JavaScript is disabled in your browser. Please enable JavaScript to view this website.
AB263456

Anti-Flt3 / CD135 antibody [FLT3/2458] - BSA and Azide free

Be the first to review this product! Submit a review

|

(0 Publication)

Mouse Monoclonal Flt3 / CD135 antibody. Carrier free. Suitable for IHC-P and reacts with Human samples. Immunogen corresponding to Recombinant Full Length Protein corresponding to Human FLT3.

View Alternative Names

CD135, FLK2, STK1, FLT3, Receptor-type tyrosine-protein kinase FLT3, FL cytokine receptor, Fetal liver kinase-2, Fms-like tyrosine kinase 3, Stem cell tyrosine kinase 1, FLK-2, FLT-3, STK-1

1 Images
Immunohistochemistry (Formalin/PFA-fixed paraffin-embedded sections) - Anti-Flt3 / CD135 antibody [FLT3/2458] - BSA and Azide free (AB263456)
  • IHC-P

Supplier Data

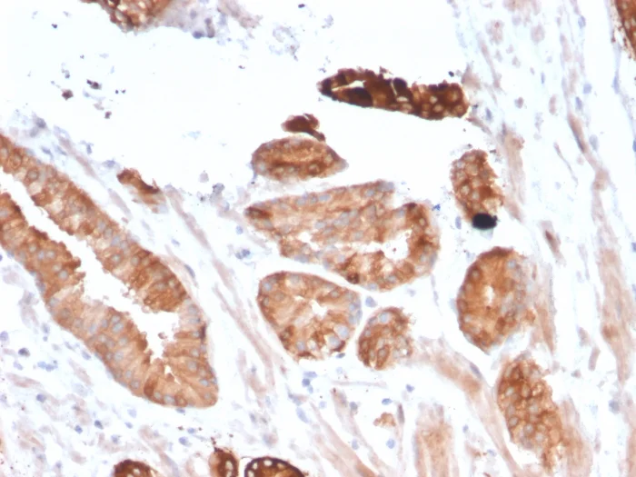
Immunohistochemistry (Formalin/PFA-fixed paraffin-embedded sections) - Anti-Flt3 / CD135 antibody [FLT3/2458] - BSA and Azide free (AB263456)

Formalin-fixed, paraffin-embedded human breast carcinoma tissue stained for Flt3 / CD135 using ab263452 at 2 μg/ml in immunohistochemistry.

Staining of formalin-fixed tissues requires boiling tissue sections in 10mM Citrate Buffer, pH 6.0, for 10-20 min followed by cooling at RT for 20 minutes.

This image was produced using the same clone but different formulation, PBS, sodium azide and BSA ab263452.

Key facts

Host species

Mouse

Clonality

Monoclonal

Clone number

FLT3/2458

Isotype

IgG2b

Light chain type

kappa

Carrier free

Yes

Reacts with

Human

Applications

IHC-P

applications

Immunogen

Recombinant Full Length Protein corresponding to Human FLT3.

P36888

Reactivity data

{ "title": "Reactivity Data", "filters": { "stats": ["", "Species", "Dilution Info", "Notes"], "tabs": { "all-applications": {"fullname" : "All Applications", "shortname": "All Applications"}, "IHCP" : {"fullname" : "Immunohistochemistry (Formalin/PFA-fixed paraffin-embedded sections)", "shortname":"IHC-P"} }, "product-promise": { "all": "all", "testedAndGuaranteed": "tested", "guaranteed": "expected", "predicted": "predicted", "notRecommended": "not-recommended" } }, "values": { "Human": { "IHCP-species-checked": "testedAndGuaranteed", "IHCP-species-dilution-info": "1-2 µg/mL", "IHCP-species-notes": "<p></p> Perform heat-mediated antigen retrieval with citrate buffer pH 6 before commencing with IHC staining protocol." } } }

Product details

ab263456 is the carrier-free version of ab263452.

