JavaScript is disabled in your browser. Please enable JavaScript to view this website.
AB313378

Anti-FKBP12 antibody [EPR27367-59]

  • 20ul selling size
  • RabMAb
  • KO Validated
  • Recombinant
  • What is this?

Be the first to review this product! Submit a review

|

(0 Publication)

Knockout Tested Rabbit Recombinant Monoclonal FKBP12 antibody. Suitable for WB and reacts with Human, Mouse, Rat, Transfected cell lysate - Human samples.

View Alternative Names

FKBP1, FKBP12, FKBP1A, Peptidyl-prolyl cis-trans isomerase FKBP1A, PPIase FKBP1A, 12 kDa FK506-binding protein, Calstabin-1, FK506-binding protein 1A, Immunophilin FKBP12, Rotamase, 12 kDa FKBP, FKBP-12, FKBP-1A

5 Images
Western blot - Anti-FKBP12 antibody [EPR27367-59] (AB313378)
  • WB

Supplier Data

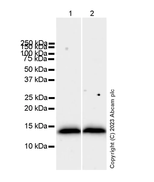
Western blot - Anti-FKBP12 antibody [EPR27367-59] (AB313378)

Blocking and diluting buffer and concentration : 5% NFDM/TBST

In Western blot, anti- H3 antibody (ab176842) loading control staining at 1/100000 dilution.

All lanes:

Western blot - Anti-FKBP12 antibody [EPR27367-59] (ab313378) at 1/1000 dilution

Lane 1:

SH-SY5Y (human neuroblastoma cell line from bone marrow) cytoplasmic fraction at 20 µg

Lane 2:

SH-SY5Y nuclear fraction at 20 µg

Secondary

All lanes:

Western blot - Goat Anti-Rabbit IgG H&L (HRP) (<a href='/en-us/products/secondary-antibodies/goat-rabbit-igg-h-l-hrp-ab97051'>ab97051</a>) at 1/100000 dilution

Predicted band size: 11 kDa

Observed band size: 14 kDa

false

Exposure time: 81s

Western blot - Anti-FKBP12 antibody [EPR27367-59] (AB313378)
  • WB

Supplier Data

Western blot - Anti-FKBP12 antibody [EPR27367-59] (AB313378)

Blocking and diluting buffer and concentration : 5% NFDM/TBST

In Western blot, ab313378 was shown to bind specifically to FKBP12. A band was observed at 14 kDa in wild-type HAP1 cell lysates whereas loss of signal was observed in the FKBP12 knockout cell line.

In Western blot, anti-GAPDH antibody (ab181602) loading control staining at 1/200000 dilution.

All lanes:

Western blot - Anti-FKBP12 antibody [EPR27367-59] (ab313378) at 1/1000 dilution

Lane 1:

Wild-type HAP1(human chronic myelogenous leukemia near-haploid cell line) whole cell lysate at 20 µg

Lane 2:

FKBP12 knockout HAP1 whole cell lysate at 20 µg

Lane 3:

U-937 (human histiocytic lymphoma monocyte) whole cell lysate at 20 µg

Lane 4:

Neuro-2a (mouse neuroblastoma neuroblast) whole cell fresh lysate at 20 µg

Secondary

All lanes:

Western blot - Goat Anti-Rabbit IgG H&L (HRP) (<a href='/en-us/products/secondary-antibodies/goat-rabbit-igg-h-l-hrp-ab97051'>ab97051</a>) at 1/100000 dilution

Predicted band size: 11 kDa

Observed band size: 14 kDa

false

Exposure time: 180s

Western blot - Anti-FKBP12 antibody [EPR27367-59] (AB313378)
  • WB

Supplier Data

Western blot - Anti-FKBP12 antibody [EPR27367-59] (AB313378)

Blocking and diluting buffer and concentration : 5% NFDM/TBST Low expression : A549 (PMID : 27617579). In Western blot, anti-GAPDH antibody (ab181602) loading control staining at 1/200000 dilution. Exposure time : 81 seconds

All lanes:

