JavaScript is disabled in your browser. Please enable JavaScript to view this website.
AB189183

Anti-Filamin A antibody

Be the first to review this product! Submit a review

|

(2 Publications)

Rabbit Polyclonal Filamin A antibody. Suitable for IHC-P, WB and reacts with Human samples. Cited in 2 publications. Immunogen corresponding to Synthetic Peptide within Human FLNA aa 2100-2200.

View Alternative Names

FLN, FLN1, FLNA, Filamin-A, FLN-A, Actin-binding protein 280, Alpha-filamin, Endothelial actin-binding protein, Filamin-1, Non-muscle filamin, ABP-280

3 Images
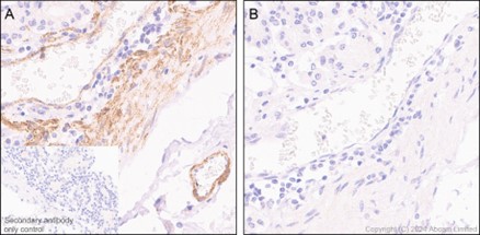
Immunohistochemistry (Formalin/PFA-fixed paraffin-embedded sections) - Anti-Filamin A antibody (AB189183)
  • IHC-P

Supplier Data

Immunohistochemistry (Formalin/PFA-fixed paraffin-embedded sections) - Anti-Filamin A antibody (AB189183)

Immunohistochemical analysis of formalin-fixed, paraffin-embedded Human uterus tissue labeling Filamin A with ab189183 at 10 μg/ml.

Western blot - Anti-Filamin A antibody (AB189183)
  • WB

Supplier Data

Western blot - Anti-Filamin A antibody (AB189183)

All lanes:

Western blot - Anti-Filamin A antibody (ab189183) at 1/500 dilution

Lane 1:

Extracts from 293 cells treated with EGF 200 ng/ml 5'

Lane 2:

Extracts from 293 cells, treated with EGF 200 ng/ml 5' with immunizing peptide

Predicted band size: 281 kDa

false

Western blot - Anti-Filamin A antibody (AB189183)
  • WB

Lab

Western blot - Anti-Filamin A antibody (AB189183)

Western blot : Rabbit Polyclonal to Filamin A ab189183 staining at 1/500 dilution, shown in green; Mouse anti alpha Tubulin (ab7291) loading control staining at 1/20,000 dilution, shown in magenta. A band was observed at 281 kDa in Wild-type U-87 MG cell lysates with no signal observed at this size in FLNA knockout U-87 MG cell line.

To generate this image, samples were run on an SDS-PAGE gel then transferred onto a nitrocellulose membrane. Membranes were blocked in 3pc Milk in TBS-0.1 % Tween® 20 (TBS-T) before incubation with primary antibodies overnight at 4 °C. Blots were washed four times in TBS-T, incubated with secondary antibodies for 1 h at room temperature, washed again four times then imaged. Secondary antibodies used were Goat anti-Rabbit 800CW & Goat anti-Mouse 680RD at 1/20,000 dilution.

All lanes:

Western blot - Anti-Filamin A antibody (ab189183) at 1/500 dilution

Lane 1:

Wild-type U-87 MG at 20 µg

Lane 2:

FLNA knockout U-87 MG at 20 µg

Secondary

All lanes:

Goat anti-Rabbit 800CW & Goat anti-Mouse 680RD at 1/20000 dilution

Predicted band size: 281 kDa

Observed band size: 281 kDa

false

Key facts

Host species

Rabbit

Clonality

Polyclonal

Isotype

IgG

Carrier free

No

Reacts with

Human

Applications

WB, IHC-P

applications

Immunogen

Synthetic Peptide within Human FLNA aa 2100-2200. The exact immunogen used to generate this antibody is proprietary information.

