JavaScript is disabled in your browser. Please enable JavaScript to view this website.
AB218395

Anti-Filaggrin antibody [FLG/1561]

4

(1 Review)

|

(11 Publications)

Mouse Monoclonal Filaggrin antibody. Suitable for IHC-P and reacts with Human samples. Cited in 11 publications. Immunogen corresponding to Recombinant Fragment Protein within Human FLG aa 950-1150.

View Alternative Names

Filaggrin, FLG

1 Images
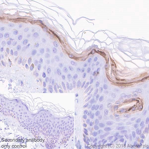
Immunohistochemistry (Formalin/PFA-fixed paraffin-embedded sections) - Anti-Filaggrin antibody [FLG/1561] (AB218395)
  • IHC-P

Supplier Data

Immunohistochemistry (Formalin/PFA-fixed paraffin-embedded sections) - Anti-Filaggrin antibody [FLG/1561] (AB218395)

Immunohistochemical analysis of formalin-fixed, paraffin-embedded human skin tissue labeling Filaggrin with ab218395 at 1 μg/ml.

Key facts

Host species

Mouse

Clonality

Monoclonal

Clone number

FLG/1561

Isotype

IgG1

Carrier free

No

Reacts with

Human

Applications

IHC-P

applications

Immunogen

Recombinant Fragment Protein within Human FLG aa 950-1150. The exact immunogen used to generate this antibody is proprietary information.

P20930

Reactivity data

{ "title": "Reactivity Data", "filters": { "stats": ["", "Species", "Dilution Info", "Notes"], "tabs": { "all-applications": {"fullname" : "All Applications", "shortname": "All Applications"}, "IHCP" : {"fullname" : "Immunohistochemistry (Formalin/PFA-fixed paraffin-embedded sections)", "shortname":"IHC-P"} }, "product-promise": { "all": "all", "testedAndGuaranteed": "tested", "guaranteed": "expected", "predicted": "predicted", "notRecommended": "not-recommended" } }, "values": { "Human": { "IHCP-species-checked": "testedAndGuaranteed", "IHCP-species-dilution-info": "0.5-1 µg/mL", "IHCP-species-notes": "<p>(Primary incubation for 30 minutes at RT).</p>" } } }

Properties and storage information

Form
Liquid
Purification technique
Affinity purification Protein G
Purification notes
ab218395 was purified from Bioreactor Concentrate by Protein A/G.
Storage buffer
pH: 7.2 - 7.4 Preservative: 0.05% Sodium azide Constituents: PBS, 0.05% BSA
Shipped at conditions
Blue Ice
Appropriate short-term storage duration
1-2 weeks
Appropriate short-term storage conditions
+4°C
Appropriate long-term storage conditions
-20°C
Aliquoting information
Upon delivery aliquot
Storage information
Avoid freeze / thaw cycle

Product protocols

For this product, it's our understanding that no specific protocols are required. You can visit:

Target data

Aggregates keratin intermediate filaments and promotes disulfide-bond formation among the intermediate filaments during terminal differentiation of mammalian epidermis.
See full target information FLG

Publications (11)

Recent publications for all applications. Explore the full list and refine your search

Experimental dermatology 34:e70137 PubMed40619834

2025

New Methodological Approach to Follow the Re-Epithelialisation Phase in the Wound Healing Process on a 3D Full Thickness Skin Model.

Applications

Unspecified application

Species

Unspecified reactive species

Bénédicte Fallou,Mylène Pelleter,Florence Innamorato,Mickaël Roche,Michel Bataillon

Journal of cosmetic dermatology 24:e16634 PubMed39506493

2024

Impact of Chronic Moderate Psychological Stress on Skin Aging: Exploratory Clinical Study and Cellular Functioning.

Applications

Unspecified application

Species

Unspecified reactive species

Muriel Pujos,Cécile Chamayou-Robert,Marine Parat,Magali Bonnet,Sandra Couret,Alessia Robiolo,Olivier Doucet

International journal of pharmaceutics 662:124486 PubMed39033940

2024

Hydrophobic binary mixtures containing amphotericin B as lipophilic solutions for the treatment of cutaneous leishmaniasis.

