JavaScript is disabled in your browser. Please enable JavaScript to view this website.
AB133485

Anti-FLI1 antibody [EPR4646]

5

(1 Review)

|

(46 Publications)

Anti-FLI1 antibody [EPR4646] (ab133485) is a rabbit monoclonal antibody detecting FLI1 in Western Blot, IHC-P. Suitable for Human, Mouse.

- Biophysical QC for unrivalled batch-batch consistency
- Over 30 publications

View Alternative Names

Friend leukemia integration 1 transcription factor, Proto-oncogene Fli-1, Transcription factor ERGB, FLI1

11 Images
Immunohistochemistry (Formalin/PFA-fixed paraffin-embedded sections) - Anti-FLI1 antibody [EPR4646] (AB133485)
  • IHC-P

Lab

Immunohistochemistry (Formalin/PFA-fixed paraffin-embedded sections) - Anti-FLI1 antibody [EPR4646] (AB133485)

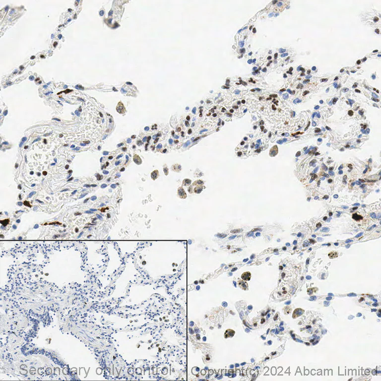
Immunohistochemical analysis of formalin fixed paraffin embedded human lung labelling FLI1 with ab133485 at a concentration of 0.01 µg/ml. The immunostaining was performed on a Ventana DISCOVERY ULTRA (Roche Tissue Diagnostics) instrument with a OptiView DAB IHC Detection Kit. Heat mediated antigen retrieval was performed with DISCOVERY cell conditioning solution (CC1) 100°C, pH 8.5 for 32mins.

ab133485 Anti-FLI1 antibody [EPR4646] was incubated for 16mins at 37°C. Sections were counterstained with Hematoxylin II. Image inset shows absence of staining in secondary antibody only control.

Customers are encouraged to optimise antigen retrieval conditions, antibody concentration, incubation times and temperature for best results in their own IHC assay workflow (automated and manual).

Immunohistochemistry (Formalin/PFA-fixed paraffin-embedded sections) - Anti-FLI1 antibody [EPR4646] (AB133485)
  • IHC-P

Unknown

Immunohistochemistry (Formalin/PFA-fixed paraffin-embedded sections) - Anti-FLI1 antibody [EPR4646] (AB133485)

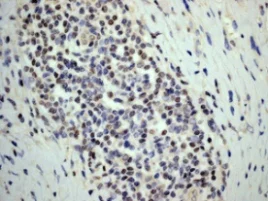
Immunohistochemical analysis of paraffin-embedded Human Ewing sarcoma tissue labelled with unpurified ab133485 at 1/250 dilution.

Perform heat mediated antigen retrieval before commencing with IHC staining protocol.

Immunohistochemistry (Formalin/PFA-fixed paraffin-embedded sections) - Anti-FLI1 antibody [EPR4646] (AB133485)
  • IHC-P

Lab

Immunohistochemistry (Formalin/PFA-fixed paraffin-embedded sections) - Anti-FLI1 antibody [EPR4646] (AB133485)

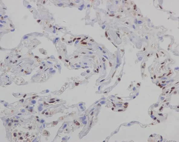
Immunohistochemical staining of paraffin embedded human lung with unpurified ab133485 at a working dilution of 1 in 140. The secondary antibody used is a HRP polymer for rabbit IgG. The sample is counter-stained with hematoxylin. Antigen retrieval was perfomed using Tris-EDTA buffer, pH 9.0.

