JavaScript is disabled in your browser. Please enable JavaScript to view this website.
AB307422

Anti-Flotillin 2/ESA antibody [EPR26975-52]

  • BOND RX™ Validated
  • 20ul selling size
  • RabMAb
  • Recombinant
  • KO Validated
  • What is this?

Be the first to review this product! Submit a review

|

(1 Publication)

Rabbit Recombinant Monoclonal Flotillin 2/ESA antibody. Suitable for IP, Flow Cyt, IHC-P, WB and reacts with Human samples. Cited in 1 publication.

View Alternative Names

ESA1, M17S1, FLOT2, Flotillin-2, Epidermal surface antigen, Membrane component chromosome 17 surface marker 1, ESA

8 Images
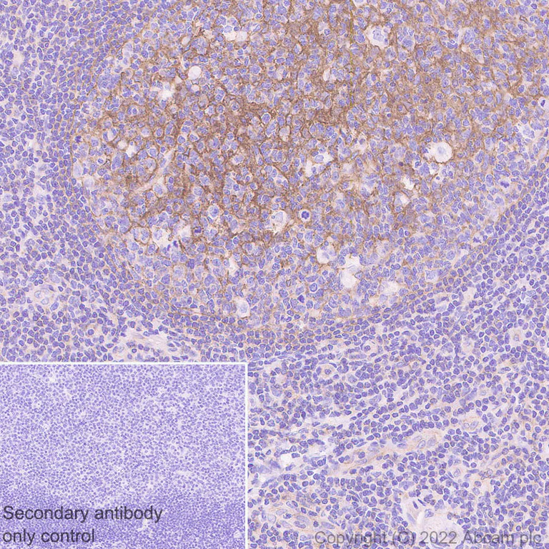
Immunohistochemistry (Formalin/PFA-fixed paraffin-embedded sections) - Anti-Flotillin 2/ESA antibody [EPR26975-52] (AB307422)
  • IHC-P

Supplier Data

Immunohistochemistry (Formalin/PFA-fixed paraffin-embedded sections) - Anti-Flotillin 2/ESA antibody [EPR26975-52] (AB307422)

Immunohistochemical analysis of paraffin-embedded Human tonsil tissue lABeling Flotillin 2/ESA with ab307422 at 1/1000 (0.535 ug/ml) followed by a ready to use RABbit specific IHC polymer detection kit HRP/DAB (ab209101). Positive staining on human tonsil. The section was incubated with ab307422 for 30 mins at room temperature.The immunostaining was performed on a Leica Biosystems BOND® RX instrument Counterstained with Hematoxylin. Secondary antibody only control : Secondary antibody is a ready to use RABbit specific IHC polymer detection kit HRP/DAB (ab209101). Heat mediated antigen retrieval was performed with Tris-EDTA buffer (pH 9.0, Epitope Retrieval Solution2) for 20 mins

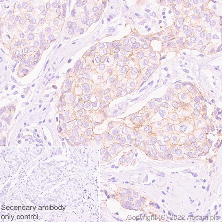
Immunohistochemistry (Formalin/PFA-fixed paraffin-embedded sections) - Anti-Flotillin 2/ESA antibody [EPR26975-52] (AB307422)
  • IHC-P

Supplier Data

Immunohistochemistry (Formalin/PFA-fixed paraffin-embedded sections) - Anti-Flotillin 2/ESA antibody [EPR26975-52] (AB307422)

Immunohistochemical analysis of paraffin-embedded Human hepatocellular tissue lABeling Flotillin 2/ESA with ab307422 at 1/1000 (0.535 ug/ml) followed by a ready to use RABbit specific IHC polymer detection kit HRP/DAB (ab209101). Positive staining on human hepatocellular carcinoma (PMID : 28560058). The section was incubated with ab307422 for 30 mins at room temperature.The immunostaining was performed on a Leica Biosystems BOND? RX instrument Counterstained with Hematoxylin. Secondary antibody only control : Secondary antibody is a ready to use RABbit specific IHC polymer detection kit HRP/DAB (ab209101). Heat mediated antigen retrieval was performed with Tris-EDTA buffer (pH 9.0, Epitope Retrieval Solution2) for 20 mins

