JavaScript is disabled in your browser. Please enable JavaScript to view this website.
AB230952

Anti-FKBP52 antibody [EPR21120]

Be the first to review this product! Submit a review

|

(0 Publication)

Rabbit Recombinant Monoclonal FKBP52 antibody. Suitable for WB, IHC-P and reacts with Mouse, Rat, Human samples.

View Alternative Names

FKBP52, FKBP4, Peptidyl-prolyl cis-trans isomerase FKBP4, PPIase FKBP4, 51 kDa FK506-binding protein, 52 kDa FK506-binding protein, 59 kDa immunophilin, FK506-binding protein 4, FKBP59, HSP-binding immunophilin, Immunophilin FKBP52, Rotamase, FKBP51, 52 kDa FKBP, FKBP-52, p59, FKBP-4, HBI

4 Images
Western blot - Anti-FKBP52 antibody [EPR21120] (AB230952)
  • WB

Supplier Data

Western blot - Anti-FKBP52 antibody [EPR21120] (AB230952)

Blocking/Dilution buffer : 5% NFDM/TBST.

Exposure times : Lanes 1-3 : 81 seconds; Lane 4 : 30 second; Lanes 5 : 120 seconds; Lane 6-8 : 3 minutes.

The molecular mass observed is consistent with what has been described in the literature (PMID : 26065228).

Lanes 1, 2, 3 and 7:

Western blot - Anti-FKBP52 antibody [EPR21120] (ab230952) at 1/5000 dilution

Lanes 4, 5, 6 and 8:

Western blot - Anti-FKBP52 antibody [EPR21120] (ab230952) at 1/1000 dilution

Lane 1:

K562 (human chronic myelogenous leukemia cell line from bone marrow) whole cell lysate at 20 µg

Lane 2:

MCF7 (human breast adenocarcinoma cell line) whole cell lysate at 20 µg

Lane 3:

HeLa (human epithelial cell line from cervix adenocarcinoma) whole cell lysate at 20 µg

Lane 4:

HEK-293T (Human epithelial cell line from embryonic kidney transformed with large T antigen) whole cell lysate at 10 µg

Lane 5:

Mouse brain lysate at 10 µg

Lane 6:

Rat brain lysate at 10 µg

Lane 7:

RAW 264.7 (Mouse macrophage cell line transformed with Abelson murine leukemia virus) whole cell lysate at 10 µg

Lane 8:

Human fetal kidney lysate at 10 µg

Secondary

Lanes 1 - 7:

Western blot - Goat Anti-Rabbit IgG H&L (HRP) (<a href='/en-us/products/secondary-antibodies/goat-rabbit-igg-h-l-hrp-ab97051'>ab97051</a>) at 1/100000 dilution

Lane 8:

Western blot - VeriBlot for IP Detection Reagent (HRP) (<a href='/en-us/products/reagents/veriblot-for-ip-detection-reagent-hrp-ab131366'>ab131366</a>) at 1/1000 dilution

Predicted band size: 52 kDa

false

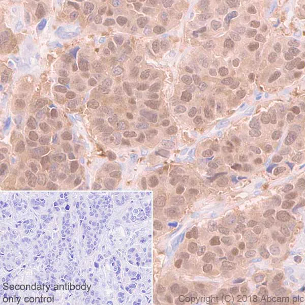
Immunohistochemistry (Formalin/PFA-fixed paraffin-embedded sections) - Anti-FKBP52 antibody [EPR21120] (AB230952)
  • IHC-P

Supplier Data

Immunohistochemistry (Formalin/PFA-fixed paraffin-embedded sections) - Anti-FKBP52 antibody [EPR21120] (AB230952)

Immunohistochemical analysis of paraffin-embedded human breast cancer tissue labeling FKBP52 with ab230952 at 1/4,000 dilution, followed by a ready to use Goat Anti-Rabbit IgG H&L (HRP). Cytoplasmic and nuclear staining in human breast cancer (PMID : 19584157) is observed. Counter stained with Hematoxylin.
Secondary antibody only control : Used PBS instead of primary antibody, secondary antibody is a ready to use Goat Anti-Rabbit IgG H&L (HRP).
Perform heat mediated antigen retrieval using ab93684 (Tris/EDTA buffer, pH 9.0).

Immunohistochemistry (Formalin/PFA-fixed paraffin-embedded sections) - Anti-FKBP52 antibody [EPR21120] (AB230952)
  • IHC-P

Supplier Data

Immunohistochemistry (Formalin/PFA-fixed paraffin-embedded sections) - Anti-FKBP52 antibody [EPR21120] (AB230952)

Immunohistochemical analysis of paraffin-embedded rat cerebrum tissue labeling FKBP52 with ab230952 at 1/1,000 dilution, followed by a ready to use Goat Anti-Rabbit IgG H&L (HRP). Cytoplasmic and nuclear staining in rat cerebrum (PMID : 20133804; PMID : 20422297) is observed. Counter stained with Hematoxylin.
Secondary antibody only control : Used PBS instead of primary antibody, secondary antibody is a ready to use Goat Anti-Rabbit IgG H&L (HRP).
Perform heat mediated antigen retrieval using ab93684 (Tris/EDTA buffer, pH 9.0).

