JavaScript is disabled in your browser. Please enable JavaScript to view this website.
AB284712

Anti-Filamin A (phospho S1458) antibody [EP2309Y] - BSA and Azide free

Be the first to review this product! Submit a review

|

(0 Publication)

Rabbit Monoclonal Filamin A phospho S1458 antibody. Carrier free. Suitable for WB, IHC-P and reacts with Human samples.

View Alternative Names

FLN, FLN1, FLNA, Filamin-A, FLN-A, Actin-binding protein 280, Alpha-filamin, Endothelial actin-binding protein, Filamin-1, Non-muscle filamin, ABP-280

4 Images
Immunohistochemistry (Formalin/PFA-fixed paraffin-embedded sections) - Anti-Filamin A (phospho S1458) antibody [EP2309Y] - BSA and Azide free (AB284712)
  • IHC-P

Supplier Data

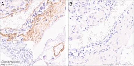
Immunohistochemistry (Formalin/PFA-fixed paraffin-embedded sections) - Anti-Filamin A (phospho S1458) antibody [EP2309Y] - BSA and Azide free (AB284712)

Positive staining on smooth muscle cells of human stomach without alkaline phosphatase protein phosphatase treatment (image A). No signal was detected when tissues were treated with alkaline phosphatase protein phosphatase (image B). The sections were using Heat mediated antigen retrieval with Tris-EDTA buffer (pH 9.0, epitope retrieval solution2) for 20 mins, then labeling ab68424 at 1/500 dilution for 30 mins at room temperature. Counterstained with hematoxylin. The immunostaining was performed on a Leica Biosystems BOND® RX instrument.

Immunohistochemistry (Formalin/PFA-fixed paraffin-embedded sections) - Anti-Filamin A (phospho S1458) antibody [EP2309Y] - BSA and Azide free (AB284712)
  • IHC-P

Unknown

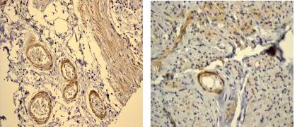
Immunohistochemistry (Formalin/PFA-fixed paraffin-embedded sections) - Anti-Filamin A (phospho S1458) antibody [EP2309Y] - BSA and Azide free (AB284712)

This data was developed using ab68424, the same antibody clone in a different buffer formulation.

Immunohistochemical analysis of paraffin-embedded human stomach (left) and human uterus tissue (right) using ab68424 at 1/10 dilution. Heat-mediated antigen retrieval was performed prior to commencing with IHC protocol and an HRP-conjugated polymerized secondary antibody was used.

Western blot - Anti-Filamin A (phospho S1458) antibody [EP2309Y] - BSA and Azide free (AB284712)
  • WB

Unknown

Western blot - Anti-Filamin A (phospho S1458) antibody [EP2309Y] - BSA and Azide free (AB284712)

This data was developed using ab68424, the same antibody clone in a different buffer formulation.

All lanes:

Western blot - Anti-Filamin A (phospho S1458) antibody [EP2309Y] (<a href='/en-us/products/primary-antibodies/filamin-a-phospho-s1458-antibody-ep2309y-ab68424'>ab68424</a>) at 1/5000 dilution

Lane 1:

HeLa cell lysate - untreated at 10 µg

Lane 2:

HeLa cell lysate - treated with AP at 10 µg

Secondary

All lanes:

HRP-labelled Goat anti-Rabbit antibody at 1/2000 dilution

Predicted band size: 281 kDa

Observed band size: 260 kDa

false

Western blot - Anti-Filamin A (phospho S1458) antibody [EP2309Y] - BSA and Azide free (AB284712)
  • WB

Supplier Data

Western blot - Anti-Filamin A (phospho S1458) antibody [EP2309Y] - BSA and Azide free (AB284712)

All lanes:

Western blot - Anti-Filamin A (phospho S1458) antibody [EP2309Y] (<a href='/en-us/products/primary-antibodies/filamin-a-phospho-s1458-antibody-ep2309y-ab68424'>ab68424</a>) at 1/20000 dilution

Lane 1:

Untreated HeLa (Human cervix adenocarcinoma epithelial cell) whole cell lysate at 15 µg

Lane 2:

HeLa whole cell lysate, then the membrane was incubated with alkaline phosphatase at 15 µg

Secondary

All lanes:

Western blot - Goat Anti-Rabbit IgG H&L (HRP) (<a href='/en-us/products/secondary-antibodies/goat-rabbit-igg-h-l-hrp-ab97051'>ab97051</a>) at 1/20000 dilution

Predicted band size: 281 kDa

Observed band size: 260 kDa

false

Exposure time: 60s

Key facts

Host species

Rabbit

Clonality

Monoclonal

Clone number

EP2309Y

Isotype

IgG

Carrier free

Yes

Reacts with

Human

Applications

WB, IHC-P

applications

Immunogen

The exact immunogen used to generate this antibody is proprietary information.

