JavaScript is disabled in your browser. Please enable JavaScript to view this website.
AB215987

Anti-FLI1 antibody [EPR4646] - BSA and Azide free

Be the first to review this product! Submit a review

|

(0 Publication)

Rabbit Recombinant Monoclonal FLI1 antibody. Carrier free. Suitable for IHC-P, WB, ChIC/CUT&RUN-seq and reacts with Human, Mouse, Recombinant full length protein samples.

View Alternative Names

Friend leukemia integration 1 transcription factor, Proto-oncogene Fli-1, Transcription factor ERGB, FLI1

7 Images
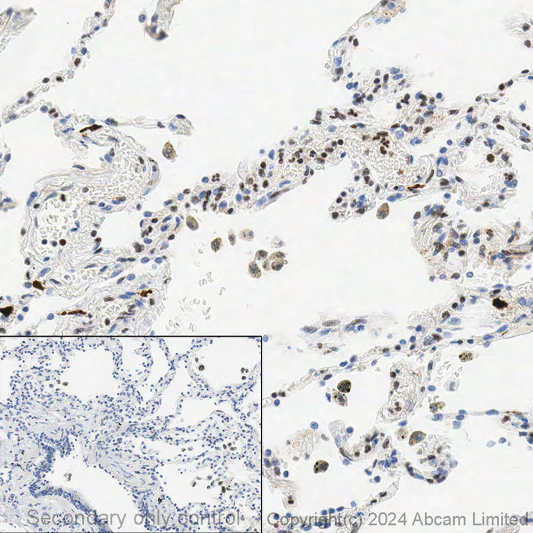
Immunohistochemistry (Formalin/PFA-fixed paraffin-embedded sections) - Anti-FLI1 antibody [EPR4646] - BSA and Azide free (AB215987)
  • IHC-P

Lab

Immunohistochemistry (Formalin/PFA-fixed paraffin-embedded sections) - Anti-FLI1 antibody [EPR4646] - BSA and Azide free (AB215987)

This data was developed using the same antibody clone in a different buffer formulation containing PBS, BSA, glycerol, and sodium azide (ab133485).

Immunohistochemical analysis of formalin fixed paraffin embedded human lung labelling FLI1 with ab133485 at a concentration of 0.01 µg/ml. The immunostaining was performed on a Ventana DISCOVERY ULTRA (Roche Tissue Diagnostics) instrument with a OptiView DAB IHC Detection Kit. Heat mediated antigen retrieval was performed with DISCOVERY cell conditioning solution (CC1) 100°C, pH 8.5 for 32mins.

ab133485 Anti-FLI1 antibody [EPR4646] was incubated for 16mins at 37°C. Sections were counterstained with Hematoxylin II. Image inset shows absence of staining in secondary antibody only control.

Customers are encouraged to optimise antigen retrieval conditions, antibody concentration, incubation times and temperature for best results in their own IHC assay workflow (automated and manual).

ChIC/CUT&RUN sequencing - Anti-FLI1 antibody [EPR4646] - BSA and Azide free (AB215987)
  • ChIC/CUT&RUN-seq

Lab

ChIC/CUT&RUN sequencing - Anti-FLI1 antibody [EPR4646] - BSA and Azide free (AB215987)

This data was developed using the same antibody clone in a different buffer formulation (ab133485).

ChIC/CUT&RUN was performed using a pAG-MNase at a final concentration of 700 ng/mL, 2.5 x 105 A-673 (human muscle Ewings sarcoma cell line) cells and 5 µg of ab133485 [EPR4646]. The resulting DNA was sequenced on the Illumina NovaSeq 6000 to a depth of 10 million reads. The negative IgG control ab172730 is also shown.

The University of Geneva owns patents relevant to ChIC (Chromatin Immuno-Cleavage) methods.

ChIC/CUT&RUN sequencing - Anti-FLI1 antibody [EPR4646] - BSA and Azide free (AB215987)
  • ChIC/CUT&RUN-seq

Lab

ChIC/CUT&RUN sequencing - Anti-FLI1 antibody [EPR4646] - BSA and Azide free (AB215987)

This data was developed using the same antibody clone in a different buffer formulation (ab133485).

ChIC/CUT&RUN was performed using a pAG-MNase at a final concentration of 700 ng/mL, 2.5 x 105 A-673 (human muscle Ewings sarcoma cell line) cells and 5 µg of ab133485 [EPR4646]. The resulting DNA was sequenced on the Illumina NovaSeq 6000 to a depth of 10 million reads. The negative IgG control ab172730 is also shown.