Immunohistochemistry (Formalin/PFA-fixed paraffin-embedded sections) - Anti-FKBP52 antibody [EPR21120] (AB230952)
  • IHC-P

Supplier Data

Immunohistochemistry (Formalin/PFA-fixed paraffin-embedded sections) - Anti-FKBP52 antibody [EPR21120] (AB230952)

Immunohistochemical analysis of paraffin-embedded mouse cerebrum tissue labeling FKBP52 with ab230952 at 1/1,000 dilution, followed by a ready to use Goat Anti-Rabbit IgG H&L (HRP). Cytoplasmic and nuclear staining in mouse cerebrum (PMID : 20133804; PMID : 20422297) is observed. Counter stained with Hematoxylin.
Secondary antibody only control : Used PBS instead of primary antibody, secondary antibody is a ready to use Goat Anti-Rabbit IgG H&L (HRP).
Perform heat mediated antigen retrieval using ab93684 (Tris/EDTA buffer, pH 9.0).

  • Carrier free

    Anti-FKBP52 antibody [EPR21120] - BSA and Azide free

Key facts

Host species

Rabbit

Clonality

Monoclonal

Clone number

EPR21120

Isotype

IgG

Carrier free

No

Reacts with

Mouse, Rat, Human

Applications

WB, IHC-P

applications

Immunogen

The exact immunogen used to generate this antibody is proprietary information.

Reactivity data

{ "title": "Reactivity Data", "filters": { "stats": ["", "Species", "Dilution Info", "Notes"], "tabs": { "all-applications": {"fullname" : "All Applications", "shortname": "All Applications"}, "WB" : {"fullname" : "Western blot", "shortname":"WB"}, "IHCP" : {"fullname" : "Immunohistochemistry (Formalin/PFA-fixed paraffin-embedded sections)", "shortname":"IHC-P"} }, "product-promise": { "all": "all", "testedAndGuaranteed": "tested", "guaranteed": "expected", "predicted": "predicted", "notRecommended": "not-recommended" } }, "values": { "Human": { "WB-species-checked": "testedAndGuaranteed", "WB-species-dilution-info": "1/1000", "WB-species-notes": "<p></p>", "IHCP-species-checked": "testedAndGuaranteed", "IHCP-species-dilution-info": "", "IHCP-species-notes": "<p>Use at a 1:4,000 dilution for human samples and a 1:1,000 for mouse and rat samples.</p> Perform heat-mediated antigen retrieval with Tris/EDTA buffer pH 9.0 before commencing with IHC staining protocol." }, "Mouse": { "WB-species-checked": "testedAndGuaranteed", "WB-species-dilution-info": "1/1000", "WB-species-notes": "<p></p>", "IHCP-species-checked": "testedAndGuaranteed", "IHCP-species-dilution-info": "", "IHCP-species-notes": "<p>Use at a 1:4,000 dilution for human samples and a 1:1,000 for mouse and rat samples.</p> Perform heat-mediated antigen retrieval with Tris/EDTA buffer pH 9.0 before commencing with IHC staining protocol." }, "Rat": { "WB-species-checked": "testedAndGuaranteed", "WB-species-dilution-info": "1/1000", "WB-species-notes": "<p></p>", "IHCP-species-checked": "testedAndGuaranteed", "IHCP-species-dilution-info": "", "IHCP-species-notes": "<p>Use at a 1:4,000 dilution for human samples and a 1:1,000 for mouse and rat samples.</p> Perform heat-mediated antigen retrieval with Tris/EDTA buffer pH 9.0 before commencing with IHC staining protocol." } } }

You may be interested in:

AB309409

Human FKBP52 ELISA Kit

0

0 Reviews

View product

We recommend this product because it’s often used in the same experiment or related research.

We advise that you always check the datasheet to ensure it fits your experiments, or contact ourtechnical teamfor help.

Product details

Patented technology
Our RabMAb® technology is a patented hybridoma-based technology for making rabbit monoclonal antibodies. For details on our patents, please refer to RabMAb® patents.

What are the advantages of a recombinant monoclonal antibody?
This product is a recombinant monoclonal antibody, which offers several advantages including:

  • - High batch-to-batch consistency and reproducibility
  • - Improved sensitivity and specificity
  • - Long-term security of supply
  • - Animal-free batch production

For more information, read more on recombinant antibodies.

Properties and storage information

Form
Liquid
Purification technique
Affinity purification Protein A
Storage buffer
pH: 7.2 - 7.4 Preservative: 0.01% Sodium azide Constituents: PBS, 40% Glycerol (glycerin, glycerine), 0.05% BSA
Shipped at conditions
Blue Ice
Appropriate short-term storage duration
1-2 weeks
Appropriate short-term storage conditions
+4°C
Appropriate long-term storage conditions
-20°C
Aliquoting information
Upon delivery aliquot
Storage information
Avoid freeze / thaw cycle

Supplementary information

This supplementary information is collated from multiple sources and compiled automatically.