Immunohistochemistry (Formalin/PFA-fixed paraffin-embedded sections) - Anti-FLI1 antibody [EPR4646] (AB133485)
  • IHC-P

Lab

Immunohistochemistry (Formalin/PFA-fixed paraffin-embedded sections) - Anti-FLI1 antibody [EPR4646] (AB133485)

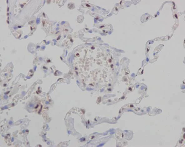
Immunohistochemical staining of paraffin embedded human lung with purified ab133485 at a working dilution of 1 in 700. The secondary antibody used is a HRP polymer for rabbit IgG. The sample is counter-stained with hematoxylin. Antigen retrieval was perfomed using Tris-EDTA buffer, pH 9.0.

ChIC/CUT&RUN sequencing - Anti-FLI1 antibody [EPR4646] (AB133485)
  • ChIC/CUT&RUN-seq

Lab

ChIC/CUT&RUN sequencing - Anti-FLI1 antibody [EPR4646] (AB133485)

ChIC/CUT&RUN was performed using a pAG-MNase at a final concentration of 700 ng/mL, 2.5 x 105 A-673 (human muscle Ewings sarcoma cell line) cells and 5 µg of ab133485 [EPR4646]. The resulting DNA was sequenced on the Illumina NovaSeq 6000 to a depth of 10 million reads. The negative IgG control ab172730 is also shown.

The University of Geneva owns patents relevant to ChIC (Chromatin Immuno-Cleavage) methods.

ChIC/CUT&RUN sequencing - Anti-FLI1 antibody [EPR4646] (AB133485)
  • ChIC/CUT&RUN-seq

Lab

ChIC/CUT&RUN sequencing - Anti-FLI1 antibody [EPR4646] (AB133485)

ChIC/CUT&RUN was performed using a pAG-MNase at a final concentration of 700 ng/mL, 2.5 x 105 A-673 (human muscle Ewings sarcoma cell line) cells and 5 µg of ab133485 [EPR4646]. The resulting DNA was sequenced on the Illumina NovaSeq 6000 to a depth of 10 million reads. The negative IgG control ab172730 is also shown.

The University of Geneva owns patents relevant to ChIC (Chromatin Immuno-Cleavage) methods.

ChIC/CUT&RUN sequencing - Anti-FLI1 antibody [EPR4646] (AB133485)
  • ChIC/CUT&RUN-seq

Lab

ChIC/CUT&RUN sequencing - Anti-FLI1 antibody [EPR4646] (AB133485)

ChIC/CUT&RUN was performed using a pAG-MNase at a final concentration of 700 ng/mL, 2.5 x 105 A-673 (human muscle Ewings sarcoma cell line) cells and 5 µg of ab133485 [EPR4646]. The resulting DNA was sequenced on the Illumina NovaSeq 6000 to a depth of 10 million reads. The negative IgG control ab172730 is also shown.

The University of Geneva owns patents relevant to ChIC (Chromatin Immuno-Cleavage) methods.

Western blot - Anti-FLI1 antibody [EPR4646] (AB133485)
  • WB

Lab

Western blot - Anti-FLI1 antibody [EPR4646] (AB133485)

Blocking buffer : 5% NFDM/TBST

Dilution buffer : 5% NFDM/TBST

All lanes:

Western blot - Anti-FLI1 antibody [EPR4646] (ab133485) at 1/1000 dilution

All lanes:

Jurkat cell lysate at 10 µg

Secondary

All lanes:

HRP goat anti-rabbit at 1/1000 dilution

Predicted band size: 51 kDa

Observed band size: 51 kDa

false

Western blot - Anti-FLI1 antibody [EPR4646] (AB133485)
  • WB

Unknown

Western blot - Anti-FLI1 antibody [EPR4646] (AB133485)

Blocking buffer : 5% NFDM/TBST

Dilution buffer : 5% NFDM/TBST

All lanes:

Western blot - Anti-FLI1 antibody [EPR4646] (ab133485) at 1/200 dilution

All lanes:

Jurkat cell lysate at 10 µg

Secondary

All lanes:

