JavaScript is disabled in your browser. Please enable JavaScript to view this website.
AB180941

Anti-Filamin C antibody [EPR14498(B)]

5

(2 Reviews)

|

(7 Publications)

Rabbit Recombinant Monoclonal Filamin C antibody. Suitable for WB, IHC-P and reacts with Human samples. Cited in 7 publications.

View Alternative Names

ABPL, FLN2, FLNC, Filamin-C, FLN-C, FLNc, ABP-280-like protein, ABP-L, Actin-binding-like protein, Filamin-2, Gamma-filamin

2 Images
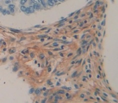
Immunohistochemistry (Formalin/PFA-fixed paraffin-embedded sections) - Anti-Filamin C antibody [EPR14498(B)] (AB180941)
  • IHC-P

Supplier Data

Immunohistochemistry (Formalin/PFA-fixed paraffin-embedded sections) - Anti-Filamin C antibody [EPR14498(B)] (AB180941)

Immunohistochemical analysis of paraffin-embedded Human muscle tissue labeling Filamin C with ab180941 at 1/250 dilution followed by prediluted HRP Polymer for Rabbit IgG. Counter stained with Hematoxylin.

Perform heat mediated antigen retrieval with EDTA buffer pH 9 before commencing with IHC staining protocol.

Western blot - Anti-Filamin C antibody [EPR14498(B)] (AB180941)
  • WB

Supplier Data

Western blot - Anti-Filamin C antibody [EPR14498(B)] (AB180941)

All lanes:

Western blot - Anti-Filamin C antibody [EPR14498(B)] (ab180941) at 1/50000 dilution

Lane 1:

Human skeletal muscle lysate at 20 µg

Lane 2:

Human fetal heart lysate at 20 µg

Secondary

All lanes:

Goat Anti-Rabbit IgG, (H+L), Peroxidase conjugate at 1/1000 dilution

Predicted band size: 291 kDa

Observed band size: 291 kDa

false

  • Carrier free

    Anti-Filamin C antibody [EPR14498(B)] - BSA and Azide free

  • 617 Alexa Fluor® 594

    Alexa Fluor® 594 Anti-Filamin C antibody [EPR14498(B)]

  • 519 Alexa Fluor® 488

    Alexa Fluor® 488 Anti-Filamin C antibody [EPR14498(B)]

  • 578 PE

    PE Anti-Filamin C antibody [EPR14498(B)]

  • 665 Alexa Fluor® 647

    Alexa Fluor® 647 Anti-Filamin C antibody [EPR14498(B)]

  • 565 Alexa Fluor® 555

    Alexa Fluor® 555 Anti-Filamin C antibody [EPR14498(B)]

  • 660 APC

    APC Anti-Filamin C antibody [EPR14498(B)]

  • 775 Alexa Fluor® 750

    Alexa Fluor® 750 Anti-Filamin C antibody [EPR14498(B)]

Key facts

Host species

Rabbit

Clonality

Monoclonal

Clone number

EPR14498(B)

Isotype

IgG

Carrier free

No

Reacts with

Human

Applications

WB, IHC-P

applications

Immunogen

The exact immunogen used to generate this antibody is proprietary information.

Reactivity data

{ "title": "Reactivity Data", "filters": { "stats": ["", "Species", "Dilution Info", "Notes"], "tabs": { "all-applications": {"fullname" : "All Applications", "shortname": "All Applications"}, "WB" : {"fullname" : "Western blot", "shortname":"WB"}, "IHCP" : {"fullname" : "Immunohistochemistry (Formalin/PFA-fixed paraffin-embedded sections)", "shortname":"IHC-P"} }, "product-promise": { "all": "all", "testedAndGuaranteed": "tested", "guaranteed": "expected", "predicted": "predicted", "notRecommended": "not-recommended" } }, "values": { "Human": { "WB-species-checked": "testedAndGuaranteed", "WB-species-dilution-info": "1/10000 - 1/50000", "WB-species-notes": "<p></p>", "IHCP-species-checked": "testedAndGuaranteed", "IHCP-species-dilution-info": "1/250", "IHCP-species-notes": "<p></p>" } } }

Product details

Patented technology
Our RabMAb® technology is a patented hybridoma-based technology for making rabbit monoclonal antibodies. For details on our patents, please refer to RabMAb® patents.

What are the advantages of a recombinant monoclonal antibody?
This product is a recombinant monoclonal antibody, which offers several advantages including:

  • - High batch-to-batch consistency and reproducibility
  • - Improved sensitivity and specificity
  • - Long-term security of supply
  • - Animal-free batch production

For more information, read more on recombinant antibodies.

