JavaScript is disabled in your browser. Please enable JavaScript to view this website.
AB248052

Anti-FKBP52 antibody [EPR6619] - BSA and Azide free

Be the first to review this product! Submit a review

|

(1 Publication)

Rabbit Recombinant Monoclonal FKBP52 antibody. Carrier free. Suitable for IHC-P, WB and reacts with Human samples. Cited in 1 publication.

View Alternative Names

FKBP52, FKBP4, Peptidyl-prolyl cis-trans isomerase FKBP4, PPIase FKBP4, 51 kDa FK506-binding protein, 52 kDa FK506-binding protein, 59 kDa immunophilin, FK506-binding protein 4, FKBP59, HSP-binding immunophilin, Immunophilin FKBP52, Rotamase, FKBP51, 52 kDa FKBP, FKBP-52, p59, FKBP-4, HBI

3 Images
Western blot - Anti-FKBP52 antibody [EPR6619] - BSA and Azide free (AB248052)
  • WB

Unknown

Western blot - Anti-FKBP52 antibody [EPR6619] - BSA and Azide free (AB248052)

This data was developed using ab124906, the same antibody clone in a different buffer formulation.

All lanes:

Western blot - Anti-FKBP52 antibody [EPR6619] (<a href='/en-us/products/primary-antibodies/fkbp52-antibody-epr6619-ab124906'>ab124906</a>) at 1/50000 dilution

Lane 1:

HeLa cell lysate at 10 µg

Lane 2:

MCF7 cell lysate at 10 µg

Lane 3:

Jurkat cell lysate at 10 µg

Lane 4:

K562 cell lysate at 10 µg

Secondary

All lanes:

HRP labelled goat anti-rabbit at 1/2000 dilution

Predicted band size: 52 kDa

Observed band size: 52 kDa

false

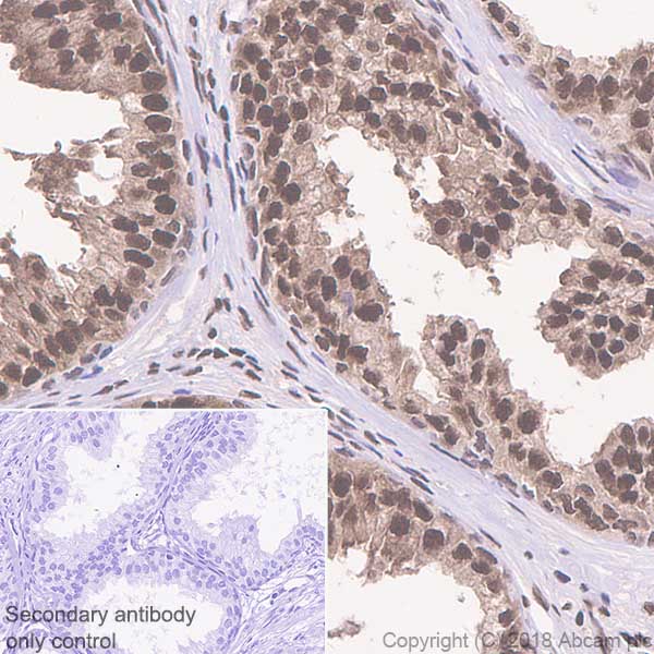
Immunohistochemistry (Formalin/PFA-fixed paraffin-embedded sections) - Anti-FKBP52 antibody [EPR6619] - BSA and Azide free (AB248052)
  • IHC-P

Unknown

Immunohistochemistry (Formalin/PFA-fixed paraffin-embedded sections) - Anti-FKBP52 antibody [EPR6619] - BSA and Azide free (AB248052)

This data was developed using ab124906, the same antibody clone in a different buffer formulation.

ab124906, at 1/100 dilution, staining FKBP52 in paraffin-embedded Human breast tissue by Immunohistochemistry.

Perform heat mediated antigen retrieval before commencing with IHC staining protocol.

