JavaScript is disabled in your browser. Please enable JavaScript to view this website.
AB171975

Anti-Flt3 / CD135 (phospho Y589) antibody [EPR2311(2)]

Be the first to review this product! Submit a review

|

(2 Publications)

Rabbit Recombinant Monoclonal Flt3 / CD135 phospho Y589 antibody. Suitable for WB and reacts with Human samples. Cited in 2 publications.

View Alternative Names

CD135, FLK2, STK1, FLT3, Receptor-type tyrosine-protein kinase FLT3, FL cytokine receptor, Fetal liver kinase-2, Fms-like tyrosine kinase 3, Stem cell tyrosine kinase 1, FLK-2, FLT-3, STK-1

2 Images
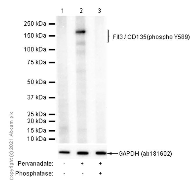
Western blot - Anti-Flt3 / CD135 (phospho Y589) antibody [EPR2311(2)] (AB171975)
  • WB

Unknown

Western blot - Anti-Flt3 / CD135 (phospho Y589) antibody [EPR2311(2)] (AB171975)

The molecular weight observed is consistent with literature (PMID : 12406902, PMID : 28895560).

This blot was developed using a higher sensitive ECL substrate.

Blocking/Diluting buffer : 5% NFDM/TBST.

All lanes:

Western blot - Anti-Flt3 / CD135 (phospho Y589) antibody [EPR2311(2)] (ab171975) at 1/1000 dilution

Lane 1:

Untreated A431 (Human epidermoid carcinoma epithelial cell) whole cell lysate at 15 µg

Lane 2:

A431 was starved overnight then treated with 50mM Pervanadate for 5 minutes whole cell lysate at 15 µg

Lane 3:

A431 was starved overnight then treated with 50mM Pervanadate for 5 minutes, then the membrane treated with Alkaline Phosphatase for 1 hour at 15 µg

Secondary

All lanes:

Western blot - Goat Anti-Rabbit IgG H&L (HRP) (<a href='/en-us/products/secondary-antibodies/goat-rabbit-igg-h-l-hrp-ab97051'>ab97051</a>) at 1/100000 dilution

Predicted band size: 112 kDa

Observed band size: 130 kDa,160 kDa

false

Exposure time: 100s

Western blot - Anti-Flt3 / CD135 (phospho Y589) antibody [EPR2311(2)] (AB171975)
  • WB

Unknown

Western blot - Anti-Flt3 / CD135 (phospho Y589) antibody [EPR2311(2)] (AB171975)

All lanes:

Western blot - Anti-Flt3 / CD135 (phospho Y589) antibody [EPR2311(2)] (ab171975) at 1/1000 dilution

Lane 1:

A431 cell lysate - untreated at 10 µg

Lane 2:

A431 cell lysate - treated with pervanadate at 10 µg

false

  • Carrier free

    Anti-Flt3 / CD135 (phospho Y589) antibody [EPR2311(2)] - BSA and Azide free

Key facts

Host species

Rabbit

Clonality

Monoclonal

Clone number

EPR2311(2)

Isotype

IgG

Carrier free

No

Reacts with

Human

Applications

WB

applications

Immunogen

The exact immunogen used to generate this antibody is proprietary information.

Reactivity data

{ "title": "Reactivity Data", "filters": { "stats": ["", "Species", "Dilution Info", "Notes"], "tabs": { "all-applications": {"fullname" : "All Applications", "shortname": "All Applications"}, "IP" : {"fullname" : "Immunoprecipitation", "shortname":"IP"}, "FlowCyt" : {"fullname" : "Flow Cytometry", "shortname":"Flow Cyt"}, "WB" : {"fullname" : "Western blot", "shortname":"WB"}, "IHCP" : {"fullname" : "Immunohistochemistry (Formalin/PFA-fixed paraffin-embedded sections)", "shortname":"IHC-P"} }, "product-promise": { "all": "all", "testedAndGuaranteed": "tested", "guaranteed": "expected", "predicted": "predicted", "notRecommended": "not-recommended" } }, "values": { "Human": { "IP-species-checked": "notRecommended", "IP-species-dilution-info": "", "IP-species-notes": "<p></p>", "FlowCyt-species-checked": "notRecommended", "FlowCyt-species-dilution-info": "", "FlowCyt-species-notes": "<p></p>", "WB-species-checked": "testedAndGuaranteed", "WB-species-dilution-info": "1/1000 - 1/5000", "WB-species-notes": "<p></p>", "IHCP-species-checked": "notRecommended", "IHCP-species-dilution-info": "", "IHCP-species-notes": "<p></p>" }, "Mouse": { "IP-species-checked": "notRecommended", "IP-species-dilution-info": "", "IP-species-notes": "<p></p>", "FlowCyt-species-checked": "notRecommended", "FlowCyt-species-dilution-info": "", "FlowCyt-species-notes": "<p></p>", "WB-species-checked": "notRecommended", "WB-species-dilution-info": "1/1000 - 1/5000", "WB-species-notes": "<p></p>", "IHCP-species-checked": "notRecommended", "IHCP-species-dilution-info": "", "IHCP-species-notes": "<p></p>" }, "Rat": { "IP-species-checked": "notRecommended", "IP-species-dilution-info": "", "IP-species-notes": "<p></p>", "FlowCyt-species-checked": "notRecommended", "FlowCyt-species-dilution-info": "", "FlowCyt-species-notes": "<p></p>", "WB-species-checked": "notRecommended", "WB-species-dilution-info": "1/1000 - 1/5000", "WB-species-notes": "<p></p>", "IHCP-species-checked": "notRecommended", "IHCP-species-dilution-info": "", "IHCP-species-notes": "<p></p>" } } }

Product details

Patented technology
Our RabMAb® technology is a patented hybridoma-based technology for making rabbit monoclonal antibodies. For details on our patents, please refer to RabMAb® patents.

