JavaScript is disabled in your browser. Please enable JavaScript to view this website.
AB323748

Anti-FLIPs (short isoform) antibody [EPR29011-104]

Be the first to review this product! Submit a review

|

(0 Publication)

Rabbit Recombinant Monoclonal FLIP antibody. Suitable for WB and reacts with Transfected cell lysate - Human, Human samples.

View Alternative Names

CASH, CASP8AP1, CLARP, MRIT, CASP8 and FADD-like apoptosis regulator, Caspase homolog, Caspase-eight-related protein, Caspase-like apoptosis regulatory protein, Cellular FLICE-like inhibitory protein, FADD-like antiapoptotic molecule 1, Inhibitor of FLICE, MACH-related inducer of toxicity, Usurpin, Casper, c-FLIP, FLAME-1, I-FLICE

3 Images
Western blot - Anti-FLIPs (short isoform) antibody [EPR29011-104] (AB323748)
  • WB

Supplier Data

Western blot - Anti-FLIPs (short isoform) antibody [EPR29011-104] (AB323748)

Blocking and diluting buffer and concentration : 5% NFDM/TBST.

Low expression : Daudi, NAMALWA (PMID : 15078899).

In Western blot, Anti-GAPDH antibody [EPR16891] - Loading Control (ab181602) staining at 1/200000 dilution.

All lanes:

Western blot - Anti-FLIPs (short isoform) antibody [EPR29011-104] (ab323748) at 1/1000 dilution

Lane 1:

HDLM-2 (human Hodgkin lymphoma cell) whole cell lysate at 80 µg

Lane 2:

Daudi (human Burkitts lymphoma lymphoblast) whole cell lysate at 80 µg

Lane 3:

KARPAS-299 (human T cell lymphoma cell) whole cell lysate at 80 µg

Lane 4:

NAMALWA (human Burkitts lymphoma B lymphocyte) whole cell lysate at 80 µg

Secondary

All lanes:

Goat Anti-Rabbit IgG (HRP) with minimal cross-reactivity with human IgG at 1/2000 dilution

Observed band size: 25 kDa,36 kDa

false

Exposure time: 37s

Western blot - Anti-FLIPs (short isoform) antibody [EPR29011-104] (AB323748)
  • WB

Supplier Data

Western blot - Anti-FLIPs (short isoform) antibody [EPR29011-104] (AB323748)

Blocking and diluting buffer and concentration : 5% NFDM/TBST.

In Western blot, Anti-GAPDH antibody [EPR16891] - Loading Control (ab181602) staining at 1/200000 dilution.

All lanes:

Western blot - Anti-FLIPs (short isoform) antibody [EPR29011-104] (ab323748) at 1/1000 dilution

All lanes:

Human pancreas cancer tissue lysate at 80 µg

Secondary

All lanes:

Goat Anti-Rabbit IgG (HRP) with minimal cross-reactivity with human IgG at 1/2000 dilution

Observed band size: 25 kDa,36 kDa

false

Exposure time: 180s

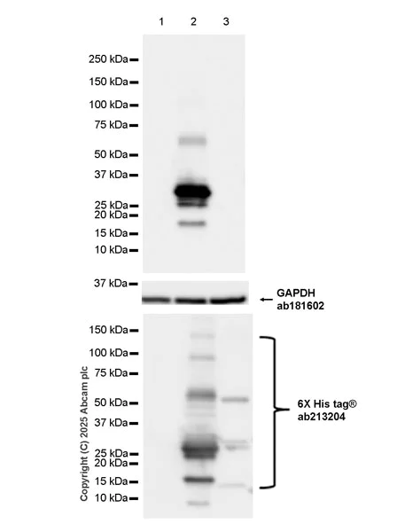
Western blot - Anti-FLIPs (short isoform) antibody [EPR29011-104] (AB323748)
  • WB

Supplier Data

Western blot - Anti-FLIPs (short isoform) antibody [EPR29011-104] (AB323748)

Blocking and diluting buffer and concentration : 5% NFDM/TBST.

This antibody does not cross-react with human FLIP-L.