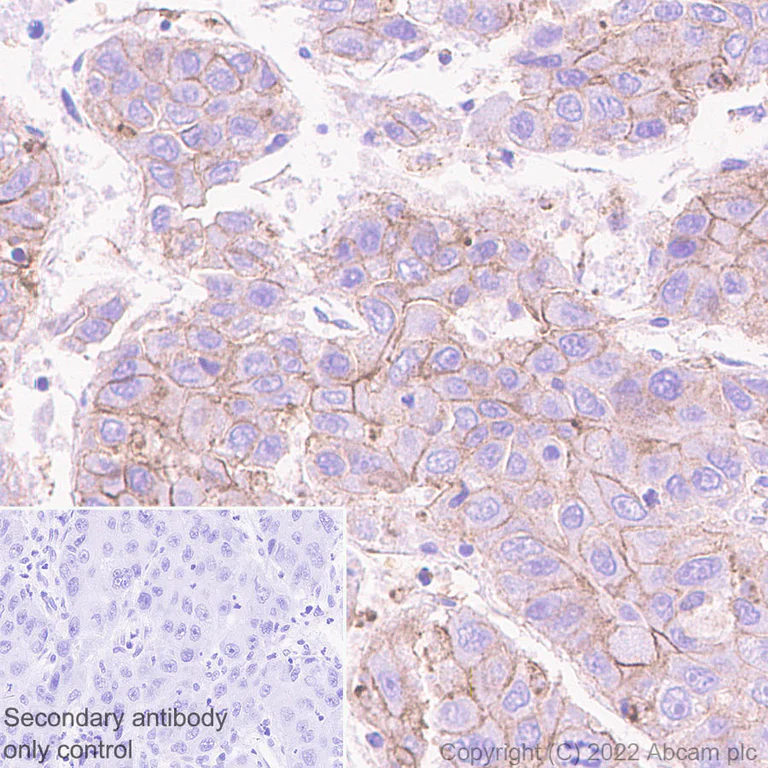
Immunohistochemistry (Formalin/PFA-fixed paraffin-embedded sections) - Anti-Flotillin 2/ESA antibody [EPR26975-52] (AB307422)
  • IHC-P

Supplier Data

Immunohistochemistry (Formalin/PFA-fixed paraffin-embedded sections) - Anti-Flotillin 2/ESA antibody [EPR26975-52] (AB307422)

Immunohistochemical analysis of paraffin-embedded Human breast carcino tissue lABeling Flotillin 2/ESA with ab307422 at 1/1000 (0.535 ug/ml) followed by a ready to use RABbit specific IHC polymer detection kit HRP/DAB (ab209101). Positive staining on human breast carcinoma (PMID : 22869152). The section was incubated with ab307422 for 30 mins at room temperature.The immunostaining was performed on a Leica Biosystems BOND? RX instrument Counterstained with Hematoxylin. Secondary antibody only control : Secondary antibody is a ready to use RABbit specific IHC polymer detection kit HRP/DAB (ab209101). Heat mediated antigen retrieval was performed with Tris-EDTA buffer (pH 9.0, Epitope Retrieval Solution2) for 20 mins

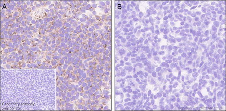
Immunohistochemistry (Formalin/PFA-fixed paraffin-embedded sections) - Anti-Flotillin 2/ESA antibody [EPR26975-52] (AB307422)
  • IHC-P

Supplier Data

Immunohistochemistry (Formalin/PFA-fixed paraffin-embedded sections) - Anti-Flotillin 2/ESA antibody [EPR26975-52] (AB307422)

