JavaScript is disabled in your browser. Please enable JavaScript to view this website.
AB284727

Anti-Filamin A (phospho S2152) + Filamin B (phospho S2107) antibody [EP2310AY] - BSA and Azide free

Be the first to review this product! Submit a review

|

(0 Publication)

Rabbit Recombinant Monoclonal Filamin A antibody. Carrier free. Suitable for WB, IHC-P, Dot and reacts with Human, Mouse, Rat, Synthetic peptide samples.

View Alternative Names

FLN, FLN1, FLNA, Filamin-A, FLN-A, Actin-binding protein 280, Alpha-filamin, Endothelial actin-binding protein, Filamin-1, Non-muscle filamin, ABP-280

6 Images
Immunohistochemistry (Formalin/PFA-fixed paraffin-embedded sections) - Anti-Filamin A (phospho S2152) + Filamin B (phospho S2107) antibody [EP2310AY] - BSA and Azide free (AB284727)
  • IHC-P

Lab

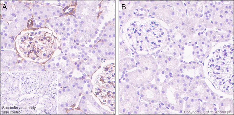
Immunohistochemistry (Formalin/PFA-fixed paraffin-embedded sections) - Anti-Filamin A (phospho S2152) + Filamin B (phospho S2107) antibody [EP2310AY] - BSA and Azide free (AB284727)

This data was developed using ab75978 the same antibody clone in a different buffer. Immunohistochemistry analysis of Paraffin-embedded human kidney sections labeling Filamin A (phospho S2152) + Filamin B (phospho S2107) with ab75978 at 1/200 dilution followed by Rabbit specific IHC polymer detection kit HRP/DAB (ab209101). Sections were counterstained with Hematoxylin. Antigen retrieval was heat mediated with Tris-EDTA buffer (pH 9.0, epitope retrieval solution2) for 20 mins. Positive staining on human kidney without alkaline phosphatase treatment (image A); No signal was detected when tissues were treated with alkaline phosphatase (image B). The section was incubated with ab75978 for 30 mins at room temperature. The immunostaining was performed on a Leica Biosystems BOND® RX instrument.

Immunohistochemistry (Formalin/PFA-fixed paraffin-embedded sections) - Anti-Filamin A (phospho S2152) + Filamin B (phospho S2107) antibody [EP2310AY] - BSA and Azide free (AB284727)
  • IHC-P

Lab

Immunohistochemistry (Formalin/PFA-fixed paraffin-embedded sections) - Anti-Filamin A (phospho S2152) + Filamin B (phospho S2107) antibody [EP2310AY] - BSA and Azide free (AB284727)

This data was developed using ab75978 the same antibody clone in a different buffer. Immunohistochemistry analysis of Paraffin-embedded rat kidney sections labeling Filamin A (phospho S2152) + Filamin B (phospho S2107) with ab75978 at 1/200 dilution followed by Rabbit specific IHC polymer detection kit HRP/DAB (ab209101). Sections were counterstained with Hematoxylin. Antigen retrieval was heat mediated with Tris-EDTA buffer (pH 9.0, epitope retrieval solution2) for 20 mins. Positive staining on rat kidney without alkaline phosphatase treatment (image A); No signal was detected when tissues were treated with alkaline phosphatase (image B). The section was incubated with ab75978 for 30 mins at room temperature. The immunostaining was performed on a Leica Biosystems BOND® RX instrument

Immunohistochemistry (Formalin/PFA-fixed paraffin-embedded sections) - Anti-Filamin A (phospho S2152) + Filamin B (phospho S2107) antibody [EP2310AY] - BSA and Azide free (AB284727)
  • IHC-P

Lab

Immunohistochemistry (Formalin/PFA-fixed paraffin-embedded sections) - Anti-Filamin A (phospho S2152) + Filamin B (phospho S2107) antibody [EP2310AY] - BSA and Azide free (AB284727)

This data was developed using ab75978 the same antibody clone in a different buffer. Immunohistochemistry analysis of Paraffin-embedded human cardiac muscle sections labeling Filamin A (phospho S2152) + Filamin B (phospho S2107) with ab75978 at 1/200 dilution followed by Rabbit specific IHC polymer detection kit HRP/DAB (ab209101). Sections were counterstained with Hematoxylin. Antigen retrieval was heat mediated with Tris-EDTA buffer (pH 9.0, epitope retrieval solution2) for 20 mins. Negative control : No staining on the intercalated disks in human cardiac muscle, which shows ab75978 doesn't react with Filamin C. The section was incubated with ab75978 for 30 mins at room temperature. The immunostaining was performed on a Leica Biosystems BOND® RX instrument.

