JavaScript is disabled in your browser. Please enable JavaScript to view this website.
AB125184

Anti-FIP antibody

Be the first to review this product! Submit a review

|

(6 Publications)

Rabbit Polyclonal FIP antibody. Suitable for IP, WB, IHC-P and reacts with Human samples. Cited in 6 publications. Immunogen corresponding to Synthetic Peptide within Human USF2 aa 250 to C-terminus.

View Alternative Names

BHLHB12, USF2, Upstream stimulatory factor 2, Class B basic helix-loop-helix protein 12, FOS-interacting protein, Major late transcription factor 2, Upstream transcription factor 2, bHLHb12, FIP

3 Images
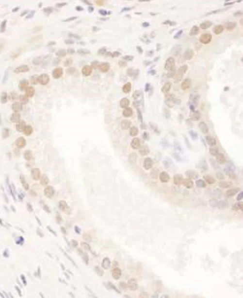
Immunohistochemistry (Formalin/PFA-fixed paraffin-embedded sections) - Anti-FIP antibody (AB125184)
  • IHC-P

Unknown

Immunohistochemistry (Formalin/PFA-fixed paraffin-embedded sections) - Anti-FIP antibody (AB125184)

Immunohistochemistry (Formalin/PFA-fixed paraffin-embedded sections) analysis of human prostate carcinoma tissue labelling FIP with ab125184 at 1 μg/mL. DAB was used as detection. Counterstained with hematoxylin.

Immunoprecipitation - Anti-FIP antibody (AB125184)
  • IP

Unknown

Immunoprecipitation - Anti-FIP antibody (AB125184)

ab125184, at 6 μg/mg lysate, detecting FIP in 293T cell lysate (1 mg of immunoprecipitate, 20% loaded in the lane) by Immunoprecipitation.
For the subsequent Western blot, ab125184 was used at 1 μg/ml.
The blot was developed using the ECL technique, with an exposure time of 10 seconds.

All lanes:

Immunoprecipitation - Anti-FIP antibody (ab125184)

Predicted band size: 37 kDa

false

Western blot - Anti-FIP antibody (AB125184)
  • WB

Unknown

Western blot - Anti-FIP antibody (AB125184)

All lanes:

Western blot - Anti-FIP antibody (ab125184) at 0.1 µg/mL

Lane 1:

HeLa whole cell lysate at 50 µg

Lane 2:

HeLa whole cell lysate at 15 µg

Lane 3:

293T whole cell lysate at 50 µg

Lane 4:

Jurkat whole cell lysate at 50 µg

Predicted band size: 37 kDa

true

Exposure time: 30s

Key facts

Host species

Rabbit

Clonality

Polyclonal

Isotype

IgG

Carrier free

No

Reacts with

Human

Applications

WB, IHC-P, IP

applications

Immunogen

Synthetic Peptide within Human USF2 aa 250 to C-terminus. The exact immunogen used to generate this antibody is proprietary information.

Q15853

Reactivity data

{ "title": "Reactivity Data", "filters": { "stats": ["", "Species", "Dilution Info", "Notes"], "tabs": { "all-applications": {"fullname" : "All Applications", "shortname": "All Applications"}, "IP" : {"fullname" : "Immunoprecipitation", "shortname":"IP"}, "WB" : {"fullname" : "Western blot", "shortname":"WB"}, "IHCP" : {"fullname" : "Immunohistochemistry (Formalin/PFA-fixed paraffin-embedded sections)", "shortname":"IHC-P"} }, "product-promise": { "all": "all", "testedAndGuaranteed": "tested", "guaranteed": "expected", "predicted": "predicted", "notRecommended": "not-recommended" } }, "values": { "Human": { "IP-species-checked": "testedAndGuaranteed", "IP-species-dilution-info": "2-10 µg/mg of lysate", "IP-species-notes": "<p></p>", "WB-species-checked": "testedAndGuaranteed", "WB-species-dilution-info": "1/2000 - 1/10000", "WB-species-notes": "<p></p>", "IHCP-species-checked": "testedAndGuaranteed", "IHCP-species-dilution-info": "1 µg/mL", "IHCP-species-notes": "<p></p>" }, "Chimpanzee": { "IP-species-checked": "predicted", "IP-species-dilution-info": "", "IP-species-notes": "", "WB-species-checked": "predicted", "WB-species-dilution-info": "", "WB-species-notes": "", "IHCP-species-checked": "predicted", "IHCP-species-dilution-info": "", "IHCP-species-notes": "" }, "Orangutan": { "IP-species-checked": "predicted", "IP-species-dilution-info": "", "IP-species-notes": "", "WB-species-checked": "predicted", "WB-species-dilution-info": "", "WB-species-notes": "", "IHCP-species-checked": "predicted", "IHCP-species-dilution-info": "", "IHCP-species-notes": "" } } }

Properties and storage information

Form
Liquid
Purification technique
Affinity purification Immunogen
Storage buffer
pH: 7 - 8 Preservative: 0.09% Sodium azide Constituents: 99% Tris citrate/phosphate
Shipped at conditions
Blue Ice
Appropriate short-term storage conditions
+4°C
Appropriate long-term storage conditions
+4°C
Aliquoting information
Upon delivery aliquot
Storage information
Avoid freeze / thaw cycle

Supplementary information

This supplementary information is collated from multiple sources and compiled automatically.

