JavaScript is disabled in your browser. Please enable JavaScript to view this website.
AB218397

Anti-Filaggrin antibody [FLG/1562]

Be the first to review this product! Submit a review

|

(5 Publications)

Mouse Monoclonal Filaggrin antibody. Suitable for IHC-P and reacts with Human samples. Cited in 5 publications. Immunogen corresponding to Recombinant Fragment Protein within Human FLG aa 950-1150.

View Alternative Names

Filaggrin, FLG

1 Images
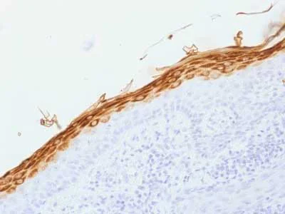
Immunohistochemistry (Formalin/PFA-fixed paraffin-embedded sections) - Anti-Filaggrin antibody [FLG/1562] (AB218397)
  • IHC-P

Supplier Data

Immunohistochemistry (Formalin/PFA-fixed paraffin-embedded sections) - Anti-Filaggrin antibody [FLG/1562] (AB218397)

Immunohistochemical analysis of formalin-fixed, paraffin-embedded human skin tissue labeling Filaggrin with ab218397 at 1 μg/ml.

Key facts

Host species

Mouse

Clonality

Monoclonal

Clone number

FLG/1562

Isotype

IgG1

Light chain type

kappa

Carrier free

No

Reacts with

Human

Applications

IHC-P

applications

Immunogen

Recombinant Fragment Protein within Human FLG aa 950-1150. The exact immunogen used to generate this antibody is proprietary information.

P20930

Reactivity data

{ "title": "Reactivity Data", "filters": { "stats": ["", "Species", "Dilution Info", "Notes"], "tabs": { "all-applications": {"fullname" : "All Applications", "shortname": "All Applications"}, "IHCP" : {"fullname" : "Immunohistochemistry (Formalin/PFA-fixed paraffin-embedded sections)", "shortname":"IHC-P"} }, "product-promise": { "all": "all", "testedAndGuaranteed": "tested", "guaranteed": "expected", "predicted": "predicted", "notRecommended": "not-recommended" } }, "values": { "Human": { "IHCP-species-checked": "testedAndGuaranteed", "IHCP-species-dilution-info": "0.5-1 µg/mL", "IHCP-species-notes": "<p>(Primary incubation for 30 minutes at RT).</p>" } } }

Properties and storage information

Form
Liquid
Purification technique
Affinity purification Protein G
Purification notes
ab218397 was purified from Bioreactor Concentrate by Protein A/G.
Storage buffer
pH: 7.2 - 7.4 Preservative: 0.05% Sodium azide Constituents: PBS, 0.05% BSA
Shipped at conditions
Blue Ice
Appropriate short-term storage duration
1-2 weeks
Appropriate short-term storage conditions
+4°C
Appropriate long-term storage conditions
-20°C
Aliquoting information
Upon delivery aliquot
Storage information
Avoid freeze / thaw cycle

Product protocols

For this product, it's our understanding that no specific protocols are required. You can visit:

Target data

Aggregates keratin intermediate filaments and promotes disulfide-bond formation among the intermediate filaments during terminal differentiation of mammalian epidermis.
See full target information FLG

Publications (5)

Recent publications for all applications. Explore the full list and refine your search

Experimental dermatology 34:e70137 PubMed40619834

2025

New Methodological Approach to Follow the Re-Epithelialisation Phase in the Wound Healing Process on a 3D Full Thickness Skin Model.

Applications

Unspecified application

Species

Unspecified reactive species

Bénédicte Fallou,Mylène Pelleter,Florence Innamorato,Mickaël Roche,Michel Bataillon

Antioxidants (Basel, Switzerland) 14: PubMed40427487

2025

Lysine Carboxymethyl Cysteinate, as a Topical Glutathione Precursor, Protects Against Oxidative Stress and UVB Radiation-Induced Skin Damage.

Applications

Unspecified application

Species

Unspecified reactive species

Ping Gao,Xue Xiao,Xiao Cui,Hong Zhang,Xuelan Gu

The Journal of investigative dermatology 142:1499-1502.e4 PubMed34742704

2021

RACK1 Prevents the Premature Differentiation of Epidermal Progenitor Cells by Inhibiting IRF6 Expression.

Applications

Unspecified application

Species

Unspecified reactive species

Ji Ling,Manisha Tiwari,Yifang Chen,George L Sen

Clinical gastroenterology and hepatology : the official clinical practice journal of the American Gastroenterological Association 18:1727-1735.e2 PubMed31589979

2019

Impedance and Histologic Characteristics of the Sub-Laryngeal Esophagus Distinguish Eosinophilic Esophagitis From Other Esophageal Disorders.

Applications

Unspecified application

Species

Unspecified reactive species

Yash A Choksi,Jasmine Chaparro,Michael Blanco,Rohit Sharda,Shabnam Sarker,Sarah Ferguson,Tina Higginbotham,Girish Hiremath,Frank Revetta,M Kay Washington,Christopher S Williams,Michael F Vaezi

Journal of tissue engineering and regenerative medicine 13:1362-1374 PubMed31067012

2019

Influence of fibrin matrices and their released factors on epidermal substitute phenotype and engraftment.

Applications

Unspecified application

Species

Unspecified reactive species

Maia M Alexaline,Brice Magne,Amparo Zuleta Rodríguez,Muriel Nivet,Daniel Bacqueville,Jean-Jacques Lataillade,Marina Trouillas
View all publications

Product promise

We are committed to supporting your work with high-quality reagents, and we're here for you every step of the way. In the unlikely event that one of our products does not perform as expected, you're protected by our Product Promise.
For full details, please see our Terms & Conditions

Please note: All products are 'FOR RESEARCH USE ONLY. NOT FOR USE IN DIAGNOSTIC OR THERAPEUTIC PROCEDURES'.

For licensing inquiries, please contact partnerships@abcam.com