JavaScript is disabled in your browser. Please enable JavaScript to view this website.
AB80271

Anti-FIP1L1 antibody

Be the first to review this product! Submit a review

|

(1 Publication)

Rabbit Polyclonal FIP1L1 antibody. Suitable for IHC-P, IP, WB and reacts with Human samples. Cited in 1 publication. Immunogen corresponding to Synthetic Peptide within Human FIP1L1 aa 1-50.

View Alternative Names

FIP1, RHE, FIP1L1, Pre-mRNA 3'-end-processing factor FIP1, hFip1, FIP1-like 1 protein, Factor interacting with PAP, Rearranged in hypereosinophilia

3 Images
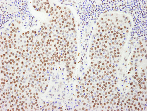
Immunohistochemistry (Formalin/PFA-fixed paraffin-embedded sections) - Anti-FIP1L1 antibody (AB80271)
  • IHC-P

Unknown

Immunohistochemistry (Formalin/PFA-fixed paraffin-embedded sections) - Anti-FIP1L1 antibody (AB80271)

Immunohistochemistry (Formalin/PFA-fixed paraffin-embedded sections) analysis of human pancreatic islet cell tumor tissue labelling FIP1L1 with ab80271 at 1/1000 (1µg/ml). Detection : DAB.

Immunoprecipitation - Anti-FIP1L1 antibody (AB80271)
  • IP

Unknown

Immunoprecipitation - Anti-FIP1L1 antibody (AB80271)

Detection of FIP1L1 in Immunoprecipitates of Whole cell lysate from HeLa cells (1 mg for IP, 20% of IP loaded) using ab80271 at 3 µg/mg lysate for IP (Lane 1) and at 1 µg/ml for subsequent WB detection. Lane 2 represents control IgG IP.

All lanes:

Immunoprecipitation - Anti-FIP1L1 antibody (ab80271)

Predicted band size: 67 kDa

Observed band size: 67 kDa

false

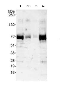
Western blot - Anti-FIP1L1 antibody (AB80271)
  • WB

Unknown

Western blot - Anti-FIP1L1 antibody (AB80271)

All lanes:

Western blot - Anti-FIP1L1 antibody (ab80271) at 0.4 µg/mL

Lane 1:

Whole cell lysate from HeLa cells at 50 µg

Lane 2:

Whole cell lysate from HeLa cells at 15 µg

Lane 3:

Whole cell lysate from HeLa cells at 5 µg

Lane 4:

Whole cell lysate from 293T cells at 50 µg

Predicted band size: 67 kDa

Observed band size: 67 kDa

false

Key facts

Host species

Rabbit

Clonality

Polyclonal

Isotype

IgG

Carrier free

No

Reacts with

Human

Applications

IHC-P, WB, IP

applications

Immunogen

Synthetic Peptide within Human FIP1L1 aa 1-50. The exact immunogen used to generate this antibody is proprietary information.

Q6UN15

Reactivity data

{ "title": "Reactivity Data", "filters": { "stats": ["", "Species", "Dilution Info", "Notes"], "tabs": { "all-applications": {"fullname" : "All Applications", "shortname": "All Applications"}, "IHCP" : {"fullname" : "Immunohistochemistry (Formalin/PFA-fixed paraffin-embedded sections)", "shortname":"IHC-P"}, "IP" : {"fullname" : "Immunoprecipitation", "shortname":"IP"}, "WB" : {"fullname" : "Western blot", "shortname":"WB"} }, "product-promise": { "all": "all", "testedAndGuaranteed": "tested", "guaranteed": "expected", "predicted": "predicted", "notRecommended": "not-recommended" } }, "values": { "Human": { "IHCP-species-checked": "testedAndGuaranteed", "IHCP-species-dilution-info": "1/500 - 1/2000", "IHCP-species-notes": "<p></p> Perform heat-mediated antigen retrieval with citrate buffer pH 6 before commencing with IHC staining protocol.", "IP-species-checked": "testedAndGuaranteed", "IP-species-dilution-info": "2-5 µg/mg of lysate", "IP-species-notes": "<p></p>", "WB-species-checked": "testedAndGuaranteed", "WB-species-dilution-info": "1/2000 - 1/10000", "WB-species-notes": "<p></p>" }, "Chimpanzee": { "IHCP-species-checked": "predicted", "IHCP-species-dilution-info": "", "IHCP-species-notes": "", "IP-species-checked": "predicted", "IP-species-dilution-info": "", "IP-species-notes": "", "WB-species-checked": "predicted", "WB-species-dilution-info": "", "WB-species-notes": "" }, "Cow": { "IHCP-species-checked": "predicted", "IHCP-species-dilution-info": "", "IHCP-species-notes": "", "IP-species-checked": "predicted", "IP-species-dilution-info": "", "IP-species-notes": "", "WB-species-checked": "predicted", "WB-species-dilution-info": "", "WB-species-notes": "" }, "Elephant": { "IHCP-species-checked": "predicted", "IHCP-species-dilution-info": "", "IHCP-species-notes": "", "IP-species-checked": "predicted", "IP-species-dilution-info": "", "IP-species-notes": "", "WB-species-checked": "predicted", "WB-species-dilution-info": "", "WB-species-notes": "" }, "Gorilla": { "IHCP-species-checked": "predicted", "IHCP-species-dilution-info": "", "IHCP-species-notes": "", "IP-species-checked": "predicted", "IP-species-dilution-info": "", "IP-species-notes": "", "WB-species-checked": "predicted", "WB-species-dilution-info": "", "WB-species-notes": "" }, "Opossum": { "IHCP-species-checked": "predicted", "IHCP-species-dilution-info": "", "IHCP-species-notes": "", "IP-species-checked": "predicted", "IP-species-dilution-info": "", "IP-species-notes": "", "WB-species-checked": "predicted", "WB-species-dilution-info": "", "WB-species-notes": "" }, "Orangutan": { "IHCP-species-checked": "predicted", "IHCP-species-dilution-info": "", "IHCP-species-notes": "", "IP-species-checked": "predicted", "IP-species-dilution-info": "", "IP-species-notes": "", "WB-species-checked": "predicted", "WB-species-dilution-info": "", "WB-species-notes": "" }, "Rhesus monkey": { "IHCP-species-checked": "predicted", "IHCP-species-dilution-info": "", "IHCP-species-notes": "", "IP-species-checked": "predicted", "IP-species-dilution-info": "", "IP-species-notes": "", "WB-species-checked": "predicted", "WB-species-dilution-info": "", "WB-species-notes": "" } } }

