JavaScript is disabled in your browser. Please enable JavaScript to view this website.
AB176707

Anti-FLCN antibody

4

(1 Review)

|

(1 Publication)

Rabbit Polyclonal FLCN antibody. Suitable for IHC-P and reacts with Human samples. Cited in 1 publication. Immunogen corresponding to Synthetic Peptide within Human FLCN aa 1-50.

View Alternative Names

BHD, FLCN, Folliculin, BHD skin lesion fibrofolliculoma protein, Birt-Hogg-Dube syndrome protein

2 Images
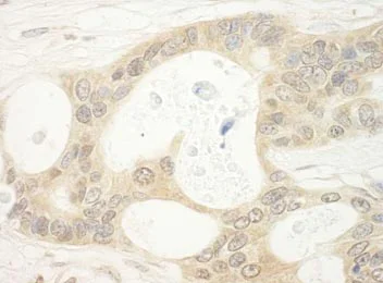
Immunohistochemistry (Formalin/PFA-fixed paraffin-embedded sections) - Anti-FLCN antibody (AB176707)
  • IHC-P

Supplier Data

Immunohistochemistry (Formalin/PFA-fixed paraffin-embedded sections) - Anti-FLCN antibody (AB176707)

Immunohistochemical analysis of paraffin embedded Human linitis plastica stomach cancer tissue labeling FLCN with ab176707 at 1/250 dilution, followed by DAB staining.

Immunohistochemistry (Formalin/PFA-fixed paraffin-embedded sections) - Anti-FLCN antibody (AB176707)
  • IHC-P

Supplier Data

Immunohistochemistry (Formalin/PFA-fixed paraffin-embedded sections) - Anti-FLCN antibody (AB176707)

Immunohistochemical analysis of paraffin embedded Human ovarian carcinoma tissue labeling FLCN with ab176707 at 1/250 dilution, followed by DAB staining.

Key facts

Host species

Rabbit

Clonality

Polyclonal

Isotype

IgG

Carrier free

No

Reacts with

Human

Applications

IHC-P

applications

Immunogen

Synthetic Peptide within Human FLCN aa 1-50. The exact immunogen used to generate this antibody is proprietary information.

Q8NFG4

Reactivity data

{ "title": "Reactivity Data", "filters": { "stats": ["", "Species", "Dilution Info", "Notes"], "tabs": { "all-applications": {"fullname" : "All Applications", "shortname": "All Applications"}, "IHCP" : {"fullname" : "Immunohistochemistry (Formalin/PFA-fixed paraffin-embedded sections)", "shortname":"IHC-P"} }, "product-promise": { "all": "all", "testedAndGuaranteed": "tested", "guaranteed": "expected", "predicted": "predicted", "notRecommended": "not-recommended" } }, "values": { "Human": { "IHCP-species-checked": "testedAndGuaranteed", "IHCP-species-dilution-info": "1/100 - 1/500", "IHCP-species-notes": "<p>Epitope exposure is recommended.Epitope exposure with citrate buffer will enhance staining.Likely to work with frozen sections.</p>" }, "Chimpanzee": { "IHCP-species-checked": "predicted", "IHCP-species-dilution-info": "", "IHCP-species-notes": "" }, "Gorilla": { "IHCP-species-checked": "predicted", "IHCP-species-dilution-info": "", "IHCP-species-notes": "" } } }

Properties and storage information

Form
Liquid
Purification technique
Affinity purification Immunogen
Purification notes
ab176707 was affinity purified using an epitope specific to FLCN immobilized on solid support.
Storage buffer
pH: 6.8 - 7.4 Preservative: 0.09% Sodium azide Constituents: 99% Tris buffered saline, 0.1% BSA
Shipped at conditions
Blue Ice
Appropriate short-term storage duration
1-2 weeks
Appropriate short-term storage conditions
+4°C
Appropriate long-term storage conditions
-20°C
Aliquoting information
Upon delivery aliquot
Storage information
Avoid freeze / thaw cycle

Supplementary information

This supplementary information is collated from multiple sources and compiled automatically.

The Folliculin (FLCN) protein also known by its gene name BHD serves as a tumor suppressor and has significant roles in cellular processes. FLCN comprises 579 amino acids resulting in a molecular weight of approximately 64 kDa. It expresses in various tissues notably in the skin kidney and lung. FLCN interacts with several proteins and serves essential roles in maintaining cell stability.
Biological function summary

FLCN plays a role in energy and nutrient sensing within cells. It forms part of a complex with FNIP1 and FNIP2 proteins which helps regulate cellular growth and metabolism. This complex acts as a hub for integrating various signaling pathways influencing how cells respond to changing metabolic states.

Pathways

Research connects FLCN to the mTOR signaling pathway and AMP-activated protein kinase (AMPK) pathway which are critical for cellular metabolism and energy homeostasis. The interaction between FLCN and the mTOR pathway facilitates control over cell growth and proliferation by sensing cellular energy levels. Moreover FLCN associates with pathways that include proteins like TSC1 and TSC2 which also contribute to the regulation of these pathways.