OI-RD Scanning - Anti-FKBP52 antibody [EPR6619] - BSA and Azide free (AB248052)
  • OI-RD Scanning

Unknown

OI-RD Scanning - Anti-FKBP52 antibody [EPR6619] - BSA and Azide free (AB248052)

We have systematically measured KD (the equilibrium dissociation constant between the antibody and its antigen), of more than 840 recombinant antibodies to assess not only their individual KD values but also to see the average affinity of antibody. Based on the comparison with published literature values for mouse monoclonal antibodies, Recombinant antibodies appear to be on average 1-2 order of magnitude higher affinity.

Key facts

Host species

Rabbit

Clonality

Monoclonal

Clone number

EPR6619

Isotype

IgG

Carrier free

Yes

Reacts with

Human

Applications

WB, IHC-P

applications

Immunogen

The exact immunogen used to generate this antibody is proprietary information.

Reactivity data

{ "title": "Reactivity Data", "filters": { "stats": ["", "Species", "Dilution Info", "Notes"], "tabs": { "all-applications": {"fullname" : "All Applications", "shortname": "All Applications"}, "IHCP" : {"fullname" : "Immunohistochemistry (Formalin/PFA-fixed paraffin-embedded sections)", "shortname":"IHC-P"}, "ICCIF" : {"fullname" : "Immunocytochemistry/ Immunofluorescence", "shortname":"ICC/IF"}, "WB" : {"fullname" : "Western blot", "shortname":"WB"}, "FlowCytIntra" : {"fullname" : "Flow Cytometry (Intracellular)", "shortname":"Flow Cyt (Intra)"} }, "product-promise": { "all": "all", "testedAndGuaranteed": "tested", "guaranteed": "expected", "predicted": "predicted", "notRecommended": "not-recommended" } }, "values": { "Human": { "IHCP-species-checked": "testedAndGuaranteed", "IHCP-species-dilution-info": "", "IHCP-species-notes": "<p></p>", "ICCIF-species-checked": "notRecommended", "ICCIF-species-dilution-info": "", "ICCIF-species-notes": "<p></p>", "WB-species-checked": "testedAndGuaranteed", "WB-species-dilution-info": "", "WB-species-notes": "<p></p>", "FlowCytIntra-species-checked": "notRecommended", "FlowCytIntra-species-dilution-info": "", "FlowCytIntra-species-notes": "<p></p>" }, "Mouse": { "IHCP-species-checked": "notRecommended", "IHCP-species-dilution-info": "", "IHCP-species-notes": "<p></p>", "ICCIF-species-checked": "notRecommended", "ICCIF-species-dilution-info": "", "ICCIF-species-notes": "<p></p>", "WB-species-checked": "notRecommended", "WB-species-dilution-info": "", "WB-species-notes": "<p></p>", "FlowCytIntra-species-checked": "notRecommended", "FlowCytIntra-species-dilution-info": "", "FlowCytIntra-species-notes": "<p></p>" }, "Rat": { "IHCP-species-checked": "notRecommended", "IHCP-species-dilution-info": "", "IHCP-species-notes": "<p></p>", "ICCIF-species-checked": "notRecommended", "ICCIF-species-dilution-info": "", "ICCIF-species-notes": "<p></p>", "WB-species-checked": "notRecommended", "WB-species-dilution-info": "", "WB-species-notes": "<p></p>", "FlowCytIntra-species-checked": "notRecommended", "FlowCytIntra-species-dilution-info": "", "FlowCytIntra-species-notes": "<p></p>" } } }

Product details

ab248052 is the carrier-free version of ab124906.

Patented technology
Our RabMAb® technology is a patented hybridoma-based technology for making rabbit monoclonal antibodies. For details on our patents, please refer to RabMAb® patents.

What are the advantages of a recombinant monoclonal antibody?
This product is a recombinant monoclonal antibody, which offers several advantages including:

  • - High batch-to-batch consistency and reproducibility
  • - Improved sensitivity and specificity
  • - Long-term security of supply
  • - Animal-free batch production

For more information, read more on recombinant antibodies.

Conjugation ready
Our carrier-free antibodies are typically supplied in a PBS-only formulation, purified and free of BSA, sodium azide and glycerol. This conjugation-ready format is designed for use with fluorochromes, metal isotopes, oligonucleotides, and enzymes, which makes them ideal for antibody labelling, functional and cell-based assays, flow-based assays (e.g. mass cytometry) and Multiplex Imaging applications.