Applications

Unspecified application

Species

Unspecified reactive species

Luc Augis,Cảnh Hưng Nguyễn,Cécile Ciseran,András Wacha,Françoise Mercier-Nomé,Séverine Domenichini,Christina Sizun,Sophie Fourmentin,François-Xavier Legrand

JID innovations : skin science from molecules to population health 4:100284 PubMed38859976

2024

Uncommon Variants in and Are Associated with Atopic Dermatitis in the Ethiopian Population.

Applications

Unspecified application

Species

Unspecified reactive species

Sailan Wang,Julia K Elmgren,Jesper Eisfeldt,Samina Asad,Marlene Ek,Kassahun Bilcha,Annisa Befekadu,Carl-Fredrik Wahlgren,Magnus Nordenskjöld,Fulya Taylan,Isabel Tapia-Paez,Maria Bradley

The Journal of cell biology 223: PubMed38477878

2024

DPM1 modulates desmosomal adhesion and epidermal differentiation through SERPINB5.

Applications

Unspecified application

Species

Unspecified reactive species

Maitreyi Rathod,Henriette Franz,Vivien Beyersdorfer,Marie-Therès Wanuske,Karen Leal-Fischer,Pauline Hanns,Chiara Stüdle,Aude Zimmermann,Katarzyna Buczak,Camilla Schinner,Volker Spindler

International journal of molecular sciences 23: PubMed36361668

2022

An Inflamed and Infected Reconstructed Human Epidermis to Study Atopic Dermatitis and Skin Care Ingredients.

Applications

Unspecified application

Species

Unspecified reactive species

Sébastien Cadau,Manon Gault,Nicolas Berthelemy,Chiung-Yueh Hsu,Louis Danoux,Nicolas Pelletier,Dominique Goudounèche,Carole Pons,Corinne Leprince,Valérie André-Frei,Michel Simon,Sabine Pain

The Journal of investigative dermatology 142:1670-1681.e12 PubMed34740582

2021

Nicotinamide Prevents UVB- and Oxidative Stress‒Induced Photoaging in Human Primary Keratinocytes.

Applications

Unspecified application

Species

Unspecified reactive species

Christina Yan Ru Tan,Chye Ling Tan,Toby Chin,Malgorzata Morenc,Chin Yee Ho,Holly A Rovito,Ling Shih Quek,Ai Ling Soon,John S Y Lim,Oliver Dreesen,John E Oblong,Sophie Bellanger

ImmunoHorizons 5:830-843 PubMed34702760

2021

Transcriptomic Analysis of Healthy and Atopic Dermatitis Samples Reveals the Role of IL-37 in Human Skin.

Applications

Unspecified application

Species

Unspecified reactive species

Jiajun Zhou,David C Gemperline,Matthew J Turner,Jonathan Oldach,Jennifer Molignano,Jonathan T Sims,Keith R Stayrook

The Journal of investigative dermatology 141:2178-2188.e6 PubMed33984347

2021

The Polyamine Regulator AMD1 Upregulates Spermine Levels to Drive Epidermal Differentiation.

Applications

Unspecified application

Species

Unspecified reactive species

Anisa B Rahim,Hui Kheng Lim,Christina Yan Ru Tan,Li Jia,Vonny Ivon Leo,Takeshi Uemura,Jonathan Hardman-Smart,John E A Common,Thiam Chye Lim,Sophie Bellanger,Ralf Paus,Kazuei Igarashi,Henry Yang,Leah A Vardy

Tissue engineering. Part A 26:227-238 PubMed31672103

2019

Three Dimensional Bioprinting of a Vascularized and Perfusable Skin Graft Using Human Keratinocytes, Fibroblasts, Pericytes, and Endothelial Cells.

Applications

Unspecified application

Species

Unspecified reactive species

Tânia Baltazar,Jonathan Merola,Carolina Catarino,Catherine B Xie,Nancy C Kirkiles-Smith,Vivian Lee,Stephanie Hotta,Guohao Dai,Xiaowei Xu,Frederico C Ferreira,W Mark Saltzman,Jordan S Pober,Pankaj Karande
View all publications

Product promise

We are committed to supporting your work with high-quality reagents, and we're here for you every step of the way. In the unlikely event that one of our products does not perform as expected, you're protected by our Product Promise.
For full details, please see our Terms & Conditions

Please note: All products are 'FOR RESEARCH USE ONLY. NOT FOR USE IN DIAGNOSTIC OR THERAPEUTIC PROCEDURES'.

For licensing inquiries, please contact partnerships@abcam.com