FLCN mutations link to Birt-Hogg-Dubé syndrome a genetic disorder causing skin lung and kidney anomalies. Its dysfunction also associates with certain types of kidney cancer where FLCN's tumor suppressor role becomes evident. Altered interactions between FLCN and other proteins such as AMPK can contribute to disease progression highlighting FLCN's importance in medical research concerning cancer and genetic disorders.

Product protocols

For this product, it's our understanding that no specific protocols are required. You can visit:

Target data

Multi-functional protein, involved in both the cellular response to amino acid availability and in the regulation of glycolysis (PubMed : 17028174, PubMed : 18663353, PubMed : 21209915, PubMed : 24081491, PubMed : 24095279, PubMed : 31672913, PubMed : 31704029, PubMed : 32612235, PubMed : 34381247, PubMed : 36103527, PubMed : 37079666). GTPase-activating protein that plays a key role in the cellular response to amino acid availability through regulation of the non-canonical mTORC1 signaling cascade controlling the MiT/TFE factors TFEB and TFE3 (PubMed : 17028174, PubMed : 18663353, PubMed : 21209915, PubMed : 24081491, PubMed : 24095279, PubMed : 24448649, PubMed : 31672913, PubMed : 31704029, PubMed : 32612235, PubMed : 36103527, PubMed : 37079666). Activates mTORC1 by acting as a GTPase-activating protein : specifically stimulates GTP hydrolysis by RagC/RRAGC or RagD/RRAGD, promoting the conversion to the GDP-bound state of RagC/RRAGC or RagD/RRAGD, and thereby activating the kinase activity of mTORC1 (PubMed : 24095279, PubMed : 31672913, PubMed : 31704029, PubMed : 32612235, PubMed : 37079666). The GTPase-activating activity is inhibited during starvation and activated in presence of nutrients (PubMed : 31672913, PubMed : 32612235). Acts as a key component for non-canonical mTORC1-dependent control of the MiT/TFE factors TFEB and TFE3, while it is not involved in mTORC1-dependent phosphorylation of canonical RPS6KB1/S6K1 and EIF4EBP1/4E-BP1 (PubMed : 21209915, PubMed : 24081491, PubMed : 31672913, PubMed : 32612235). In low-amino acid conditions, the lysosomal folliculin complex (LFC) is formed on the membrane of lysosomes, which inhibits the GTPase-activating activity of FLCN, inactivates mTORC1 and maximizes nuclear translocation of TFEB and TFE3 (PubMed : 31672913). Upon amino acid restimulation, RagA/RRAGA (or RagB/RRAGB) nucleotide exchange promotes disassembly of the LFC complex and liberates the GTPase-activating activity of FLCN, leading to activation of mTORC1 and subsequent cytoplasmic retention of TFEB and TFE3 (PubMed : 31672913). Indirectly acts as a positive regulator of Wnt signaling by promoting mTOR-dependent cytoplasmic retention of MiT/TFE factor TFE3 (PubMed : 31272105). Required for the exit of hematopoietic stem cell from pluripotency by promoting mTOR-dependent cytoplasmic retention of TFE3, thereby increasing Wnt signaling (PubMed : 30733432). Acts as an inhibitor of browning of adipose tissue by regulating mTOR-dependent cytoplasmic retention of TFE3 (By similarity). Involved in the control of embryonic stem cells differentiation; together with LAMTOR1 it is necessary to recruit and activate RagC/RRAGC and RagD/RRAGD at the lysosomes, and to induce exit of embryonic stem cells from pluripotency via non-canonical, mTOR-independent TFE3 inactivation (By similarity). In response to flow stress, regulates STK11/LKB1 accumulation and mTORC1 activation through primary cilia : may act by recruiting STK11/LKB1 to primary cilia for activation of AMPK resided at basal bodies, causing mTORC1 down-regulation (PubMed : 27072130). Together with FNIP1 and/or FNIP2, regulates autophagy : following phosphorylation by ULK1, interacts with GABARAP and promotes autophagy (PubMed : 25126726). Required for starvation-induced perinuclear clustering of lysosomes by promoting association of RILP with its effector RAB34 (PubMed : 27113757). Regulates glycolysis by binding to lactate dehydrogenase LDHA, acting as an uncompetitive inhibitor (PubMed : 34381247).
See full target information FLCN

Publications (1)

Recent publications for all applications. Explore the full list and refine your search

International journal of hematology 112:864-870 PubMed32789566

2020

Lymphoplasmacytic lymphoma in a patient with Birt-Hogg-Dubé syndrome.

Applications

Unspecified application

Species

Unspecified reactive species

Keiji Kurata,Hisayuki Matsumoto,Naoe Jimbo,Kimikazu Yakushijin,Katsuya Yamamoto,Mitsuhiro Ito,Yuji Nakamachi,Hiroshi Matsuoka,Jun Saegusa,Kuniaki Seyama,Tomoo Itoh,Hironobu Minami
View all publications

Product promise

We are committed to supporting your work with high-quality reagents, and we're here for you every step of the way. In the unlikely event that one of our products does not perform as expected, you're protected by our Product Promise.
For full details, please see our Terms & Conditions

Please note: All products are 'FOR RESEARCH USE ONLY. NOT FOR USE IN DIAGNOSTIC OR THERAPEUTIC PROCEDURES'.

For licensing inquiries, please contact partnerships@abcam.com