What are the advantages of a recombinant monoclonal antibody?
This product is a recombinant monoclonal antibody, which offers several advantages including:

  • - High batch-to-batch consistency and reproducibility
  • - Improved sensitivity and specificity
  • - Long-term security of supply
  • - Animal-free batch production

For more information, read more on recombinant antibodies.

Properties and storage information

Form
Liquid
Purification technique
Affinity purification Protein A
Storage buffer
pH: 7.2 - 7.4 Preservative: 0.01% Sodium azide Constituents: PBS, 50% Tissue culture supernatant, 40% Glycerol (glycerin, glycerine), 0.05% BSA
Shipped at conditions
Blue Ice
Appropriate short-term storage duration
1-2 weeks
Appropriate short-term storage conditions
+4°C
Appropriate long-term storage conditions
-20°C
Aliquoting information
Upon delivery aliquot
Storage information
Avoid freeze / thaw cycle

Supplementary information

This supplementary information is collated from multiple sources and compiled automatically.

Flt3 also known as CD135 or FLT3 tyrosine kinase is a receptor tyrosine kinase that belongs to the class III receptor tyrosine kinase family. It has a molecular weight of approximately 160 kDa. This protein plays an important role in the development of hematopoietic stem and progenitor cells. Flt3 is expressed mainly in early progenitor cells within the bone marrow. Additionally it is present in some populations of mature cells in the peripheral blood and lymphoid organs.
Biological function summary

Flt3 functions as a receptor that is activated by binding to its ligand FLT3 ligand (FLT3L). This interaction stimulates the associated tyrosine kinase activity leading to auto-phosphorylation of Flt3 and subsequent downstream signaling. Flt3 does not form a heterocomplex rather it dimerizes upon ligand binding to initiate signaling cascades. These cascades promote cell proliferation differentiation and survival particularly impacting hematopoiesis and immune responses.

Pathways

Flt3 signaling impacts the internal signaling networks involving the MAPK/ERK and PI3K/AKT pathways both central to cell cycle regulation and apoptosis. Flt3 interacts functionally with proteins such as SHP2 and GRB2 in these pathways aiding signal transduction. The Flt3 receptor also shares functional motifs with KIT and PDGF receptors indicating shared regulatory mechanisms involved in cellular proliferation.

Flt3 mutations especially internal tandem duplications in Flt3/ITD are significant in acute myeloid leukemia (AML) leading to abnormal cell growth and survival. These mutations often co-occur with other genetic anomalies such as NPM1 mutations contributing to the oncogenic process. The abnormal activation of Flt3 kinase activity also has ramifications in myelodysplastic syndromes making it a target for therapeutic intervention with drugs such as anti-FLT3 inhibitors in the treatment regime.

Product protocols

For this product, it's our understanding that no specific protocols are required. You can visit:

Target data

Tyrosine-protein kinase that acts as a cell-surface receptor for the cytokine FLT3LG and regulates differentiation, proliferation and survival of hematopoietic progenitor cells and of dendritic cells. Promotes phosphorylation of SHC1 and AKT1, and activation of the downstream effector MTOR. Promotes activation of RAS signaling and phosphorylation of downstream kinases, including MAPK1/ERK2 and/or MAPK3/ERK1. Promotes phosphorylation of FES, FER, PTPN6/SHP, PTPN11/SHP-2, PLCG1, and STAT5A and/or STAT5B. Activation of wild-type FLT3 causes only marginal activation of STAT5A or STAT5B. Mutations that cause constitutive kinase activity promote cell proliferation and resistance to apoptosis via the activation of multiple signaling pathways.
See full target information FLT3 phospho Y589

Publications (2)

Recent publications for all applications. Explore the full list and refine your search

Frontiers in pharmacology 16:1511257 PubMed39963240

2025

Discovery of novel and highly potent small molecule inhibitors targeting FLT3-ITD for the treatment of acute myeloid leukemia using structure-based virtual screening and biological evaluation.

Applications

Unspecified application

Species

Unspecified reactive species

Kun Shi,Ye Hong,Huajing Liu,Xiaotian Yang,Fengzhen Wang,Yanming Zhang

Molecular cancer therapeutics 14:2238-48 PubMed26208525

2015

Antitumor Activity and Acquired Resistance Mechanism of Dovitinib (TKI258) in RET-Rearranged Lung Adenocarcinoma.

Applications

Unspecified application

Species

Unspecified reactive species

Chan Woo Kang,Kang Won Jang,Jinyoung Sohn,Sung-Moo Kim,Kyoung-Ho Pyo,Hwan Kim,Mi Ran Yun,Han Na Kang,Hye Ryun Kim,Sun Min Lim,Yong Wha Moon,Soonmyung Paik,Dae Joon Kim,Joo Hang Kim,Byoung Chul Cho
View all publications

Product promise

We are committed to supporting your work with high-quality reagents, and we're here for you every step of the way. In the unlikely event that one of our products does not perform as expected, you're protected by our Product Promise.
For full details, please see our Terms & Conditions

Please note: All products are 'FOR RESEARCH USE ONLY. NOT FOR USE IN DIAGNOSTIC OR THERAPEUTIC PROCEDURES'.

For licensing inquiries, please contact partnerships@abcam.com