Western blot - Anti-FKBP12 antibody [EPR27367-59] (ab313378) at 1/1000 dilution

Lane 1:

PC-3 (human prostate adenocarcinoma epithelial cell) whole cell lysate at 20 µg

Lane 2:

Jurkat (human T cell leukemia T lymphocyte) whole cell lysate at 20 µg

Lane 3:

A549 (human lung carcinoma epithelial cell) whole cell lysate at 20 µg

Lane 4:

C2C12 (mouse myoblast) whole cell lysate at 20 µg

Lane 5:

RAW264.7 (mouse Abelson murine leukemia virus-induced tumor macrophage) whole cell lysate at 20 µg

Lane 6:

C6 (rat glial tumor glial cell) whole cell lysate at 20 µg

Secondary

All lanes:

Western blot - Goat Anti-Rabbit IgG H&L (HRP) (<a href='/en-us/products/secondary-antibodies/goat-rabbit-igg-h-l-hrp-ab97051'>ab97051</a>) at 1/100000 dilution

Observed band size: 12 kDa

false

Exposure time: 81s

Western blot - Anti-FKBP12 antibody [EPR27367-59] (AB313378)
  • WB

Supplier Data

Western blot - Anti-FKBP12 antibody [EPR27367-59] (AB313378)

Blocking and diluting buffer and concentration : 5% NFDM/TBST Exposure time : 48 seconds

All lanes:

Western blot - Anti-FKBP12 antibody [EPR27367-59] (ab313378) at 1/1000 dilution

Lane 1:

Mouse brain tissue lysate at 20 µg

Lane 2:

Rat brain tissue lysate at 20 µg

Secondary

All lanes:

Western blot - Goat Anti-Rabbit IgG H&L (HRP) (<a href='/en-us/products/secondary-antibodies/goat-rabbit-igg-h-l-hrp-ab97051'>ab97051</a>) at 1/100000 dilution

Observed band size: 12 kDa

false

Exposure time: 48s

Western blot - Anti-FKBP12 antibody [EPR27367-59] (AB313378)
  • WB

Supplier Data

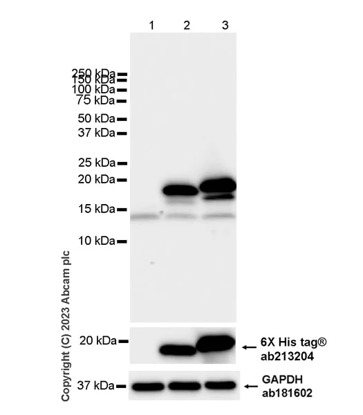
Western blot - Anti-FKBP12 antibody [EPR27367-59] (AB313378)

Blocking and diluting buffer and concentration : 5% NFDM/TBST

This antibody recognizes both FKBP12 and FKBP12.6.

In Western blot, anti-His antibody (ab213204) staining at 1/5000 dilution.

In Western blot, anti-GAPDH antibody (ab181602) loading control staining at 1/200000 dilution.

All lanes:

Western blot - Anti-FKBP12 antibody [EPR27367-59] (ab313378) at 1/1000 dilution

Lane 1:

293T cells transfected with an empty vector containi a his tag whole cell lysate at 20 µg

Lane 2:

293T cells transfected with a human FKBP12 expression vector containi a His-tag whole cell lysate at 20 µg

Lane 3:

293T cells transfected with a human FKBP12.6 expression vector containi a His-tag whole cell lysate at 20 µg

Secondary

All lanes:

Western blot - Goat Anti-Rabbit IgG H&L (HRP) (<a href='/en-us/products/secondary-antibodies/goat-rabbit-igg-h-l-hrp-ab97051'>ab97051</a>) at 1/100000 dilution

Predicted band size: 11 kDa

Observed band size: 18 kDa

false

Exposure time: 15s

  • Carrier free

    Anti-FKBP12 antibody [EPR27367-59] - BSA and Azide free

Key facts

Host species

Rabbit

Clonality

Monoclonal

Clone number

EPR27367-59

Isotype

IgG

Carrier free

No

Reacts with

Human, Mouse, Rat

Applications

WB

applications

Immunogen

The exact immunogen used to generate this antibody is proprietary information.

