JavaScript is disabled in your browser. Please enable JavaScript to view this website.
AB238583

Anti-FKRP antibody

Be the first to review this product! Submit a review

|

(1 Publication)

Rabbit Polyclonal FKRP antibody. Suitable for IHC-P and reacts with Human samples. Cited in 1 publication. Immunogen corresponding to Recombinant Fragment Protein within Human FKRP aa 1-150.

View Alternative Names

Ribitol 5-phosphate transferase FKRP, Fukutin-related protein, Ribitol-5-phosphate transferase, FKRP

2 Images
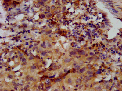
Immunohistochemistry (Formalin/PFA-fixed paraffin-embedded sections) - Anti-FKRP antibody (AB238583)
  • IHC-P

Supplier Data

Immunohistochemistry (Formalin/PFA-fixed paraffin-embedded sections) - Anti-FKRP antibody (AB238583)

Paraffin-embedded human ovarian cancer tissue stained for FKRP using ab238583 at 1/400 dilution in immunohistochemical analysis.

After dewaxing and hydration, antigen retrieval was mediated by high pressure in a citrate buffer (pH 6.0). Section was blocked with 10% normal goat serum 30 minutes at RT. Then primary antibody (1% BSA) was incubated at 4°C overnight. The primary is detected by a biotinylated secondary antibody and visualized using an HRP conjugated SP system.

Immunohistochemistry (Formalin/PFA-fixed paraffin-embedded sections) - Anti-FKRP antibody (AB238583)
  • IHC-P

Supplier Data

Immunohistochemistry (Formalin/PFA-fixed paraffin-embedded sections) - Anti-FKRP antibody (AB238583)

Paraffin-embedded human placenta tissue stained for FKRP using ab238583 at 1/400 dilution in immunohistochemical analysis.

After dewaxing and hydration, antigen retrieval was mediated by high pressure in a citrate buffer (pH 6.0). Section was blocked with 10% normal goat serum 30 minutes at RT. Then primary antibody (1% BSA) was incubated at 4°C overnight. The primary is detected by a biotinylated secondary antibody and visualized using an HRP conjugated SP system.

Key facts

Host species

Rabbit

Clonality

Polyclonal

Isotype

IgG

Carrier free

No

Reacts with

Human

Applications

IHC-P

applications

Immunogen

Recombinant Fragment Protein within Human FKRP aa 1-150. The exact immunogen used to generate this antibody is proprietary information.

Q9H9S5

Reactivity data

{ "title": "Reactivity Data", "filters": { "stats": ["", "Species", "Dilution Info", "Notes"], "tabs": { "all-applications": {"fullname" : "All Applications", "shortname": "All Applications"}, "IHCP" : {"fullname" : "Immunohistochemistry (Formalin/PFA-fixed paraffin-embedded sections)", "shortname":"IHC-P"} }, "product-promise": { "all": "all", "testedAndGuaranteed": "tested", "guaranteed": "expected", "predicted": "predicted", "notRecommended": "not-recommended" } }, "values": { "Human": { "IHCP-species-checked": "testedAndGuaranteed", "IHCP-species-dilution-info": "1/200 - 1/500", "IHCP-species-notes": "<p></p>" }, "Mouse": { "IHCP-species-checked": "predicted", "IHCP-species-dilution-info": "", "IHCP-species-notes": "" } } }

Properties and storage information

Form
Liquid
Purification technique
Affinity purification Protein G
Purification notes
Purity >95%
Storage buffer
pH: 7.4 Preservative: 0.03% Proclin 300 Constituents: PBS, 50% Glycerol (glycerin, glycerine)
Shipped at conditions
Blue Ice
Appropriate short-term storage duration
1-2 weeks
Appropriate short-term storage conditions
+4°C
Appropriate long-term storage conditions
-20°C
Aliquoting information
Upon delivery aliquot
Storage information
Avoid freeze / thaw cycle

Supplementary information

This supplementary information is collated from multiple sources and compiled automatically.

The FKRP protein short for fukutin-related protein plays an important role in the glycosylation of alpha-dystroglycan an important component of muscle tissue structure. FKRP weighs approximately 55 kDa and is present in several tissues with high expression levels found in skeletal and cardiac muscle. It resides mainly within the Golgi apparatus where it participates in the modification of glycoproteins.
Biological function summary

FKRP functions as a glycosyltransferase involved in the synthesis of O-linked mannose structures on alpha-dystroglycan. Alpha-dystroglycan forms part of the dystrophin-glycoprotein complex a critical assembly in muscle tissue for linking the extracellular matrix to the cytoskeleton. This connection facilitates cellular stability during muscle contraction and maintains tissue integrity.

Pathways

FKRP operates predominantly within the alpha-dystroglycan glycosylation pathway. This pathway ensures proper glycan structures are present on alpha-dystroglycan permitting its interaction with extracellular matrix components like laminin. FKRP's activity closely interacts with other proteins like fukutin and LARGE1 which also participate in the modification of alpha-dystroglycan therefore impacting overall cell-matrix interactions.

FKRP mutations can lead to muscular dystrophies such as Walker-Warburg syndrome and limb-girdle muscular dystrophy 2I. These disorders often result from deficient glycosylation of alpha-dystroglycan leading to compromised muscle function and stability. Variations in FKRP expression or function affect the dystrophin-glycoprotein complex and consequently influence the muscle tissue's ability to withstand mechanical stress implicating FKRP as a critical player in maintaining muscular health.

Product protocols

For this product, it's our understanding that no specific protocols are required. You can visit:

Target data

Catalyzes the transfer of a ribitol 5-phosphate from CDP-L-ribitol to the ribitol 5-phosphate previously attached by FKTN/fukutin to the phosphorylated O-mannosyl trisaccharide (N-acetylgalactosamine-beta-3-N-acetylglucosamine-beta-4-(phosphate-6-)mannose), a carbohydrate structure present in alpha-dystroglycan (DAG1) (PubMed : 26923585, PubMed : 27194101, PubMed : 29477842, PubMed : 31949166). This constitutes the second step in the formation of the ribose 5-phosphate tandem repeat which links the phosphorylated O-mannosyl trisaccharide to the ligand binding moiety composed of repeats of 3-xylosyl-alpha-1,3-glucuronic acid-beta-1 (PubMed : 25279699, PubMed : 26923585, PubMed : 27194101, PubMed : 29477842, PubMed : 31949166).
See full target information FKRP

Publications (1)

Recent publications for all applications. Explore the full list and refine your search

The Journal of clinical investigation 134: PubMed38085578

2023

Itaconate suppresses atherosclerosis by activating a Nrf2-dependent antiinflammatory response in macrophages in mice.

Applications

Unspecified application

Species

Unspecified reactive species

Jianrui Song,Yanling Zhang,Ryan A Frieler,Anthony Andren,Sherri Wood,Daniel J Tyrrell,Peter Sajjakulnukit,Jane C Deng,Costas A Lyssiotis,Richard M Mortensen,Morgan Salmon,Daniel R Goldstein
View all publications

Product promise

We are committed to supporting your work with high-quality reagents, and we're here for you every step of the way. In the unlikely event that one of our products does not perform as expected, you're protected by our Product Promise.
For full details, please see our Terms & Conditions

Please note: All products are 'FOR RESEARCH USE ONLY. NOT FOR USE IN DIAGNOSTIC OR THERAPEUTIC PROCEDURES'.

For licensing inquiries, please contact partnerships@abcam.com