JavaScript is disabled in your browser. Please enable JavaScript to view this website.
AB227194

Anti-FLIP antibody

Be the first to review this product! Submit a review

|

(1 Publication)

Rabbit Polyclonal FLIP antibody. Suitable for WB, IHC-P and reacts with Human samples. Cited in 1 publication. Immunogen corresponding to Recombinant Fragment Protein within Human CFLAR.

View Alternative Names

CASH, CASP8AP1, CLARP, MRIT, CFLAR, CASP8 and FADD-like apoptosis regulator, Caspase homolog, Caspase-eight-related protein, Caspase-like apoptosis regulatory protein, Cellular FLICE-like inhibitory protein, FADD-like antiapoptotic molecule 1, Inhibitor of FLICE, MACH-related inducer of toxicity, Usurpin, Casper, c-FLIP, FLAME-1, I-FLICE

2 Images
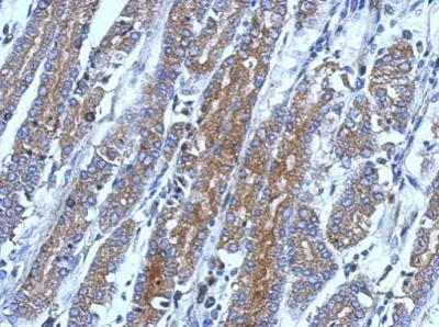
Immunohistochemistry (Formalin/PFA-fixed paraffin-embedded sections) - Anti-FLIP antibody (AB227194)
  • IHC-P

Supplier Data

Immunohistochemistry (Formalin/PFA-fixed paraffin-embedded sections) - Anti-FLIP antibody (AB227194)

Paraffin embedded human colon carcinoma tissue stained for FLIP with ab227194 (1/500 dilution) in immunohistochemical analysis.

Western blot - Anti-FLIP antibody (AB227194)
  • WB

Supplier Data

Western blot - Anti-FLIP antibody (AB227194)

10% SDS-PAGE

All lanes:

Western blot - Anti-FLIP antibody (ab227194) at 1/500 dilution

All lanes:

A431 (human epidermoid carcinoma cell line) whole cell extract at 30 µg

Secondary

All lanes:

HRP-conjugated anti-rabbit IgG

Predicted band size: 55 kDa,87 kDa

true

Key facts

Host species

Rabbit

Clonality

Polyclonal

Isotype

IgG

Carrier free

No

Reacts with

Human

Applications

WB, IHC-P

applications

Immunogen

Recombinant Fragment Protein within Human CFLAR. The exact immunogen used to generate this antibody is proprietary information.

O15519

Reactivity data

{ "title": "Reactivity Data", "filters": { "stats": ["", "Species", "Dilution Info", "Notes"], "tabs": { "all-applications": {"fullname" : "All Applications", "shortname": "All Applications"}, "WB" : {"fullname" : "Western blot", "shortname":"WB"}, "IHCP" : {"fullname" : "Immunohistochemistry (Formalin/PFA-fixed paraffin-embedded sections)", "shortname":"IHC-P"} }, "product-promise": { "all": "all", "testedAndGuaranteed": "tested", "guaranteed": "expected", "predicted": "predicted", "notRecommended": "not-recommended" } }, "values": { "Human": { "WB-species-checked": "testedAndGuaranteed", "WB-species-dilution-info": "1/500 - 1/3000", "WB-species-notes": "<p></p>", "IHCP-species-checked": "testedAndGuaranteed", "IHCP-species-dilution-info": "1/100 - 1/1000", "IHCP-species-notes": "<p></p>" } } }

Properties and storage information

Form
Liquid
Purification technique
Affinity purification Immunogen
Storage buffer
pH: 7 Preservative: 0.01% Thimerosal (merthiolate) Constituents: PBS, 20% Glycerol (glycerin, glycerine), 1% BSA
Shipped at conditions
Blue Ice
Appropriate short-term storage duration
1-2 weeks
Appropriate short-term storage conditions
+4°C
Appropriate long-term storage conditions
-20°C
Aliquoting information
Upon delivery aliquot
Storage information
Avoid freeze / thaw cycle

Supplementary information

This supplementary information is collated from multiple sources and compiled automatically.

FLIP also known as c-FLIP or CASP8 and FADD-like apoptosis regulator is an important protein that inhibits apoptosis. It has a molecular mass of around 55-58 kDa and comes in multiple isoforms including c-FLIP(L) and c-FLIP(S). FLIP is expressed in many tissues such as the thymus spleen and lungs and plays a role in immune regulation by modulating apoptosis induced by death receptors like Fas and TNFR1. Its regulation of cell death makes it key to cell survival especially in the context of immune cells.
Biological function summary

FLIP protein impacts cellular processes by blocking the activation of caspase-8 preventing the apoptosis cascade from proceeding. It is not typically part of a large complex but interacts directly with the death-inducing signaling complex (DISC). By inhibiting the apoptotic machinery it protects cells from unnecessary death signals facilitating controlled cellular turnover and immune responses.

Pathways

FLIP affects apoptosis and NF-kB signaling. These pathways are vital for cell survival inflammation and immune responses. FLIP interacts closely with Fas-associated protein with death domain (FADD) and caspase-8 to regulate apoptotic pathways. It acts as a checkpoint in intrinsic and extrinsic apoptosis pathways thereby influencing both normal and pathological processes such as immune cell survival and proliferation.

FLIP expression connects to cancer and autoimmune disorders. Its overexpression can contribute to cancer progression by allowing cancer cells to escape apoptosis leading to uncontrolled cell growth. Furthermore it can be linked to autoimmune disorders where inappropriate control of apoptosis results in prolonged survival of autoreactive immune cells. In these contexts FLIP’s interaction with proteins such as Fas and TNFR1 becomes significant highlighting its potential as a therapeutic target in mitigating these diseases.

Product protocols

For this product, it's our understanding that no specific protocols are required. You can visit:

Target data

Apoptosis regulator protein which may function as a crucial link between cell survival and cell death pathways in mammalian cells. Acts as an inhibitor of TNFRSF6 mediated apoptosis. A proteolytic fragment (p43) is likely retained in the death-inducing signaling complex (DISC) thereby blocking further recruitment and processing of caspase-8 at the complex. Full length and shorter isoforms have been shown either to induce apoptosis or to reduce TNFRSF-triggered apoptosis. Lacks enzymatic (caspase) activity.
See full target information CFLAR

Publications (1)

Recent publications for all applications. Explore the full list and refine your search

BMJ open ophthalmology 9: PubMed39721966

2024

Endoplasmic reticulum protein TXNDC5 modulates thyroid eye disease TGF-β1-induced myofibroblast transdifferentiation.

Applications

Unspecified application

Species

Unspecified reactive species

Hsun-I Chiu,Shi-Bei Wu,Albert Y Wu,Chieh-Chih Tsai
View all publications

Product promise

We are committed to supporting your work with high-quality reagents, and we're here for you every step of the way. In the unlikely event that one of our products does not perform as expected, you're protected by our Product Promise.
For full details, please see our Terms & Conditions

Please note: All products are 'FOR RESEARCH USE ONLY. NOT FOR USE IN DIAGNOSTIC OR THERAPEUTIC PROCEDURES'.

For licensing inquiries, please contact partnerships@abcam.com