JavaScript is disabled in your browser. Please enable JavaScript to view this website.
AB234414

Anti-Filaggrin antibody [rFLG/1561]

Be the first to review this product! Submit a review

|

(1 Publication)

Mouse Recombinant Monoclonal Filaggrin antibody. Suitable for IHC-P and reacts with Human samples. Cited in 1 publication. Immunogen corresponding to Recombinant Fragment Protein within Human FLG aa 150-300.

View Alternative Names

Filaggrin, FLG

1 Images
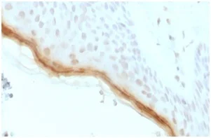
Immunohistochemistry (Formalin/PFA-fixed paraffin-embedded sections) - Anti-Filaggrin antibody [rFLG/1561] (AB234414)
  • IHC-P

Supplier Data

Immunohistochemistry (Formalin/PFA-fixed paraffin-embedded sections) - Anti-Filaggrin antibody [rFLG/1561] (AB234414)

Formalin-fixed, paraffin-embedded human skin tissue stained for Filaggrin using ab234414 at 1 μg/ml in immunohistochemical analysis.

  • Carrier free

    Anti-Filaggrin antibody [rFLG/1561] - BSA and Azide free

Key facts

Host species

Mouse

Clonality

Monoclonal

Clone number

rFLG/1561

Isotype

IgG1

Carrier free

No

Reacts with

Human

Applications

IHC-P

applications

Immunogen

Recombinant Fragment Protein within Human FLG aa 150-300. The exact immunogen used to generate this antibody is proprietary information.

P20930

Reactivity data

{ "title": "Reactivity Data", "filters": { "stats": ["", "Species", "Dilution Info", "Notes"], "tabs": { "all-applications": {"fullname" : "All Applications", "shortname": "All Applications"}, "IHCP" : {"fullname" : "Immunohistochemistry (Formalin/PFA-fixed paraffin-embedded sections)", "shortname":"IHC-P"} }, "product-promise": { "all": "all", "testedAndGuaranteed": "tested", "guaranteed": "expected", "predicted": "predicted", "notRecommended": "not-recommended" } }, "values": { "Human": { "IHCP-species-checked": "testedAndGuaranteed", "IHCP-species-dilution-info": "0.5-1 µg/mL", "IHCP-species-notes": "<p>Primary incubation for 30 minutes at room temperature.</p> Perform heat-mediated antigen retrieval with citrate buffer pH 6 before commencing with IHC staining protocol." } } }

Properties and storage information

Form
Liquid
Purification technique
Affinity purification Protein A/G
Purification notes
Purified from Bioreactor Concentrate by Protein A/G.
Storage buffer
pH: 7.2 - 7.4 Preservative: 0.05% Sodium azide Constituents: PBS, 0.05% BSA
Shipped at conditions
Blue Ice
Appropriate short-term storage duration
1-2 weeks
Appropriate short-term storage conditions
+4°C
Appropriate long-term storage conditions
-20°C
Aliquoting information
Upon delivery aliquot
Storage information
Avoid freeze / thaw cycle

Product protocols

For this product, it's our understanding that no specific protocols are required. You can visit:

Target data

Aggregates keratin intermediate filaments and promotes disulfide-bond formation among the intermediate filaments during terminal differentiation of mammalian epidermis.
See full target information FLG

Publications (1)

Recent publications for all applications. Explore the full list and refine your search

Journal of Cancer 15:3394-3405 PubMed38817869

2024

CD52 knockdown inhibits aerobic glycolysis and malignant behavior of NSCLC cells through AKT signaling pathway.

Applications

Unspecified application

Species

Unspecified reactive species

Yini Cai,Jiali Zhao,Chen Luo,Ming Fang,Yanling Yi,Yu Chen,Peng Huang,Lingmin Liao,Long Huang
View all publications

Product promise

We are committed to supporting your work with high-quality reagents, and we're here for you every step of the way. In the unlikely event that one of our products does not perform as expected, you're protected by our Product Promise.
For full details, please see our Terms & Conditions

Please note: All products are 'FOR RESEARCH USE ONLY. NOT FOR USE IN DIAGNOSTIC OR THERAPEUTIC PROCEDURES'.

For licensing inquiries, please contact partnerships@abcam.com