JavaScript is disabled in your browser. Please enable JavaScript to view this website.
AB33279

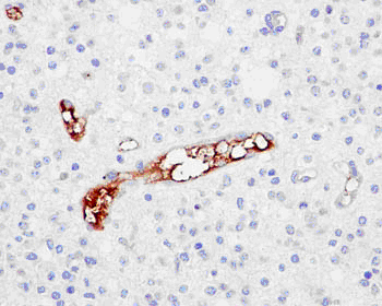
FITC Anti-P-Selectin (CD62P) antibody [AK-6]

Be the first to review this product! Submit a review

|

(3 Publications)

Mouse Monoclonal CD62P antibody - conjugated to FITC. Suitable for Flow Cyt, IHC-P and reacts with Rhesus monkey, Human samples. Cited in 3 publications. Immunogen corresponding to Cell preparation containing SELP protein.

View Alternative Names

CD62P, GMRP, GRMP, SELP, P-selectin, CD62 antigen-like family member P, Granule membrane protein 140, Leukocyte-endothelial cell adhesion molecule 3, Platelet activation dependent granule-external membrane protein, GMP-140, LECAM3, PADGEM

Key facts

Host species

Mouse

Clonality

Monoclonal

Clone number

AK-6

Isotype

IgG1

Conjugation

FITC

Excitation/Emission

Ex: 495nm, Em: 519nm

Carrier free

No

Reacts with

Human, Rhesus monkey

Applications

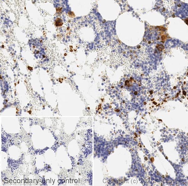
IHC-P, Flow Cyt

applications

Immunogen

Cell preparation containing SELP protein. The exact immunogen used to generate this antibody is proprietary information.

P16109

Reactivity data

{ "title": "Reactivity Data", "filters": { "stats": ["", "Species", "Dilution Info", "Notes"], "tabs": { "all-applications": {"fullname" : "All Applications", "shortname": "All Applications"}, "FlowCyt" : {"fullname" : "Flow Cytometry", "shortname":"Flow Cyt"}, "IHCP" : {"fullname" : "Immunohistochemistry (Formalin/PFA-fixed paraffin-embedded sections)", "shortname":"IHC-P"} }, "product-promise": { "all": "all", "testedAndGuaranteed": "tested", "guaranteed": "expected", "predicted": "predicted", "notRecommended": "not-recommended" } }, "values": { "Human": { "FlowCyt-species-checked": "guaranteed", "FlowCyt-species-dilution-info": "1/10 - 1/100", "FlowCyt-species-notes": "<p>Use 10ul of the suggested working dilution to label 10<sup>6</sup> cells in 100ul.</p>", "IHCP-species-checked": "guaranteed", "IHCP-species-dilution-info": "1/500 - 1/2000", "IHCP-species-notes": "<p>This product does not require antigen retrieval using heat treatment prior to staining of paraffin sections but staining may be enhanced using Sodium Citrate buffer pH6.0</p>" }, "Rhesus monkey": { "FlowCyt-species-checked": "guaranteed", "FlowCyt-species-dilution-info": "1/10 - 1/100", "FlowCyt-species-notes": "<p>Use 10ul of the suggested working dilution to label 10<sup>6</sup> cells in 100ul.</p>", "IHCP-species-checked": "guaranteed", "IHCP-species-dilution-info": "1/500 - 1/2000", "IHCP-species-notes": "<p>This product does not require antigen retrieval using heat treatment prior to staining of paraffin sections but staining may be enhanced using Sodium Citrate buffer pH6.0</p>" } } }

Properties and storage information

Form
Liquid
Purification technique
Affinity purification Protein G
Storage buffer
pH: 7.4 Preservative: 0.09% Sodium azide Constituents: PBS, 1% BSA
Shipped at conditions
Blue Ice
Appropriate short-term storage duration
1-2 weeks
Appropriate short-term storage conditions
+4°C
Appropriate long-term storage conditions
-20°C
Aliquoting information
Upon delivery aliquot
Storage information
Avoid freeze / thaw cycle|Store in the dark

Supplementary information

This supplementary information is collated from multiple sources and compiled automatically.

