JavaScript is disabled in your browser. Please enable JavaScript to view this website.
AB217311

Anti-FKLF / KLF11 antibody

Be the first to review this product! Submit a review

|

(1 Publication)

Rabbit Polyclonal FKLF / KLF11 antibody. Suitable for IHC-P and reacts with Rat samples. Cited in 1 publication. Immunogen corresponding to Synthetic Peptide within Human KLF11 aa 1-50 conjugated to Keyhole Limpet Haemocyanin.

View Alternative Names

FKLF, TIEG2, KLF11, Krueppel-like factor 11, Transforming growth factor-beta-inducible early growth response protein 2, TGFB-inducible early growth response protein 2, TIEG-2

1 Images
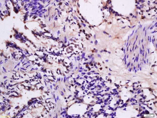
Immunohistochemistry (Formalin/PFA-fixed paraffin-embedded sections) - Anti-FKLF / KLF11 antibody (AB217311)
  • IHC-P

Supplier Data

Immunohistochemistry (Formalin/PFA-fixed paraffin-embedded sections) - Anti-FKLF / KLF11 antibody (AB217311)

Immunohistochemical analysis of formalin-fixed, paraffin-embedded rat lung tissue labeling FKLF / KLF11 with ab217311 at 1/200 dilution, followed by conjugation to the secondary antibody and DAB staining.

Key facts

Host species

Rabbit

Clonality

Polyclonal

Isotype

IgG

Carrier free

No

Reacts with

Rat

Applications

IHC-P

applications

Immunogen

Synthetic Peptide within Human KLF11 aa 1-50 conjugated to Keyhole Limpet Haemocyanin. The exact immunogen used to generate this antibody is proprietary information.

O14901

Reactivity data

{ "title": "Reactivity Data", "filters": { "stats": ["", "Species", "Dilution Info", "Notes"], "tabs": { "all-applications": {"fullname" : "All Applications", "shortname": "All Applications"}, "IHCP" : {"fullname" : "Immunohistochemistry (Formalin/PFA-fixed paraffin-embedded sections)", "shortname":"IHC-P"} }, "product-promise": { "all": "all", "testedAndGuaranteed": "tested", "guaranteed": "expected", "predicted": "predicted", "notRecommended": "not-recommended" } }, "values": { "Human": { "IHCP-species-checked": "predicted", "IHCP-species-dilution-info": "", "IHCP-species-notes": "" }, "Mouse": { "IHCP-species-checked": "predicted", "IHCP-species-dilution-info": "", "IHCP-species-notes": "" }, "Rat": { "IHCP-species-checked": "testedAndGuaranteed", "IHCP-species-dilution-info": "1/100 - 1/500", "IHCP-species-notes": "<p></p>" } } }

Properties and storage information

Form
Liquid
Purification technique
Affinity purification Protein A
Storage buffer
pH: 7.4 Preservative: 0.02% Proclin 300 Constituents: 50% Glycerol (glycerin, glycerine), 48.98% TBS, 1X, 1% BSA
Shipped at conditions
Blue Ice
Appropriate short-term storage duration
1-2 weeks
Appropriate short-term storage conditions
+4°C
Appropriate long-term storage conditions
-20°C
Aliquoting information
Upon delivery aliquot
Storage information
Avoid freeze / thaw cycle

Supplementary information

This supplementary information is collated from multiple sources and compiled automatically.

FKLF also known as KLF11 is a transcription factor of the Krüppel-like family vital for regulating gene expression. This protein has a mass of approximately 55 kDa and is expressed widely in various human tissues including the pancreas liver and heart. KLF11 has functional domains that bind to specific DNA sequences influencing the transcription process. The protein can act as an activator or repressor impacting cellular responses depending on the context of DNA.
Biological function summary

The transcription factor KLF11 plays significant roles in cellular differentiation and proliferation. It serves as part of a regulatory complex involved in modulating gene expression associated with cell cycle control and apoptosis. KLF11 exerts its effects by binding to specific promoter regions in target genes facilitating transcriptional activation or repression to modulate cellular states. The protein's activity is important for maintaining normal cell function and tissue homeostasis.

Pathways

KLF11 is integrated into important signaling networks such as the TGF-beta and SMAD pathways. In these pathways KLF11 interacts with various proteins including SMAD3 and SMAD4 to regulate downstream transcriptional responses. By influencing these pathways KLF11 participates in controlling processes like cell growth inhibition and apoptosis ensuring regulated cell proliferation and differentiation. These interactions highlight KLF11's role in orchestrating multiple cellular functions and maintaining physiological balance.

Mutations or dysregulation of KLF11 expression have been implicated in diabetes mellitus and certain cancers. In diabetes KLF11’s modulation of insulin gene expression links it to metabolic regulation where it affects glucose homeostasis. In some cases of cancer aberrant KLF11 activity contributes to uncontrolled cell proliferation suggesting a tumor suppressor role. KLF11 associates with target proteins like SMAD3 during these disease processes highlighting its involvement in their pathogenesis.

Product protocols

For this product, it's our understanding that no specific protocols are required. You can visit:

Target data

Transcription factor (PubMed : 10207080, PubMed : 9748269). Activates the epsilon- and gamma-globin gene promoters and, to a much lower degree, the beta-globin gene and represses promoters containing SP1-like binding inhibiting cell growth (PubMed : 10207080, PubMed : 16131492, PubMed : 9748269). Represses transcription of SMAD7 which enhances TGF-beta signaling (By similarity). Induces apoptosis (By similarity).
See full target information KLF11

Publications (1)

Recent publications for all applications. Explore the full list and refine your search

Biotechnology and applied biochemistry 66:555-563 PubMed30994947

2019

Cilostazol protects against myocardial ischemia and reperfusion injury by activating transcription factor EB (TFEB).

Applications

Unspecified application

Species

Unspecified reactive species

Jiangjin Li,Xiaoli Xiang,Zuo Xu
View all publications

Product promise

We are committed to supporting your work with high-quality reagents, and we're here for you every step of the way. In the unlikely event that one of our products does not perform as expected, you're protected by our Product Promise.
For full details, please see our Terms & Conditions

Please note: All products are 'FOR RESEARCH USE ONLY. NOT FOR USE IN DIAGNOSTIC OR THERAPEUTIC PROCEDURES'.

For licensing inquiries, please contact partnerships@abcam.com