JavaScript is disabled in your browser. Please enable JavaScript to view this website.
AB77684

FITC Anti-Cytokeratin 14 antibody [LL002]

5

(6 Reviews)

|

(16 Publications)

Mouse Monoclonal Cytokeratin 14 antibody - conjugated to FITC. Suitable for Flow Cyt, IHC-P and reacts with Human samples. Cited in 16 publications. Immunogen corresponding to Synthetic Peptide within Human Keratin, type I cytoskeletal 14 aa 450 to C-terminus conjugated to Bovine Thyroglobulin.

View Alternative Names

Cytokeratin-14, Keratin-14, CK-14, K14, KRT14

2 Images
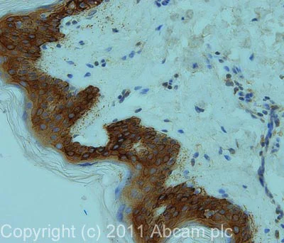
Immunohistochemistry (Formalin/PFA-fixed paraffin-embedded sections) - FITC Anti-Cytokeratin 14 antibody [LL002] (AB77684)
  • IHC-P

Unknown

Immunohistochemistry (Formalin/PFA-fixed paraffin-embedded sections) - FITC Anti-Cytokeratin 14 antibody [LL002] (AB77684)

IHC image of ab77684 staining in human skin formalin fixed paraffin embedded tissue section, performed on a Leica BondTM system using the standard protocol F. The section was pre-treated using heat mediated antigen retrieval with sodium citrate buffer (pH6, epitope retrieval solution 1) for 20 mins. The section was then incubated with ab77684, neat, for 15 mins at room temperature and detected using an HRP conjugated compact polymer system. DAB was used as the chromogen. The section was then counterstained with haematoxylin and mounted with DPX.

For other IHC staining systems (automated and non-automated) customers should optimize variable parameters such as antigen retrieval conditions, primary antibody concentration and antibody incubation times.

Flow Cytometry - FITC Anti-Cytokeratin 14 antibody [LL002] (AB77684)
  • Flow Cyt

Unknown

Flow Cytometry - FITC Anti-Cytokeratin 14 antibody [LL002] (AB77684)

Overlay histogram showing A431 cells stained with ab77684 (red line). The cells were fixed with 4% paraformaldehyde (10 min)) and then permeabilized with 0.1% PBS-Triton for 20 min. The cells were then incubated in 1x PBS / 10% normal goat serum / 0.3M glycine to block non-specific protein-protein interactions followed by the antibody (ab77684, 1μg/1x106 cells) for 30 min at 22°C. Isotype control antibody (black line) was mouse IgG3 FITC (1μg/1x106 cells) used under the same conditions. Acquisition of >5,000 events was performed. This antibody gave a positive signal in A431 cells fixed with 80% methanol/permeabilized in 0.1% PBS-Triton used under the same conditions.

Key facts

Host species

Mouse

Clonality

Monoclonal

Clone number

LL002

Isotype

IgG3

Conjugation

FITC

Excitation/Emission

Ex: 495nm, Em: 519nm

Carrier free

No

Reacts with

Human

Applications

IHC-P, Flow Cyt

applications

Immunogen

Synthetic Peptide within Human Keratin, type I cytoskeletal 14 aa 450 to C-terminus conjugated to Bovine Thyroglobulin. The exact immunogen used to generate this antibody is proprietary information.

P02533

Reactivity data

{ "title": "Reactivity Data", "filters": { "stats": ["", "Species", "Dilution Info", "Notes"], "tabs": { "all-applications": {"fullname" : "All Applications", "shortname": "All Applications"}, "FlowCyt" : {"fullname" : "Flow Cytometry", "shortname":"Flow Cyt"}, "IHCP" : {"fullname" : "Immunohistochemistry (Formalin/PFA-fixed paraffin-embedded sections)", "shortname":"IHC-P"} }, "product-promise": { "all": "all", "testedAndGuaranteed": "tested", "guaranteed": "expected", "predicted": "predicted", "notRecommended": "not-recommended" } }, "values": { "Human": { "FlowCyt-species-checked": "testedAndGuaranteed", "FlowCyt-species-dilution-info": "10 µL for 10^6 Cells", "FlowCyt-species-notes": "<p></p>", "IHCP-species-checked": "testedAndGuaranteed", "IHCP-species-dilution-info": "", "IHCP-species-notes": "<p></p> Perform heat-mediated antigen retrieval via the microwave method before commencing with IHC staining protocol." }, "Mouse": { "FlowCyt-species-checked": "predicted", "FlowCyt-species-dilution-info": "", "FlowCyt-species-notes": "", "IHCP-species-checked": "predicted", "IHCP-species-dilution-info": "", "IHCP-species-notes": "" }, "Rat": { "FlowCyt-species-checked": "predicted", "FlowCyt-species-dilution-info": "", "FlowCyt-species-notes": "", "IHCP-species-checked": "predicted", "IHCP-species-dilution-info": "", "IHCP-species-notes": "" } } }

