JavaScript is disabled in your browser. Please enable JavaScript to view this website.
AB8421

Anti-FLIP antibody

4

(11 Reviews)

|

(29 Publications)

Rabbit Polyclonal FLIP antibody. Suitable for Flow Cyt, WB, IHC-P, ICC/IF and reacts with Mouse, Rat, Human samples. Cited in 29 publications. Immunogen corresponding to Synthetic Peptide within Human CFLAR aa 1-50.

View Alternative Names

CASH, CASP8AP1, CLARP, MRIT, CFLAR, CASP8 and FADD-like apoptosis regulator, Caspase homolog, Caspase-eight-related protein, Caspase-like apoptosis regulatory protein, Cellular FLICE-like inhibitory protein, FADD-like antiapoptotic molecule 1, Inhibitor of FLICE, MACH-related inducer of toxicity, Usurpin, Casper, c-FLIP, FLAME-1, I-FLICE

3 Images
Immunocytochemistry/ Immunofluorescence - Anti-FLIP antibody (AB8421)
  • ICC/IF

Unknown

Immunocytochemistry/ Immunofluorescence - Anti-FLIP antibody (AB8421)

ab8421 at 5μg/ml staining FLIP in Hela cells by ICC/IF

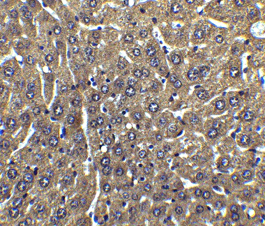
Immunohistochemistry (Formalin/PFA-fixed paraffin-embedded sections) - Anti-FLIP antibody (AB8421)
  • IHC-P

Unknown

Immunohistochemistry (Formalin/PFA-fixed paraffin-embedded sections) - Anti-FLIP antibody (AB8421)

Immunohistochemistry of FLIP in mouse liver tissue with FLIP antibody at 5 μg/ml.

Western blot - Anti-FLIP antibody (AB8421)
  • WB

Unknown

Western blot - Anti-FLIP antibody (AB8421)

Lane 1:

Western blot - Anti-FLIP antibody (ab8421) at 1 µg/mL

Lane 2:

Western blot - Anti-FLIP antibody (ab8421) at 2 µg/mL

All lanes:

K562 cell lysate

Predicted band size: 55 kDa

false

Key facts

Host species

Rabbit

Clonality

Polyclonal

Isotype

IgG

Light chain type

unknown

Carrier free

No

Reacts with

Mouse, Human, Rat

Applications

WB, ICC/IF, Flow Cyt, IHC-P

applications

Immunogen

Synthetic Peptide within Human CFLAR aa 1-50. The exact immunogen used to generate this antibody is proprietary information.

O15519

Specificity

Recognizes all FLIP splice variants including FLIP alpha, beta, gamma, and delta.

Reactivity data

{ "title": "Reactivity Data", "filters": { "stats": ["", "Species", "Dilution Info", "Notes"], "tabs": { "all-applications": {"fullname" : "All Applications", "shortname": "All Applications"}, "FlowCyt" : {"fullname" : "Flow Cytometry", "shortname":"Flow Cyt"}, "WB" : {"fullname" : "Western blot", "shortname":"WB"}, "IHCP" : {"fullname" : "Immunohistochemistry (Formalin/PFA-fixed paraffin-embedded sections)", "shortname":"IHC-P"}, "ICCIF" : {"fullname" : "Immunocytochemistry/ Immunofluorescence", "shortname":"ICC/IF"} }, "product-promise": { "all": "all", "testedAndGuaranteed": "tested", "guaranteed": "expected", "predicted": "predicted", "notRecommended": "not-recommended" } }, "values": { "Human": { "FlowCyt-species-checked": "guaranteed", "FlowCyt-species-dilution-info": "", "FlowCyt-species-notes": "<p><a href='/en-us/products/primary-antibodies/rabbit-igg-polyclonal-isotype-control-chip-grade-ab171870'>ab171870</a> - Rabbit polyclonal IgG, is suitable for use as an isotype control with this antibody.</p>", "WB-species-checked": "testedAndGuaranteed", "WB-species-dilution-info": "1/500 - 1/1000", "WB-species-notes": "<p></p>", "IHCP-species-checked": "guaranteed", "IHCP-species-dilution-info": "", "IHCP-species-notes": "", "ICCIF-species-checked": "testedAndGuaranteed", "ICCIF-species-dilution-info": "5 µg/mL", "ICCIF-species-notes": "<p></p>" }, "Mouse": { "FlowCyt-species-checked": "guaranteed", "FlowCyt-species-dilution-info": "", "FlowCyt-species-notes": "<p><a href='/en-us/products/primary-antibodies/rabbit-igg-polyclonal-isotype-control-chip-grade-ab171870'>ab171870</a> - Rabbit polyclonal IgG, is suitable for use as an isotype control with this antibody.</p>", "WB-species-checked": "guaranteed", "WB-species-dilution-info": "", "WB-species-notes": "", "IHCP-species-checked": "testedAndGuaranteed", "IHCP-species-dilution-info": "5 µg/mL", "IHCP-species-notes": "<p></p>", "ICCIF-species-checked": "guaranteed", "ICCIF-species-dilution-info": "", "ICCIF-species-notes": "" }, "Rat": { "FlowCyt-species-checked": "guaranteed", "FlowCyt-species-dilution-info": "", "FlowCyt-species-notes": "<p><a href='/en-us/products/primary-antibodies/rabbit-igg-polyclonal-isotype-control-chip-grade-ab171870'>ab171870</a> - Rabbit polyclonal IgG, is suitable for use as an isotype control with this antibody.</p>", "WB-species-checked": "predicted", "WB-species-dilution-info": "", "WB-species-notes": "", "IHCP-species-checked": "predicted", "IHCP-species-dilution-info": "", "IHCP-species-notes": "", "ICCIF-species-checked": "predicted", "ICCIF-species-dilution-info": "", "ICCIF-species-notes": "" } } }

