JavaScript is disabled in your browser. Please enable JavaScript to view this website.
AB324673

Anti-Ficolin-3 antibody [EPR30745-69]

Be the first to review this product! Submit a review

|

(0 Publication)

Rabbit Recombinant Monoclonal FCN3 antibody. Suitable for WB, IHC-P and reacts with Recombinant fragment - Human, Human samples.

View Alternative Names

FCNH, HAKA1, FCN3, Ficolin-3, Collagen/fibrinogen domain-containing lectin 3 p35, Collagen/fibrinogen domain-containing protein 3, Hakata antigen

7 Images
Immunohistochemistry (Formalin/PFA-fixed paraffin-embedded sections) - Anti-Ficolin-3 antibody [EPR30745-69] (AB324673)
  • IHC-P

Supplier Data

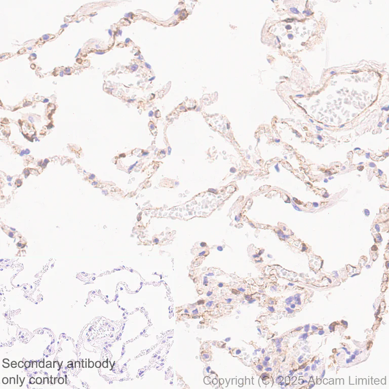
Immunohistochemistry (Formalin/PFA-fixed paraffin-embedded sections) - Anti-Ficolin-3 antibody [EPR30745-69] (AB324673)

Immunohistochemical analysis of paraffin-embedded Human lung tissue labeling Ficolin-3 with ab324673 at 1/2000 (0.242 ug/ml) dilution, followed by a ready to use LeicaDS9800 (Bond™ Polymer Refine Detection).

Positive staining on human lung.
The primary antibody was incubated for 30 mins at room temperature.
The immunostaining was performed on a Leica Biosystems BOND® RX instrument

Counterstained with Hematoxylin.

Secondary antibody only control : Secondary antibody is a ready to use LeicaDS9800 (Bond™ Polymer Refine Detection).

Heat mediated antigen retrieval was performed with Tris-EDTA buffer (pH 9.0, Epitope Retrieval Solution2) for 20 mins

Immunohistochemistry (Formalin/PFA-fixed paraffin-embedded sections) - Anti-Ficolin-3 antibody [EPR30745-69] (AB324673)
  • IHC-P

Supplier Data

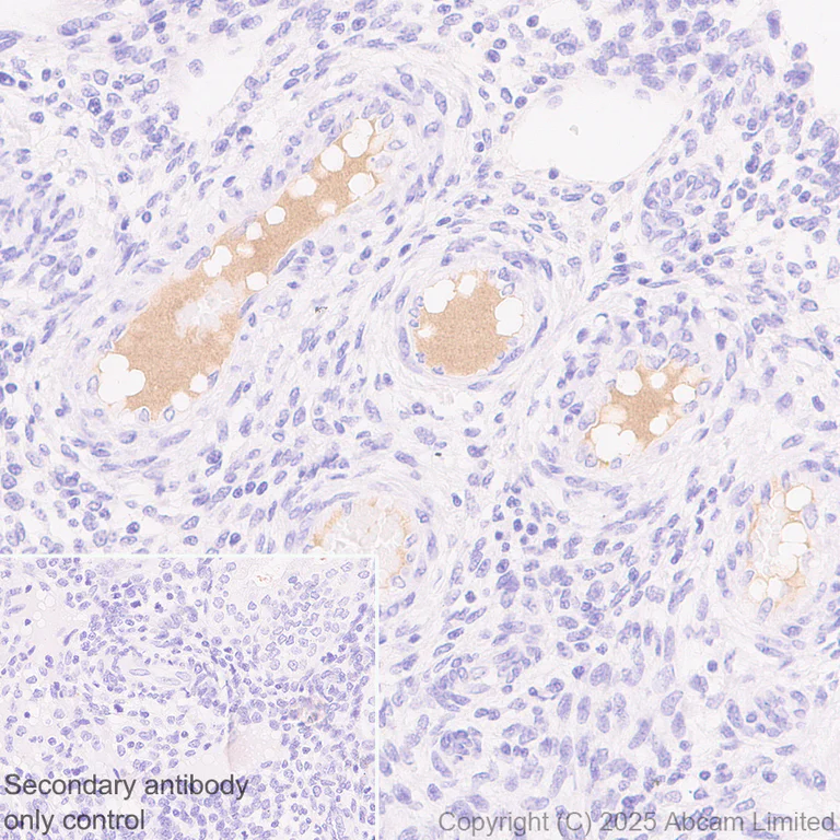
Immunohistochemistry (Formalin/PFA-fixed paraffin-embedded sections) - Anti-Ficolin-3 antibody [EPR30745-69] (AB324673)