Properties and storage information

Form
Liquid
Purification technique
Ion exchange chromatography
Purification notes
Ammonium sulphate precipitation followed by ion exchange chromatography.
Storage buffer
Preservative: 0.065% Sodium azide Constituents: PBS, 0.1% BSA
Shipped at conditions
Blue Ice
Appropriate short-term storage conditions
+4°C
Appropriate long-term storage conditions
+4°C

Supplementary information

This supplementary information is collated from multiple sources and compiled automatically.

Cytokeratin 14 also known as CK14 keratin 14 or KRT14 is a type I keratin protein with a molecular mass of approximately 50 kDa. It forms intermediate filaments in epithelial cells primarily in the basal layer of stratified epithelium and is part of the cytoskeleton. Cytokeratin 14 expression appears in tissues such as the epidermis tongue and esophagus where it contributes to the structural integrity and mechanical stability of cells. Laboratories often utilize antibodies like anti-K14 and labels such as Alexa Fluor 555 or Alexa Fluor 647 to identify cytokeratin 14 in research settings.
Biological function summary

This protein significantly contributes to the maintenance and regeneration of epithelial tissues by forming a network of filaments with keratin 5. KRT14 pairs with keratin 5 to create a keratin intermediate filament complex which plays a structural role in the resilience and elasticity of epithelial tissues. This partnership is essential for the assembly of the cytoskeleton and supports the protective barrier function of the skin and related tissues.

Pathways

Cytokeratin 14 engages in pivotal cellular processes like keratinization and wound healing. The protein is actively involved in signal transduction pathways such as the epithelial cell differentiation pathway. Within these pathways KRT14 collaborates with KRT5 and other structural proteins to regulate cell proliferation and differentiation reflecting its importance in skin health and function.

Cytokeratin 14 associates with specific genetic conditions including epidermolysis bullosa simplex (EBS) and squamous cell carcinoma (SCC). In EBS mutations in the KRT14 gene lead to skin fragility. In SCC altered expression of KRT14 and related proteins such as keratin 5 can influence tumor progression and invasion. These associations highlight the critical role of KRT14 in both normal and pathological epithelial function.

Product protocols

For this product, it's our understanding that no specific protocols are required. You can visit:

Target data

The nonhelical tail domain is involved in promoting KRT5-KRT14 filaments to self-organize into large bundles and enhances the mechanical properties involved in resilience of keratin intermediate filaments in vitro.
See full target information Keratin, type I cytoskeletal 14

Publications (16)

Recent publications for all applications. Explore the full list and refine your search

International journal of molecular sciences 26: PubMed41009640

2025

CD163/CD63+ Monocyte-Derived DC Profiled in Tissue by Multi-Antigen Analysis (MAA) Discriminate Chronic Eczema and Psoriasis.

Applications

Unspecified application

Species

Unspecified reactive species

Sabrina Windorfer,Michael Kirr,Waltraud Fröhlich,Bianca Plosnita,Christian Ostalecki,Carola Berking,Michael Sticherling,Andreas S Baur

Nature 635:755-763 PubMed39385030

2024

AKT and EZH2 inhibitors kill TNBCs by hijacking mechanisms of involution.

Applications

Unspecified application

Species

Unspecified reactive species

Amy E Schade,Naiara Perurena,Yoona Yang,Carrie L Rodriguez,Anjana Krishnan,Alycia Gardner,Patrick Loi,Yilin Xu,Van T M Nguyen,G M Mastellone,Natalie F Pilla,Marina Watanabe,Keiichi Ota,Rachel A Davis,Kaia Mattioli,Dongxi Xiang,Jason J Zoeller,Jia-Ren Lin,Stefania Morganti,Ana C Garrido-Castro,Sara M Tolaney,Zhe Li,David A Barbie,Peter K Sorger,Kristian Helin,Sandro Santagata,Simon R V Knott,Karen Cichowski

Stem cell reviews and reports 19:275-278 PubMed36306011

2022

Engraftment of Transplanted Buccal Epithelial Cells onto the Urethrotomy Site, Proven Immunohistochemically in Rabbit Model; a Feat to Prevent Urethral Stricture Recurrence.