HRP goat anti-rabbit (H+L) at 1/1000 dilution

Predicted band size: 51 kDa

Observed band size: 51 kDa

false

Western blot - Anti-FLI1 antibody [EPR4646] (AB133485)
  • WB

Unknown

Western blot - Anti-FLI1 antibody [EPR4646] (AB133485)

All lanes:

Western blot - Anti-FLI1 antibody [EPR4646] (ab133485) at 1/1000 dilution

Lane 1:

U937 cell lysate at 10 µg

Lane 2:

Jurkat cell lysate at 10 µg

Lane 3:

Raw264.7 cell lysate at 10 µg

Lane 4:

HL-60 cell lysate at 10 µg

Secondary

All lanes:

HRP labelled goat anti-rabbit at 1/2000 dilution

Predicted band size: 51 kDa

false

Western blot - Anti-FLI1 antibody [EPR4646] (AB133485)
  • WB

Unknown

Western blot - Anti-FLI1 antibody [EPR4646] (AB133485)

All lanes:

Western blot - Anti-FLI1 antibody [EPR4646] (ab133485) at 1/1000 dilution

Lane 1:

FLI1 recombinant protein at 0.01 µg

Lane 2:

ERGrecombinant protein at 0.01 µg

Secondary

All lanes:

HRP labelled goat anti-rabbit at 1/2000 dilution

Predicted band size: 51 kDa

false

  • Carrier free

    Anti-FLI1 antibody [EPR4646] - BSA and Azide free

Key facts

Host species

Rabbit

Clonality

Monoclonal

Clone number

EPR4646

Isotype

IgG

Carrier free

No

Reacts with

Mouse, Human

Applications

ChIC/CUT&RUN-seq, WB, IHC-P

applications

Immunogen

The exact immunogen used to generate this antibody is proprietary information.

Specificity

This antibody does not cross-react with ERG.