Properties and storage information

Form
Liquid
Purification technique
Affinity purification
Purification notes
FLIP Antibody is affinity chromatography purified via peptide column.
Storage buffer
pH: 7.2 Preservative: 0.02% Sodium azide
Shipped at conditions
Blue Ice
Appropriate short-term storage duration
1-2 weeks
Appropriate short-term storage conditions
+4°C
Appropriate long-term storage conditions
-20°C
Aliquoting information
Upon delivery aliquot
Storage information
Avoid freeze / thaw cycle

Supplementary information

This supplementary information is collated from multiple sources and compiled automatically.

FLIP also known as c-FLIP or CASP8 and FADD-like apoptosis regulator is an important protein that inhibits apoptosis. It has a molecular mass of around 55-58 kDa and comes in multiple isoforms including c-FLIP(L) and c-FLIP(S). FLIP is expressed in many tissues such as the thymus spleen and lungs and plays a role in immune regulation by modulating apoptosis induced by death receptors like Fas and TNFR1. Its regulation of cell death makes it key to cell survival especially in the context of immune cells.
Biological function summary

FLIP protein impacts cellular processes by blocking the activation of caspase-8 preventing the apoptosis cascade from proceeding. It is not typically part of a large complex but interacts directly with the death-inducing signaling complex (DISC). By inhibiting the apoptotic machinery it protects cells from unnecessary death signals facilitating controlled cellular turnover and immune responses.

Pathways

FLIP affects apoptosis and NF-kB signaling. These pathways are vital for cell survival inflammation and immune responses. FLIP interacts closely with Fas-associated protein with death domain (FADD) and caspase-8 to regulate apoptotic pathways. It acts as a checkpoint in intrinsic and extrinsic apoptosis pathways thereby influencing both normal and pathological processes such as immune cell survival and proliferation.

FLIP expression connects to cancer and autoimmune disorders. Its overexpression can contribute to cancer progression by allowing cancer cells to escape apoptosis leading to uncontrolled cell growth. Furthermore it can be linked to autoimmune disorders where inappropriate control of apoptosis results in prolonged survival of autoreactive immune cells. In these contexts FLIP’s interaction with proteins such as Fas and TNFR1 becomes significant highlighting its potential as a therapeutic target in mitigating these diseases.

Product protocols

For this product, it's our understanding that no specific protocols are required. You can visit:

Target data

Apoptosis regulator protein which may function as a crucial link between cell survival and cell death pathways in mammalian cells. Acts as an inhibitor of TNFRSF6 mediated apoptosis. A proteolytic fragment (p43) is likely retained in the death-inducing signaling complex (DISC) thereby blocking further recruitment and processing of caspase-8 at the complex. Full length and shorter isoforms have been shown either to induce apoptosis or to reduce TNFRSF-triggered apoptosis. Lacks enzymatic (caspase) activity.
See full target information CFLAR

Publications (29)

Recent publications for all applications. Explore the full list and refine your search

Experimental & molecular medicine 56:1013-1026 PubMed38684915

2024

Glutamine-mediated epigenetic regulation of cFLIP underlies resistance to TRAIL in pancreatic cancer.

Applications

Unspecified application

Species

Unspecified reactive species

Ji Hye Kim,Jinyoung Lee,Se Seul Im,Boyun Kim,Eun-Young Kim,Hyo-Jin Min,Jinbeom Heo,Eun-Ju Chang,Kyung-Chul Choi,Dong-Myung Shin,Jaekyoung Son

Neoplasma 70:722-732 PubMed37962862

2023

The gene RAD51AP1 promotes the progression of pancreatic cancer via the PI3K/Akt/NF-κB signaling pathway.

