JavaScript is disabled in your browser. Please enable JavaScript to view this website.
AB264330

Anti-FIP antibody

Be the first to review this product! Submit a review

|

(0 Publication)

Rabbit Polyclonal FIP antibody. Suitable for IP, WB, IHC-P and reacts with Human, Mouse samples. Immunogen corresponding to Synthetic Peptide within Human USF2 aa 1-50.

View Alternative Names

BHLHB12, USF2, Upstream stimulatory factor 2, Class B basic helix-loop-helix protein 12, FOS-interacting protein, Major late transcription factor 2, Upstream transcription factor 2, bHLHb12, FIP

4 Images
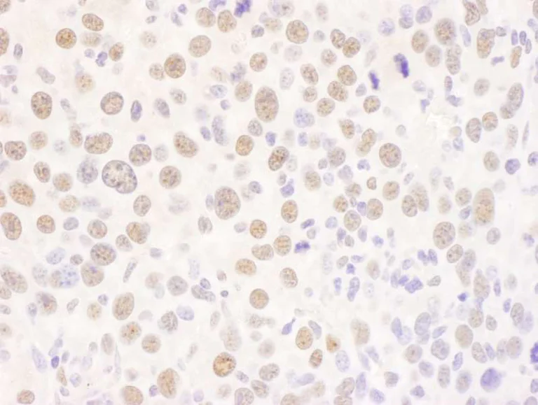
Immunohistochemistry (Formalin/PFA-fixed paraffin-embedded sections) - Anti-FIP antibody (AB264330)
  • IHC-P

Unknown

Immunohistochemistry (Formalin/PFA-fixed paraffin-embedded sections) - Anti-FIP antibody (AB264330)

Formalin-fixed, paraffin-embedded human prostate carcinoma tissue stained for FIP using ab264330 at 1/1000 dilution in immunohistochemical analysis. DAB staining. Counter stained with hematoxylin.

Epitope retrieval with citrate buffer pH 6.0 is recommended for FFPE tissue sections.

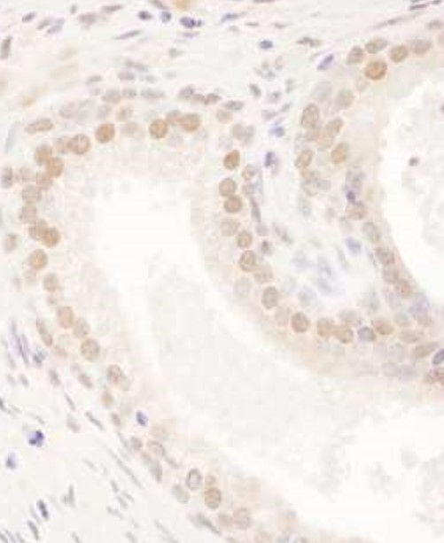
Immunohistochemistry (Formalin/PFA-fixed paraffin-embedded sections) - Anti-FIP antibody (AB264330)
  • IHC-P

Unknown

Immunohistochemistry (Formalin/PFA-fixed paraffin-embedded sections) - Anti-FIP antibody (AB264330)

Formalin-fixed, paraffin-embedded mouse renal cell carcinoma tissue stained for FIP using ab264330 at 1/1000 dilution in immunohistochemical analysis. DAB staining.

Epitope retrieval with citrate buffer pH 6.0 is recommended for FFPE tissue sections.

Immunoprecipitation - Anti-FIP antibody (AB264330)
  • IP

Supplier Data

Immunoprecipitation - Anti-FIP antibody (AB264330)

FIP was immunoprecipitated from HeLa (human epithelial cell line from cervix adenocarcinoma) whole cell lysate (1.0 mg per IP reaction; 20% of IP loaded) using ab264330 at 6 μg per reaction. Western blot was performed on the immunoprecipitates using ab264330 at 1 μg/ml.

Lane 1 : ab264330 IP in HeLa whole cell lysate.

Lane 2 : Control IgG IP in Hela whole cell lysate.

Exposure time : 10 seconds.

All lanes:

Immunoprecipitation - Anti-FIP antibody (ab264330)

Predicted band size: 37 kDa

false

Western blot - Anti-FIP antibody (AB264330)
  • WB

Supplier Data

Western blot - Anti-FIP antibody (AB264330)

All lanes:

Western blot - Anti-FIP antibody (ab264330) at 0.1 µg/mL

Lane 1:

HeLa (human epithelial cell line from cervix adenocarcinoma) whole cell lysate at 50 µg

Lane 2:

HeLa whole cell lysate at 15 µg

Lane 3:

HEK-293T (human epithelial cell line from embryonic kidney transformed with large T antigen) whole cell lysate at 50 µg

Lane 4:

Jurkat (human T cell leukemia cell line from peripheral blood) whole cell lysate at 50 µg

Predicted band size: 37 kDa

true

Exposure time: 3min

Key facts

Host species

Rabbit

Clonality

Polyclonal

Isotype

IgG

Carrier free

No

Reacts with

Mouse, Human

Applications

IHC-P, IP, WB

applications

Immunogen

Synthetic Peptide within Human USF2 aa 1-50. The exact immunogen used to generate this antibody is proprietary information.

