JavaScript is disabled in your browser. Please enable JavaScript to view this website.
AB232405

Anti-Flotillin 1 antibody [EPR6041] - BSA and Azide free

Be the first to review this product! Submit a review

|

(1 Publication)

Rabbit Recombinant Monoclonal Flotillin 1 antibody. Carrier free. Suitable for IHC-P, IP, WB, ICC/IF, Flow Cyt (Intra) and reacts with Human, Mouse, Rat samples. Cited in 1 publication.

View Alternative Names

Flotillin-1, FLOT1

7 Images
Flow Cytometry (Intracellular) - Anti-Flotillin 1 antibody [EPR6041] - BSA and Azide free (AB232405)
  • Flow Cyt (Intra)

Lab

Flow Cytometry (Intracellular) - Anti-Flotillin 1 antibody [EPR6041] - BSA and Azide free (AB232405)

Intracellular Flow Cytometry analysis of Jurkat (human acute T cell leukemia) cells labeling Flotillin 1 with purified ab133497 at 1/50 dilution (10ug/mL) (red). Cells were fixed with 4% paraformaldehyde and permeabilised with 90% methanol. A Goat anti rabbit IgG (Alexa Fluor®488) (1/2000 dilution) was used as the secondary antibody. Rabbit monoclonal IgG (Black) was used as the isotype control, cells without incubation with primary antibody and secondary antibody (Blue) was used as the unlabeled control.

This data was developed using the same antibody clone in a different buffer formulation containing PBS, BSA, glycerol, and sodium azide (ab133497).

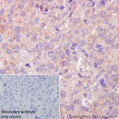
Immunohistochemistry (Formalin/PFA-fixed paraffin-embedded sections) - Anti-Flotillin 1 antibody [EPR6041] - BSA and Azide free (AB232405)
  • IHC-P

Unknown

Immunohistochemistry (Formalin/PFA-fixed paraffin-embedded sections) - Anti-Flotillin 1 antibody [EPR6041] - BSA and Azide free (AB232405)

Immunohistochemical staining of paraffin embedded human cervical carcinoma with purified ab133497 at a working dilution of 1/100. The secondary antibody used is HRP goat anti-rabbit IgG H&L (ab97051) at 1/500. The sample is counter-stained with hematoxylin. Antigen retrieval was perfomed using Tris-EDTA buffer, pH 9.0. PBS was used instead of the primary antibody as the negative control, and is shown in the inset.This data was developed using the same antibody clone in a different buffer formulation containing PBS, BSA, glycerol, and sodium azide (ab133497).

Immunocytochemistry/ Immunofluorescence - Anti-Flotillin 1 antibody [EPR6041] - BSA and Azide free (AB232405)
  • ICC/IF

Unknown

Immunocytochemistry/ Immunofluorescence - Anti-Flotillin 1 antibody [EPR6041] - BSA and Azide free (AB232405)

Immunofluorescence staining of Jurkat cells with purified ab133497 at a working dilution of 1/500, counter-stained with DAPI. The secondary antibody was Alexa Fluor® 488 goat anti-rabbit (ab150077), used at a dilution of 1/1000. ab7291, a mouse anti-tubulin antibody (1/1000), was used to stain tubulin along with ab150120 (Alexa Fluor® 594 goat anti-mouse, 1/1000), shown in the top right hand panel. The cells were fixed in 4% PFA and permeabilized using 0.1% Triton X 100. The negative controls are shown in bottom middle and right hand panels - for negative control 1, purified ab133497 was used at a dilution of 1/500 followed by an Alexa Fluor® 594 goat anti-mouse antibody (ab150120) at a dilution of 1/500. For negative control 2, ab7291 (mouse anti-tubulin) was used at a dilution of 1/500 followed by an Alexa Fluor® 488 goat anti-rabbit antibody (ab150077) at a dilution of 1/400.

This data was developed using the same antibody clone in a different buffer formulation containing PBS, BSA, glycerol, and sodium azide (ab133497).

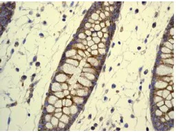
Immunohistochemistry (Formalin/PFA-fixed paraffin-embedded sections) - Anti-Flotillin 1 antibody [EPR6041] - BSA and Azide free (AB232405)
  • IHC-P

Unknown

Immunohistochemistry (Formalin/PFA-fixed paraffin-embedded sections) - Anti-Flotillin 1 antibody [EPR6041] - BSA and Azide free (AB232405)

Immunohistochemical analysis of paraffin embedded Human colon tissue labelling Flotillin 1 using unpurified ab133497 at a dilution of 1/100.

