JavaScript is disabled in your browser. Please enable JavaScript to view this website.
AB237528

Anti-FKBP11 antibody

Be the first to review this product! Submit a review

|

(1 Publication)

Rabbit Polyclonal FKBP11 antibody. Suitable for WB, IHC-P, ICC/IF and reacts with Mouse, Human samples. Cited in 1 publication. Immunogen corresponding to Recombinant Fragment Protein within Human FKBP11 aa 1-200.

View Alternative Names

FKBP19, UNQ336/PRO535, FKBP11, Peptidyl-prolyl cis-trans isomerase FKBP11, PPIase FKBP11, 19 kDa FK506-binding protein, FK506-binding protein 11, Rotamase, 19 kDa FKBP, FKBP-19, FKBP-11

4 Images
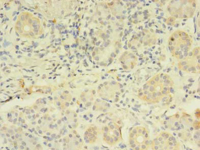
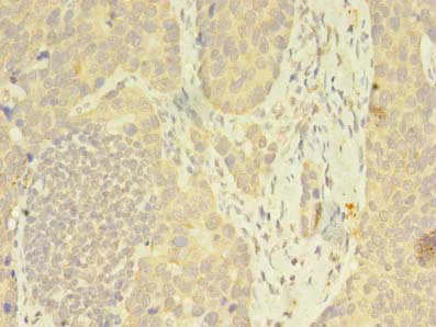
Immunohistochemistry (Formalin/PFA-fixed paraffin-embedded sections) - Anti-FKBP11 antibody (AB237528)
  • IHC-P

Supplier Data

Immunohistochemistry (Formalin/PFA-fixed paraffin-embedded sections) - Anti-FKBP11 antibody (AB237528)

Paraffin-embedded human gastric cancer tissue stained for FKBP11 with ab237528 at 1/100 dilution in immunohistochemical analysis.

Immunohistochemistry (Formalin/PFA-fixed paraffin-embedded sections) - Anti-FKBP11 antibody (AB237528)
  • IHC-P

Supplier Data

Immunohistochemistry (Formalin/PFA-fixed paraffin-embedded sections) - Anti-FKBP11 antibody (AB237528)

Paraffin-embedded human pancreas tissue stained for FKBP11 with ab237528 at 1/100 dilution in immunohistochemical analysis.

Immunocytochemistry/ Immunofluorescence - Anti-FKBP11 antibody (AB237528)
  • ICC/IF

Supplier Data

Immunocytochemistry/ Immunofluorescence - Anti-FKBP11 antibody (AB237528)

HepG2 (human liver hepatocellular carcinoma cell line) cells stained for FKBP11 using ab237528 at a dilution of 1/100 in ICC/IF. Secondary used is an Alexa-Fluor®488-conjugated Goat Anti-Rabbit IgG (H+L).

Western blot - Anti-FKBP11 antibody (AB237528)
  • WB

Supplier Data

Western blot - Anti-FKBP11 antibody (AB237528)

All lanes:

Western blot - Anti-FKBP11 antibody (ab237528) at 1/500 dilution

Lane 1:

Mouse spleen tissue lysate

Lane 2:

Mouse liver tissue lysate

Secondary

All lanes:

Goat polyclonal to Rabbit IgG at 1/10000 dilution

Predicted band size: 22 kDa

false

Key facts

Host species

Rabbit

Clonality

Polyclonal

Isotype

IgG

Carrier free

No

Reacts with

Mouse, Human

Applications

WB, ICC/IF, IHC-P

applications

Immunogen

Recombinant Fragment Protein within Human FKBP11 aa 1-200. The exact immunogen used to generate this antibody is proprietary information.