The immunophilin protein FKBP52 also known as FK506-binding protein 4 (FKBP4) weighs approximately 52 kDa. This protein acts as a peptidyl-prolyl cis-trans isomerase which assists in protein folding and stability. FKBP52 is widely expressed in cells with high levels in tissues like the brain testis and kidneys indicating its role in various cellular processes. As part of its mechanical role FKBP52 interacts with heat shock proteins aiding in the regulation of protein homeostasis.
Biological function summary

FKBP52 functions as a co-chaperone in steroid receptor complexes. It partners with heat shock protein 90 (HSP90) to form a functional complex that modulates the activity of steroid hormone receptors. These receptors such as the androgen and glucocorticoid receptors rely on FKBP52 for proper regulation and transport within the cell. FKBP52 also plays a part in cellular signaling influencing processes like cell growth and differentiation through its interaction with these receptors.

Pathways

FKBP52 features prominently in steroid hormone signaling and stress response pathways. It is critical to the maturation and transport of steroid hormone receptors directly affecting their downstream gene regulation. The protein interacts closely with HSP90 and other immunophilins like FKBP51 which also plays roles in similar pathways but may have differing regulatory effects. This interaction demonstrates how FKBP52's function integrates into broader cellular signaling networks influencing pathways like the glucocorticoid receptor signaling pathway.

FKBP52 connects significantly to prostate cancer and Alzheimer's disease. In prostate cancer its modulation of androgen receptor activity is critical. Abnormal regulation of these receptors can contribute to cancer progression. Moreover in Alzheimer's disease FKBP52 influences the stability and function of tau protein which is linked to neurofibrillary tangle formation a hallmark of the disease. Its interaction with tau indicates a potential therapeutic target for intervention in Alzheimer's progression.

Product protocols

For this product, it's our understanding that no specific protocols are required. You can visit:

Target data

Immunophilin protein with PPIase and co-chaperone activities. Component of steroid receptors heterocomplexes through interaction with heat-shock protein 90 (HSP90). May play a role in the intracellular trafficking of heterooligomeric forms of steroid hormone receptors between cytoplasm and nuclear compartments. The isomerase activity controls neuronal growth cones via regulation of TRPC1 channel opening. Acts also as a regulator of microtubule dynamics by inhibiting MAPT/TAU ability to promote microtubule assembly. May have a protective role against oxidative stress in mitochondria.
See full target information FKBP4

Product promise

We are committed to supporting your work with high-quality reagents, and we're here for you every step of the way. In the unlikely event that one of our products does not perform as expected, you're protected by our Product Promise.
For full details, please see our Terms & Conditions

Associated Products

Select an associated product type
Alternative Product
Primary Antibodies

AB97306

Anti-FKBP52 antibody

primary-antibodies

fkbp52-antibody-ab97306

5

(1 reviews)

Alternative Product
Primary Antibodies

AB202764

Alexa Fluor® 488 Anti-FKBP52 antibody [EPR6618]

primary-antibodies

alexa-fluor-488-fkbp52-antibody-epr6618-ab202764

0

(0 reviews)

Alternative Product
Primary Antibodies

AB202766

Alexa Fluor® 647 Anti-FKBP52 antibody [EPR6618]

primary-antibodies

alexa-fluor-647-fkbp52-antibody-epr6618-ab202766

0

(0 reviews)

Alternative Product
Primary Antibodies

AB211767

PE Anti-FKBP52 antibody [EPR6618]

primary-antibodies

pe-fkbp52-antibody-epr6618-ab211767

0

(0 reviews)

Alternative Product
Primary Antibodies

AB129097

Anti-FKBP52 antibody [EPR6618]

primary-antibodies

fkbp52-antibody-epr6618-ab129097

0

(0 reviews)

Alternative Product
Primary Antibodies

AB124906

Anti-FKBP52 antibody [EPR6619]

primary-antibodies

fkbp52-antibody-epr6619-ab124906

0

(0 reviews)

Alternative Product
Primary Antibodies

AB230951

Anti-FKBP52 antibody [EPR21125]

primary-antibodies

fkbp52-antibody-epr21125-ab230951

0

(0 reviews)

Alternative Product
Primary Antibodies

AB237784

Anti-FKBP52 antibody [EPR21125] - BSA and Azide free

primary-antibodies

fkbp52-antibody-epr21125-bsa-and-azide-free-ab237784

0

(0 reviews)

Alternative Product
Primary Antibodies

AB59460

Anti-FKBP52 antibody [Hi52C]

primary-antibodies

fkbp52-antibody-hi52c-ab59460

0

(0 reviews)

Please note: All products are 'FOR RESEARCH USE ONLY. NOT FOR USE IN DIAGNOSTIC OR THERAPEUTIC PROCEDURES'.

For licensing inquiries, please contact partnerships@abcam.com