Properties and storage information

Form
Liquid
Purification technique
Affinity purification Immunogen
Storage buffer
pH: 7 - 8 Preservative: 0.09% Sodium azide Constituents: PBS, 1.815% Tris, 1.764% Sodium citrate
Shipped at conditions
Blue Ice
Appropriate short-term storage conditions
+4°C
Appropriate long-term storage conditions
+4°C
Aliquoting information
Upon delivery aliquot
Storage information
Avoid freeze / thaw cycle

Supplementary information

This supplementary information is collated from multiple sources and compiled automatically.

The protein FIP1L1 also known as Factor Interacting with PAPOLA and CPSF1 is a component of the mRNA processing machinery. It plays a vital role in polyadenylation an important step in mRNA processing. The protein is approximately 68 kDa in mass and is expressed in various tissues with significant levels in hematopoietic cells. This expression pattern suggests that FIP1L1 participates in processes requiring active mRNA synthesis and processing.
Biological function summary

The actions of FIP1L1 modify the mRNA polyadenylation process essential for mRNA stability and export from the nucleus. FIP1L1 acts as part of the Cleavage and Polyadenylation Specificity Factor (CPSF) complex. This complex determines the site of polyadenylation in pre-mRNA integrating signals essential for proper mRNA maturation. FIP1L1's function in this complex showcases its role in gene expression regulation and cellular messaging.

Pathways

FIP1L1 integrates into transcriptional and post-transcriptional pathways affecting mRNA processing. It interacts notably with the polyadenylation signal recognition pathway contributing to the control of RNA processing and the stability of mRNA transcripts. FIP1L1's interaction with proteins such as CPSF complex components ensures effective communications and transitions between transcriptional machinery and mRNA processing mechanisms.

FIP1L1 links especially to eosinophilic disorders including chronic eosinophilic leukemia. A small deletion in chromosome 4q12 can produce a fusion gene between FIP1L1 and PDGFRA leading to the constitutive activation of this receptor tyrosine kinase; this fusion is significant in the pathogenesis of the disease. Understanding FIP1L1’s role in this fusion helps in delineating therapeutic targets for related hematological diseases.

Product protocols

For this product, it's our understanding that no specific protocols are required. You can visit:

Target data

Component of the cleavage and polyadenylation specificity factor (CPSF) complex that plays a key role in pre-mRNA 3'-end formation, recognizing the AAUAAA signal sequence and interacting with poly(A) polymerase and other factors to bring about cleavage and poly(A) addition. FIP1L1 contributes to poly(A) site recognition and stimulates poly(A) addition. Binds to U-rich RNA sequence elements surrounding the poly(A) site. May act to tether poly(A) polymerase to the CPSF complex.
See full target information FIP1L1

Publications (1)

Recent publications for all applications. Explore the full list and refine your search

International journal of molecular medicine 45:703-714 PubMed31922228

2020

PLAG1 silencing promotes cell chemosensitivity in ovarian cancer via the IGF2 signaling pathway.

Applications

Unspecified application

Species

Unspecified reactive species

Wei Huang,Bi-Rong Li,Hao Feng
View all publications

Product promise

We are committed to supporting your work with high-quality reagents, and we're here for you every step of the way. In the unlikely event that one of our products does not perform as expected, you're protected by our Product Promise.
For full details, please see our Terms & Conditions

Please note: All products are 'FOR RESEARCH USE ONLY. NOT FOR USE IN DIAGNOSTIC OR THERAPEUTIC PROCEDURES'.

For licensing inquiries, please contact partnerships@abcam.com