Immunohistochemistry (Formalin/PFA-fixed paraffin-embedded sections) - Anti-Filamin A (phospho S2152) + Filamin B (phospho S2107) antibody [EP2310AY] - BSA and Azide free (AB284727)
  • IHC-P

Lab

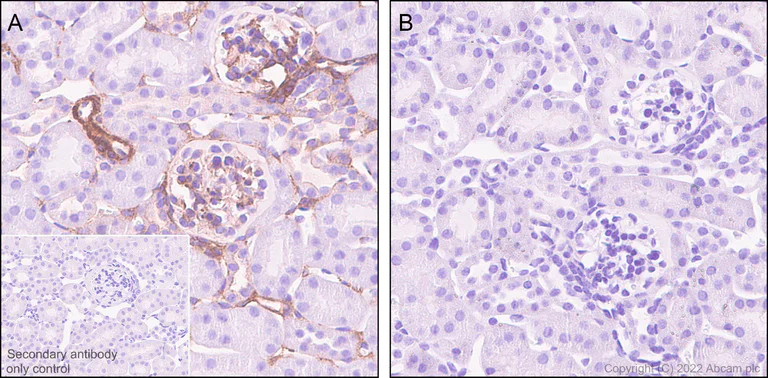
Immunohistochemistry (Formalin/PFA-fixed paraffin-embedded sections) - Anti-Filamin A (phospho S2152) + Filamin B (phospho S2107) antibody [EP2310AY] - BSA and Azide free (AB284727)

This data was developed using ab75978 the same antibody clone in a different buffer. Immunohistochemistry analysis of Paraffin-embedded mouse kidney sections labeling Filamin A (phospho S2152) + Filamin B (phospho S2107) with ab75978 at 1/200 dilution followed by Rabbit specific IHC polymer detection kit HRP/DAB (ab209101). Sections were counterstained with Hematoxylin. Antigen retrieval was heat mediated with Tris-EDTA buffer (pH 9.0, epitope retrieval solution2) for 20 mins. Positive staining on mouse kidney without alkaline phosphatase treatment (image A); No signal was detected when tissues were treated with alkaline phosphatase (image B). The section was incubated with ab75978 for 30 mins at room temperature. The immunostaining was performed on a Leica Biosystems BOND® RX instrument

Western blot - Anti-Filamin A (phospho S2152) + Filamin B (phospho S2107) antibody [EP2310AY] - BSA and Azide free (AB284727)
  • WB

Lab

Western blot - Anti-Filamin A (phospho S2152) + Filamin B (phospho S2107) antibody [EP2310AY] - BSA and Azide free (AB284727)

This data was developed using ab75978 the same antibody clone in a different buffer. Blocking/Diluting buffer and concentration : 5% NFDM/TBST Exposure time 5.5 seconds

All lanes:

Western blot - Anti-Filamin A (phospho S2152) + Filamin B (phospho S2107) antibody [EP2310AY] (<a href='/en-us/products/primary-antibodies/filamin-a-phospho-s2152-filamin-b-phospho-s2107-antibody-ep2310ay-ab75978'>ab75978</a>) at 1/500 dilution

Lane 1:

L-929 (mouse connective tissue fibroblast) whole cell lysate (untreated membrane) at 20 µg

Lane 2:

L-929 (mouse connective tissue fibroblast) whole cell lysate (phosphatase treated membrane) at 20 µg

Secondary

All lanes:

Western blot - Goat Anti-Rabbit IgG H&L (HRP) (<a href='/en-us/products/secondary-antibodies/goat-rabbit-igg-h-l-hrp-ab97051'>ab97051</a>) at 1/20000 dilution