Q15853

Reactivity data

{ "title": "Reactivity Data", "filters": { "stats": ["", "Species", "Dilution Info", "Notes"], "tabs": { "all-applications": {"fullname" : "All Applications", "shortname": "All Applications"}, "IP" : {"fullname" : "Immunoprecipitation", "shortname":"IP"}, "WB" : {"fullname" : "Western blot", "shortname":"WB"}, "IHCP" : {"fullname" : "Immunohistochemistry (Formalin/PFA-fixed paraffin-embedded sections)", "shortname":"IHC-P"} }, "product-promise": { "all": "all", "testedAndGuaranteed": "tested", "guaranteed": "expected", "predicted": "predicted", "notRecommended": "not-recommended" } }, "values": { "Human": { "IP-species-checked": "testedAndGuaranteed", "IP-species-dilution-info": "2-10 µg/mg of lysate", "IP-species-notes": "<p></p>", "WB-species-checked": "testedAndGuaranteed", "WB-species-dilution-info": "1/2000 - 1/10000", "WB-species-notes": "<p></p>", "IHCP-species-checked": "testedAndGuaranteed", "IHCP-species-dilution-info": "1/1000 - 1/5000", "IHCP-species-notes": "<p>Epitope retrieval with citrate buffer pH 6.0 is recommended for FFPE tissue sections.</p>" }, "Mouse": { "IP-species-checked": "guaranteed", "IP-species-dilution-info": "", "IP-species-notes": "", "WB-species-checked": "guaranteed", "WB-species-dilution-info": "", "WB-species-notes": "", "IHCP-species-checked": "testedAndGuaranteed", "IHCP-species-dilution-info": "1/1000 - 1/5000", "IHCP-species-notes": "<p>Epitope retrieval with citrate buffer pH 6.0 is recommended for FFPE tissue sections.</p>" }, "Rat": { "IP-species-checked": "predicted", "IP-species-dilution-info": "", "IP-species-notes": "", "WB-species-checked": "predicted", "WB-species-dilution-info": "", "WB-species-notes": "", "IHCP-species-checked": "predicted", "IHCP-species-dilution-info": "", "IHCP-species-notes": "" } } }

Properties and storage information

Form
Liquid
Purification technique
Affinity purification
Storage buffer
pH: 7 - 8 Preservative: 0.09% Sodium azide Constituents: Tris citrate/phosphate
Shipped at conditions
Blue Ice
Appropriate short-term storage duration
1-2 weeks
Appropriate short-term storage conditions
+4°C
Appropriate long-term storage conditions
-20°C
Aliquoting information
Upon delivery aliquot
Storage information
Avoid freeze / thaw cycle

Supplementary information

This supplementary information is collated from multiple sources and compiled automatically.

FIP also known as Family Interacting Protein or Optineurin is a multifunctional protein with a mass of approximately 66 kDa. It is expressed in various tissues with the highest levels in the heart brain and skeletal muscles. FIP functions mechanically as a scaffold protein interacting with a variety of cellular partners to regulate numerous processes. It contains multiple domains that allow it to bind to other proteins and influence cellular signaling pathways.
Biological function summary

FIP impacts cell signaling vesicle trafficking and inflammation. It often participates as a part of larger protein complexes aiding in the fine-tuning of cellular responses. FIP acts as an important mediator in autophagy assisting in the degradation of damaged cellular components. The protein also modulates the inflammatory response by interacting with signaling molecules impacting pathways like NF-kB signaling and mitigating excessive inflammation.

Pathways

FIP influences cellular homeostasis and immune responses. It plays a significant role in the NF-kB signaling pathway which regulates immune responses and cell survival. FIP forms interactions with proteins such as RIPK1 and ubiquitin chains affecting downstream signaling events. Additionally it participates in the autophagy pathway collaborating with proteins like LC3 to mediate the clearance of cellular debris which is critical for maintaining cellular health.

Aberrations in FIP function have been associated with glaucoma and amyotrophic lateral sclerosis (ALS). In glaucoma mutations in FIP are connected to altered autophagic processes impacting optic nerve health. The protein also interacts with TBK1 another factor linked to variations in immune and inflammatory responses contributing to the disease. Furthermore in ALS dysregulation in FIP’s regulatory role in autophagy and inflammation might accelerate neuronal degeneration highlighting its potential as a target for therapeutic intervention.

Product protocols

For this product, it's our understanding that no specific protocols are required. You can visit:

Target data

Transcription factor that binds to a symmetrical DNA sequence (E-boxes) (5'-CACGTG-3') that is found in a variety of viral and cellular promoters.
See full target information USF2

Product promise

We are committed to supporting your work with high-quality reagents, and we're here for you every step of the way. In the unlikely event that one of our products does not perform as expected, you're protected by our Product Promise.
For full details, please see our Terms & Conditions

Please note: All products are 'FOR RESEARCH USE ONLY. NOT FOR USE IN DIAGNOSTIC OR THERAPEUTIC PROCEDURES'.

For licensing inquiries, please contact partnerships@abcam.com