Reactivity data

{ "title": "Reactivity Data", "filters": { "stats": ["", "Species", "Dilution Info", "Notes"], "tabs": { "all-applications": {"fullname" : "All Applications", "shortname": "All Applications"}, "IHCP" : {"fullname" : "Immunohistochemistry (Formalin/PFA-fixed paraffin-embedded sections)", "shortname":"IHC-P"}, "WB" : {"fullname" : "Western blot", "shortname":"WB"}, "IP" : {"fullname" : "Immunoprecipitation", "shortname":"IP"}, "ICCIF" : {"fullname" : "Immunocytochemistry/ Immunofluorescence", "shortname":"ICC/IF"}, "FlowCyt" : {"fullname" : "Flow Cytometry", "shortname":"Flow Cyt"}, "ChICCUTRUNseq" : {"fullname" : "ChIC/CUT&RUN sequencing", "shortname":"ChIC/CUT&RUN-seq"} }, "product-promise": { "all": "all", "testedAndGuaranteed": "tested", "guaranteed": "expected", "predicted": "predicted", "notRecommended": "not-recommended" } }, "values": { "Human": { "IHCP-species-checked": "testedAndGuaranteed", "IHCP-species-dilution-info": "1/700", "IHCP-species-notes": "<p><strong>For unpurified, use 1/140.</strong></p> Perform heat-mediated antigen retrieval before commencing with IHC staining protocol.", "WB-species-checked": "testedAndGuaranteed", "WB-species-dilution-info": "1/1000", "WB-species-notes": "<p><strong>For unpurified, use 1/200.</strong></p>", "IP-species-checked": "notRecommended", "IP-species-dilution-info": "", "IP-species-notes": "<p></p>", "ICCIF-species-checked": "notRecommended", "ICCIF-species-dilution-info": "", "ICCIF-species-notes": "<p></p>", "FlowCyt-species-checked": "notRecommended", "FlowCyt-species-dilution-info": "", "FlowCyt-species-notes": "<p><a href='/en-us/products/primary-antibodies/rabbit-igg-monoclonal-epr25a-isotype-control-ab172730'>ab172730</a> - Rabbit monoclonal IgG, is suitable for use as an isotype control with this antibody.</p>", "ChICCUTRUNseq-species-checked": "testedAndGuaranteed", "ChICCUTRUNseq-species-dilution-info": "5 µg", "ChICCUTRUNseq-species-notes": "<p></p>" }, "Mouse": { "IHCP-species-checked": "guaranteed", "IHCP-species-dilution-info": "", "IHCP-species-notes": "", "WB-species-checked": "testedAndGuaranteed", "WB-species-dilution-info": "1/1000", "WB-species-notes": "<p><strong>For unpurified, use 1/200.</strong></p>", "IP-species-checked": "notRecommended", "IP-species-dilution-info": "", "IP-species-notes": "<p></p>", "ICCIF-species-checked": "notRecommended", "ICCIF-species-dilution-info": "", "ICCIF-species-notes": "", "FlowCyt-species-checked": "notRecommended", "FlowCyt-species-dilution-info": "", "FlowCyt-species-notes": "", "ChICCUTRUNseq-species-checked": "guaranteed", "ChICCUTRUNseq-species-dilution-info": "", "ChICCUTRUNseq-species-notes": "" }, "Recombinant full length protein - Human": { "IHCP-species-checked": "notRecommended", "IHCP-species-dilution-info": "", "IHCP-species-notes": "", "WB-species-checked": "testedAndGuaranteed", "WB-species-dilution-info": "1/1000", "WB-species-notes": "<p><strong>For unpurified, use 1/200.</strong></p>", "IP-species-checked": "notRecommended", "IP-species-dilution-info": "", "IP-species-notes": "", "ICCIF-species-checked": "notRecommended", "ICCIF-species-dilution-info": "", "ICCIF-species-notes": "", "FlowCyt-species-checked": "notRecommended", "FlowCyt-species-dilution-info": "", "FlowCyt-species-notes": "", "ChICCUTRUNseq-species-checked": "notRecommended", "ChICCUTRUNseq-species-dilution-info": "", "ChICCUTRUNseq-species-notes": "" } } }

Product details

Product Specifications
Anti-FLI1 antibody [EPR4646] (ab133485) is a rabbit recombinant monoclonal antibody and is validated for use in ChIC/CUT&RUN-seq, IHC-P, WB in human and mouse samples.
Anti-FLI1 antibody [EPR4646] (ab133485) specifically detects FLI1 (UniProt ID: Q01543; Molecular weight: 51kDa) and is sold in 100 µL and 1 mL selling sizes.

Quality and Validation
Abcam's high quality manufacturing and validation processes ensure Anti-FLI1 antibody [EPR4646] (ab133485) has high sensitivity and specificity alongside high lot-to-lot consistency and reproducibility.
Anti-FLI1 antibody [EPR4646] (ab133485) has been cited over 30 times in peer reviewed journals and is trusted by the scientific community.

Related Products
Conjugation-ready, carrier free format available for antibody clone EPR4646 - ab215987.

Patented technology
Our RabMAb® technology is a patented hybridoma-based technology for making rabbit monoclonal antibodies. For details on our patents, please refer to RabMAb® patents.

What are the advantages of a recombinant monoclonal antibody?
This product is a recombinant monoclonal antibody, which offers several advantages including:

  • - High batch-to-batch consistency and reproducibility
  • - Improved sensitivity and specificity
  • - Long-term security of supply
  • - Animal-free batch production

For more information, read more on recombinant antibodies.

Properties and storage information

Form
Liquid
Purification technique
Affinity purification Protein A
Storage buffer
pH: 7.2 - 7.4 Preservative: 0.01% Sodium azide Constituents: 59% PBS, 40% Glycerol (glycerin, glycerine), 0.05% BSA
Shipped at conditions
Blue Ice
Appropriate short-term storage duration
1-2 weeks
Appropriate short-term storage conditions
+4°C
Appropriate long-term storage conditions
-20°C
Aliquoting information
Upon delivery aliquot
Storage information
Stable for 12 months at -20°C

Supplementary information

This supplementary information is collated from multiple sources and compiled automatically.