Applications

Unspecified application

Species

Unspecified reactive species

Akio Horiguchi,Masayuki Shinchi,Kenichiro Ojima,Yusuke Hirano,Toshihiro Kushibiki,Yoshine Mayumi,Kosuke Miyai,Ichiro Miura,Masaru Iwasaki,Vaddi Suryaprakash,Rajappa Senthilkumar,Senthilkumar Preethy,Shojiro Katoh,Samuel J K Abraham

Frontiers in immunology 13:1012647 PubMed36248909

2022

Soluble CD83 improves and accelerates wound healing by the induction of pro-resolving macrophages.

Applications

Unspecified application

Species

Unspecified reactive species

Dmytro Royzman,Katrin Peckert-Maier,Lena Stich,Christina König,Andreas B Wild,Miyuki Tauchi,Christian Ostalecki,Franklin Kiesewetter,Stefan Seyferth,Geoffrey Lee,Sabine A Eming,Maximilian Fuchs,Meik Kunz,Ewa K Stürmer,Eva M J Peters,Carola Berking,Elisabeth Zinser,Alexander Steinkasserer

Developmental cell 57:1400-1420.e7 PubMed35617956

2022

A human breast atlas integrating single-cell proteomics and transcriptomics.

Applications

Unspecified application

Species

Unspecified reactive species

G Kenneth Gray,Carman Man-Chung Li,Jennifer M Rosenbluth,Laura M Selfors,Nomeda Girnius,Jia-Ren Lin,Ron C J Schackmann,Walter L Goh,Kaitlin Moore,Hana K Shapiro,Shaolin Mei,Kurt D'Andrea,Katherine L Nathanson,Peter K Sorger,Sandro Santagata,Aviv Regev,Judy E Garber,Deborah A Dillon,Joan S Brugge

International journal of molecular sciences 21: PubMed32629914

2020

A Simple Method for the Production of Human Skin Equivalent in 3D, Multi-Cell Culture.

Applications

Unspecified application

Species

Unspecified reactive species

Łukasz Szymański,Krystyna Jęderka,Aleksandra Cios,Martyna Ciepelak,Aneta Lewicka,Wanda Stankiewicz,Sławomir Lewicki

Aging 12:12002-12018 PubMed32570219

2020

Plasma endothelial cells-derived extracellular vesicles promote wound healing in diabetes through YAP and the PI3K/Akt/mTOR pathway.

Applications

Unspecified application

Species

Unspecified reactive species

Feng Wei,Aixue Wang,Qing Wang,Wenrui Han,Rong Rong,Lijuan Wang,Sijia Liu,Yimeng Zhang,Chao Dong,Yanling Li

Cell reports 28:1499-1510.e6 PubMed31390564

2019

Expansion of Luminal Progenitor Cells in the Aging Mouse and Human Prostate.

Applications

Unspecified application

Species

Unspecified reactive species

Preston D Crowell,Jonathan J Fox,Takao Hashimoto,Johnny A Diaz,Héctor I Navarro,Gervaise H Henry,Blake A Feldmar,Matthew G Lowe,Alejandro J Garcia,Ye E Wu,Dipti P Sajed,Douglas W Strand,Andrew S Goldstein

Regenerative medicine 14:15-31 PubMed30566028

2018

The effect of mesenchymal stem cell-secreted factors on airway epithelial repair.

Applications

Unspecified application

Species

Unspecified reactive species

Nur Ssa Halim,Wan M Aizat,Badrul H Yahaya

Scientific reports 7:11732 PubMed28916766

2017

Stimulatory Secretions of Airway Epithelial Cells Accelerate Early Repair of Tracheal Epithelium.

Applications

Unspecified application

Species

Unspecified reactive species

Egi Kardia,Rafeezul Mohamed,Badrul Hisham Yahaya
View all publications

Product promise

We are committed to supporting your work with high-quality reagents, and we're here for you every step of the way. In the unlikely event that one of our products does not perform as expected, you're protected by our Product Promise.
For full details, please see our Terms & Conditions

Please note: All products are 'FOR RESEARCH USE ONLY. NOT FOR USE IN DIAGNOSTIC OR THERAPEUTIC PROCEDURES'.

For licensing inquiries, please contact partnerships@abcam.com