JavaScript is disabled in your browser. Please enable JavaScript to view this website.
AB121337

Anti-FLJ23834 antibody

Be the first to review this product! Submit a review

|

(2 Publications)

Rabbit Polyclonal FLJ23834 antibody. Suitable for IHC-P and reacts with Human samples. Cited in 2 publications. Immunogen corresponding to Recombinant Fragment Protein within Human CDHR3 aa 800 to C-terminus.

View Alternative Names

CDH28, CDHR3, Cadherin-related family member 3, Cadherin-like protein 28

4 Images
Immunohistochemistry (Formalin/PFA-fixed paraffin-embedded sections) - Anti-FLJ23834 antibody (AB121337)
  • IHC-P

Unknown

Immunohistochemistry (Formalin/PFA-fixed paraffin-embedded sections) - Anti-FLJ23834 antibody (AB121337)

ab121337 at 1/10 dilution staining FLJ23834 in paraffin-embedded Human lymph node tissue by Immunohistochemistry.

Immunohistochemistry (Formalin/PFA-fixed paraffin-embedded sections) - Anti-FLJ23834 antibody (AB121337)
  • IHC-P

Unknown

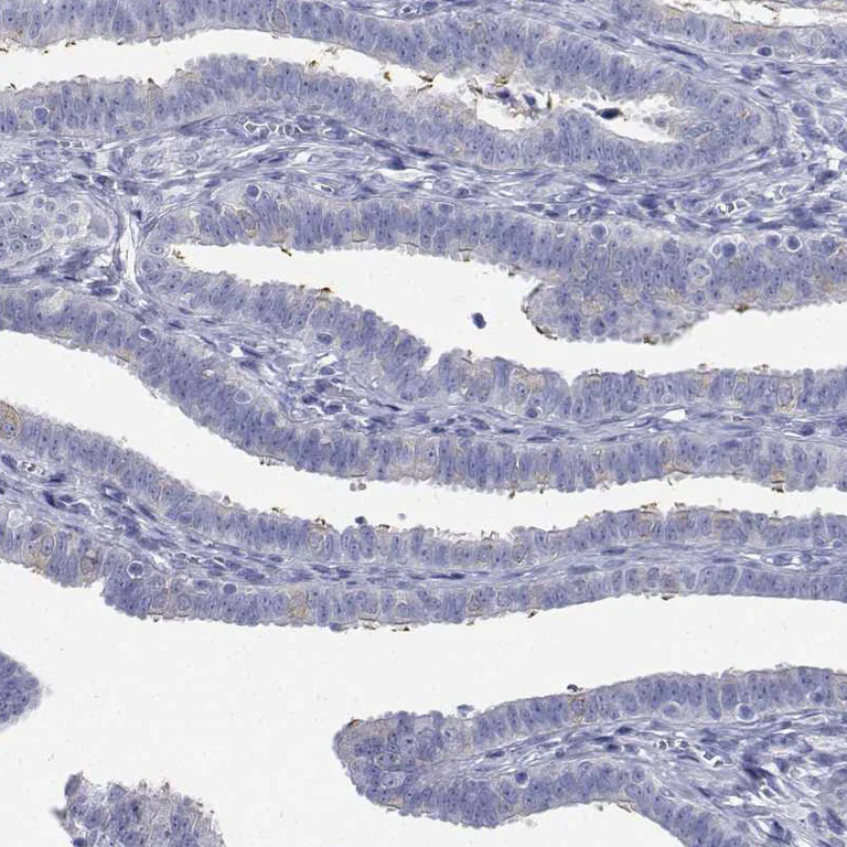
Immunohistochemistry (Formalin/PFA-fixed paraffin-embedded sections) - Anti-FLJ23834 antibody (AB121337)

ab121337 at 1/10 dilution staining FLJ23834 in paraffin-embedded Human bronchus tissue by Immunohistochemistry.

Immunohistochemistry (Formalin/PFA-fixed paraffin-embedded sections) - Anti-FLJ23834 antibody (AB121337)
  • IHC-P

Unknown

Immunohistochemistry (Formalin/PFA-fixed paraffin-embedded sections) - Anti-FLJ23834 antibody (AB121337)

ab121337 at 1/10 dilution staining FLJ23834 in paraffin-embedded Human skeletal muscle tissue by Immunohistochemistry.

Immunohistochemistry (Formalin/PFA-fixed paraffin-embedded sections) - Anti-FLJ23834 antibody (AB121337)
  • IHC-P