Use our conjugation kits for antibody conjugates that are ready-to-use in as little as 20 minutes with 1 minute hands-on-time and 100% antibody recovery: available for fluorescent dyes, HRP, biotin and gold.

Compatibility
This product is compatible with the Maxpar® Antibody Labeling Kit from Fluidigm, without the need for antibody preparation. Maxpar® is a trademark of Fluidigm Canada Inc.

Properties and storage information

Form
Liquid
Purification technique
Affinity purification Protein A
Storage buffer
pH: 7.2 - 7.4 Constituents: PBS
Shipped at conditions
Blue Ice
Appropriate short-term storage conditions
+4°C
Appropriate long-term storage conditions
+4°C
Storage information
Do Not Freeze

Supplementary information

This supplementary information is collated from multiple sources and compiled automatically.

The immunophilin protein FKBP52 also known as FK506-binding protein 4 (FKBP4) weighs approximately 52 kDa. This protein acts as a peptidyl-prolyl cis-trans isomerase which assists in protein folding and stability. FKBP52 is widely expressed in cells with high levels in tissues like the brain testis and kidneys indicating its role in various cellular processes. As part of its mechanical role FKBP52 interacts with heat shock proteins aiding in the regulation of protein homeostasis.
Biological function summary

FKBP52 functions as a co-chaperone in steroid receptor complexes. It partners with heat shock protein 90 (HSP90) to form a functional complex that modulates the activity of steroid hormone receptors. These receptors such as the androgen and glucocorticoid receptors rely on FKBP52 for proper regulation and transport within the cell. FKBP52 also plays a part in cellular signaling influencing processes like cell growth and differentiation through its interaction with these receptors.

Pathways

FKBP52 features prominently in steroid hormone signaling and stress response pathways. It is critical to the maturation and transport of steroid hormone receptors directly affecting their downstream gene regulation. The protein interacts closely with HSP90 and other immunophilins like FKBP51 which also plays roles in similar pathways but may have differing regulatory effects. This interaction demonstrates how FKBP52's function integrates into broader cellular signaling networks influencing pathways like the glucocorticoid receptor signaling pathway.

FKBP52 connects significantly to prostate cancer and Alzheimer's disease. In prostate cancer its modulation of androgen receptor activity is critical. Abnormal regulation of these receptors can contribute to cancer progression. Moreover in Alzheimer's disease FKBP52 influences the stability and function of tau protein which is linked to neurofibrillary tangle formation a hallmark of the disease. Its interaction with tau indicates a potential therapeutic target for intervention in Alzheimer's progression.

Product protocols

For this product, it's our understanding that no specific protocols are required. You can visit:

Target data

Immunophilin protein with PPIase and co-chaperone activities. Component of steroid receptors heterocomplexes through interaction with heat-shock protein 90 (HSP90). May play a role in the intracellular trafficking of heterooligomeric forms of steroid hormone receptors between cytoplasm and nuclear compartments. The isomerase activity controls neuronal growth cones via regulation of TRPC1 channel opening. Acts also as a regulator of microtubule dynamics by inhibiting MAPT/TAU ability to promote microtubule assembly. May have a protective role against oxidative stress in mitochondria.
See full target information FKBP4

Publications (1)

Recent publications for all applications. Explore the full list and refine your search

Journal of virology 97:e0190722 PubMed36946735

2023

Characterization of the Impact of Merkel Cell Polyomavirus-Induced Interferon Signaling on Viral Infection.

Applications

Unspecified application

Species

Unspecified reactive species

Ranran Wang,June F Yang,Taylor E Senay,Wei Liu,Jianxin You
View all publications

Product promise

We are committed to supporting your work with high-quality reagents, and we're here for you every step of the way. In the unlikely event that one of our products does not perform as expected, you're protected by our Product Promise.
For full details, please see our Terms & Conditions

Please note: All products are 'FOR RESEARCH USE ONLY. NOT FOR USE IN DIAGNOSTIC OR THERAPEUTIC PROCEDURES'.

For licensing inquiries, please contact partnerships@abcam.com