Q9NYL4

Reactivity data

{ "title": "Reactivity Data", "filters": { "stats": ["", "Species", "Dilution Info", "Notes"], "tabs": { "all-applications": {"fullname" : "All Applications", "shortname": "All Applications"}, "WB" : {"fullname" : "Western blot", "shortname":"WB"}, "IHCP" : {"fullname" : "Immunohistochemistry (Formalin/PFA-fixed paraffin-embedded sections)", "shortname":"IHC-P"}, "ICCIF" : {"fullname" : "Immunocytochemistry/ Immunofluorescence", "shortname":"ICC/IF"} }, "product-promise": { "all": "all", "testedAndGuaranteed": "tested", "guaranteed": "expected", "predicted": "predicted", "notRecommended": "not-recommended" } }, "values": { "Human": { "WB-species-checked": "guaranteed", "WB-species-dilution-info": "", "WB-species-notes": "", "IHCP-species-checked": "testedAndGuaranteed", "IHCP-species-dilution-info": "1/20 - 1/200", "IHCP-species-notes": "<p></p>", "ICCIF-species-checked": "testedAndGuaranteed", "ICCIF-species-dilution-info": "1/50 - 1/200", "ICCIF-species-notes": "<p></p>" }, "Mouse": { "WB-species-checked": "testedAndGuaranteed", "WB-species-dilution-info": "1/500 - 1/2000", "WB-species-notes": "<p></p>", "IHCP-species-checked": "guaranteed", "IHCP-species-dilution-info": "", "IHCP-species-notes": "", "ICCIF-species-checked": "guaranteed", "ICCIF-species-dilution-info": "", "ICCIF-species-notes": "" }, "Cow": { "WB-species-checked": "predicted", "WB-species-dilution-info": "", "WB-species-notes": "", "IHCP-species-checked": "predicted", "IHCP-species-dilution-info": "", "IHCP-species-notes": "", "ICCIF-species-checked": "predicted", "ICCIF-species-dilution-info": "", "ICCIF-species-notes": "" } } }

Properties and storage information

Form
Liquid
Purification technique
Affinity purification Protein G
Purification notes
Purity greater than 95%
Storage buffer
pH: 7.4 Preservative: 0.03% Proclin 300 Constituents: PBS, 50% Glycerol (glycerin, glycerine)
Shipped at conditions
Blue Ice
Appropriate short-term storage duration
1-2 weeks
Appropriate short-term storage conditions
+4°C
Appropriate long-term storage conditions
-20°C
Aliquoting information
Upon delivery aliquot
Storage information
Avoid freeze / thaw cycle

Supplementary information

This supplementary information is collated from multiple sources and compiled automatically.

FKBP11 also known as FK506 binding protein 11 or FK506-binding protein-like is an immunophilin with peptidyl-prolyl isomerase activity. It facilitates protein folding by accelerating protein folding through cis-trans isomerization of proline residues. The molecular weight of FKBP11 is approximately 19.8 kDa. This protein is primarily expressed in the endoplasmic reticulum and shows high expression levels in immune-related tissues such as the spleen and lymph nodes.
Biological function summary

FKBP11 plays a role in maintaining protein homeostasis in the cellular environment. It is involved in the folding and maturation of proteins particularly those that are endoplasmic reticulum-resident. FKBP11 is part of the tetratricopeptide repeat (TPR)-containing immunophilin family which often interacts with other proteins and complexes within the endoplasmic reticulum to assist in protein quality control and trafficking.

Pathways

FKBP11 participates in the unfolded protein response (UPR) which is an essential cellular pathway for managing stress related to misfolded proteins in the endoplasmic reticulum. It is also involved in the protein-folding pathway alongside other chaperones and peptidyl-prolyl isomerases including cyclophilins and other FK506-binding proteins. FKBP11 has functional interactions with key molecules such as HSP90 which is an important chaperone in protein maintenance.

FKBP11 has implications in conditions related to protein misfolding and endoplasmic reticulum stress including neurodegenerative diseases such as Alzheimer's disease and Parkinson's disease. Aberrant expression or malfunction of FKBP11 can influence the progression of these disorders through its interaction with protein complexes involved in protein aggregation and neurotoxicity. FKBP11 indirectly connects to proteins like tau and α-synuclein which are central to the pathogenic processes of these neurological diseases.

Product protocols

For this product, it's our understanding that no specific protocols are required. You can visit:

Target data

PPIases accelerate the folding of proteins during protein synthesis.
See full target information FKBP11

Publications (1)

Recent publications for all applications. Explore the full list and refine your search

OncoTargets and therapy 14:1007-1020 PubMed33603407

2021

Tandem Mass Tag-Based Proteomic Analysis of Potential Biomarkers for Hepatocellular Carcinoma Differentiation.

Applications

Unspecified application

Species

Unspecified reactive species

Wei Wang,Qiang Li,Ge Huang,Bing-Yao Lin,Dongzi Lin,Yan Ma,Zhao Zhang,Tao Chen,Jie Zhou
View all publications

Product promise

We are committed to supporting your work with high-quality reagents, and we're here for you every step of the way. In the unlikely event that one of our products does not perform as expected, you're protected by our Product Promise.
For full details, please see our Terms & Conditions

Please note: All products are 'FOR RESEARCH USE ONLY. NOT FOR USE IN DIAGNOSTIC OR THERAPEUTIC PROCEDURES'.

For licensing inquiries, please contact partnerships@abcam.com