Applications

Unspecified application

Species

Unspecified reactive species

Yongkun Wang,Yingchun Li,Cui Ran,Wenjun Le,Jiaxing Dong,Xujing Wang,Bo Chen,Xiaohua Jiang

Cell biology international 48:60-75 PubMed37750485

2023

cFLIP alleviates myocardial ischemia-reperfusion injury by regulating pyroptosis.

Applications

Unspecified application

Species

Unspecified reactive species

Dong Zhang,Hui Wu,Di Liu,Ming Ye,Yunzhao Li,Gang Zhou,QingZhuo Yang,YanFang Liu,Yi Li

Fundamental research 5:296-306 PubMed40166102

2022

Epigenetics disruptions enabled by porphyrin-derived metal-organic frameworks disarm resistances to sonocatalytic ROS anti-tumor actions.

Applications

Unspecified application

Species

Unspecified reactive species

Yan Zhang,Dou Du,Chao Fang,Xin Yu,Yujia Fang,Xinyu Liu,Di Ou,Haohao Yin,Hui Liu,Taixia Wang,Lu Lu,Xiaolong Li,Kun Zhang

Cell death & disease 13:522 PubMed35661704

2022

Decoy receptor 2 mediates the apoptosis-resistant phenotype of senescent renal tubular cells and accelerates renal fibrosis in diabetic nephropathy.

Applications

Unspecified application

Species

Unspecified reactive species

Jia Chen,Ke-Hong Chen,Li-Ming Wang,Jia Luo,Quan-You Zheng,Ya-Ni He

Neuroscience bulletin 38:1025-1040 PubMed35570231

2022

Naturally-Occurring Antibodies Against Bim are Decreased in Alzheimer's Disease and Attenuate AD-type Pathology in a Mouse Model.

Applications

Unspecified application

Species

Unspecified reactive species

Jie-Ming Jian,Dong-Yu Fan,Ding-Yuan Tian,Yuan Cheng,Pu-Yang Sun,Cheng-Rong Tan,Gui-Hua Zeng,Chen-Yang He,Ye-Ran Wang,Jie Zhu,Xiu-Qing Yao,Yan-Jiang Wang,Yu-Hui Liu

Nature communications 13:166 PubMed35013338

2022

Targeting necroptosis in muscle fibers ameliorates inflammatory myopathies.

Applications

Unspecified application

Species

Unspecified reactive species

Mari Kamiya,Fumitaka Mizoguchi,Kimito Kawahata,Dengli Wang,Masahiro Nishibori,Jessica Day,Cynthia Louis,Ian P Wicks,Hitoshi Kohsaka,Shinsuke Yasuda

Oncology reports 45:230-238 PubMed33416145

2021

Targeting eIF4A using rocaglate CR‑1‑31B sensitizes gallbladder cancer cells to TRAIL‑mediated apoptosis through the translational downregulation of c‑FLIP.

Applications

Unspecified application

Species

Unspecified reactive species

Yang Cao,Ying He,Litao Yang,Zhou Luan

Diagnostics (Basel, Switzerland) 10: PubMed33198065

2020

Hypo-Expression of Flice-Inhibitory Protein and Activation of the Caspase-8 Apoptotic Pathways in the Death-Inducing Signaling Complex Due to Ischemia Induced by the Compression of the Asphyxiogenic Tool on the Skin in Hanging Cases.

Applications

Unspecified application

Species

Unspecified reactive species

Aniello Maiese,Alessandra De Matteis,Giorgio Bolino,Emanuela Turillazzi,Paola Frati,Vittorio Fineschi

Cancers 12: PubMed32375399

2020

Extracellular Vesicle Delivery of TRAIL Eradicates Resistant Tumor Growth in Combination with CDK Inhibition by Dinaciclib.

Applications

Unspecified application

Species

Unspecified reactive species

Changhong Ke,Huan Hou,Jiayu Li,Kui Su,Chaohong Huang,Yue Lin,Zhiqiang Lu,Zhiyun Du,Wen Tan,Zhengqiang Yuan
View all publications

Product promise

We are committed to supporting your work with high-quality reagents, and we're here for you every step of the way. In the unlikely event that one of our products does not perform as expected, you're protected by our Product Promise.
For full details, please see our Terms & Conditions

Please note: All products are 'FOR RESEARCH USE ONLY. NOT FOR USE IN DIAGNOSTIC OR THERAPEUTIC PROCEDURES'.

For licensing inquiries, please contact partnerships@abcam.com