JavaScript is disabled in your browser. Please enable JavaScript to view this website.
AB153909

Anti-FLI1 antibody

Be the first to review this product! Submit a review

|

(2 Publications)

Rabbit Polyclonal FLI1 antibody. Suitable for WB, IHC-P, ICC/IF, IP and reacts with Human, Rat samples. Cited in 2 publications. Immunogen corresponding to Recombinant Fragment Protein within Human FLI1 aa 1-250.

View Alternative Names

Friend leukemia integration 1 transcription factor, Proto-oncogene Fli-1, Transcription factor ERGB, FLI1

5 Images
Immunocytochemistry/ Immunofluorescence - Anti-FLI1 antibody (AB153909)
  • ICC/IF

Unknown

Immunocytochemistry/ Immunofluorescence - Anti-FLI1 antibody (AB153909)

Immunofluorescennt analysis of paraformaldehyde-fixed HeLa cells (4%, 15 mins) labeling FLI1 with ab153909 at 1/500 dilution (Green). Right image shows cells co-stained with Hoechst 33342 (Blue).

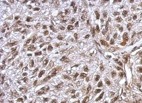
Immunohistochemistry (Formalin/PFA-fixed paraffin-embedded sections) - Anti-FLI1 antibody (AB153909)
  • IHC-P

Unknown

Immunohistochemistry (Formalin/PFA-fixed paraffin-embedded sections) - Anti-FLI1 antibody (AB153909)

Immunohistochemical analysis of paraffin-embedded Human SkHep1 xenograft tissue labeling FLI1 with ab153909 at 1/500 dilution.

Immunoprecipitation - Anti-FLI1 antibody (AB153909)
  • IP

Supplier Data

Immunoprecipitation - Anti-FLI1 antibody (AB153909)

FLI1 antibody immunoprecipitates FLI1 protein in IP experiments. Samples were separated by 10 % SDS-PAGE.
The immunoprecipitated FLI1 protein was detected by FLI1 antibody diluted at 1/500 dilution.

All lanes:

Immunoprecipitation - Anti-FLI1 antibody (ab153909) at 4 µg

Lane 1:

Raji whole cell extract at 40 µg

Lane 2:

Control with 4 µg of preimmune Rabbit IgG

Lane 3:

Immunoprecipitated Raji whole cell extract using ab153909

Secondary

All lanes:

Anti-Rabbit IgG

Predicted band size: 51 kDa

false

Western blot - Anti-FLI1 antibody (AB153909)
  • WB

Unknown

Western blot - Anti-FLI1 antibody (AB153909)

10% SDS PAGE

All lanes:

Western blot - Anti-FLI1 antibody (ab153909) at 1/1000 dilution

Lane 1:

Raji whole cell lysate at 30 µg

Lane 2:

THP1 whole cell lysate at 30 µg

Predicted band size: 51 kDa

false

Western blot - Anti-FLI1 antibody (AB153909)
  • WB

Supplier Data

Western blot - Anti-FLI1 antibody (AB153909)

Samples were separated by 10% SDS PAGE.

All lanes:

Western blot - Anti-FLI1 antibody (ab153909) at 1/1000 dilution

All lanes:

Rat kidney lysate at 50 µg

Secondary

All lanes:

HRP-conjugated anti-rabbit IgG antibody

Predicted band size: 51 kDa

false

Key facts

Host species

Rabbit

Clonality

Polyclonal

Isotype

IgG

Carrier free

No

Reacts with

Human, Rat

Applications

IHC-P, WB, ICC/IF, IP

applications

Immunogen

Recombinant Fragment Protein within Human FLI1 aa 1-250. The exact immunogen used to generate this antibody is proprietary information.

Q01543

Reactivity data

{ "title": "Reactivity Data", "filters": { "stats": ["", "Species", "Dilution Info", "Notes"], "tabs": { "all-applications": {"fullname" : "All Applications", "shortname": "All Applications"}, "WB" : {"fullname" : "Western blot", "shortname":"WB"}, "IHCP" : {"fullname" : "Immunohistochemistry (Formalin/PFA-fixed paraffin-embedded sections)", "shortname":"IHC-P"}, "ICCIF" : {"fullname" : "Immunocytochemistry/ Immunofluorescence", "shortname":"ICC/IF"}, "IP" : {"fullname" : "Immunoprecipitation", "shortname":"IP"} }, "product-promise": { "all": "all", "testedAndGuaranteed": "tested", "guaranteed": "expected", "predicted": "predicted", "notRecommended": "not-recommended" } }, "values": { "Human": { "WB-species-checked": "testedAndGuaranteed", "WB-species-dilution-info": "1/500 - 1/3000", "WB-species-notes": "<p></p>", "IHCP-species-checked": "testedAndGuaranteed", "IHCP-species-dilution-info": "1/100 - 1/1000", "IHCP-species-notes": "<p></p>", "ICCIF-species-checked": "testedAndGuaranteed", "ICCIF-species-dilution-info": "1/100 - 1/1000", "ICCIF-species-notes": "<p></p>", "IP-species-checked": "testedAndGuaranteed", "IP-species-dilution-info": "1/100 - 1/500", "IP-species-notes": "<p></p>" }, "Rat": { "WB-species-checked": "testedAndGuaranteed", "WB-species-dilution-info": "1/500 - 1/3000", "WB-species-notes": "<p></p>", "IHCP-species-checked": "guaranteed", "IHCP-species-dilution-info": "", "IHCP-species-notes": "", "ICCIF-species-checked": "guaranteed", "ICCIF-species-dilution-info": "", "ICCIF-species-notes": "", "IP-species-checked": "guaranteed", "IP-species-dilution-info": "", "IP-species-notes": "" } } }