Specificity

This antibody recognizes both FKBP12/FKBP1A and FKBP12.6/FKBP1B.

Reactivity data

{ "title": "Reactivity Data", "filters": { "stats": ["", "Species", "Dilution Info", "Notes"], "tabs": { "all-applications": {"fullname" : "All Applications", "shortname": "All Applications"}, "WB" : {"fullname" : "Western blot", "shortname":"WB"}, "IP" : {"fullname" : "Immunoprecipitation", "shortname":"IP"}, "ICCIF" : {"fullname" : "Immunocytochemistry/ Immunofluorescence", "shortname":"ICC/IF"}, "FlowCytIntra" : {"fullname" : "Flow Cytometry (Intracellular)", "shortname":"Flow Cyt (Intra)"}, "IHCP" : {"fullname" : "Immunohistochemistry (Formalin/PFA-fixed paraffin-embedded sections)", "shortname":"IHC-P"} }, "product-promise": { "all": "all", "testedAndGuaranteed": "tested", "guaranteed": "expected", "predicted": "predicted", "notRecommended": "not-recommended" } }, "values": { "Human": { "WB-species-checked": "testedAndGuaranteed", "WB-species-dilution-info": "1/1000", "WB-species-notes": "<p></p>", "IP-species-checked": "notRecommended", "IP-species-dilution-info": "", "IP-species-notes": "<p></p>", "ICCIF-species-checked": "notRecommended", "ICCIF-species-dilution-info": "", "ICCIF-species-notes": "<p></p>", "FlowCytIntra-species-checked": "notRecommended", "FlowCytIntra-species-dilution-info": "", "FlowCytIntra-species-notes": "<p></p>", "IHCP-species-checked": "notRecommended", "IHCP-species-dilution-info": "", "IHCP-species-notes": "<p></p>" }, "Mouse": { "WB-species-checked": "testedAndGuaranteed", "WB-species-dilution-info": "1/1000", "WB-species-notes": "<p></p>", "IP-species-checked": "notRecommended", "IP-species-dilution-info": "", "IP-species-notes": "", "ICCIF-species-checked": "notRecommended", "ICCIF-species-dilution-info": "", "ICCIF-species-notes": "<p></p>", "FlowCytIntra-species-checked": "notRecommended", "FlowCytIntra-species-dilution-info": "", "FlowCytIntra-species-notes": "<p></p>", "IHCP-species-checked": "notRecommended", "IHCP-species-dilution-info": "", "IHCP-species-notes": "<p></p>" }, "Rat": { "WB-species-checked": "testedAndGuaranteed", "WB-species-dilution-info": "1/1000", "WB-species-notes": "<p></p>", "IP-species-checked": "notRecommended", "IP-species-dilution-info": "", "IP-species-notes": "", "ICCIF-species-checked": "notRecommended", "ICCIF-species-dilution-info": "", "ICCIF-species-notes": "", "FlowCytIntra-species-checked": "notRecommended", "FlowCytIntra-species-dilution-info": "", "FlowCytIntra-species-notes": "", "IHCP-species-checked": "notRecommended", "IHCP-species-dilution-info": "", "IHCP-species-notes": "<p></p>" }, "Transfected cell lysate - Human": { "WB-species-checked": "testedAndGuaranteed", "WB-species-dilution-info": "1/1000", "WB-species-notes": "<p></p>", "IP-species-checked": "notRecommended", "IP-species-dilution-info": "", "IP-species-notes": "", "ICCIF-species-checked": "notRecommended", "ICCIF-species-dilution-info": "", "ICCIF-species-notes": "", "FlowCytIntra-species-checked": "notRecommended", "FlowCytIntra-species-dilution-info": "", "FlowCytIntra-species-notes": "", "IHCP-species-checked": "notRecommended", "IHCP-species-dilution-info": "", "IHCP-species-notes": "" } } }

Product details

Patented technology
Our RabMAb® technology is a patented hybridoma-based technology for making rabbit monoclonal antibodies. For details on our patents, please refer to RabMAb® patents.