Immunohistochemical analysis of paraffin-embedded Human endometrium tissue labeling Ficolin-3 with ab324673 at 1/2000 (0.242 ug/ml) dilution, followed by a ready to use LeicaDS9800 (Bond™ Polymer Refine Detection).

Positive staining on plasma in human endometrium.
The primary antibody was incubated for 30 mins at room temperature.
The immunostaining was performed on a Leica Biosystems BOND® RX instrument

Counterstained with Hematoxylin.

Secondary antibody only control : Secondary antibody is a ready to use LeicaDS9800 (Bond™ Polymer Refine Detection).

Heat mediated antigen retrieval was performed with Tris-EDTA buffer (pH 9.0, Epitope Retrieval Solution2) for 20 mins

Immunohistochemistry (Formalin/PFA-fixed paraffin-embedded sections) - Anti-Ficolin-3 antibody [EPR30745-69] (AB324673)
  • IHC-P

Supplier Data

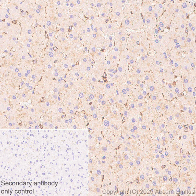
Immunohistochemistry (Formalin/PFA-fixed paraffin-embedded sections) - Anti-Ficolin-3 antibody [EPR30745-69] (AB324673)

Immunohistochemical analysis of paraffin-embedded Human liver tissue labeling Ficolin-3 with ab324673 at 1/2000 (0.242 ug/ml) dilution, followed by a ready to use LeicaDS9800 (Bond™ Polymer Refine Detection).

Positive staining on human liver.
The primary antibody was incubated for 30 mins at room temperature.
The immunostaining was performed on a Leica Biosystems BOND® RX instrument

Counterstained with Hematoxylin.

Secondary antibody only control : Secondary antibody is a ready to use LeicaDS9800 (Bond™ Polymer Refine Detection).

Heat mediated antigen retrieval was performed with Tris-EDTA buffer (pH 9.0, Epitope Retrieval Solution2) for 20 mins

Western blot - Anti-Ficolin-3 antibody [EPR30745-69] (AB324673)
  • WB

Supplier Data

Western blot - Anti-Ficolin-3 antibody [EPR30745-69] (AB324673)

Blocking and diluting buffer and concentration : QD20250827IMG36.

Low expression : testis, spleen, pancreas (PMID : 18006063).

The identity of the lower MW band at approximately 26 kDa (in lane 1) is unknown.

In Western blot, Anti-GAPDH antibody [EPR16891] - Loading Control (ab181602) staining at 1/200000 dilution.

Exposure time : Lanes 1-2 : 10 seconds; Lane 3 : 3 seconds; Lanes 4-6 : 10 seconds.

