JavaScript is disabled in your browser. Please enable JavaScript to view this website.
AB32616

Anti-FIP antibody

Be the first to review this product! Submit a review

|

(1 Publication)

Rabbit Polyclonal FIP antibody. Suitable for IHC-P and reacts with Human samples. Cited in 1 publication.

View Alternative Names

BHLHB12, USF2, Upstream stimulatory factor 2, Class B basic helix-loop-helix protein 12, FOS-interacting protein, Major late transcription factor 2, Upstream transcription factor 2, bHLHb12, FIP

1 Images
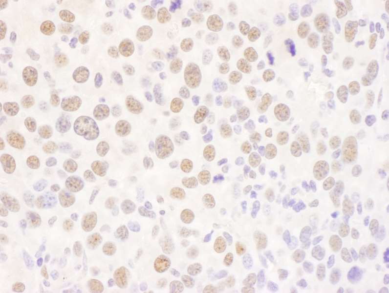
Immunohistochemistry (Formalin/PFA-fixed paraffin-embedded sections) - Anti-FIP antibody (AB32616)
  • IHC-P

Unknown

Immunohistochemistry (Formalin/PFA-fixed paraffin-embedded sections) - Anti-FIP antibody (AB32616)

Immunohistochemical analysis of formalin-fixed, paraffin-embedded human breast carcinoma tissue labelling FIP with ab32616 at 1/50 dilution, followed by a secondary antibody. Nuclear staining is on human breast carcinoma is observed. Counter stained with Hematoxylin.

Antigen retrieval was performed using boiling citrate buffer, pH 6.0, for 10 minutes, followed by cooling at room temperature for 20 minutes. The primary antibody was incubated for 30 minutes at room temperature.

Key facts

Host species

Rabbit

Clonality

Polyclonal

Isotype

IgG

Carrier free

No

Reacts with

Human

Applications

IHC-P

applications

Immunogen

The exact immunogen used to generate this antibody is proprietary information.

Reactivity data

{ "title": "Reactivity Data", "filters": { "stats": ["", "Species", "Dilution Info", "Notes"], "tabs": { "all-applications": {"fullname" : "All Applications", "shortname": "All Applications"}, "IHCP" : {"fullname" : "Immunohistochemistry (Formalin/PFA-fixed paraffin-embedded sections)", "shortname":"IHC-P"} }, "product-promise": { "all": "all", "testedAndGuaranteed": "tested", "guaranteed": "expected", "predicted": "predicted", "notRecommended": "not-recommended" } }, "values": { "Human": { "IHCP-species-checked": "testedAndGuaranteed", "IHCP-species-dilution-info": "", "IHCP-species-notes": "<p></p>" }, "Mouse": { "IHCP-species-checked": "predicted", "IHCP-species-dilution-info": "", "IHCP-species-notes": "" }, "Rat": { "IHCP-species-checked": "predicted", "IHCP-species-dilution-info": "", "IHCP-species-notes": "" }, "Cynomolgus monkey": { "IHCP-species-checked": "predicted", "IHCP-species-dilution-info": "", "IHCP-species-notes": "" }, "Rabbit": { "IHCP-species-checked": "predicted", "IHCP-species-dilution-info": "", "IHCP-species-notes": "" } } }

Properties and storage information

Form
Liquid
Purification technique
Affinity purification Immunogen
Storage buffer
pH: 7.6 Preservative: 0.1% Sodium azide Constituents: PBS, 1% BSA
Shipped at conditions
Blue Ice
Appropriate long-term storage conditions
-20°C
Aliquoting information
Upon delivery aliquot
Storage information
Avoid freeze / thaw cycle

Supplementary information

This supplementary information is collated from multiple sources and compiled automatically.

FIP also known as Family Interacting Protein or Optineurin is a multifunctional protein with a mass of approximately 66 kDa. It is expressed in various tissues with the highest levels in the heart brain and skeletal muscles. FIP functions mechanically as a scaffold protein interacting with a variety of cellular partners to regulate numerous processes. It contains multiple domains that allow it to bind to other proteins and influence cellular signaling pathways.
Biological function summary

FIP impacts cell signaling vesicle trafficking and inflammation. It often participates as a part of larger protein complexes aiding in the fine-tuning of cellular responses. FIP acts as an important mediator in autophagy assisting in the degradation of damaged cellular components. The protein also modulates the inflammatory response by interacting with signaling molecules impacting pathways like NF-kB signaling and mitigating excessive inflammation.

Pathways

FIP influences cellular homeostasis and immune responses. It plays a significant role in the NF-kB signaling pathway which regulates immune responses and cell survival. FIP forms interactions with proteins such as RIPK1 and ubiquitin chains affecting downstream signaling events. Additionally it participates in the autophagy pathway collaborating with proteins like LC3 to mediate the clearance of cellular debris which is critical for maintaining cellular health.

Aberrations in FIP function have been associated with glaucoma and amyotrophic lateral sclerosis (ALS). In glaucoma mutations in FIP are connected to altered autophagic processes impacting optic nerve health. The protein also interacts with TBK1 another factor linked to variations in immune and inflammatory responses contributing to the disease. Furthermore in ALS dysregulation in FIP’s regulatory role in autophagy and inflammation might accelerate neuronal degeneration highlighting its potential as a target for therapeutic intervention.

Product protocols

For this product, it's our understanding that no specific protocols are required. You can visit:

Target data

Transcription factor that binds to a symmetrical DNA sequence (E-boxes) (5'-CACGTG-3') that is found in a variety of viral and cellular promoters.
See full target information USF2

Publications (1)

Recent publications for all applications. Explore the full list and refine your search

The Journal of biological chemistry 288:19238-49 PubMed23653383

2013

Upstream stimulatory factors 1 and 2 mediate the transcription of angiotensin II binding and inhibitory protein.

Applications

Unspecified application

Species

Unspecified reactive species

Miyuki Matsuda,Kouichi Tamura,Hiromichi Wakui,Akinobu Maeda,Masato Ohsawa,Tomohiko Kanaoka,Kengo Azushima,Kazushi Uneda,Sona Haku,Yuko Tsurumi-Ikeya,Yoshiyuki Toya,Yohei Maeshima,Akio Yamashita,Satoshi Umemura
View all publications

Product promise

We are committed to supporting your work with high-quality reagents, and we're here for you every step of the way. In the unlikely event that one of our products does not perform as expected, you're protected by our Product Promise.
For full details, please see our Terms & Conditions

Please note: All products are 'FOR RESEARCH USE ONLY. NOT FOR USE IN DIAGNOSTIC OR THERAPEUTIC PROCEDURES'.

For licensing inquiries, please contact partnerships@abcam.com