Immunohistochemical analysis of paraffin-embedded (A) Wild-type HEK293 tissue lABeling Flotillin 2/ESA with ab307422 at 1/1000 (0.535 ug/ml) followed by a ready to use RABbit specific IHC polymer detection kit HRP/DAB (ab209101). Positive staining on (A) wild-type HEK293T cell pellet, no staining on (B) FLOT2 knockout HEK293T cell pellet. The section was incubated with ab307422 for 30 mins at room temperature.The immunostaining was performed on a Leica Biosystems BOND? RX instrument Counterstained with Hematoxylin. Secondary antibody only control : Secondary antibody is a ready to use RABbit specific IHC polymer detection kit HRP/DAB (ab209101). Heat mediated antigen retrieval was performed with Tris-EDTA buffer (pH 9.0, Epitope Retrieval Solution2) for 20 mins

Flow Cytometry (Intracellular) - Anti-Flotillin 2/ESA antibody [EPR26975-52] (AB307422)
  • Flow Cyt (Intra)

Supplier Data

Flow Cytometry (Intracellular) - Anti-Flotillin 2/ESA antibody [EPR26975-52] (AB307422)

Flow cytometric analysis of 4% paraformaldehyde fixed 90% methanol permeabilized Wild-type 293T (human embryonic kidney epithelial cell, Right) / Flotillin 2/ESA knockout 293T (Left) cells labelling Flotillin 2/ESA with ab307422 at 1/50 dilution (1ug) (Red) compared with a Rabbit monoclonal IgG (ab172730) (Black) isotype control and an unlabelled control (cells without incubation with primary antibody and secondary antibody) (Blue). A Goat Anti-Rabbit IgG (Alexa Fluor® 488, ab150081) at 1/2000 dilution was used as the secondary antibody. Positive staining on 293T cells (ab255449), while no staining on Flotillin 2/ESA knockout 293T cells (ab266847).

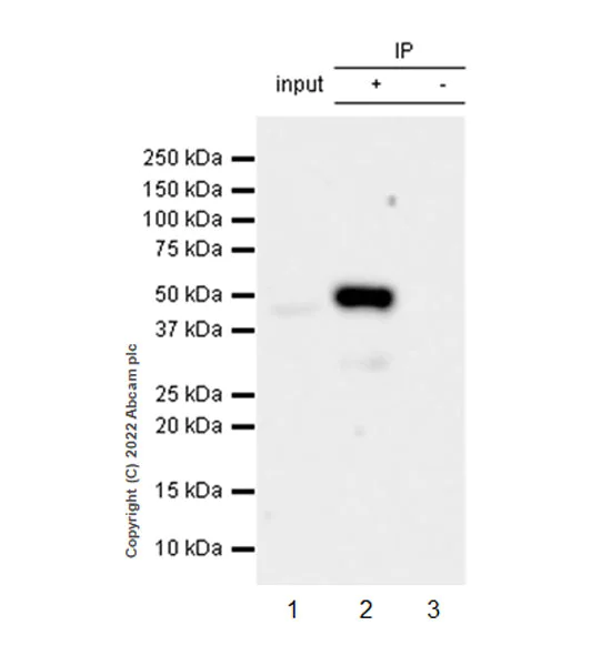
Immunoprecipitation - Anti-Flotillin 2/ESA antibody [EPR26975-52] (AB307422)
  • IP

Supplier Data

Immunoprecipitation - Anti-Flotillin 2/ESA antibody [EPR26975-52] (AB307422)

Flotillin 2/ESA was immunoprecipitated from 0.35 mg HEK-293T (human embryonic kidney epithelial cell) whole cell lysate 10 ug with ab307422 at 1/30 dilution (2ug in 0.35mg lysates). Western blot was performed on the immunoprecipitate using ab307422 at 1/1000 dilution. VeriBlot for IP secondary antibody(HRP)(ab131366) was used at 1/5000 dilution. Lane 1 : HEK-293T (human embryonic kidney epithelial cell) whole cell lysate 10 ug Lane 2 : ab307422 IP in HEK-293T whole cell lysate Lane 3 : Rabbit monoclonal IgG (ab172730) instead of ab307422 in HEK-293T whole cell lysate Blocking and dilution buffer and concentration : 5% NFDM/TBST. Exposure time : 24 seconds