Conjugation ready
Our carrier-free antibodies are typically supplied in a PBS-only formulation, purified and free of BSA, sodium azide and glycerol. This conjugation-ready format is designed for use with fluorochromes, metal isotopes, oligonucleotides, and enzymes, which makes them ideal for antibody labelling, functional and cell-based assays, flow-based assays (e.g. mass cytometry) and Multiplex Imaging applications.

Use our conjugation kits for antibody conjugates that are ready-to-use in as little as 20 minutes with 1 minute hands-on-time and 100% antibody recovery: available for fluorescent dyes, HRP, biotin and gold.

Properties and storage information

Form
Liquid
Purification technique
Affinity purification Protein A/G
Purification notes
Purified from bioreactor concentrate.
Storage buffer
pH: 7.2 - 7.4 Constituents: PBS
Shipped at conditions
Blue Ice
Appropriate short-term storage duration
1-2 weeks
Appropriate short-term storage conditions
+4°C
Appropriate long-term storage conditions
-20°C
Aliquoting information
Upon delivery aliquot
Storage information
Avoid freeze / thaw cycle

Supplementary information

This supplementary information is collated from multiple sources and compiled automatically.

Flt3 also known as CD135 or FLT3 tyrosine kinase is a receptor tyrosine kinase that belongs to the class III receptor tyrosine kinase family. It has a molecular weight of approximately 160 kDa. This protein plays an important role in the development of hematopoietic stem and progenitor cells. Flt3 is expressed mainly in early progenitor cells within the bone marrow. Additionally it is present in some populations of mature cells in the peripheral blood and lymphoid organs.
Biological function summary

Flt3 functions as a receptor that is activated by binding to its ligand FLT3 ligand (FLT3L). This interaction stimulates the associated tyrosine kinase activity leading to auto-phosphorylation of Flt3 and subsequent downstream signaling. Flt3 does not form a heterocomplex rather it dimerizes upon ligand binding to initiate signaling cascades. These cascades promote cell proliferation differentiation and survival particularly impacting hematopoiesis and immune responses.

Pathways

Flt3 signaling impacts the internal signaling networks involving the MAPK/ERK and PI3K/AKT pathways both central to cell cycle regulation and apoptosis. Flt3 interacts functionally with proteins such as SHP2 and GRB2 in these pathways aiding signal transduction. The Flt3 receptor also shares functional motifs with KIT and PDGF receptors indicating shared regulatory mechanisms involved in cellular proliferation.

Flt3 mutations especially internal tandem duplications in Flt3/ITD are significant in acute myeloid leukemia (AML) leading to abnormal cell growth and survival. These mutations often co-occur with other genetic anomalies such as NPM1 mutations contributing to the oncogenic process. The abnormal activation of Flt3 kinase activity also has ramifications in myelodysplastic syndromes making it a target for therapeutic intervention with drugs such as anti-FLT3 inhibitors in the treatment regime.

Product protocols

For this product, it's our understanding that no specific protocols are required. You can visit:

Target data

Tyrosine-protein kinase that acts as a cell-surface receptor for the cytokine FLT3LG and regulates differentiation, proliferation and survival of hematopoietic progenitor cells and of dendritic cells. Promotes phosphorylation of SHC1 and AKT1, and activation of the downstream effector MTOR. Promotes activation of RAS signaling and phosphorylation of downstream kinases, including MAPK1/ERK2 and/or MAPK3/ERK1. Promotes phosphorylation of FES, FER, PTPN6/SHP, PTPN11/SHP-2, PLCG1, and STAT5A and/or STAT5B. Activation of wild-type FLT3 causes only marginal activation of STAT5A or STAT5B. Mutations that cause constitutive kinase activity promote cell proliferation and resistance to apoptosis via the activation of multiple signaling pathways.
See full target information FLT3

Product promise

We are committed to supporting your work with high-quality reagents, and we're here for you every step of the way. In the unlikely event that one of our products does not perform as expected, you're protected by our Product Promise.
For full details, please see our Terms & Conditions

Please note: All products are 'FOR RESEARCH USE ONLY. NOT FOR USE IN DIAGNOSTIC OR THERAPEUTIC PROCEDURES'.

For licensing inquiries, please contact partnerships@abcam.com