FIP also known as Family Interacting Protein or Optineurin is a multifunctional protein with a mass of approximately 66 kDa. It is expressed in various tissues with the highest levels in the heart brain and skeletal muscles. FIP functions mechanically as a scaffold protein interacting with a variety of cellular partners to regulate numerous processes. It contains multiple domains that allow it to bind to other proteins and influence cellular signaling pathways.
Biological function summary

FIP impacts cell signaling vesicle trafficking and inflammation. It often participates as a part of larger protein complexes aiding in the fine-tuning of cellular responses. FIP acts as an important mediator in autophagy assisting in the degradation of damaged cellular components. The protein also modulates the inflammatory response by interacting with signaling molecules impacting pathways like NF-kB signaling and mitigating excessive inflammation.

Pathways

FIP influences cellular homeostasis and immune responses. It plays a significant role in the NF-kB signaling pathway which regulates immune responses and cell survival. FIP forms interactions with proteins such as RIPK1 and ubiquitin chains affecting downstream signaling events. Additionally it participates in the autophagy pathway collaborating with proteins like LC3 to mediate the clearance of cellular debris which is critical for maintaining cellular health.

Aberrations in FIP function have been associated with glaucoma and amyotrophic lateral sclerosis (ALS). In glaucoma mutations in FIP are connected to altered autophagic processes impacting optic nerve health. The protein also interacts with TBK1 another factor linked to variations in immune and inflammatory responses contributing to the disease. Furthermore in ALS dysregulation in FIP’s regulatory role in autophagy and inflammation might accelerate neuronal degeneration highlighting its potential as a target for therapeutic intervention.

Product protocols

For this product, it's our understanding that no specific protocols are required. You can visit:

Target data

Transcription factor that binds to a symmetrical DNA sequence (E-boxes) (5'-CACGTG-3') that is found in a variety of viral and cellular promoters.
See full target information USF2

Publications (6)

Recent publications for all applications. Explore the full list and refine your search

Nature communications 15:8334 PubMed39333072

2024

USF2 and TFEB compete in regulating lysosomal and autophagy genes.

Applications

Unspecified application

Species

Unspecified reactive species

Jaebeom Kim,Young Suk Yu,Yehwa Choi,Do Hui Lee,Soobin Han,Junhee Kwon,Taichi Noda,Masahito Ikawa,Dongha Kim,Hyunkyung Kim,Andrea Ballabio,Keun Il Kim,Sung Hee Baek

The Journal of biological chemistry 298:102160 PubMed35724961

2022

Identification of a distal enhancer that determines the expression pattern of acute phase marker C-reactive protein.

Applications

Unspecified application

Species

Unspecified reactive species

Ming-Yu Wang,Chun-Miao Zhang,Hai-Hong Zhou,Zhong-Bo Ge,Chen-Chen Su,Zi-Hao Lou,Xin-Yun Zhang,Tao-Tao Xu,Si-Yi Li,Li Zhu,Ya-Li Zhou,Yi Wu,Shang-Rong Ji

FEBS letters 594:3395-3405 PubMed32767399

2020

Transcription of carbonyl reductase 1 is regulated by DNA topoisomerase II beta.

Applications

Unspecified application

Species

Unspecified reactive species

Mushtaq M Khazeem,Ian G Cowell,Lauren F Harkin,John W Casement,Caroline A Austin

Theranostics 10:1555-1571 PubMed32042322

2020

Therapeutic targeting of YY1/MZF1 axis by MZF1-uPEP inhibits aerobic glycolysis and neuroblastoma progression.

Applications

Unspecified application

Species

Unspecified reactive species

Erhu Fang,Xiaojing Wang,Jianqun Wang,Anpei Hu,Huajie Song,Feng Yang,Dan Li,Wenjing Xiao,Yajun Chen,Yanhua Guo,Yang Liu,Hongjun Li,Kai Huang,Liduan Zheng,Qiangsong Tong

Journal of periodontal research 55:68-76 PubMed31448831

2019

USF2 enhances the osteogenic differentiation of PDLCs by promoting ATF4 transcriptional activities.

Applications

Unspecified application

Species

Unspecified reactive species

Fan Liu,Xiaohong Wang,Bowen Zheng,Danni Li,Cen Chen,In-Seop Lee,Jialin Zhong,Duo Li,Yi Liu

Molecular cell 54:349-61 PubMed24726327

2014

Binding of OTULIN to the PUB domain of HOIP controls NF-κB signaling.

Applications

Unspecified application

Species

Unspecified reactive species

Veronique Schaeffer,Masato Akutsu,Michael H Olma,Ligia C Gomes,Masato Kawasaki,Ivan Dikic
View all publications

Product promise

We are committed to supporting your work with high-quality reagents, and we're here for you every step of the way. In the unlikely event that one of our products does not perform as expected, you're protected by our Product Promise.
For full details, please see our Terms & Conditions

Please note: All products are 'FOR RESEARCH USE ONLY. NOT FOR USE IN DIAGNOSTIC OR THERAPEUTIC PROCEDURES'.

For licensing inquiries, please contact partnerships@abcam.com