What are the advantages of a recombinant monoclonal antibody?
This product is a recombinant monoclonal antibody, which offers several advantages including:

  • - High batch-to-batch consistency and reproducibility
  • - Improved sensitivity and specificity
  • - Long-term security of supply
  • - Animal-free batch production

For more information, read more on recombinant antibodies.

Properties and storage information

Form
Liquid
Purification technique
Affinity purification Protein A
Storage buffer
pH: 7.2 - 7.4 Preservative: 0.01% Sodium azide Constituents: PBS, 40% Glycerol (glycerin, glycerine), 0.05% BSA
Shipped at conditions
Blue Ice
Appropriate short-term storage duration
1-2 weeks
Appropriate short-term storage conditions
+4°C
Appropriate long-term storage conditions
-20°C
Aliquoting information
Upon delivery aliquot
Storage information
Avoid freeze / thaw cycle

Supplementary information

This supplementary information is collated from multiple sources and compiled automatically.

FKBP12 also known as FKBP-12 or FKBP12 protein is a small protein with a molecular weight of approximately 12 kDa. It belongs to the family of immunophilins and acts as a peptidyl-prolyl cis-trans isomerase (PPIase) facilitating the folding of proteins by catalyzing the isomerization of proline residues in polypeptides. The FKBP12 protein is expressed in various tissues throughout the body including the brain heart and skeletal muscles. It plays a mechanical role in binding certain macrolide antibiotics such as FK506 (tacrolimus) influencing their biological effects by altering protein conformation.
Biological function summary

FKBP12 is significant in cellular mechanisms beyond protein folding. It interacts with and forms complexes with other proteins such as ryanodine receptors and transforming growth factor-beta (TGF-β) receptors impacting calcium signaling and cell growth. FKBP12's interaction with FK506 has been extensively studied because it forms a complex that inhibits calcineurin ultimately leading to immunosuppressive effects. This property of FKBP12 makes it important for modulating the immune response and has importance in transplant medicine.

Pathways

FKBP12 is actively involved in calcium signaling and TGF-β signaling pathways. FKBP12 influences these pathways by binding to ryanodine receptors affecting calcium release from intracellular stores and also modulating the function of TGF-β receptors impacting cellular growth and proliferation processes. It is associated with proteins such as calcineurin and Smad proteins in these pathways maintaining cellular homeostasis and regulating immune and inflammatory responses.

FKBP12 plays a role in immunological and proliferative diseases. It is implicated in autoimmune disorders due to its interaction with FK506 leading to the suppression of unwanted immune responses. FKBP12 is also linked to cardiac hypertrophy as its modulation of calcium release through ryanodine receptors can affect heart muscle function. The protein interacts with calcineurin in these contexts contributing to pathological processes in these diseases. Researchers target FKBP12 with ELISA and other assays to investigate its involvement in these disorders and assess therapeutic interventions.

Product protocols

For this product, it's our understanding that no specific protocols are required. You can visit:

Target data

Keeps in an inactive conformation TGFBR1, the TGF-beta type I serine/threonine kinase receptor, preventing TGF-beta receptor activation in absence of ligand. Recruits SMAD7 to ACVR1B which prevents the association of SMAD2 and SMAD3 with the activin receptor complex, thereby blocking the activin signal. May modulate the RYR1 calcium channel activity. PPIases accelerate the folding of proteins. It catalyzes the cis-trans isomerization of proline imidic peptide bonds in oligopeptides.
See full target information FKBP1A

Product promise

We are committed to supporting your work with high-quality reagents, and we're here for you every step of the way. In the unlikely event that one of our products does not perform as expected, you're protected by our Product Promise.
For full details, please see our Terms & Conditions

Please note: All products are 'FOR RESEARCH USE ONLY. NOT FOR USE IN DIAGNOSTIC OR THERAPEUTIC PROCEDURES'.

For licensing inquiries, please contact partnerships@abcam.com