CD62P also known as P-selectin is a cell adhesion molecule expressed on the surface of activated endothelial cells and platelets. It is a type of protein with a known molecular weight of approximately 140 kDa. P-selectin plays a mechanical role in mediating leukocyte rolling on the endothelium which is an initial step in the inflammatory response. This protein is rapidly translocated to the plasma membrane upon platelet activation and is stored in alpha granules of platelets and Weibel-Palade bodies of endothelial cells.
Biological function summary

P-selectin is critical in the recruitment of leukocytes to sites of tissue injury and infection. It facilitates the adhesion of leukocytes to the vascular endothelium by binding to its ligand PSGL-1 on the leukocyte surface. This interaction supports the transition of leukocytes from the circulation to the site of inflammation. P-selectin is also involved in thrombus formation as it contributes to the interactions between platelets leukocytes and endothelium in the vascular wall. It acts as part of a dynamic complex in the regulation of the innate immune response and hemostasis.

Pathways

CD62P plays an important role in both the inflammatory and coagulation pathways. It is an important mediator in the leukocyte adhesion cascade influencing leukocyte tethering and rolling on activated endothelium. The interaction of P-selectin with PSGL-1 initiates the signaling pathways that lead to firm adhesion and extravasation of leukocytes. In the coagulation pathway P-selectin enhances interactions between platelets and leukocytes which support thrombus formation. Its regulation and activity are tightly linked with other proteins such as E-selectin and L-selectin in coordinating vascular and systemic inflammatory responses.

Altered expression of CD62P is associated with various inflammatory conditions and cardiovascular diseases. In thrombosis increased levels of P-selectin enhance platelet aggregation and stability of the thrombus contributing to pathological clot formation. Similarly in atherosclerosis P-selectin facilitates the recruitment of monocytes to the vessel wall promoting plaque development. The protein's function relates to interactions with key inflammatory mediators and its dysregulation is often observed in conditions like chronic inflammatory diseases and acute myocardial infarction.

Product protocols

For this product, it's our understanding that no specific protocols are required. You can visit:

Target data

Ca(2+)-dependent receptor for myeloid cells that binds to carbohydrates on neutrophils and monocytes. Mediates the interaction of activated endothelial cells or platelets with leukocytes. The ligand recognized is sialyl-Lewis X. Mediates rapid rolling of leukocyte rolling over vascular surfaces during the initial steps in inflammation through interaction with SELPLG. Mediates cell-cell interactions and cell adhesion via the interaction with integrin alpha-IIb/beta3 (ITGA2B : ITGB3) and integrin alpha-V/beta-3 (ITGAV : ITGB3) (PubMed : 37184585).
See full target information SELP

Publications (3)

Recent publications for all applications. Explore the full list and refine your search

Molecular medicine reports 30: PubMed39301623

2024

High‑fat diet‑induced LCN2 exacerbates myocardial ischemia‑reperfusion injury by enhancing platelet activation.

Applications

Unspecified application

Species

Unspecified reactive species

Peng Li,Juhai Chen,Mingdong Wang,Qi Wang,Xingde Liu

Nature communications 12:6282 PubMed34725362

2021

Nuclear S-nitrosylation impacts tissue regeneration in zebrafish.

Applications

Unspecified application

Species

Unspecified reactive species

Gianfranco Matrone,Sung Yun Jung,Jong Min Choi,Antrix Jain,Hon-Chiu Eastwood Leung,Kimal Rajapakshe,Cristian Coarfa,Julie Rodor,Martin A Denvir,Andrew H Baker,John P Cooke

Science advances 6:eaaz4107 PubMed32766439

2020

A biomimetic platelet based on assembling peptides initiates artificial coagulation.

Applications

Unspecified application

Species

Unspecified reactive species

Pei-Pei Yang,Kuo Zhang,Ping-Ping He,Yu Fan,Xuejiao J Gao,Xingfa Gao,Zi-Ming Chen,Da-Yong Hou,Yuan Li,Yu Yi,Dong-Bing Cheng,Jing-Ping Zhang,Linqi Shi,Xian-Zheng Zhang,Lei Wang,Hao Wang
View all publications

Product promise

We are committed to supporting your work with high-quality reagents, and we're here for you every step of the way. In the unlikely event that one of our products does not perform as expected, you're protected by our Product Promise.
For full details, please see our Terms & Conditions

Please note: All products are 'FOR RESEARCH USE ONLY. NOT FOR USE IN DIAGNOSTIC OR THERAPEUTIC PROCEDURES'.

For licensing inquiries, please contact partnerships@abcam.com