All lanes:

Immunoprecipitation - Anti-Flotillin 2/ESA antibody [EPR26975-52] (ab307422) at 1/1000 dilution

Lane 1:

HEK-293T (human embryonic kidney epithelial cell) whole cell lysate 10 μg

Lane 2:

HEK-293T whole cell lysate

Lane 3:

Rabbit monoclonal IgG (<a href='/en-us/products/primary-antibodies/rabbit-igg-monoclonal-epr25a-isotype-control-ab172730'>ab172730</a>) instead of ab307422 in HEK-293T whole cell lysate

Secondary

All lanes:

Immunoprecipitation - VeriBlot for IP Detection Reagent (HRP) (<a href='/en-us/products/reagents/veriblot-for-ip-detection-reagent-hrp-ab131366'>ab131366</a>) at 1/5000 dilution

Observed band size: 47 kDa

false

Exposure time: 24s

Western blot - Anti-Flotillin 2/ESA antibody [EPR26975-52] (AB307422)
  • WB

Supplier Data

Western blot - Anti-Flotillin 2/ESA antibody [EPR26975-52] (AB307422)

Blocking and diluting buffer and concentration : Intercept® (TBS) Blocking Buffer diluted with an equal volume of 0.1% TBSThe samples were run on a Bis-Tris gel. Performed under reducing conditions. False colour image of Western blot : Anti-Flotillin 2/ESA antibody [EPR26975-52] (ab307422) staining at 1/1000 dilution, shown in green; Mouse anti-GAPDH antibody [6C5] (ab8245) loading control staining at 1/20000 dilution, shown in red. In Western blot, ab307422 was shown to bind specifically to Flotillin 2/ESA. A band was observed at 47 kDa in wild-type HEK-293T cell lysates whereas no signal observed at this size in Flotillin 2/ESA knockout cell line ab266847 (knockout cell lysate ab257442). . To generate this image, wild-type and Flotillin 2/ESA knockout HEK-293T cell lysates were analyzed. First, samples were run on a SDS-PAGE gel then transferred onto an immobilon-FL PVDF membrane. Membranes were blocked in in Intercept® (TBS) Blocking Buffer diluted with an equal volume of 0.1% TBS before incubation with primary antibodies overnight at 4 ЎгC. Blots were washed four times in TBS-T, incubated with secondary antibodies for 1 h at room temperature, washed again four times then imaged. Secondary antibodies used were Goat anti-Rabbit IgG H&L (IRDye® 800CW) preabsorbed (ab216773) at 1/10000 dilution and Goat anti-Mouse IgG H&L (IRDye® 680RD) preabsorbed (ab216776) at 1/20000 dilution. Exposure time :

All lanes:

Western blot - Anti-Flotillin 2/ESA antibody [EPR26975-52] (ab307422) at 1/1000 dilution

Lane 1:

Wild-type HEK-293T (human embryonic kidney epithelial cell) whole cell lysate 20 μg

Lane 2:

Flotillin 2/ESA knockout HEK-293T whole cell lysate 20 μg

Lane 3:

HeLa (human cervical adenocarcinoma epithelial cell) whole cell lysate 20 μg

Secondary

Lanes 1 - 3:

Western blot - Goat anti-Rabbit IgG H&L (IRDye® 800CW) preadsorbed (<a href='/en-us/products/secondary-antibodies/goat-rabbit-igg-h-l-irdye-800cw-preadsorbed-ab216773'>ab216773</a>) at 1/10000 dilution

Lanes 1, 2 and 4:

Western blot - Goat anti-Mouse IgG H&L (IRDye® 680RD) preadsorbed (<a href='/en-us/products/secondary-antibodies/goat-mouse-igg-h-l-irdye-680rd-preadsorbed-ab216776'>ab216776</a>) at 1/20000 dilution

