JavaScript is disabled in your browser. Please enable JavaScript to view this website.
AB264204

Anti-FKBP52 antibody

Be the first to review this product! Submit a review

|

(0 Publication)

Rabbit Polyclonal FKBP52 antibody. Suitable for IHC-P, IP, WB and reacts with Human samples. Immunogen corresponding to Synthetic Peptide within Human FKBP4 aa 400-450.

View Alternative Names

FKBP52, FKBP4, Peptidyl-prolyl cis-trans isomerase FKBP4, PPIase FKBP4, 51 kDa FK506-binding protein, 52 kDa FK506-binding protein, 59 kDa immunophilin, FK506-binding protein 4, FKBP59, HSP-binding immunophilin, Immunophilin FKBP52, Rotamase, FKBP51, 52 kDa FKBP, FKBP-52, p59, FKBP-4, HBI

3 Images
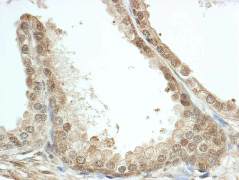
Immunohistochemistry (Formalin/PFA-fixed paraffin-embedded sections) - Anti-FKBP52 antibody (AB264204)
  • IHC-P

Unknown

Immunohistochemistry (Formalin/PFA-fixed paraffin-embedded sections) - Anti-FKBP52 antibody (AB264204)

Immunohistochemical analysis of formalin-fixed, paraffin-embedded human prostate carcinoma tissue labeling FKBP52 with ab264204 at 1/1,000 dilution. Detection : DAB.

Immunoprecipitation - Anti-FKBP52 antibody (AB264204)
  • IP

Supplier Data

Immunoprecipitation - Anti-FKBP52 antibody (AB264204)

FKBP52 was immunoprecipitated from 1mg of HeLa (Human epithelial cell line from cervix adenocarcinoma) whole cell lysate with ab264204 at 3 μg/mg lysate. Western blot was performed from the immunoprecipitate using ab264204 at 1 μg/ml.
Lane 1 : ab264204 IP in HeLa whole cell lysate.
Lane 2 : Control IgG.

Exposure time : 3 secs.

All lanes:

Immunoprecipitation - Anti-FKBP52 antibody (ab264204)

Predicted band size: 52 kDa

false

Western blot - Anti-FKBP52 antibody (AB264204)
  • WB

Supplier Data

Western blot - Anti-FKBP52 antibody (AB264204)

Detected with chemilimuniscence with exposure time of 30 seconds.

Secondary : Goat anti-Rabbit Light Chain HRP Conjugate.

4-20% SDS-PAGE.

All lanes:

Western blot - Anti-FKBP52 antibody (ab264204) at 0.04 µg/mL

Lane 1:

HeLa whole cell lysate at 50 µg

Lane 2:

HeLa whole cell lysate at 15 µg

Lane 3:

HeLa whole cell lysate at 5 µg

Lane 4:

HEK-293T whole cell lysate at 50 µg

Predicted band size: 52 kDa

false

Key facts

Host species

Rabbit

Clonality

Polyclonal

Isotype

IgG

Carrier free

No

Reacts with

Human

Applications

WB, IHC-P, IP

applications

Immunogen

Synthetic Peptide within Human FKBP4 aa 400-450. The exact immunogen used to generate this antibody is proprietary information.

Q02790

Reactivity data

{ "title": "Reactivity Data", "filters": { "stats": ["", "Species", "Dilution Info", "Notes"], "tabs": { "all-applications": {"fullname" : "All Applications", "shortname": "All Applications"}, "IHCP" : {"fullname" : "Immunohistochemistry (Formalin/PFA-fixed paraffin-embedded sections)", "shortname":"IHC-P"}, "IP" : {"fullname" : "Immunoprecipitation", "shortname":"IP"}, "WB" : {"fullname" : "Western blot", "shortname":"WB"} }, "product-promise": { "all": "all", "testedAndGuaranteed": "tested", "guaranteed": "expected", "predicted": "predicted", "notRecommended": "not-recommended" } }, "values": { "Human": { "IHCP-species-checked": "testedAndGuaranteed", "IHCP-species-dilution-info": "1/200 - 1/1000", "IHCP-species-notes": "<p></p> Perform heat-mediated antigen retrieval with citrate buffer pH 6 before commencing with IHC staining protocol.", "IP-species-checked": "testedAndGuaranteed", "IP-species-dilution-info": "2-5 µg/mg of lysate", "IP-species-notes": "<p></p>", "WB-species-checked": "testedAndGuaranteed", "WB-species-dilution-info": "1/2000 - 1/10000", "WB-species-notes": "<p></p>" } } }