Unknown

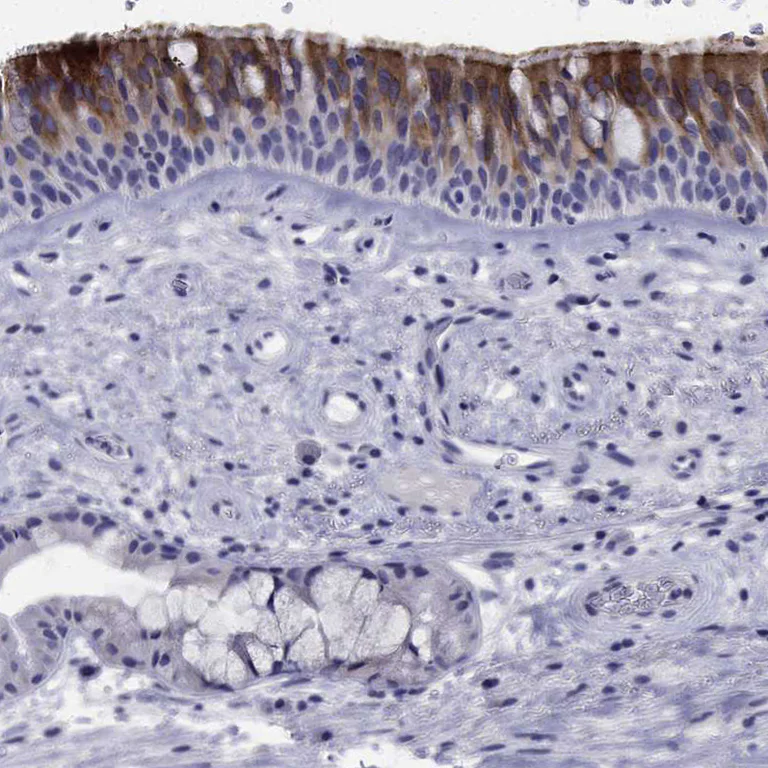
Immunohistochemistry (Formalin/PFA-fixed paraffin-embedded sections) - Anti-FLJ23834 antibody (AB121337)

ab121337 at 1/10 dilution staining FLJ23834 in paraffin-embedded Human fallopian tube tissue by Immunohistochemistry.

Key facts

Host species

Rabbit

Clonality

Polyclonal

Isotype

IgG

Carrier free

No

Reacts with

Human

Applications

IHC-P

applications

Immunogen

Recombinant Fragment Protein within Human CDHR3 aa 800 to C-terminus. The exact immunogen used to generate this antibody is proprietary information.

Q6ZTQ4

Reactivity data

{ "title": "Reactivity Data", "filters": { "stats": ["", "Species", "Dilution Info", "Notes"], "tabs": { "all-applications": {"fullname" : "All Applications", "shortname": "All Applications"}, "IHCP" : {"fullname" : "Immunohistochemistry (Formalin/PFA-fixed paraffin-embedded sections)", "shortname":"IHC-P"} }, "product-promise": { "all": "all", "testedAndGuaranteed": "tested", "guaranteed": "expected", "predicted": "predicted", "notRecommended": "not-recommended" } }, "values": { "Human": { "IHCP-species-checked": "testedAndGuaranteed", "IHCP-species-dilution-info": "1/500 - 1/1000", "IHCP-species-notes": "<p></p> Perform heat-mediated antigen retrieval with citrate buffer pH 6 before commencing with IHC staining protocol." } } }

Properties and storage information

Form
Liquid
Purification technique
Affinity purification Immunogen
Storage buffer
pH: 7.2 Preservative: 0.02% Sodium azide Constituents: PBS, 40% Glycerol (glycerin, glycerine)
Shipped at conditions
Blue Ice
Appropriate short-term storage conditions
+4°C
Appropriate long-term storage conditions
-20°C
Aliquoting information
Upon delivery aliquot
Storage information
Avoid freeze / thaw cycle

Product protocols

For this product, it's our understanding that no specific protocols are required. You can visit:

Target data

Cadherins are calcium-dependent cell adhesion proteins. They preferentially interact with themselves in a homophilic manner in connecting cells; cadherins may thus contribute to the sorting of heterogeneous cell types.. (Microbial infection) Acts as a receptor for human rhinovirus C.
See full target information CDHR3

Publications (2)

Recent publications for all applications. Explore the full list and refine your search

Nature communications 15:10772 PubMed39738014

2024

Human respiratory organoids sustained reproducible propagation of human rhinovirus C and elucidation of virus-host interaction.

Applications

Unspecified application

Species

Unspecified reactive species

Cun Li,Yifei Yu,Zhixin Wan,Man Chun Chiu,Jingjing Huang,Shuxin Zhang,Xiaoxin Zhu,Qiaoshuai Lan,Yanlin Deng,Ying Zhou,Wei Xue,Ming Yue,Jian-Piao Cai,Cyril Chik-Yan Yip,Kenneth Kak-Yuen Wong,Xiaojuan Liu,Yang Yu,Lin Huang,Hin Chu,Jasper Fuk-Woo Chan,Hans Clevers,Kwok Yung Yuen,Jie Zhou

Oncology letters 22:796 PubMed34584571

2021

lncRNA CYTOR promotes cell proliferation and tumor growth via miR-125b/SEMA4C axis in hepatocellular carcinoma.

Applications

Unspecified application

Species

Unspecified reactive species

Qing Tian,Xiaodong Yan,Long Yang,Zirong Liu,Zheyue Yuan,Yamin Zhang
View all publications

Product promise

We are committed to supporting your work with high-quality reagents, and we're here for you every step of the way. In the unlikely event that one of our products does not perform as expected, you're protected by our Product Promise.
For full details, please see our Terms & Conditions

Please note: All products are 'FOR RESEARCH USE ONLY. NOT FOR USE IN DIAGNOSTIC OR THERAPEUTIC PROCEDURES'.

For licensing inquiries, please contact partnerships@abcam.com