The University of Geneva owns patents relevant to ChIC (Chromatin Immuno-Cleavage) methods.

ChIC/CUT&RUN sequencing - Anti-FLI1 antibody [EPR4646] - BSA and Azide free (AB215987)
  • ChIC/CUT&RUN-seq

Lab

ChIC/CUT&RUN sequencing - Anti-FLI1 antibody [EPR4646] - BSA and Azide free (AB215987)

This data was developed using the same antibody clone in a different buffer formulation (ab133485).

ChIC/CUT&RUN was performed using a pAG-MNase at a final concentration of 700 ng/mL, 2.5 x 105 A-673 (human muscle Ewings sarcoma cell line) cells and 5 µg of ab133485 [EPR4646]. The resulting DNA was sequenced on the Illumina NovaSeq 6000 to a depth of 10 million reads. The negative IgG control ab172730 is also shown.

The University of Geneva owns patents relevant to ChIC (Chromatin Immuno-Cleavage) methods.

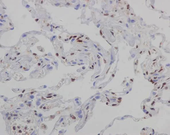
Immunohistochemistry (Formalin/PFA-fixed paraffin-embedded sections) - Anti-FLI1 antibody [EPR4646] - BSA and Azide free (AB215987)
  • IHC-P

Lab

Immunohistochemistry (Formalin/PFA-fixed paraffin-embedded sections) - Anti-FLI1 antibody [EPR4646] - BSA and Azide free (AB215987)

Immunohistochemical staining of paraffin embedded human lung with purified ab133485 at a working dilution of 1 in 700. The secondary antibody used is a HRP polymer for rabbit IgG. The sample is counter-stained with hematoxylin. Antigen retrieval was perfomed using Tris-EDTA buffer, pH 9.0.

This data was developed using the same antibody clone in a different buffer formulation containing PBS, BSA, glycerol, and sodium azide (ab133485).

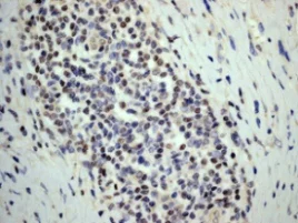
Immunohistochemistry (Formalin/PFA-fixed paraffin-embedded sections) - Anti-FLI1 antibody [EPR4646] - BSA and Azide free (AB215987)
  • IHC-P

Unknown

Immunohistochemistry (Formalin/PFA-fixed paraffin-embedded sections) - Anti-FLI1 antibody [EPR4646] - BSA and Azide free (AB215987)

Immunohistochemical analysis of paraffin-embedded Human Ewing sarcoma tissue labelled with unpurified ab133485 at 1/250 dilution.

This data was developed using the same antibody clone in a different buffer formulation containing PBS, BSA, glycerol, and sodium azide (ab133485).

Perform heat mediated antigen retrieval before commencing with IHC staining protocol.

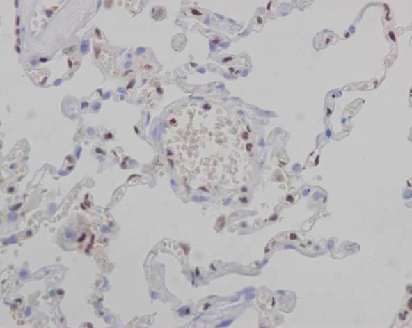
Immunohistochemistry (Formalin/PFA-fixed paraffin-embedded sections) - Anti-FLI1 antibody [EPR4646] - BSA and Azide free (AB215987)
  • IHC-P

Lab

Immunohistochemistry (Formalin/PFA-fixed paraffin-embedded sections) - Anti-FLI1 antibody [EPR4646] - BSA and Azide free (AB215987)

Immunohistochemical staining of paraffin embedded human lung with unpurified ab133485 at a working dilution of 1 in 140. The secondary antibody used is a HRP polymer for rabbit IgG. The sample is counter-stained with hematoxylin. Antigen retrieval was perfomed using Tris-EDTA buffer, pH 9.0.

This data was developed using the same antibody clone in a different buffer formulation containing PBS, BSA, glycerol, and sodium azide (ab133485).

Key facts

Host species

Rabbit

Clonality

Monoclonal

Clone number

EPR4646

Isotype

IgG

Carrier free

Yes

Reacts with

Mouse, Human

Applications

ChIC/CUT&RUN-seq, WB, IHC-P

applications

Immunogen

The exact immunogen used to generate this antibody is proprietary information.

Specificity

This antibody does not cross-react with ERG.