All lanes:

Western blot - Anti-Ficolin-3 antibody [EPR30745-69] (ab324673) at 1/1000 dilution

Lane 1:

Human liver tissue lysate at 20 µg

Lane 2:

Human testis tissue lysate  at 20 µg

Lane 3:

Human plasma at 20 µg

Lane 4:

Human lung tissue lysate at 20 µg

Lane 5:

Human spleen tissue lysate at 20 µg

Lane 6:

Human pancreas tissue lysate at 20 µg

Secondary

All lanes:

Goat Anti-Rabbit IgG (HRP) with minimal cross-reactivity with human IgG at 1/2000 dilution

Observed band size: 32 kDa,36 kDa

false

Immunohistochemistry (Formalin/PFA-fixed paraffin-embedded sections) - Anti-Ficolin-3 antibody [EPR30745-69] (AB324673)
  • IHC-P

Supplier Data

Immunohistochemistry (Formalin/PFA-fixed paraffin-embedded sections) - Anti-Ficolin-3 antibody [EPR30745-69] (AB324673)

Immunohistochemical analysis of paraffin-embedded Human skeletal muscle tissue labeling Ficolin-3 with ab324673 at 1/2000 (0.242 ug/ml) dilution, followed by a ready to use LeicaDS9800 (Bond™ Polymer Refine Detection).

Negative control : No staining on human skeletal muscle (PMID : 10330454).
The primary antibody was incubated for 30 mins at room temperature.
The immunostaining was performed on a Leica Biosystems BOND® RX instrument

Counterstained with Hematoxylin.

Secondary antibody only control : Secondary antibody is a ready to use LeicaDS9800 (Bond™ Polymer Refine Detection).

Heat mediated antigen retrieval was performed with Tris-EDTA buffer (pH 9.0, Epitope Retrieval Solution2) for 20 mins

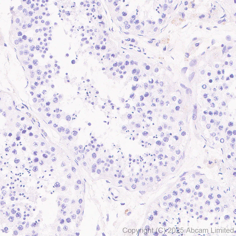
Immunohistochemistry (Formalin/PFA-fixed paraffin-embedded sections) - Anti-Ficolin-3 antibody [EPR30745-69] (AB324673)
  • IHC-P

Supplier Data

Immunohistochemistry (Formalin/PFA-fixed paraffin-embedded sections) - Anti-Ficolin-3 antibody [EPR30745-69] (AB324673)

Immunohistochemical analysis of paraffin-embedded Human testis tissue labeling Ficolin-3 with ab324673 at 1/2000 (0.242 ug/ml) dilution, followed by a ready to use LeicaDS9800 (Bond™ Polymer Refine Detection).

Low expression tissue : Nearly no staining on human tetsis (PMID : 18006063).
The primary antibody was incubated for 30 mins at room temperature.
The immunostaining was performed on a Leica Biosystems BOND® RX instrument

Counterstained with Hematoxylin.

Secondary antibody only control : Secondary antibody is a ready to use LeicaDS9800 (Bond™ Polymer Refine Detection).

Heat mediated antigen retrieval was performed with Tris-EDTA buffer (pH 9.0, Epitope Retrieval Solution2) for 20 mins

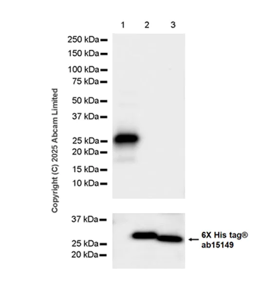
Western blot - Anti-Ficolin-3 antibody [EPR30745-69] (AB324673)
  • WB

Supplier Data

Western blot - Anti-Ficolin-3 antibody [EPR30745-69] (AB324673)

Blocking and diluting buffer and concentration : QD20250827IMG37.

This antibody does not cross-react with recombinant human FCN2 or FCN1 by western blot.

In Western blot, Anti-6X His tag® antibody [AD1.1.10]- (ab15149) staining at 1/1000 dilution.

Exposure time : Lane 1 : 3 seconds; Lanes 2-4 : 10 seconds.

All lanes:

Western blot - Anti-Ficolin-3 antibody [EPR30745-69] (ab324673) at 1/1000 dilution

Lane 1:

Human FCN3 recombinant protein (no-tag) at 10 ng

Lane 2:

His-tagged human FCN2 recombinant protein at 10 ng

Lane 3:

His-tagged human FCN1 recombinant protein at 10 ng

Secondary

All lanes:

Western blot - Goat Anti-Rabbit IgG H&L (HRP) (<a href='/en-us/products/secondary-antibodies/goat-rabbit-igg-h-l-hrp-ab97051'>ab97051</a>) at 1/100000 dilution

Observed band size: 25 kDa,26 kDa

false

Key facts

Host species

Rabbit

Clonality

Monoclonal

Clone number

EPR30745-69

Isotype

IgG

Carrier free

No

Reacts with

Human

Applications

IHC-P, WB

applications

Immunogen

The exact immunogen used to generate this antibody is proprietary information.