Observed band size: 47 kDa

false

Western blot - Anti-Flotillin 2/ESA antibody [EPR26975-52] (AB307422)
  • WB

Supplier Data

Western blot - Anti-Flotillin 2/ESA antibody [EPR26975-52] (AB307422)

Blocking and diluting buffer and concentration : 5% NFDM/TBST Exposure time :

All lanes:

Western blot - Anti-Flotillin 2/ESA antibody [EPR26975-52] (ab307422) at 1/1000 dilution

Lane 1:

Human breast tissue lysate 20 μg

Lane 2:

Human skin tissue lysate 20 μg

Lane 3:

Human lung tissue lysate 20 μg

Secondary

All lanes:

Goat Anti-Rabbit IgG (HRP) with minimal cross-reactivity with human IgG at 1/2000 dilution

Observed band size: 47 kDa

false

Exposure time: 114s

  • Carrier free

    Anti-Flotillin 2/ESA antibody [EPR26975-52] - BSA and Azide free

  • Carrier free

    Anti-Flotillin 2/ESA antibody [EPR26975-52] - BSA and Azide free (Detector)

Key facts

Host species

Rabbit

Clonality

Monoclonal

Clone number

EPR26975-52

Isotype

IgG

Carrier free

No

Reacts with

Human

Applications

WB, IHC-P, IP, Flow Cyt

applications

Immunogen

The exact immunogen used to generate this antibody is proprietary information.

Reactivity data

{ "title": "Reactivity Data", "filters": { "stats": ["", "Species", "Dilution Info", "Notes"], "tabs": { "all-applications": {"fullname" : "All Applications", "shortname": "All Applications"}, "IP" : {"fullname" : "Immunoprecipitation", "shortname":"IP"}, "FlowCyt" : {"fullname" : "Flow Cytometry", "shortname":"Flow Cyt"}, "IHCP" : {"fullname" : "Immunohistochemistry (Formalin/PFA-fixed paraffin-embedded sections)", "shortname":"IHC-P"}, "WB" : {"fullname" : "Western blot", "shortname":"WB"} }, "product-promise": { "all": "all", "testedAndGuaranteed": "tested", "guaranteed": "expected", "predicted": "predicted", "notRecommended": "not-recommended" } }, "values": { "Human": { "IP-species-checked": "testedAndGuaranteed", "IP-species-dilution-info": "1/30", "IP-species-notes": "<p></p>", "FlowCyt-species-checked": "testedAndGuaranteed", "FlowCyt-species-dilution-info": "1/50", "FlowCyt-species-notes": "<p></p>", "IHCP-species-checked": "testedAndGuaranteed", "IHCP-species-dilution-info": "1/1000", "IHCP-species-notes": "<p></p>", "WB-species-checked": "testedAndGuaranteed", "WB-species-dilution-info": "1/1000", "WB-species-notes": "<p></p>" }, "Mouse": { "IP-species-checked": "notRecommended", "IP-species-dilution-info": "", "IP-species-notes": "", "FlowCyt-species-checked": "notRecommended", "FlowCyt-species-dilution-info": "", "FlowCyt-species-notes": "", "IHCP-species-checked": "notRecommended", "IHCP-species-dilution-info": "1/1000", "IHCP-species-notes": "<p></p>", "WB-species-checked": "notRecommended", "WB-species-dilution-info": "1/1000", "WB-species-notes": "<p></p>" }, "Rat": { "IP-species-checked": "notRecommended", "IP-species-dilution-info": "", "IP-species-notes": "", "FlowCyt-species-checked": "notRecommended", "FlowCyt-species-dilution-info": "", "FlowCyt-species-notes": "", "IHCP-species-checked": "notRecommended", "IHCP-species-dilution-info": "1/1000", "IHCP-species-notes": "<p></p>", "WB-species-checked": "notRecommended", "WB-species-dilution-info": "1/1000", "WB-species-notes": "<p></p>" } } }

Product details

Patented technology
Our RabMAb® technology is a patented hybridoma-based technology for making rabbit monoclonal antibodies. For details on our patents, please refer to RabMAb® patents.

