JavaScript is disabled in your browser. Please enable JavaScript to view this website.
AB230112

Anti-FLJ30934 antibody

Be the first to review this product! Submit a review

|

(1 Publication)

Rabbit Polyclonal FLJ30934 antibody. Suitable for WB, IHC-P and reacts with Mouse, Rat, Human samples. Cited in 1 publication. Immunogen corresponding to Recombinant Fragment Protein within Human SNX32 aa 100 to C-terminus.

View Alternative Names

SNX6B, SNX32, Sorting nexin-32, Sorting nexin-6B

3 Images
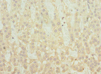
Immunohistochemistry (Formalin/PFA-fixed paraffin-embedded sections) - Anti-FLJ30934 antibody (AB230112)
  • IHC-P

Supplier Data

Immunohistochemistry (Formalin/PFA-fixed paraffin-embedded sections) - Anti-FLJ30934 antibody (AB230112)

Paraffin-embedded human thymus tissue stained for FLJ30934 using ab230112 at 1/100 dilution in immunohistochemical analysis.

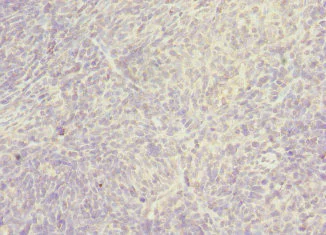
Immunohistochemistry (Formalin/PFA-fixed paraffin-embedded sections) - Anti-FLJ30934 antibody (AB230112)
  • IHC-P

Supplier Data

Immunohistochemistry (Formalin/PFA-fixed paraffin-embedded sections) - Anti-FLJ30934 antibody (AB230112)

Paraffin-embedded human adrenal gland tissue stained for FLJ30934 using ab230112 at 1/100 dilution in immunohistochemical analysis.

Western blot - Anti-FLJ30934 antibody (AB230112)
  • WB

Supplier Data

Western blot - Anti-FLJ30934 antibody (AB230112)

All lanes:

Western blot - Anti-FLJ30934 antibody (ab230112) at 1/1000 dilution

Lane 1:

Mouse brain tissue lysate

Lane 2:

Rat brain tissue lysate

Lane 3:

Mouse liver tissue lysate

Lane 4:

Mouse stomach tissue lysate

Lane 5:

Mouse lung tissue lysate

Lane 6:

Mouse kidney tissue lysate

Secondary

All lanes:

Goat anti-Rabbit IgG at 1/10000 dilution

Predicted band size: 46 kDa

Observed band size: 46 kDa

false

Key facts

Host species

Rabbit

Clonality

Polyclonal

Isotype

IgG

Carrier free

No

Reacts with

Mouse, Rat, Human

Applications

IHC-P, WB

applications

Immunogen

Recombinant Fragment Protein within Human SNX32 aa 100 to C-terminus. The exact immunogen used to generate this antibody is proprietary information.

Q86XE0

Reactivity data

{ "title": "Reactivity Data", "filters": { "stats": ["", "Species", "Dilution Info", "Notes"], "tabs": { "all-applications": {"fullname" : "All Applications", "shortname": "All Applications"}, "WB" : {"fullname" : "Western blot", "shortname":"WB"}, "IHCP" : {"fullname" : "Immunohistochemistry (Formalin/PFA-fixed paraffin-embedded sections)", "shortname":"IHC-P"} }, "product-promise": { "all": "all", "testedAndGuaranteed": "tested", "guaranteed": "expected", "predicted": "predicted", "notRecommended": "not-recommended" } }, "values": { "Human": { "WB-species-checked": "guaranteed", "WB-species-dilution-info": "", "WB-species-notes": "", "IHCP-species-checked": "testedAndGuaranteed", "IHCP-species-dilution-info": "1/20 - 1/200", "IHCP-species-notes": "<p></p>" }, "Mouse": { "WB-species-checked": "testedAndGuaranteed", "WB-species-dilution-info": "1/1000 - 1/5000", "WB-species-notes": "<p></p>", "IHCP-species-checked": "guaranteed", "IHCP-species-dilution-info": "", "IHCP-species-notes": "" }, "Rat": { "WB-species-checked": "testedAndGuaranteed", "WB-species-dilution-info": "1/1000 - 1/5000", "WB-species-notes": "<p></p>", "IHCP-species-checked": "guaranteed", "IHCP-species-dilution-info": "", "IHCP-species-notes": "" } } }

Properties and storage information

Form
Liquid
Purification technique
Affinity purification Immunogen
Storage buffer
pH: 7.3 Preservative: 0.02% Sodium azide Constituents: PBS, 50% Glycerol (glycerin, glycerine)
Shipped at conditions
Blue Ice
Appropriate short-term storage duration
1-2 weeks
Appropriate short-term storage conditions
+4°C
Appropriate long-term storage conditions
-20°C
Aliquoting information
Upon delivery aliquot
Storage information
Avoid freeze / thaw cycle

Product protocols

For this product, it's our understanding that no specific protocols are required. You can visit:

Target data

May be involved in several stages of intracellular trafficking.
See full target information SNX32

Publications (1)

Recent publications for all applications. Explore the full list and refine your search

Digestive surgery 39:24-31 PubMed34788753

2021

Identification and Validation of Hub Genes Predicting Prognosis of Hepatocellular Carcinoma.

Applications

Unspecified application

Species

Unspecified reactive species

Ziyan Chen,Haitao Yu,Lijun Wu,Sina Zhang,Zhihui Lin,Tuo Deng,Bangjie He,Zhengping Yu,Gang Chen,Fang Wu
View all publications

Product promise

We are committed to supporting your work with high-quality reagents, and we're here for you every step of the way. In the unlikely event that one of our products does not perform as expected, you're protected by our Product Promise.
For full details, please see our Terms & Conditions

Please note: All products are 'FOR RESEARCH USE ONLY. NOT FOR USE IN DIAGNOSTIC OR THERAPEUTIC PROCEDURES'.

For licensing inquiries, please contact partnerships@abcam.com