The FLI1 protein also known as Friend leukemia virus integration 1 acts as a transcription factor. It consists of 452 amino acids resulting in a molecular mass of about 50 kDa. FLI1 is part of the ETS (E26 transformation-specific) family of transcription factors and it binds to specific DNA sequences to regulate the expression of various genes. It expresses in hematopoietic cells endothelial cells and several tissues during development. High expression levels in certain tissues suggest a significant role in diverse cellular functions.
Biological function summary

The FLI1 protein influences cell proliferation differentiation and apoptosis. It also plays a role in the regulation of genes involved in the immune response. FLI1 forms complexes with other proteins to exert its function therefore impacting gene expression in cellular contexts. Its participation in these processes indicates its regulatory impact on normal cellular development and function.

Pathways

FLI1 interacts with signaling networks that govern the hematopoietic lineage and endothelial cell function. It participates in the MAPK/ERK pathway influencing cell cycle and growth signaling. Through these pathways FLI1 has functional interactions with proteins such as GATA1 and RUNX1 establishing its importance in vascular development and hematopoiesis.

FLI1 has significant associations with Ewing sarcoma and certain leukemias. In Ewing sarcoma chromosomal translocations involve FLI1 leading to oncogenic fusion proteins that drive tumorigenesis. It also interacts with partners like EWSR1 in this context. Moreover abnormal levels of FLI1 relate to blood disorders due to its role in hematopoietic regulation. Understanding these interactions and associations aids in developing therapeutic strategies targeting these illnesses.

Product protocols

For this product, it's our understanding that no specific protocols are required. You can visit:

Target data

Sequence-specific transcriptional activator (PubMed : 24100448, PubMed : 26316623, PubMed : 28255014). Recognizes the DNA sequence 5'-C[CA]GGAAGT-3'.
See full target information FLI1

Publications (46)

Recent publications for all applications. Explore the full list and refine your search

Cancer research communications 5:1034-1048 PubMed40478628

2025

Histone Deacetylase Inhibitors Target DNA Replication Regulators and Replication Stress in Ewing Sarcoma Cells.

Applications

Unspecified application

Species

Unspecified reactive species

Stacia L Koppenhafer,Elizabeth L Geary,Mary V Thomas,Emma E Croushore,Jessica A O Zimmerman,Jenna M Gedminas,Dawn E Quelle,Rebecca D Dodd,David J Gordon

Journal of inflammation research 18:4213-4231 PubMed40129872

2025

FLI1 Induces Plaque Psoriasis and Its Inhibition Attenuates Disease Progression.

Applications

Unspecified application

Species

Unspecified reactive species

Maoting Hu,Kunlin Yu,Chunlin Wang,Wuling Liu,Anling Hu,Yi Kuang,Babu Gajendran,Eldad Zacksenhaus,Giulio Sartori,Francesco Bertoni,Xiao Xiao,Yaacov Ben-David

Cell reports 44:115381 PubMed40080499

2025

YAP1 is a key regulator of EWS::FLI1-dependent malignant transformation upon IGF-1-mediated reprogramming of bone mesenchymal stem cells.

Applications

Unspecified application

Species

Unspecified reactive species

Rahil Noorizadeh,Barbara Sax,Tahereh Javaheri,Branka Radic-Sarikas,Valerie Fock,Veveeyan Suresh,Maximilian Kauer,Aleksandr Bykov,Danijela Kurija,Michaela Schlederer,Lukas Kenner,Gerhard Weber,Wolfgang Mikulits,Florian Halbritter,Richard Moriggl,Heinrich Kovar

Cell reports methods 5:100966 PubMed39922188

2025

Refined culture conditions with increased physiological relevance uncover oncogene-dependent metabolic signatures in Ewing sarcoma spheroids.