Reactivity data

{ "title": "Reactivity Data", "filters": { "stats": ["", "Species", "Dilution Info", "Notes"], "tabs": { "all-applications": {"fullname" : "All Applications", "shortname": "All Applications"}, "ICCIF" : {"fullname" : "Immunocytochemistry/ Immunofluorescence", "shortname":"ICC/IF"}, "FlowCyt" : {"fullname" : "Flow Cytometry", "shortname":"Flow Cyt"}, "IHCP" : {"fullname" : "Immunohistochemistry (Formalin/PFA-fixed paraffin-embedded sections)", "shortname":"IHC-P"}, "WB" : {"fullname" : "Western blot", "shortname":"WB"}, "IP" : {"fullname" : "Immunoprecipitation", "shortname":"IP"}, "ChICCUTRUNseq" : {"fullname" : "ChIC/CUT&RUN sequencing", "shortname":"ChIC/CUT&RUN-seq"} }, "product-promise": { "all": "all", "testedAndGuaranteed": "tested", "guaranteed": "expected", "predicted": "predicted", "notRecommended": "not-recommended" } }, "values": { "Human": { "ICCIF-species-checked": "notRecommended", "ICCIF-species-dilution-info": "", "ICCIF-species-notes": "<p></p>", "FlowCyt-species-checked": "notRecommended", "FlowCyt-species-dilution-info": "", "FlowCyt-species-notes": "<p><a href='/en-us/products/primary-antibodies/rabbit-igg-monoclonal-epr25a-isotype-control-low-endotoxin-azide-free-ab199376'>ab199376</a> - Rabbit monoclonal IgG, is suitable for use as an isotype control with this antibody.</p>", "IHCP-species-checked": "testedAndGuaranteed", "IHCP-species-dilution-info": "", "IHCP-species-notes": "<p></p> Perform heat-mediated antigen retrieval before commencing with IHC staining protocol.", "WB-species-checked": "testedAndGuaranteed", "WB-species-dilution-info": "", "WB-species-notes": "<p></p>", "IP-species-checked": "notRecommended", "IP-species-dilution-info": "", "IP-species-notes": "<p></p>", "ChICCUTRUNseq-species-checked": "testedAndGuaranteed", "ChICCUTRUNseq-species-dilution-info": "", "ChICCUTRUNseq-species-notes": "<p></p>" }, "Mouse": { "ICCIF-species-checked": "notRecommended", "ICCIF-species-dilution-info": "", "ICCIF-species-notes": "<p></p>", "FlowCyt-species-checked": "notRecommended", "FlowCyt-species-dilution-info": "", "FlowCyt-species-notes": "<p><a href='/en-us/products/primary-antibodies/rabbit-igg-monoclonal-epr25a-isotype-control-low-endotoxin-azide-free-ab199376'>ab199376</a> - Rabbit monoclonal IgG, is suitable for use as an isotype control with this antibody.</p>", "IHCP-species-checked": "guaranteed", "IHCP-species-dilution-info": "", "IHCP-species-notes": "", "WB-species-checked": "testedAndGuaranteed", "WB-species-dilution-info": "", "WB-species-notes": "<p></p>", "IP-species-checked": "notRecommended", "IP-species-dilution-info": "", "IP-species-notes": "<p></p>", "ChICCUTRUNseq-species-checked": "guaranteed", "ChICCUTRUNseq-species-dilution-info": "", "ChICCUTRUNseq-species-notes": "" }, "Recombinant full length protein": { "ICCIF-species-checked": "notRecommended", "ICCIF-species-dilution-info": "", "ICCIF-species-notes": "", "FlowCyt-species-checked": "notRecommended", "FlowCyt-species-dilution-info": "", "FlowCyt-species-notes": "", "IHCP-species-checked": "notRecommended", "IHCP-species-dilution-info": "", "IHCP-species-notes": "", "WB-species-checked": "testedAndGuaranteed", "WB-species-dilution-info": "", "WB-species-notes": "<p></p>", "IP-species-checked": "notRecommended", "IP-species-dilution-info": "", "IP-species-notes": "", "ChICCUTRUNseq-species-checked": "notRecommended", "ChICCUTRUNseq-species-dilution-info": "", "ChICCUTRUNseq-species-notes": "" } } }

Product details

ab215987 is the carrier-free version of ab133485.

Patented technology
Our RabMAb® technology is a patented hybridoma-based technology for making rabbit monoclonal antibodies. For details on our patents, please refer to RabMAb® patents.