P21333

Reactivity data

{ "title": "Reactivity Data", "filters": { "stats": ["", "Species", "Dilution Info", "Notes"], "tabs": { "all-applications": {"fullname" : "All Applications", "shortname": "All Applications"}, "IHCP" : {"fullname" : "Immunohistochemistry (Formalin/PFA-fixed paraffin-embedded sections)", "shortname":"IHC-P"}, "WB" : {"fullname" : "Western blot", "shortname":"WB"} }, "product-promise": { "all": "all", "testedAndGuaranteed": "tested", "guaranteed": "expected", "predicted": "predicted", "notRecommended": "not-recommended" } }, "values": { "Human": { "IHCP-species-checked": "testedAndGuaranteed", "IHCP-species-dilution-info": "10 µg/mL", "IHCP-species-notes": "<p></p>", "WB-species-checked": "testedAndGuaranteed", "WB-species-dilution-info": "1/500 - 1/1000", "WB-species-notes": "<p></p>" }, "Mouse": { "IHCP-species-checked": "predicted", "IHCP-species-dilution-info": "", "IHCP-species-notes": "", "WB-species-checked": "predicted", "WB-species-dilution-info": "", "WB-species-notes": "" }, "Rat": { "IHCP-species-checked": "predicted", "IHCP-species-dilution-info": "", "IHCP-species-notes": "", "WB-species-checked": "predicted", "WB-species-dilution-info": "", "WB-species-notes": "" } } }

Properties and storage information

Form
Liquid
Purification technique
Affinity purification Immunogen
Storage buffer
pH: 7.4 Preservative: 0.02% Sodium azide Constituents: PBS, 50% Glycerol (glycerin, glycerine), 0.87% Sodium chloride
Shipped at conditions
Blue Ice
Appropriate short-term storage duration
1-2 weeks
Appropriate short-term storage conditions
+4°C
Appropriate long-term storage conditions
-20°C
Aliquoting information
Upon delivery aliquot
Storage information
Avoid freeze / thaw cycle

Product protocols

For this product, it's our understanding that no specific protocols are required. You can visit:

Target data

Promotes orthogonal branching of actin filaments and links actin filaments to membrane glycoproteins. Anchors various transmembrane proteins to the actin cytoskeleton and serves as a scaffold for a wide range of cytoplasmic signaling proteins. Interaction with FLNB may allow neuroblast migration from the ventricular zone into the cortical plate. Tethers cell surface-localized furin, modulates its rate of internalization and directs its intracellular trafficking (By similarity). Involved in ciliogenesis. Plays a role in cell-cell contacts and adherens junctions during the development of blood vessels, heart and brain organs. Plays a role in platelets morphology through interaction with SYK that regulates ITAM- and ITAM-like-containing receptor signaling, resulting in by platelet cytoskeleton organization maintenance (By similarity). During the axon guidance process, required for growth cone collapse induced by SEMA3A-mediated stimulation of neurons (PubMed : 25358863).
See full target information FLNA

Publications (2)

Recent publications for all applications. Explore the full list and refine your search

Journal of nanobiotechnology 22:506 PubMed39180102

2024

Preparation and characterization of BSA-loaded liraglutide and platelet fragment nanoparticle delivery system for the treatment of diabetic atherosclerosis.

Applications

Unspecified application

Species

Unspecified reactive species

Mingping He,Ming Fang,Limin Fan,Alimujiang Maimaitijiang

Nature communications 13:7529 PubMed36477027

2022

Phosphoproteomic analysis of neoadjuvant breast cancer suggests that increased sensitivity to paclitaxel is driven by CDK4 and filamin A.

Applications

Unspecified application

Species

Unspecified reactive species

S Mouron,M J Bueno,A Lluch,L Manso,I Calvo,J Cortes,J A Garcia-Saenz,M Gil-Gil,N Martinez-Janez,J V Apala,E Caleiras,Pilar Ximénez-Embún,J Muñoz,L Gonzalez-Cortijo,R Murillo,R Sánchez-Bayona,J M Cejalvo,G Gómez-López,C Fustero-Torre,S Sabroso-Lasa,N Malats,M Martinez,A Moreno,D Megias,M Malumbres,R Colomer,M Quintela-Fandino
View all publications

Product promise

We are committed to supporting your work with high-quality reagents, and we're here for you every step of the way. In the unlikely event that one of our products does not perform as expected, you're protected by our Product Promise.
For full details, please see our Terms & Conditions

Please note: All products are 'FOR RESEARCH USE ONLY. NOT FOR USE IN DIAGNOSTIC OR THERAPEUTIC PROCEDURES'.

For licensing inquiries, please contact partnerships@abcam.com