Properties and storage information

Form
Liquid
Purification technique
Affinity purification
Storage buffer
pH: 6.8 - 7.4 Preservative: 0.09% Sodium azide Constituents: Tris buffered saline, 0.1% BSA
Shipped at conditions
Blue Ice
Appropriate short-term storage duration
1-2 weeks
Appropriate short-term storage conditions
+4°C
Appropriate long-term storage conditions
-20°C
Aliquoting information
Upon delivery aliquot
Storage information
Avoid freeze / thaw cycle

Supplementary information

This supplementary information is collated from multiple sources and compiled automatically.

The immunophilin protein FKBP52 also known as FK506-binding protein 4 (FKBP4) weighs approximately 52 kDa. This protein acts as a peptidyl-prolyl cis-trans isomerase which assists in protein folding and stability. FKBP52 is widely expressed in cells with high levels in tissues like the brain testis and kidneys indicating its role in various cellular processes. As part of its mechanical role FKBP52 interacts with heat shock proteins aiding in the regulation of protein homeostasis.
Biological function summary

FKBP52 functions as a co-chaperone in steroid receptor complexes. It partners with heat shock protein 90 (HSP90) to form a functional complex that modulates the activity of steroid hormone receptors. These receptors such as the androgen and glucocorticoid receptors rely on FKBP52 for proper regulation and transport within the cell. FKBP52 also plays a part in cellular signaling influencing processes like cell growth and differentiation through its interaction with these receptors.

Pathways

FKBP52 features prominently in steroid hormone signaling and stress response pathways. It is critical to the maturation and transport of steroid hormone receptors directly affecting their downstream gene regulation. The protein interacts closely with HSP90 and other immunophilins like FKBP51 which also plays roles in similar pathways but may have differing regulatory effects. This interaction demonstrates how FKBP52's function integrates into broader cellular signaling networks influencing pathways like the glucocorticoid receptor signaling pathway.

FKBP52 connects significantly to prostate cancer and Alzheimer's disease. In prostate cancer its modulation of androgen receptor activity is critical. Abnormal regulation of these receptors can contribute to cancer progression. Moreover in Alzheimer's disease FKBP52 influences the stability and function of tau protein which is linked to neurofibrillary tangle formation a hallmark of the disease. Its interaction with tau indicates a potential therapeutic target for intervention in Alzheimer's progression.

Product protocols

For this product, it's our understanding that no specific protocols are required. You can visit:

Target data

Immunophilin protein with PPIase and co-chaperone activities. Component of steroid receptors heterocomplexes through interaction with heat-shock protein 90 (HSP90). May play a role in the intracellular trafficking of heterooligomeric forms of steroid hormone receptors between cytoplasm and nuclear compartments. The isomerase activity controls neuronal growth cones via regulation of TRPC1 channel opening. Acts also as a regulator of microtubule dynamics by inhibiting MAPT/TAU ability to promote microtubule assembly. May have a protective role against oxidative stress in mitochondria.
See full target information FKBP4

Product promise

We are committed to supporting your work with high-quality reagents, and we're here for you every step of the way. In the unlikely event that one of our products does not perform as expected, you're protected by our Product Promise.
For full details, please see our Terms & Conditions

Please note: All products are 'FOR RESEARCH USE ONLY. NOT FOR USE IN DIAGNOSTIC OR THERAPEUTIC PROCEDURES'.

For licensing inquiries, please contact partnerships@abcam.com