JavaScript is disabled in your browser. Please enable JavaScript to view this website.
AB316011

Anti-Flagellin antibody [EPR28356-51] - BSA and Azide free

Be the first to review this product! Submit a review

|

(0 Publication)

Rabbit Recombinant Monoclonal Flagellin antibody. Carrier free. Suitable for WB and reacts with Escherichia coli, Transfected cell lysate - Escherichia coli K-12 samples.

View Alternative Names

flaF, hag, b1923, JW1908, fliC, Flagellin

2 Images
Western blot - Anti-Flagellin antibody [EPR28356-51] - BSA and Azide free (AB316011)
  • WB

Supplier Data

Western blot - Anti-Flagellin antibody [EPR28356-51] - BSA and Azide free (AB316011)

This data was developed using ab316010, the same antibody clone in a different buffer formulation.

Blocking and diluting buffer and concentration : 5% NFDM/TBST.

In Western blot, Anti-beta Tubulin antibody [EP1331Y] - Microtubule Marker (ab52901) staining at 1/1000 dilution.

All lanes:

Western blot - Anti-Flagellin antibody [EPR28356-51] (<a href='/en-us/products/primary-antibodies/flagellin-antibody-epr28356-51-ab316010'>ab316010</a>) at 1/1000 dilution

Lane 1:

E. coli BL21(DE3) whole cell lysate at 20 µg

Lane 2:

293T (human embryonic kidney epithelial cell) whole cell lysate at 20 µg

Secondary

All lanes:

Western blot - Goat Anti-Rabbit IgG H&L (HRP) (<a href='/en-us/products/secondary-antibodies/goat-rabbit-igg-h-l-hrp-ab97051'>ab97051</a>) at 1/100000 dilution

Observed band size: 51 kDa,50 kDa

false

Exposure time: 180s

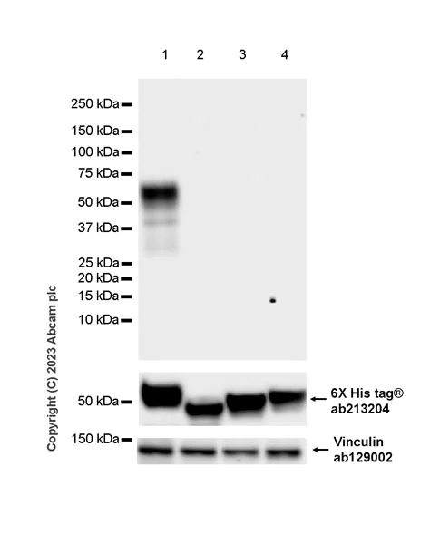
Western blot - Anti-Flagellin antibody [EPR28356-51] - BSA and Azide free (AB316011)
  • WB

Supplier Data

Western blot - Anti-Flagellin antibody [EPR28356-51] - BSA and Azide free (AB316011)

This data was developed using ab316010, the same antibody clone in a different buffer formulation.

Blocking and diluting buffer and concentration : 5% NFDM/TBST.

This antibody does not cross-react with overexpressed Flagellin (Salmonella anatum), Flagellin (Salmonella typhimurium (strain LT2 /SGSC1412 / ATCC 700720)) and Flagellin (Salmonella paratyphi A (strain ATCC9150 / SARB42)).

In Western blot, Anti-Vinculin antibody [EPR8185] (ab129002) staining at 1/10000 dilution.

In Western blot, Anti-6X His tag antibody [EPR20547]-CHIP Grade (ab213204) staining at 1/5000 dilution.

All lanes:

Western blot - Anti-Flagellin antibody [EPR28356-51] (<a href='/en-us/products/primary-antibodies/flagellin-antibody-epr28356-51-ab316010'>ab316010</a>) at 1/1000 dilution

Lane 1:

293T cells transfected with a Flagellin (E.coli K12) expression vector containing a His-tag, whole cell lysate at 20 µg

Lane 2:

293T cells transfected with a Flagellin (Salmonella anatum) expression vector containing a His-tag, whole cell lysate at 20 µg

Lane 3:

293T cells transfected with a Flagellin (Salmonella typhimurium (strain LT2 / SGSC1412 / ATCC 700720)) expression vector containing a His-tag, whole cell lysate at 20 µg

Lane 4:

293T cells transfected with a Flagellin (Salmonella paratyphi A (strain ATCC 9150 / SARB42)) expression vector containing a His-tag, whole cell lysate at 20 µg

Secondary

All lanes:

Western blot - Goat Anti-Rabbit IgG H&L (HRP) (<a href='/en-us/products/secondary-antibodies/goat-rabbit-igg-h-l-hrp-ab97051'>ab97051</a>) at 1/100000 dilution

Observed band size: 51 kDa,124 kDa

false

Exposure time: 15s

Key facts

Host species

Rabbit

Clonality

Monoclonal

Clone number

EPR28356-51

Isotype

IgG

Carrier free

Yes

Reacts with

Escherichia coli

Applications

WB

applications

Immunogen

The exact immunogen used to generate this antibody is proprietary information.