Reactivity data

{ "title": "Reactivity Data", "filters": { "stats": ["", "Species", "Dilution Info", "Notes"], "tabs": { "all-applications": {"fullname" : "All Applications", "shortname": "All Applications"}, "IP" : {"fullname" : "Immunoprecipitation", "shortname":"IP"}, "FlowCyt" : {"fullname" : "Flow Cytometry", "shortname":"Flow Cyt"}, "WB" : {"fullname" : "Western blot", "shortname":"WB"}, "IHCP" : {"fullname" : "Immunohistochemistry (Formalin/PFA-fixed paraffin-embedded sections)", "shortname":"IHC-P"} }, "product-promise": { "all": "all", "testedAndGuaranteed": "tested", "guaranteed": "expected", "predicted": "predicted", "notRecommended": "not-recommended" } }, "values": { "Human": { "IP-species-checked": "notRecommended", "IP-species-dilution-info": "", "IP-species-notes": "<p></p>", "FlowCyt-species-checked": "notRecommended", "FlowCyt-species-dilution-info": "", "FlowCyt-species-notes": "<p></p>", "WB-species-checked": "testedAndGuaranteed", "WB-species-dilution-info": "", "WB-species-notes": "<p></p>", "IHCP-species-checked": "testedAndGuaranteed", "IHCP-species-dilution-info": "", "IHCP-species-notes": "<p></p>" } } }

Product details

ab284712 is the carrier-free version of ab68424.

This product has switched from a hybridoma to recombinant production method on 8th August 2024.

Patented technology
Our RabMAb® technology is a patented hybridoma-based technology for making rabbit monoclonal antibodies. For details on our patents, please refer to RabMAb® patents.

Conjugation ready
Our carrier-free antibodies are typically supplied in a PBS-only formulation, purified and free of BSA, sodium azide and glycerol. This conjugation-ready format is designed for use with fluorochromes, metal isotopes, oligonucleotides, and enzymes, which makes them ideal for antibody labelling, functional and cell-based assays, flow-based assays (e.g. mass cytometry) and Multiplex Imaging applications.

Use our conjugation kits for antibody conjugates that are ready-to-use in as little as 20 minutes with 1 minute hands-on-time and 100% antibody recovery: available for fluorescent dyes, HRP, biotin and gold.

Compatibility
This product is compatible with the Maxpar® Antibody Labeling Kit from Fluidigm, without the need for antibody preparation. Maxpar® is a trademark of Fluidigm Canada Inc.

What are the advantages of a recombinant monoclonal antibody?
This product is a recombinant monoclonal antibody, which offers several advantages including:

  • - High batch-to-batch consistency and reproducibility
  • - Improved sensitivity and specificity
  • - Long-term security of supply
  • - Animal-free batch production

For more information, read more on recombinant antibodies.

Properties and storage information

Form
Liquid
Purification technique
Affinity purification Protein A
Storage buffer
pH: 7.2 - 7.4 Constituents: PBS
Shipped at conditions
Blue Ice
Appropriate short-term storage conditions
+4°C
Appropriate long-term storage conditions
+4°C

Product protocols

For this product, it's our understanding that no specific protocols are required. You can visit:

Target data

Promotes orthogonal branching of actin filaments and links actin filaments to membrane glycoproteins. Anchors various transmembrane proteins to the actin cytoskeleton and serves as a scaffold for a wide range of cytoplasmic signaling proteins. Interaction with FLNB may allow neuroblast migration from the ventricular zone into the cortical plate. Tethers cell surface-localized furin, modulates its rate of internalization and directs its intracellular trafficking (By similarity). Involved in ciliogenesis. Plays a role in cell-cell contacts and adherens junctions during the development of blood vessels, heart and brain organs. Plays a role in platelets morphology through interaction with SYK that regulates ITAM- and ITAM-like-containing receptor signaling, resulting in by platelet cytoskeleton organization maintenance (By similarity). During the axon guidance process, required for growth cone collapse induced by SEMA3A-mediated stimulation of neurons (PubMed : 25358863).
See full target information FLNA phospho S1458

Product promise

We are committed to supporting your work with high-quality reagents, and we're here for you every step of the way. In the unlikely event that one of our products does not perform as expected, you're protected by our Product Promise.
For full details, please see our Terms & Conditions

Please note: All products are 'FOR RESEARCH USE ONLY. NOT FOR USE IN DIAGNOSTIC OR THERAPEUTIC PROCEDURES'.

For licensing inquiries, please contact partnerships@abcam.com