Applications

Unspecified application

Species

Unspecified reactive species

A Katharina Ceranski,Martha J Carreño-Gonzalez,Anna C Ehlers,Kimberley M Hanssen,Nadine Gmelin,Florian H Geyer,Zuzanna Kolodynska,Endrit Vinca,Tobias Faehling,Philipp Poeller,Shunya Ohmura,Florencia Cidre-Aranaz,Almut Schulze,Thomas G P Grünewald

Nature communications 16:1267 PubMed39894896

2025

The O-glycosyltransferase C1GALT1 promotes EWSR1::FLI1 expression and is a therapeutic target for Ewing sarcoma.

Applications

Unspecified application

Species

Unspecified reactive species

Shahid Banday,Alok K Mishra,Romana Rashid,Tianyi Ye,Amjad Ali,Junhui Li,Jason T Yustein,Michelle A Kelliher,Lihua Julie Zhu,Sara K Deibler,Sunil K Malonia,Michael R Green

International journal of molecular sciences 25: PubMed39769192

2025

The Astragalus Membranaceus Herb Attenuates Leukemia by Inhibiting the FLI1 Oncogene and Enhancing Anti-Tumor Immunity.

Applications

Unspecified application

Species

Unspecified reactive species

Kunlin Yu,Yao Tang,Chunlin Wang,Wuling Liu,Maoting Hu,Anling Hu,Yi Kuang,Eldad Zacksenhaus,Xue-Zhong Yu,Xiao Xiao,Yaacov Ben-David

Bioactive materials 45:181-200 PubMed39651397

2024

Engineering aortic valves via transdifferentiating fibroblasts into valvular endothelial cells without using viruses or iPS cells.

Applications

Unspecified application

Species

Unspecified reactive species

Peng Tang,Fuxiang Wei,Weihua Qiao,Xing Chen,Chenyang Ji,Wanzhi Yang,Xinyu Zhang,Sihan Chen,Yanyan Wu,Mingxing Jiang,Chenyu Ma,Weiqiang Shen,Qi Dong,Hong Cao,Minghui Xie,Ziwen Cai,Li Xu,Jiawei Shi,Nianguo Dong,Junwei Chen,Ning Wang

Development (Cambridge, England) 151: PubMed39612288

2024

flt1 inactivation promotes zebrafish cardiac regeneration by enhancing endothelial activity and limiting the fibrotic response.

Applications

Unspecified application

Species

Unspecified reactive species

Zhen-Yu Wang,Armaan Mehra,Qian-Chen Wang,Savita Gupta,Agatha Ribeiro da Silva,Thomas Juan,Stefan Günther,Mario Looso,Jan Detleffsen,Didier Y R Stainier,Rubén Marín-Juez

Nature cardiovascular research 3:1158-1176 PubMed39271818

2024

The innate immune regulator MyD88 dampens fibrosis during zebrafish heart regeneration.

Applications

Unspecified application

Species

Unspecified reactive species

Pinelopi Goumenaki,Stefan Günther,Khrievono Kikhi,Mario Looso,Rubén Marín-Juez,Didier Y R Stainier

International journal of molecular sciences 25: PubMed39201282

2024

EWS-FLI1 and Activator Protein-1 (AP-1) Reciprocally Regulate Extracellular-Matrix Proteins in Ewing sarcoma Cells.

Applications

Unspecified application

Species

Unspecified reactive species

Emma E Croushore,Christopher S Stipp,David J Gordon
View all publications

Product promise

We are committed to supporting your work with high-quality reagents, and we're here for you every step of the way. In the unlikely event that one of our products does not perform as expected, you're protected by our Product Promise.
For full details, please see our Terms & Conditions

Please note: All products are 'FOR RESEARCH USE ONLY. NOT FOR USE IN DIAGNOSTIC OR THERAPEUTIC PROCEDURES'.

For licensing inquiries, please contact partnerships@abcam.com