This data was developed using the same antibody clone in a different buffer formulation containing PBS, BSA, glycerol, and sodium azide (ab133497).

Perform heat mediated antigen retrieval before commencing with IHC staining protocol.

Immunoprecipitation - Anti-Flotillin 1 antibody [EPR6041] - BSA and Azide free (AB232405)
  • IP

Unknown

Immunoprecipitation - Anti-Flotillin 1 antibody [EPR6041] - BSA and Azide free (AB232405)

ab133497 (purified) at 1/60 immunoprecipitating Flotillin 1 in 10 µg K562 (Lanes 1 and 2, observed at 48 kDa). Lane 3 - PBS. For western blotting, a HRP-conjugated anti-rabbit IgG, specific to the non-reduced form of IgG was used as the secondary antibody (1/1500). Blocking buffer and concentration : 5% NFDM/TBST Dilution buffer and concentration : 5% NFDM/TBSTThis data was developed using the same antibody clone in a different buffer formulation containing PBS, BSA, glycerol, and sodium azide (ab133497).

All lanes:

Immunoprecipitation - Anti-Flotillin 1 antibody [EPR6041] (<a href='/en-us/products/primary-antibodies/flotillin-1-antibody-epr6041-ab133497'>ab133497</a>)

Predicted band size: 42 kDa,47 kDa

false

Western blot - Anti-Flotillin 1 antibody [EPR6041] - BSA and Azide free (AB232405)
  • WB

Lab

Western blot - Anti-Flotillin 1 antibody [EPR6041] - BSA and Azide free (AB232405)

Lane 1 : Wild-type HAP1 whole cell lysate (20 μg)
Lane 2 : Flotillin 1 knockout HAP1 whole cell lysate (20 μg)

Lanes 1 - 2 : Merged signal (red and green). Green - ab133497 observed at 47 kDa. Red - loading control, ab9484, observed at 37 kDa.

ab133497 was shown to specifically react with Flotillin 1 in wild-type HAP1 cells as signal was lost in Flotillin 1 knockout cells. Wild-type and Flotillin 1 knockout samples were subjected to SDS-PAGE. ab133497 and ab9484 (Mouse anti-GAPDH loading control) were incubated overnight at 4°C at 1/10,000 dilution and 1/20,000 dilution respectively. Blots were developed with Goat anti-Rabbit IgG H&L (IRDye® 800CW) preabsorbed ab216773 and Goat anti-Mouse IgG H&L (IRDye® 680RD) preabsorbed ab216776 secondary antibodies at 1/20,000 dilution for 1 hour at room temperature before imaging.

This data was developed using the same antibody clone in a different buffer formulation containing PBS, BSA, glycerol, and sodium azide (ab133497).

All lanes:

Western blot - Anti-Flotillin 1 antibody [EPR6041] (<a href='/en-us/products/primary-antibodies/flotillin-1-antibody-epr6041-ab133497'>ab133497</a>)

Predicted band size: 47 kDa

Observed band size: 62 kDa

false

Western blot - Anti-Flotillin 1 antibody [EPR6041] - BSA and Azide free (AB232405)
  • WB

Lab

Western blot - Anti-Flotillin 1 antibody [EPR6041] - BSA and Azide free (AB232405)

This data was developed using the same antibody clone in a different buffer formulation (ab133497).

Lanes 1-3 : Merged signal (red and green). Green - ab133497 observed at 50 kDa. Red - loading control ab8245 observed at 36 kDa.

ab133497 Anti-Flotillin 1 antibody [EPR6041] was shown to specifically react with Flotillin 1 in wild-type HEK293T cells. Loss of signal was observed when knockout cell line ab267276 (knockout cell lysate ab257109) was used. Wild-type and Flotillin 1 knockout samples were subjected to SDS-PAGE. ab133497 and Anti-GAPDH antibody [6C5] - Loading Control (ab8245) were incubated overnight at 4°C at 1 in 1000 dilution and 1 in 20000 dilution respectively. Blots were developed with Goat anti-Rabbit IgG H&L (IRDye® 800CW) preadsorbed (ab216773) and Goat anti-Mouse IgG H&L (IRDye® 680RD) preadsorbed (ab216776) secondary antibodies at 1 in 20000 dilution for 1 hour at room temperature before imaging.