Reactivity data

{ "title": "Reactivity Data", "filters": { "stats": ["", "Species", "Dilution Info", "Notes"], "tabs": { "all-applications": {"fullname" : "All Applications", "shortname": "All Applications"}, "WB" : {"fullname" : "Western blot", "shortname":"WB"}, "ICCIF" : {"fullname" : "Immunocytochemistry/ Immunofluorescence", "shortname":"ICC/IF"}, "IHCP" : {"fullname" : "Immunohistochemistry (Formalin/PFA-fixed paraffin-embedded sections)", "shortname":"IHC-P"}, "IP" : {"fullname" : "Immunoprecipitation", "shortname":"IP"}, "FlowCytIntra" : {"fullname" : "Flow Cytometry (Intracellular)", "shortname":"Flow Cyt (Intra)"} }, "product-promise": { "all": "all", "testedAndGuaranteed": "tested", "guaranteed": "expected", "predicted": "predicted", "notRecommended": "not-recommended" } }, "values": { "Escherichia coli": { "WB-species-checked": "testedAndGuaranteed", "WB-species-dilution-info": "", "WB-species-notes": "<p></p>", "ICCIF-species-checked": "notRecommended", "ICCIF-species-dilution-info": "", "ICCIF-species-notes": "<p></p>", "IHCP-species-checked": "notRecommended", "IHCP-species-dilution-info": "", "IHCP-species-notes": "<p></p>", "IP-species-checked": "notRecommended", "IP-species-dilution-info": "", "IP-species-notes": "<p></p>", "FlowCytIntra-species-checked": "notRecommended", "FlowCytIntra-species-dilution-info": "", "FlowCytIntra-species-notes": "<p></p>" }, "Transfected cell lysate - Escherichia coli K-12": { "WB-species-checked": "testedAndGuaranteed", "WB-species-dilution-info": "", "WB-species-notes": "<p></p>", "ICCIF-species-checked": "notRecommended", "ICCIF-species-dilution-info": "", "ICCIF-species-notes": "", "IHCP-species-checked": "notRecommended", "IHCP-species-dilution-info": "", "IHCP-species-notes": "", "IP-species-checked": "notRecommended", "IP-species-dilution-info": "", "IP-species-notes": "", "FlowCytIntra-species-checked": "notRecommended", "FlowCytIntra-species-dilution-info": "", "FlowCytIntra-species-notes": "" } } }

Product details

ab316011 is the carrier-free version of ab316010.

Patented technology
Our RabMAb® technology is a patented hybridoma-based technology for making rabbit monoclonal antibodies. For details on our patents, please refer to RabMAb® patents.

What are the advantages of a recombinant monoclonal antibody?
This product is a recombinant monoclonal antibody, which offers several advantages including:

  • - High batch-to-batch consistency and reproducibility
  • - Improved sensitivity and specificity
  • - Long-term security of supply
  • - Animal-free batch production

For more information, read more on recombinant antibodies.

Conjugation ready
Our carrier-free antibodies are typically supplied in a PBS-only formulation, purified and free of BSA, sodium azide and glycerol. This conjugation-ready format is designed for use with fluorochromes, metal isotopes, oligonucleotides, and enzymes, which makes them ideal for antibody labelling, functional and cell-based assays, flow-based assays (e.g. mass cytometry) and Multiplex Imaging applications.

Use our conjugation kits for antibody conjugates that are ready-to-use in as little as 20 minutes with 1 minute hands-on-time and 100% antibody recovery: available for fluorescent dyes, HRP, biotin and gold.

Compatibility
This product is compatible with the Maxpar® Antibody Labeling Kit from Fluidigm, without the need for antibody preparation. Maxpar® is a trademark of Fluidigm Canada Inc.

Properties and storage information

Form
Liquid
Purification technique
Affinity purification Protein A
Storage buffer
pH: 7.2 - 7.4 Constituents: PBS
Shipped at conditions
Blue Ice
Appropriate short-term storage conditions
+4°C
Appropriate long-term storage conditions
+4°C

Supplementary information

This supplementary information is collated from multiple sources and compiled automatically.

Flagellin is a structural protein essential for the formation and function of bacterial flagella which is critical for motility. Also known as flagellin P41 this protein typically measures around 41 kDa in molecular mass. It plays an important role in the self-assembly of the flagellum's filament creating a helical structure. Expressed in motile bacterial species flagellin forms the building blocks that contribute to the rotation and movement of the flagellum allowing bacteria to navigate their environments.
Biological function summary

Flagellin proteins initiate immune responses as a pathogen-associated molecular pattern (PAMP). It forms part of the complex bacterial flagellar filament. When exposed to host organisms such as humans it can trigger innate immune responses via Toll-like receptor 5 (TLR5). This interaction stimulates cytokine production which can induce an immediate immune system reply to pathogenic bacterial invasion. Due to these interactions flagellin plays an essential role in bridging pathogen encounter and host defense mechanisms.

Pathways

Flagellin interacts significantly with the immune signaling system notably the NF-kB signaling pathway. Upon flagellin binding to TLR5 it activates a cascade leading to NF-kB pathway activation. This results in the transcription of various genes involved in inflammation and immune responses. Flagellin also links indirectly to the MAPK signaling pathway through TLR5 which mediates inflammatory responses. These pathways highlight flagellin's pivotal role in immune system activation and regulation.

Flagellin relates to inflammatory conditions such as inflammatory bowel disease (IBD) and sepsis. In IBD aberrant immune response to E. coli flagellin coupled with interactions with bacterial proteins can exacerbate intestinal inflammation. Sepsis a severe systemic inflammatory condition might involve excessive or uncontrolled response to flagellin leading to harmful immune activation. Understanding these relationships provides valuable insights into flagellin's role in pathological immune activation.

Product protocols

For this product, it's our understanding that no specific protocols are required. You can visit:

Target data

Flagellin is the subunit protein which polymerizes to form the filaments of bacterial flagella.
See full target information fliC

Product promise

We are committed to supporting your work with high-quality reagents, and we're here for you every step of the way. In the unlikely event that one of our products does not perform as expected, you're protected by our Product Promise.
For full details, please see our Terms & Conditions

Please note: All products are 'FOR RESEARCH USE ONLY. NOT FOR USE IN DIAGNOSTIC OR THERAPEUTIC PROCEDURES'.

For licensing inquiries, please contact partnerships@abcam.com