Reactivity data

{ "title": "Reactivity Data", "filters": { "stats": ["", "Species", "Dilution Info", "Notes"], "tabs": { "all-applications": {"fullname" : "All Applications", "shortname": "All Applications"}, "WB" : {"fullname" : "Western blot", "shortname":"WB"}, "IHCP" : {"fullname" : "Immunohistochemistry (Formalin/PFA-fixed paraffin-embedded sections)", "shortname":"IHC-P"}, "FlowCytIntra" : {"fullname" : "Flow Cytometry (Intracellular)", "shortname":"Flow Cyt (Intra)"} }, "product-promise": { "all": "all", "testedAndGuaranteed": "tested", "guaranteed": "expected", "predicted": "predicted", "notRecommended": "not-recommended" } }, "values": { "Human": { "WB-species-checked": "testedAndGuaranteed", "WB-species-dilution-info": "1/1000", "WB-species-notes": "<p></p>", "IHCP-species-checked": "testedAndGuaranteed", "IHCP-species-dilution-info": "1/2000", "IHCP-species-notes": "<p></p>", "FlowCytIntra-species-checked": "notRecommended", "FlowCytIntra-species-dilution-info": "", "FlowCytIntra-species-notes": "<p></p>" }, "Recombinant fragment - Human": { "WB-species-checked": "testedAndGuaranteed", "WB-species-dilution-info": "1/1000", "WB-species-notes": "<p></p>", "IHCP-species-checked": "notRecommended", "IHCP-species-dilution-info": "", "IHCP-species-notes": "", "FlowCytIntra-species-checked": "notRecommended", "FlowCytIntra-species-dilution-info": "", "FlowCytIntra-species-notes": "" } } }

Product details

Patented technology
Our RabMAb® technology is a patented hybridoma-based technology for making rabbit monoclonal antibodies. For details on our patents, please refer to RabMAb® patents.

What are the advantages of a recombinant monoclonal antibody?
This product is a recombinant monoclonal antibody, which offers several advantages including:

  • - High batch-to-batch consistency and reproducibility
  • - Improved sensitivity and specificity
  • - Long-term security of supply
  • - Animal-free batch production

For more information, read more on recombinant antibodies.

Properties and storage information

Form
Liquid
Purification technique
Affinity purification Protein A
Storage buffer
pH: 7.2 - 7.4 Preservative: 0.01% Sodium azide Constituents: PBS, 40% Glycerol (glycerin, glycerine), 0.05% BSA
Shipped at conditions
Blue Ice
Appropriate short-term storage duration
1-2 weeks
Appropriate short-term storage conditions
+4°C
Appropriate long-term storage conditions
-20°C
Aliquoting information
Upon delivery aliquot
Storage information
Avoid freeze / thaw cycle

Product protocols

For this product, it's our understanding that no specific protocols are required. You can visit:

Target data

May function in innate immunity through activation of the lectin complement pathway. Calcium-dependent and GlcNAc-binding lectin. Has affinity with GalNAc, GlcNAc, D-fucose, as mono/oligosaccharide and lipopolysaccharides from S.typhimurium and S.minnesota.
See full target information FCN3

Product promise

We are committed to supporting your work with high-quality reagents, and we're here for you every step of the way. In the unlikely event that one of our products does not perform as expected, you're protected by our Product Promise.
For full details, please see our Terms & Conditions

Please note: All products are 'FOR RESEARCH USE ONLY. NOT FOR USE IN DIAGNOSTIC OR THERAPEUTIC PROCEDURES'.

For licensing inquiries, please contact partnerships@abcam.com