All lanes:

Western blot - Anti-Flotillin 1 antibody [EPR6041] (<a href='/en-us/products/primary-antibodies/flotillin-1-antibody-epr6041-ab133497'>ab133497</a>) at 1/1000 dilution

Lane 1:

Wild-type HEK293T cell lysate at 20 µg

Lane 2:

Western blot - Human FLOT1 (Flotillin 1) knockout HEK-293T cell lysate (<a href='/en-us/products/cell-lysates/human-flot1-flotillin-1-knockout-hek-293t-cell-lysate-ab257109'>ab257109</a>) at 20 µg

Lane 3:

HAP1 cell lysate at 20 µg

Secondary

Lanes 1 - 3:

Western blot - Goat anti-Rabbit IgG H&L (IRDye® 800CW) preadsorbed (<a href='/en-us/products/secondary-antibodies/goat-rabbit-igg-h-l-irdye-800cw-preadsorbed-ab216773'>ab216773</a>) at 1/20000 dilution

Lanes 1 - 3:

Western blot - Goat anti-Mouse IgG H&L (IRDye® 680RD) preadsorbed (<a href='/en-us/products/secondary-antibodies/goat-mouse-igg-h-l-irdye-680rd-preadsorbed-ab216776'>ab216776</a>) at 1/20000 dilution

Predicted band size: 47 kDa

Observed band size: 50 kDa,36 kDa

false

  • Unconjugated

    Anti-Flotillin 1 antibody [EPR6041]

  • 578 PE

    PE Anti-Flotillin 1 antibody [EPR6041]

Key facts

Host species

Rabbit

Clonality

Monoclonal

Clone number

EPR6041

Isotype

IgG

Carrier free

Yes

Reacts with

Mouse, Rat, Human

Applications

IHC-P, IP, WB, ICC/IF, Flow Cyt (Intra)

applications

Immunogen

The exact immunogen used to generate this antibody is proprietary information.

Reactivity data

{ "title": "Reactivity Data", "filters": { "stats": ["", "Species", "Dilution Info", "Notes"], "tabs": { "all-applications": {"fullname" : "All Applications", "shortname": "All Applications"}, "IHCP" : {"fullname" : "Immunohistochemistry (Formalin/PFA-fixed paraffin-embedded sections)", "shortname":"IHC-P"}, "IP" : {"fullname" : "Immunoprecipitation", "shortname":"IP"}, "WB" : {"fullname" : "Western blot", "shortname":"WB"}, "ICCIF" : {"fullname" : "Immunocytochemistry/ Immunofluorescence", "shortname":"ICC/IF"}, "FlowCytIntra" : {"fullname" : "Flow Cytometry (Intracellular)", "shortname":"Flow Cyt (Intra)"} }, "product-promise": { "all": "all", "testedAndGuaranteed": "tested", "guaranteed": "expected", "predicted": "predicted", "notRecommended": "not-recommended" } }, "values": { "Human": { "IHCP-species-checked": "testedAndGuaranteed", "IHCP-species-dilution-info": "", "IHCP-species-notes": "<p></p>", "IP-species-checked": "testedAndGuaranteed", "IP-species-dilution-info": "", "IP-species-notes": "<p></p>", "WB-species-checked": "testedAndGuaranteed", "WB-species-dilution-info": "", "WB-species-notes": "<p></p>", "ICCIF-species-checked": "testedAndGuaranteed", "ICCIF-species-dilution-info": "", "ICCIF-species-notes": "<p></p>", "FlowCytIntra-species-checked": "testedAndGuaranteed", "FlowCytIntra-species-dilution-info": "", "FlowCytIntra-species-notes": "<p></p>" }, "Mouse": { "IHCP-species-checked": "guaranteed", "IHCP-species-dilution-info": "", "IHCP-species-notes": "", "IP-species-checked": "guaranteed", "IP-species-dilution-info": "", "IP-species-notes": "", "WB-species-checked": "testedAndGuaranteed", "WB-species-dilution-info": "", "WB-species-notes": "<p></p>", "ICCIF-species-checked": "guaranteed", "ICCIF-species-dilution-info": "", "ICCIF-species-notes": "", "FlowCytIntra-species-checked": "guaranteed", "FlowCytIntra-species-dilution-info": "", "FlowCytIntra-species-notes": "" }, "Rat": { "IHCP-species-checked": "guaranteed", "IHCP-species-dilution-info": "", "IHCP-species-notes": "", "IP-species-checked": "guaranteed", "IP-species-dilution-info": "", "IP-species-notes": "", "WB-species-checked": "testedAndGuaranteed", "WB-species-dilution-info": "", "WB-species-notes": "<p></p>", "ICCIF-species-checked": "guaranteed", "ICCIF-species-dilution-info": "", "ICCIF-species-notes": "", "FlowCytIntra-species-checked": "guaranteed", "FlowCytIntra-species-dilution-info": "", "FlowCytIntra-species-notes": "" } } }

Product details

ab232405 is the carrier-free version of ab133497.

Patented technology
Our RabMAb® technology is a patented hybridoma-based technology for making rabbit monoclonal antibodies. For details on our patents, please refer to RabMAb® patents.