Observed band size: 280 kDa

false

Dot Blot - Anti-Filamin A (phospho S2152) + Filamin B (phospho S2107) antibody [EP2310AY] - BSA and Azide free (AB284727)
  • Dot

Lab

Dot Blot - Anti-Filamin A (phospho S2152) + Filamin B (phospho S2107) antibody [EP2310AY] - BSA and Azide free (AB284727)

This data was developed using ab75978 the same antibody clone in a different buffer. Dot blot analysis of Filamin A (phospho S2152) + Filamin B (phospho S2107) using ab75978 at 1/1000 followed by a Goat Anti-Rabbit IgG, (H+L), Peroxidase conjugated (ab97051) at 1/100,000 dilution. Lane 1 : Filamin A non-phospho peptide Lane 2 : Filamin A (phospho S2152) peptide a Lane 3 : Filamin A (phospho S2158) peptide b Lane 4 : Filamin B non-phospho peptide Lane 5 : Filamin B (phospho S2107) peptide a Lane 6 : Filamin B (phospho S2113) peptide b Lane 7 : Filamin C non-phospho peptide Lane 8 : Filamin C (phospho S2146) peptide a Lane 9 : Filamin C (phospho S2152) peptide b Exposure time : 180 seconds Blocking and diluting buffer and concentration : 5% NFDM/TBST This antibody does cross-react with Filamin A (phospho S2152) and Filamin B (phospho S2107).

Key facts

Host species

Rabbit

Clonality

Monoclonal

Clone number

EP2310AY

Isotype

IgG

Carrier free

Yes

Reacts with

Human, Mouse, Rat

Applications

IHC-P, Dot, WB

applications

Immunogen

The exact immunogen used to generate this antibody is proprietary information.

Reactivity data

{ "title": "Reactivity Data", "filters": { "stats": ["", "Species", "Dilution Info", "Notes"], "tabs": { "all-applications": {"fullname" : "All Applications", "shortname": "All Applications"}, "IP" : {"fullname" : "Immunoprecipitation", "shortname":"IP"}, "FlowCyt" : {"fullname" : "Flow Cytometry", "shortname":"Flow Cyt"}, "WB" : {"fullname" : "Western blot", "shortname":"WB"}, "IHCP" : {"fullname" : "Immunohistochemistry (Formalin/PFA-fixed paraffin-embedded sections)", "shortname":"IHC-P"}, "Dot" : {"fullname" : "Dot Blot", "shortname":"Dot"} }, "product-promise": { "all": "all", "testedAndGuaranteed": "tested", "guaranteed": "expected", "predicted": "predicted", "notRecommended": "not-recommended" } }, "values": { "Human": { "IP-species-checked": "notRecommended", "IP-species-dilution-info": "", "IP-species-notes": "<p></p>", "FlowCyt-species-checked": "notRecommended", "FlowCyt-species-dilution-info": "", "FlowCyt-species-notes": "<p></p>", "WB-species-checked": "testedAndGuaranteed", "WB-species-dilution-info": "", "WB-species-notes": "<p></p>", "IHCP-species-checked": "testedAndGuaranteed", "IHCP-species-dilution-info": "", "IHCP-species-notes": "<p></p>", "Dot-species-checked": "guaranteed", "Dot-species-dilution-info": "", "Dot-species-notes": "" }, "Mouse": { "IP-species-checked": "notRecommended", "IP-species-dilution-info": "", "IP-species-notes": "", "FlowCyt-species-checked": "notRecommended", "FlowCyt-species-dilution-info": "", "FlowCyt-species-notes": "", "WB-species-checked": "testedAndGuaranteed", "WB-species-dilution-info": "", "WB-species-notes": "<p></p>", "IHCP-species-checked": "testedAndGuaranteed", "IHCP-species-dilution-info": "", "IHCP-species-notes": "<p></p>", "Dot-species-checked": "guaranteed", "Dot-species-dilution-info": "", "Dot-species-notes": "" }, "Rat": { "IP-species-checked": "notRecommended", "IP-species-dilution-info": "", "IP-species-notes": "", "FlowCyt-species-checked": "notRecommended", "FlowCyt-species-dilution-info": "", "FlowCyt-species-notes": "", "WB-species-checked": "testedAndGuaranteed", "WB-species-dilution-info": "", "WB-species-notes": "<p></p>", "IHCP-species-checked": "testedAndGuaranteed", "IHCP-species-dilution-info": "", "IHCP-species-notes": "<p></p>", "Dot-species-checked": "guaranteed", "Dot-species-dilution-info": "", "Dot-species-notes": "" }, "Synthetic peptide": { "IP-species-checked": "notRecommended", "IP-species-dilution-info": "", "IP-species-notes": "", "FlowCyt-species-checked": "notRecommended", "FlowCyt-species-dilution-info": "", "FlowCyt-species-notes": "", "WB-species-checked": "notRecommended", "WB-species-dilution-info": "", "WB-species-notes": "", "IHCP-species-checked": "notRecommended", "IHCP-species-dilution-info": "", "IHCP-species-notes": "", "Dot-species-checked": "testedAndGuaranteed", "Dot-species-dilution-info": "", "Dot-species-notes": "<p></p>" } } }