What are the advantages of a recombinant monoclonal antibody?
This product is a recombinant monoclonal antibody, which offers several advantages including:

  • - High batch-to-batch consistency and reproducibility
  • - Improved sensitivity and specificity
  • - Long-term security of supply
  • - Animal-free batch production

For more information, read more on recombinant antibodies.

Properties and storage information

Form
Liquid
Purification technique
Affinity purification Protein A
Storage buffer
pH: 7.2 - 7.4 Preservative: 0.01% Sodium azide Constituents: PBS, 40% Glycerol (glycerin, glycerine), 0.05% BSA
Shipped at conditions
Blue Ice
Appropriate short-term storage duration
1-2 weeks
Appropriate short-term storage conditions
+4°C
Appropriate long-term storage conditions
-20°C
Aliquoting information
Upon delivery aliquot
Storage information
Avoid freeze / thaw cycle

Supplementary information

This supplementary information is collated from multiple sources and compiled automatically.

Flotillin 2 also known as flotillin-2 or ESA is a protein weighing approximately 48 kDa and is a part of the flotillin family. It is expressed in various human tissues with high presence in the brain heart and skeletal muscles. This protein is an integral component of the lipid raft microdomains in cell membranes where it assists in cellular processes such as signal transduction and lipid trafficking. Its membrane association depends on N-terminal hydrophobic sequences which contribute to its distribution on the cell surface.
Biological function summary

Flotillins serve as scaffolding proteins in cellular signaling and play a part in the regulation of endocytosis. Flotillin 2 often forms a hetero-oligomeric complex with Flotillin 1 facilitating its role in organizing membrane microdomains. This interaction supports cellular activities like molecular transport and signal relay. Flotillin 2 contributes to dynamic cellular structures and has been suggested to influence actin cytoskeleton assembly giving it a role in cellular morphology and motility.

Pathways

Flotillin 2 associates with important cell signaling pathways notably the MAPK and Wnt signaling pathways. In MAPK pathways flotillin 2 influences cell proliferation and differentiation by modulating interaction with signaling proteins like Ras and ERK. In the context of the Wnt signaling pathway it impacts cellular communication influencing gene expression and development processes by engaging with Dishevelled proteins. These pathways highlight its critical part in processes like cellular growth and communication.

Flotillin 2 exhibits connections regarding metabolic and neurodegenerative conditions. Flotillin 2 upregulation appears linked with metabolic syndromes associating with insulin signaling disruptions. Furthermore alterations in its expression relate to neurodegenerative diseases like Alzheimer's where it impacts amyloid precursor protein processing and tau protein pathology. These associations position flotillin 2 as a significant player in the understanding and potential treatment of these disorders.

Product protocols

For this product, it's our understanding that no specific protocols are required. You can visit:

Target data

May act as a scaffolding protein within caveolar membranes, functionally participating in formation of caveolae or caveolae-like vesicles. May be involved in epidermal cell adhesion and epidermal structure and function.
See full target information FLOT2

Publications (1)

Recent publications for all applications. Explore the full list and refine your search

International journal of biological sciences 21:2747-2761 PubMed40303305

2025

Aryl Hydrocarbon Receptor (AHR) Suppresses Arsenic (As)-Induced Malignant Transformation by Antagonizing TOX Expression.

Applications

Unspecified application

Species

Unspecified reactive species

Wenxuan Zhang,Ziwei Wang,Yao Fu,Chitra Thakur,Haoyan Ji,Zhuoyue Bi,Yiran Qiu,Millie Elangbam,John Haley,Fei Chen
View all publications

Product promise

We are committed to supporting your work with high-quality reagents, and we're here for you every step of the way. In the unlikely event that one of our products does not perform as expected, you're protected by our Product Promise.
For full details, please see our Terms & Conditions

Please note: All products are 'FOR RESEARCH USE ONLY. NOT FOR USE IN DIAGNOSTIC OR THERAPEUTIC PROCEDURES'.

For licensing inquiries, please contact partnerships@abcam.com