In Western blot, Anti-GAPDH antibody [EPR16891] - Loading Control (ab181602) staining at 1/200000 dilution. Anti-6X His tag® antibody [EPR20547] - ChIP Grade (ab213204) staining at 1/5000 dilution

All lanes:

Western blot - Anti-FLIPs (short isoform) antibody [EPR29011-104] (ab323748) at 1/1000 dilution

Lane 1:

293T (human embryonic kidney epithelial cell) cells transfected with an empty vector containing a His-tag, whole cell lysate at 20 µg

Lane 2:

293T cells transfected with a human FLIP-S expression vector containing a His-tag, whole cell lysate at 5 µg

Lane 3:

293T cells transfected with a human FLIP-L expression vector containing a His-tag, whole cell lysate at 20 µg

Secondary

All lanes:

Goat Anti-Rabbit IgG (HRP) with minimal cross-reactivity with human IgG at 1/100000 dilution

Observed band size: 25 kDa,36 kDa,25-50 kDa

false

Exposure time: 3s

Key facts

Host species

Rabbit

Clonality

Monoclonal

Clone number

EPR29011-104

Isotype

IgG

Carrier free

No

Reacts with

Human

Applications

WB

applications

Immunogen

This product was produced with the following immunogens:

The exact immunogen used to generate this antibody is proprietary information.

The exact immunogen used to generate this antibody is proprietary information.

Reactivity data

{ "title": "Reactivity Data", "filters": { "stats": ["", "Species", "Dilution Info", "Notes"], "tabs": { "all-applications": {"fullname" : "All Applications", "shortname": "All Applications"}, "WB" : {"fullname" : "Western blot", "shortname":"WB"}, "IHCP" : {"fullname" : "Immunohistochemistry (Formalin/PFA-fixed paraffin-embedded sections)", "shortname":"IHC-P"}, "ICCIF" : {"fullname" : "Immunocytochemistry/ Immunofluorescence", "shortname":"ICC/IF"} }, "product-promise": { "all": "all", "testedAndGuaranteed": "tested", "guaranteed": "expected", "predicted": "predicted", "notRecommended": "not-recommended" } }, "values": { "Human": { "WB-species-checked": "testedAndGuaranteed", "WB-species-dilution-info": "1/1000", "WB-species-notes": "<p></p>", "IHCP-species-checked": "notRecommended", "IHCP-species-dilution-info": "", "IHCP-species-notes": "<p></p>", "ICCIF-species-checked": "notRecommended", "ICCIF-species-dilution-info": "", "ICCIF-species-notes": "<p></p>" }, "Transfected cell lysate - Human": { "WB-species-checked": "testedAndGuaranteed", "WB-species-dilution-info": "1/1000", "WB-species-notes": "<p></p>", "IHCP-species-checked": "notRecommended", "IHCP-species-dilution-info": "", "IHCP-species-notes": "", "ICCIF-species-checked": "notRecommended", "ICCIF-species-dilution-info": "", "ICCIF-species-notes": "" } } }

Product details

Patented technology
Our RabMAb® technology is a patented hybridoma-based technology for making rabbit monoclonal antibodies. For details on our patents, please refer to RabMAb® patents.

What are the advantages of a recombinant monoclonal antibody?
This product is a recombinant monoclonal antibody, which offers several advantages including:

  • - High batch-to-batch consistency and reproducibility
  • - Improved sensitivity and specificity
  • - Long-term security of supply
  • - Animal-free batch production

For more information, read more on recombinant antibodies.

Properties and storage information

Form
Liquid
Purification technique
Affinity purification Protein A
Storage buffer
pH: 7.2 - 7.4 Preservative: 0.01% Sodium azide Constituents: PBS, 40% Glycerol (glycerin, glycerine), 0.05% BSA
Shipped at conditions
Blue Ice
Appropriate short-term storage duration
1-2 weeks
Appropriate short-term storage conditions
+4°C
Appropriate long-term storage conditions
-20°C
Aliquoting information
Upon delivery aliquot
Storage information
Avoid freeze / thaw cycle

Product protocols

For this product, it's our understanding that no specific protocols are required. You can visit:

Target data

Apoptosis regulator protein which may function as a crucial link between cell survival and cell death pathways in mammalian cells. Acts as an inhibitor of TNFRSF6 mediated apoptosis. A proteolytic fragment (p43) is likely retained in the death-inducing signaling complex (DISC) thereby blocking further recruitment and processing of caspase-8 at the complex. Full length and shorter isoforms have been shown either to induce apoptosis or to reduce TNFRSF-triggered apoptosis. Lacks enzymatic (caspase) activity.
See full target information CFLAR

Product promise

We are committed to supporting your work with high-quality reagents, and we're here for you every step of the way. In the unlikely event that one of our products does not perform as expected, you're protected by our Product Promise.
For full details, please see our Terms & Conditions

Please note: All products are 'FOR RESEARCH USE ONLY. NOT FOR USE IN DIAGNOSTIC OR THERAPEUTIC PROCEDURES'.

For licensing inquiries, please contact partnerships@abcam.com