Product details

ab284727 is the carrier-free version of ab75978.

This product has switched from a hybridoma to recombinant production method on 9th June 2023.

Patented technology
Our RabMAb® technology is a patented hybridoma-based technology for making rabbit monoclonal antibodies. For details on our patents, please refer to RabMAb® patents.

Conjugation ready
Our carrier-free antibodies are typically supplied in a PBS-only formulation, purified and free of BSA, sodium azide and glycerol. This conjugation-ready format is designed for use with fluorochromes, metal isotopes, oligonucleotides, and enzymes, which makes them ideal for antibody labelling, functional and cell-based assays, flow-based assays (e.g. mass cytometry) and Multiplex Imaging applications.

Use our conjugation kits for antibody conjugates that are ready-to-use in as little as 20 minutes with 1 minute hands-on-time and 100% antibody recovery: available for fluorescent dyes, HRP, biotin and gold.

Compatibility
This product is compatible with the Maxpar® Antibody Labeling Kit from Fluidigm, without the need for antibody preparation. Maxpar® is a trademark of Fluidigm Canada Inc.

What are the advantages of a recombinant monoclonal antibody?
This product is a recombinant monoclonal antibody, which offers several advantages including:

  • - High batch-to-batch consistency and reproducibility
  • - Improved sensitivity and specificity
  • - Long-term security of supply
  • - Animal-free batch production

For more information, read more on recombinant antibodies.

Properties and storage information

Form
Liquid
Purification technique
Affinity purification Protein A
Storage buffer
pH: 7.2 - 7.4 Constituents: PBS
Shipped at conditions
Blue Ice
Appropriate short-term storage conditions
+4°C
Appropriate long-term storage conditions
+4°C

Product protocols

For this product, it's our understanding that no specific protocols are required. You can visit:

Target data

Promotes orthogonal branching of actin filaments and links actin filaments to membrane glycoproteins. Anchors various transmembrane proteins to the actin cytoskeleton and serves as a scaffold for a wide range of cytoplasmic signaling proteins. Interaction with FLNB may allow neuroblast migration from the ventricular zone into the cortical plate. Tethers cell surface-localized furin, modulates its rate of internalization and directs its intracellular trafficking (By similarity). Involved in ciliogenesis. Plays a role in cell-cell contacts and adherens junctions during the development of blood vessels, heart and brain organs. Plays a role in platelets morphology through interaction with SYK that regulates ITAM- and ITAM-like-containing receptor signaling, resulting in by platelet cytoskeleton organization maintenance (By similarity). During the axon guidance process, required for growth cone collapse induced by SEMA3A-mediated stimulation of neurons (PubMed : 25358863).
See full target information FLNA

Product promise

We are committed to supporting your work with high-quality reagents, and we're here for you every step of the way. In the unlikely event that one of our products does not perform as expected, you're protected by our Product Promise.
For full details, please see our Terms & Conditions

Please note: All products are 'FOR RESEARCH USE ONLY. NOT FOR USE IN DIAGNOSTIC OR THERAPEUTIC PROCEDURES'.

For licensing inquiries, please contact partnerships@abcam.com