Properties and storage information

Form
Liquid
Purification technique
Affinity purification Immunogen
Storage buffer
pH: 7 Preservative: 0.025% Proclin 300 Constituents: PBS, 20% Glycerol (glycerin, glycerine), 1% BSA
Shipped at conditions
Blue Ice
Appropriate short-term storage conditions
+4°C
Appropriate long-term storage conditions
-20°C
Aliquoting information
Upon delivery aliquot
Storage information
Avoid freeze / thaw cycle

Supplementary information

This supplementary information is collated from multiple sources and compiled automatically.

The FLI1 protein also known as Friend leukemia virus integration 1 acts as a transcription factor. It consists of 452 amino acids resulting in a molecular mass of about 50 kDa. FLI1 is part of the ETS (E26 transformation-specific) family of transcription factors and it binds to specific DNA sequences to regulate the expression of various genes. It expresses in hematopoietic cells endothelial cells and several tissues during development. High expression levels in certain tissues suggest a significant role in diverse cellular functions.
Biological function summary

The FLI1 protein influences cell proliferation differentiation and apoptosis. It also plays a role in the regulation of genes involved in the immune response. FLI1 forms complexes with other proteins to exert its function therefore impacting gene expression in cellular contexts. Its participation in these processes indicates its regulatory impact on normal cellular development and function.

Pathways

FLI1 interacts with signaling networks that govern the hematopoietic lineage and endothelial cell function. It participates in the MAPK/ERK pathway influencing cell cycle and growth signaling. Through these pathways FLI1 has functional interactions with proteins such as GATA1 and RUNX1 establishing its importance in vascular development and hematopoiesis.

FLI1 has significant associations with Ewing sarcoma and certain leukemias. In Ewing sarcoma chromosomal translocations involve FLI1 leading to oncogenic fusion proteins that drive tumorigenesis. It also interacts with partners like EWSR1 in this context. Moreover abnormal levels of FLI1 relate to blood disorders due to its role in hematopoietic regulation. Understanding these interactions and associations aids in developing therapeutic strategies targeting these illnesses.

Product protocols

For this product, it's our understanding that no specific protocols are required. You can visit:

Target data

Sequence-specific transcriptional activator (PubMed : 24100448, PubMed : 26316623, PubMed : 28255014). Recognizes the DNA sequence 5'-C[CA]GGAAGT-3'.
See full target information FLI1

Publications (2)

Recent publications for all applications. Explore the full list and refine your search

Journal of cellular and molecular medicine 28:e70140 PubMed39434203

2024

Hoxc10-mediated 'positional memory' regulates cartilage formation subsequent to femoral heterotopic grafting.

Applications

Unspecified application

Species

Unspecified reactive species

Haoyue Song,Yujia Hao,Qingpeng Xie,Xiaohang Chen,Na Li,Jia Wang,Xiaoxuan Zhang,Yuan Zhang,Jinjia Hong,Shuyun Xue,Pengfei Zhang,Si Xie,Xing Wang

International journal of molecular sciences 21: PubMed32210104

2020

Fli-1 Activation through Targeted Promoter Activity Regulation Using a Novel 3', 5'-diprenylated Chalcone Inhibits Growth and Metastasis of Prostate Cancer Cells.

Applications

Unspecified application

Species

Unspecified reactive species

Youfen Ma,Bixue Xu,Jia Yu,Lirong Huang,Xiaoping Zeng,Xiangchun Shen,Chunyan Ren,Yaacov Ben-David,Heng Luo
View all publications

Product promise

We are committed to supporting your work with high-quality reagents, and we're here for you every step of the way. In the unlikely event that one of our products does not perform as expected, you're protected by our Product Promise.
For full details, please see our Terms & Conditions

Please note: All products are 'FOR RESEARCH USE ONLY. NOT FOR USE IN DIAGNOSTIC OR THERAPEUTIC PROCEDURES'.

For licensing inquiries, please contact partnerships@abcam.com