen used to generate this antibody is proprietary information.

Reactivity data

{ "title": "Reactivity Data", "filters": { "stats": ["", "Species", "Dilution Info", "Notes"], "tabs": { "all-applications": {"fullname" : "All Applications", "shortname": "All Applications"}, "IP" : {"fullname" : "Immunoprecipitation", "shortname":"IP"}, "WB" : {"fullname" : "Western blot", "shortname":"WB"}, "IHCP" : {"fullname" : "Immunohistochemistry (Formalin/PFA-fixed paraffin-embedded sections)", "shortname":"IHC-P"} }, "product-promise": { "all": "all", "testedAndGuaranteed": "tested", "guaranteed": "expected", "predicted": "predicted", "notRecommended": "not-recommended" } }, "values": { "Human": { "IP-species-checked": "testedAndGuaranteed", "IP-species-dilution-info": "1/30", "IP-species-notes": "<p></p>", "WB-species-checked": "testedAndGuaranteed", "WB-species-dilution-info": "1/1000", "WB-species-notes": "<p></p>", "IHCP-species-checked": "notRecommended", "IHCP-species-dilution-info": "", "IHCP-species-notes": "<p></p>" }, "Mouse": { "IP-species-checked": "notRecommended", "IP-species-dilution-info": "", "IP-species-notes": "", "WB-species-checked": "notRecommended", "WB-species-dilution-info": "1/1000", "WB-species-notes": "<p></p>", "IHCP-species-checked": "notRecommended", "IHCP-species-dilution-info": "", "IHCP-species-notes": "<p></p>" }, "Rat": { "IP-species-checked": "notRecommended", "IP-species-dilution-info": "", "IP-species-notes": "", "WB-species-checked": "notRecommended", "WB-species-dilution-info": "1/1000", "WB-species-notes": "<p></p>", "IHCP-species-checked": "notRecommended", "IHCP-species-dilution-info": "", "IHCP-species-notes": "<p></p>" } } }

Product details

Patented technology
Our RabMAb® technology is a patented hybridoma-based technology for making rabbit monoclonal antibodies. For details on our patents, please refer to RabMAb® patents.

What are the advantages of a recombinant monoclonal antibody?
This product is a recombinant monoclonal antibody, which offers several advantages including:

  • - High batch-to-batch consistency and reproducibility
  • - Improved sensitivity and specificity
  • - Long-term security of supply
  • - Animal-free batch production

For more information, read more on recombinant antibodies.

Properties and storage information

Form
Liquid
Purification technique
Affinity purification Protein A
Storage buffer
pH: 7.2 - 7.4 Preservative: 0.01% Sodium azide Constituents: PBS, 40% Glycerol (glycerin, glycerine), 0.05% BSA
Shipped at conditions
Blue Ice
Appropriate short-term storage duration
1-2 weeks
Appropriate short-term storage conditions
+4°C
Appropriate long-term storage conditions
-20°C
Aliquoting information
Upon delivery aliquot
Storage information
Avoid freeze / thaw cycle

Product protocols

For this product, it's our understanding that no specific protocols are required. You can visit:

Target data

May function in innate immunity through activation of the lectin complement pathway. Calcium-dependent and GlcNAc-binding lectin. Enhances phagocytosis of S.typhimurium by neutrophils, suggesting an opsonic effect via the collagen region.
See full target information FCN2

Product promise

We are committed to supporting your work with high-quality reagents, and we're here for you every step of the way. In the unlikely event that one of our products does not perform as expected, you're protected by our Product Promise.
For full details, please see our Terms & Conditions

Please note: All products are 'FOR RESEARCH USE ONLY. NOT FOR USE IN DIAGNOSTIC OR THERAPEUTIC PROCEDURES'.

For licensing inquiries, please contact partnerships@abcam.com