What are the advantages of a recombinant monoclonal antibody?
This product is a recombinant monoclonal antibody, which offers several advantages including:

  • - High batch-to-batch consistency and reproducibility
  • - Improved sensitivity and specificity
  • - Long-term security of supply
  • - Animal-free batch production

For more information, read more on recombinant antibodies.

Conjugation ready
Our carrier-free antibodies are typically supplied in a PBS-only formulation, purified and free of BSA, sodium azide and glycerol. This conjugation-ready format is designed for use with fluorochromes, metal isotopes, oligonucleotides, and enzymes, which makes them ideal for antibody labelling, functional and cell-based assays, flow-based assays (e.g. mass cytometry) and Multiplex Imaging applications.

Use our conjugation kits for antibody conjugates that are ready-to-use in as little as 20 minutes with 1 minute hands-on-time and 100% antibody recovery: available for fluorescent dyes, HRP, biotin and gold.

Compatibility
This product is compatible with the Maxpar® Antibody Labeling Kit from Fluidigm, without the need for antibody preparation. Maxpar® is a trademark of Fluidigm Canada Inc.

Properties and storage information

Form
Liquid
Purification technique
Affinity purification Protein A
Storage buffer
pH: 7.2 - 7.4 Constituents: PBS
Shipped at conditions
Blue Ice
Appropriate short-term storage conditions
+4°C
Appropriate long-term storage conditions
+4°C
Storage information
Do Not Freeze

Supplementary information

This supplementary information is collated from multiple sources and compiled automatically.

The FLI1 protein also known as Friend leukemia virus integration 1 acts as a transcription factor. It consists of 452 amino acids resulting in a molecular mass of about 50 kDa. FLI1 is part of the ETS (E26 transformation-specific) family of transcription factors and it binds to specific DNA sequences to regulate the expression of various genes. It expresses in hematopoietic cells endothelial cells and several tissues during development. High expression levels in certain tissues suggest a significant role in diverse cellular functions.
Biological function summary

The FLI1 protein influences cell proliferation differentiation and apoptosis. It also plays a role in the regulation of genes involved in the immune response. FLI1 forms complexes with other proteins to exert its function therefore impacting gene expression in cellular contexts. Its participation in these processes indicates its regulatory impact on normal cellular development and function.

Pathways

FLI1 interacts with signaling networks that govern the hematopoietic lineage and endothelial cell function. It participates in the MAPK/ERK pathway influencing cell cycle and growth signaling. Through these pathways FLI1 has functional interactions with proteins such as GATA1 and RUNX1 establishing its importance in vascular development and hematopoiesis.

FLI1 has significant associations with Ewing sarcoma and certain leukemias. In Ewing sarcoma chromosomal translocations involve FLI1 leading to oncogenic fusion proteins that drive tumorigenesis. It also interacts with partners like EWSR1 in this context. Moreover abnormal levels of FLI1 relate to blood disorders due to its role in hematopoietic regulation. Understanding these interactions and associations aids in developing therapeutic strategies targeting these illnesses.

Product protocols

For this product, it's our understanding that no specific protocols are required. You can visit:

Target data

Sequence-specific transcriptional activator (PubMed : 24100448, PubMed : 26316623, PubMed : 28255014). Recognizes the DNA sequence 5'-C[CA]GGAAGT-3'.
See full target information FLI1

Product promise

We are committed to supporting your work with high-quality reagents, and we're here for you every step of the way. In the unlikely event that one of our products does not perform as expected, you're protected by our Product Promise.
For full details, please see our Terms & Conditions

Associated Products

Select an associated product type
Alternative Product
Primary Antibodies

AB153909

Anti-FLI1 antibody

primary-antibodies

fli1-antibody-ab153909

0

(0 reviews)

Alternative Product
Primary Antibodies

AB218865

Anti-FLI1 antibody [FLI1/1312] - BSA and Azide free

primary-antibodies

fli1-antibody-fli1-1312-bsa-and-azide-free-ab218865

0

(0 reviews)

Alternative Product
Primary Antibodies

AB180902

Anti-FLI1 antibody - C-terminal

primary-antibodies

fli1-antibody-c-terminal-ab180902

0

(0 reviews)

Alternative Product
Primary Antibodies

AB124791

Anti-FLI1 antibody [EPR4645]

primary-antibodies

fli1-antibody-epr4645-ab124791

5

(1 reviews)

Please note: All products are 'FOR RESEARCH USE ONLY. NOT FOR USE IN DIAGNOSTIC OR THERAPEUTIC PROCEDURES'.

For licensing inquiries, please contact partnerships@abcam.com