Properties and storage information

Form
Liquid
Purification technique
Affinity purification Protein A
Storage buffer
Preservative: 0.01% Sodium azide Constituents: PBS, 40% Glycerol (glycerin, glycerine), 0.05% BSA
Shipped at conditions
Blue Ice
Appropriate short-term storage duration
1-2 weeks
Appropriate short-term storage conditions
+4°C
Appropriate long-term storage conditions
-20°C
Aliquoting information
Upon delivery aliquot
Storage information
Avoid freeze / thaw cycle

Product protocols

For this product, it's our understanding that no specific protocols are required. You can visit:

Target data

Muscle-specific filamin, which plays a central role in sarcomere assembly and organization (PubMed : 34405687). Critical for normal myogenesis, it probably functions as a large actin-cross-linking protein with structural functions at the Z lines in muscle cells. May be involved in reorganizing the actin cytoskeleton in response to signaling events (By similarity).
See full target information FLNC

Publications (7)

Recent publications for all applications. Explore the full list and refine your search

Clinical and translational medicine 12:e935 PubMed35834635

2022

Therapeutic induction of Bcl2-associated athanogene 3-mediated autophagy in idiopathic pulmonary fibrosis.

Applications

Unspecified application

Species

Unspecified reactive species

Shashipavan Chillappagari,Julian Schwarz,Vidyasagar Kesireddy,Jessica Knoell,Martina Korfei,Konrad Hoetzenecker,M Lienhard Schmitz,Christian Behl,Saverio Bellusci,Andreas Guenther,Poornima Mahavadi

International journal of biological sciences 18:2018-2031 PubMed35342336

2022

Deficiency Caused Restrictive Cardiomyopathy via Disrupting Proteostasis.

Applications

Unspecified application

Species

Unspecified reactive species

Zhenhua Li,Tianle Wang,Chong Xin,Yao Song,Jingyi Kong,Jingping Xu,Qiqi Liu,Yan Teng,Ning Hou,Xuan Cheng,Guan Yang,Wenjia Liu,Bin Zhou,Youyi Zhang,Xiao Yang,Jian Wang

Asia-Pacific journal of clinical oncology 18:669-677 PubMed35098666

2022

Tripartite motif-containing 54 promotes gastric cancer progression by upregulating K63-linked ubiquitination of filamin C.

Applications

Unspecified application

Species

Unspecified reactive species

Hongtao Cao,Ye Li,Liang Chen,Zhuocai Lu,Tian You,Xiaolong Wang,Baoyan Ji

Cancer cell international 21:581 PubMed34717622

2021

Quantitative phosphoproteomic analysis reveals chemoresistance-related proteins and signaling pathways induced by rhIL-6 in human osteosarcoma cells.

Applications

Unspecified application

Species

Unspecified reactive species

Rui Zhang,Huan Wang,Erliang Li,Yonghong Wu,Yanhua Wen,Chenyu Li,Bo Liao,Qiong Ma

Circulation research 129:751-766 PubMed34405687

2021

Filamin C Cardiomyopathy Variants Cause Protein and Lysosome Accumulation.

Applications

Unspecified application

Species

Unspecified reactive species

Radhika Agarwal,Joao A Paulo,Christopher N Toepfer,Jourdan K Ewoldt,Subramanian Sundaram,Anant Chopra,Qi Zhang,Joshua Gorham,Steven R DePalma,Christopher S Chen,Steven P Gygi,Christine E Seidman,J G Seidman

Frontiers in cardiovascular medicine 8:690846 PubMed34485398

2021

Downregulation of Filamin a Expression in the Aorta Is Correlated With Aortic Dissection.

Applications

Unspecified application

Species

Unspecified reactive species

Yue Chen,Xiang Wei,Zihao Zhang,Yi He,Bo Huo,Xian Guo,Xin Feng,Ze-Min Fang,Ding-Sheng Jiang,Xue-Hai Zhu

The Journal of clinical investigation 127:3730-3740 PubMed28872460

2017

Deficiency in Kelch protein Klhl31 causes congenital myopathy in mice.

Applications

Unspecified application

Species

Unspecified reactive species

James B Papizan,Glynnis A Garry,Svetlana Brezprozvannaya,John R McAnally,Rhonda Bassel-Duby,Ning Liu,Eric N Olson
View all publications

Product promise

We are committed to supporting your work with high-quality reagents, and we're here for you every step of the way. In the unlikely event that one of our products does not perform as expected, you're protected by our Product Promise.
For full details, please see our Terms & Conditions

Please note: All products are 'FOR RESEARCH USE ONLY. NOT FOR USE IN DIAGNOSTIC OR THERAPEUTIC PROCEDURES'.

For licensing inquiries, please contact partnerships@abcam.com