What are the advantages of a recombinant monoclonal antibody?
This product is a recombinant monoclonal antibody, which offers several advantages including:

  • - High batch-to-batch consistency and reproducibility
  • - Improved sensitivity and specificity
  • - Long-term security of supply
  • - Animal-free batch production

For more information, read more on recombinant antibodies.

Conjugation ready
Our carrier-free antibodies are typically supplied in a PBS-only formulation, purified and free of BSA, sodium azide and glycerol. This conjugation-ready format is designed for use with fluorochromes, metal isotopes, oligonucleotides, and enzymes, which makes them ideal for antibody labelling, functional and cell-based assays, flow-based assays (e.g. mass cytometry) and Multiplex Imaging applications.

Use our conjugation kits for antibody conjugates that are ready-to-use in as little as 20 minutes with 1 minute hands-on-time and 100% antibody recovery: available for fluorescent dyes, HRP, biotin and gold.

Compatibility
This product is compatible with the Maxpar® Antibody Labeling Kit from Fluidigm, without the need for antibody preparation. Maxpar® is a trademark of Fluidigm Canada Inc.

Properties and storage information

Form
Liquid
Purification technique
Affinity purification Protein A
Storage buffer
pH: 7.2 - 7.4 Constituents: PBS
Shipped at conditions
Blue Ice
Appropriate short-term storage conditions
+4°C
Appropriate long-term storage conditions
+4°C
Storage information
Do Not Freeze

Supplementary information

This supplementary information is collated from multiple sources and compiled automatically.

Flotillin 1 also known as flotillin-1 or flot-1 functions as a major scaffolding protein in lipid rafts which are specialized membrane microdomains. It has a molecular weight of approximately 47 kDa facilitating protein interactions within the cell membrane. Flotillin 1 localizes primarily to non-caveolar lipid rafts and is expressed widely across various tissue types. High expression levels occur in brain tissue contributing to its recognition as an important element within neuronal membranes.
Biological function summary

Flotillin-1 participates in vesicle trafficking and endocytosis by forming a complex with its counterpart flotillin-2. This complex stabilizes membrane microdomains and assists in signaling pathways. Flotillin-1 plays a significant role in cell adhesion migration and cytoskeleton organization by interacting with actin and other cytoskeletal proteins. By doing so it influences cellular processes related to membrane shaping and intracellular transport.

Pathways

Flotillin-1 integrates into the MAPK signaling pathway and the Wnt signaling pathway which are critical for cell differentiation and proliferation. It interacts with several proteins including caveolin-1 that have known roles in these pathways. These interactions help modulate signaling cascades providing necessary cellular responses to various extracellular stimuli.

Flotillin-1 has associations with Alzheimer's disease and various cancers. In Alzheimer's disease it interacts with amyloid precursor protein influencing amyloid-beta production and deposition. In cancer altered expression levels of flotillin-1 affect tumor cell adhesion and migration with its interactions impacting the expression of proteins like E-cadherin which is associated with cancer metastasis and progression. Understanding these interactions offers potential insights for developing therapeutic strategies.

Product protocols

For this product, it's our understanding that no specific protocols are required. You can visit:

Target data

May act as a scaffolding protein within caveolar membranes, functionally participating in formation of caveolae or caveolae-like vesicles.
See full target information FLOT1

Publications (1)

Recent publications for all applications. Explore the full list and refine your search

Nature 632:157-165 PubMed39020175

2024

Inhibition of IL-11 signalling extends mammalian healthspan and lifespan.

Applications

Unspecified application

Species

Unspecified reactive species

Anissa A Widjaja,Wei-Wen Lim,Sivakumar Viswanathan,Sonia Chothani,Ben Corden,Cibi Mary Dasan,Joyce Wei Ting Goh,Radiance Lim,Brijesh K Singh,Jessie Tan,Chee Jian Pua,Sze Yun Lim,Eleonora Adami,Sebastian Schafer,Benjamin L George,Mark Sweeney,Chen Xie,Madhulika Tripathi,Natalie A Sims,Norbert Hübner,Enrico Petretto,Dominic J Withers,Lena Ho,Jesus Gil,David Carling,Stuart A Cook
View all publications

Product promise

We are committed to supporting your work with high-quality reagents, and we're here for you every step of the way. In the unlikely event that one of our products does not perform as expected, you're protected by our Product Promise.
For full details, please see our Terms & Conditions

Please note: All products are 'FOR RESEARCH USE ONLY. NOT FOR USE IN DIAGNOSTIC OR THERAPEUTIC PROCEDURES'.

For licensing inquiries, please contact partnerships@abcam.com