JavaScript is disabled in your browser. Please enable JavaScript to view this website.
AB272871

Anti-FIP200 antibody

Be the first to review this product! Submit a review

|

(0 Publication)

Rabbit Polyclonal FIP200 antibody. Suitable for IHC-P, WB and reacts with Mouse, Human samples. Immunogen corresponding to Recombinant Fragment Protein within Human RB1CC1.

View Alternative Names

KIAA0203, RBICC, RB1CC1, RB1-inducible coiled-coil protein 1, FAK family kinase-interacting protein of 200 kDa, FIP200

3 Images
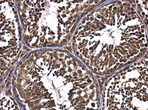
Immunohistochemistry (Formalin/PFA-fixed paraffin-embedded sections) - Anti-FIP200 antibody (AB272871)
  • IHC-P

Supplier Data

Immunohistochemistry (Formalin/PFA-fixed paraffin-embedded sections) - Anti-FIP200 antibody (AB272871)

Paraffin-embedded mouse testis tissue stained for FIP200 using ab272871 at a 1/500 dilution in immunohistochemical analysis. Antigen retrieval using citrate buffer, pH 6, 15 minutes.

Western blot - Anti-FIP200 antibody (AB272871)
  • WB

Supplier Data

Western blot - Anti-FIP200 antibody (AB272871)

5% SDS PAGE

All lanes:

Western blot - Anti-FIP200 antibody (ab272871) at 1/500 dilution

All lanes:

H1299 (human non-small cell lung carcinoma cell line) whole cell lysate at 30 µg

Predicted band size: 183 kDa

false

Western blot - Anti-FIP200 antibody (AB272871)
  • WB

Supplier Data

Western blot - Anti-FIP200 antibody (AB272871)

5% SDS-PAGE

All lanes:

Western blot - Anti-FIP200 antibody (ab272871) at 1/500 dilution

All lanes:

Mouse muscle tissue lysate at 50 µg

Predicted band size: 183 kDa

false

Key facts

Host species

Rabbit

Clonality

Polyclonal

Isotype

IgG

Carrier free

No

Reacts with

Mouse, Human

Applications

WB, IHC-P

applications

Immunogen

Recombinant Fragment Protein within Human RB1CC1. The exact immunogen used to generate this antibody is proprietary information.

Q8TDY2

Reactivity data

{ "title": "Reactivity Data", "filters": { "stats": ["", "Species", "Dilution Info", "Notes"], "tabs": { "all-applications": {"fullname" : "All Applications", "shortname": "All Applications"}, "IHCP" : {"fullname" : "Immunohistochemistry (Formalin/PFA-fixed paraffin-embedded sections)", "shortname":"IHC-P"}, "WB" : {"fullname" : "Western blot", "shortname":"WB"} }, "product-promise": { "all": "all", "testedAndGuaranteed": "tested", "guaranteed": "expected", "predicted": "predicted", "notRecommended": "not-recommended" } }, "values": { "Human": { "IHCP-species-checked": "guaranteed", "IHCP-species-dilution-info": "", "IHCP-species-notes": "", "WB-species-checked": "testedAndGuaranteed", "WB-species-dilution-info": "1/500 - 1/3000", "WB-species-notes": "<p></p>" }, "Mouse": { "IHCP-species-checked": "testedAndGuaranteed", "IHCP-species-dilution-info": "1/100 - 1/1000", "IHCP-species-notes": "<p></p> Perform heat-mediated antigen retrieval with citrate buffer pH 6 before commencing with IHC staining protocol.", "WB-species-checked": "testedAndGuaranteed", "WB-species-dilution-info": "1/500 - 1/3000", "WB-species-notes": "<p></p>" } } }

Properties and storage information

Form
Liquid
Purification technique
Affinity purification Immunogen
Storage buffer
pH: 7 Preservative: 0.01% Thimerosal (merthiolate) Constituents: 10% Glycerol (glycerin, glycerine), 1.21% Tris, 0.75% Glycine
Shipped at conditions
Blue Ice
Appropriate short-term storage duration
1-2 weeks
Appropriate short-term storage conditions
+4°C
Appropriate long-term storage conditions
-20°C
Aliquoting information
Upon delivery aliquot
Storage information
Avoid freeze / thaw cycle

Supplementary information

This supplementary information is collated from multiple sources and compiled automatically.

FIP200 also known as RB1CC1 is a large protein with a mass of approximately 200 kDa. It functions in several cellular processes acting as a scaffold protein that assists in the assembly of different protein complexes. FIP200 is widely expressed in human tissues including the brain heart and skeletal muscle. This suggests it has important roles in diverse biological functions within the body.
Biological function summary

FIP200 is an important component of the ULK1 complex which is a critical player in the regulation of autophagy. Autophagy is a cellular degradation pathway that removes damaged organelles and proteins helping maintain cellular homeostasis. FIP200 interacts with other proteins such as ULK1 and ATG13 to facilitate the initiation of autophagy. Its role in this complex ensures proper cellular response to nutrient deprivation and stress conditions.

Pathways

The mechanistic functions of FIP200 integrate into the autophagy and mTOR signaling pathways. In the mTOR pathway FIP200 acts upstream interacting with proteins like mTOR kinase to coordinate cell growth and autophagy. This interaction contributes to maintaining cellular energy levels and adaptions to metabolic stress. FIP200's regulatory activities within these pathways impact various cellular functions aligning cell metabolism and survival mechanisms.

FIP200's dysfunction has connections to cancer and neurodegenerative diseases. In cancer alterations in FIP200 expression can affect cell proliferation and tumorigenesis possibly through associations with proteins like p53. In neurodegenerative diseases improper autophagy due to malfunctioning FIP200 can lead to the accumulation of damaged proteins and cellular stress forging a link with disorders such as Alzheimer's. Understanding FIP200’s role in these conditions aids the exploration of therapeutic targets for disease treatment.

Product protocols

For this product, it's our understanding that no specific protocols are required. You can visit:

Target data

Involved in autophagy (PubMed : 21775823). Regulates early events but also late events of autophagosome formation through direct interaction with Atg16L1 (PubMed : 23392225). Required for the formation of the autophagosome-like double-membrane structure that surrounds the Salmonella-containing vacuole (SCV) during S.typhimurium infection and subsequent xenophagy (By similarity). Involved in repair of DNA damage caused by ionizing radiation, which subsequently improves cell survival by decreasing apoptosis (By similarity). Inhibits PTK2/FAK1 and PTK2B/PYK2 kinase activity, affecting their downstream signaling pathways (PubMed : 10769033, PubMed : 12221124). Plays a role as a modulator of TGF-beta-signaling by restricting substrate specificity of RNF111 (By similarity). Functions as a DNA-binding transcription factor (PubMed : 12095676). Is a potent regulator of the RB1 pathway through induction of RB1 expression (PubMed : 14533007). Plays a crucial role in muscular differentiation (PubMed : 12163359). Plays an indispensable role in fetal hematopoiesis and in the regulation of neuronal homeostasis (By similarity).
See full target information RB1CC1

Product promise

We are committed to supporting your work with high-quality reagents, and we're here for you every step of the way. In the unlikely event that one of our products does not perform as expected, you're protected by our Product Promise.
For full details, please see our Terms & Conditions

Please note: All products are 'FOR RESEARCH USE ONLY. NOT FOR USE IN DIAGNOSTIC OR THERAPEUTIC PROCEDURES'.

For licensing inquiries, please contact partnerships@abcam.com