JavaScript is disabled in your browser. Please enable JavaScript to view this website.
AB52648

Anti-Flt3 ligand/Flt3L antibody [EP1140Y]

4

(3 Reviews)

|

(10 Publications)

Rabbit Recombinant Monoclonal Flt3 ligand/Flt3L antibody. Suitable for IHC-P, WB, ICC/IF, Flow Cyt (Intra) and reacts with Human samples. Cited in 10 publications.

View Alternative Names

Fms-related tyrosine kinase 3 ligand, Flt3 ligand, Flt3L, SL cytokine, FLT3LG

4 Images
Immunocytochemistry/ Immunofluorescence - Anti-Flt3 ligand/Flt3L antibody [EP1140Y] (AB52648)
  • ICC/IF

Unknown

Immunocytochemistry/ Immunofluorescence - Anti-Flt3 ligand/Flt3L antibody [EP1140Y] (AB52648)

Immunocytochemistry/ Immunofluorescence analysis of MCF7 (Human breast adenocarcinoma epithelial cell) cells labeling Flt3 ligand/Flt3L with Purified ab52648 at 1 : 100 dilution. Cells were fixed in 100% Methanol and permeabilized with None. ab150077 Goat anti rabbit IgG(Alexa Fluor ® 488) was used as the secondary antibody at 1 : 1000 dilution. DAPI nuclear counterstain. PBS instead of the primary antibody was used as the secondary antibody only control.

Flow Cytometry (Intracellular) - Anti-Flt3 ligand/Flt3L antibody [EP1140Y] (AB52648)
  • Flow Cyt (Intra)

Unknown

Flow Cytometry (Intracellular) - Anti-Flt3 ligand/Flt3L antibody [EP1140Y] (AB52648)

Intracellular flow cytometric analysis of 4% paraformaldehyde fixed 90% methanol permeabilized HeLa (Human cervix adenocarcinoma epithelial cell) cells labelling Flt3 ligand/Flt3L with ab52648 at 1/20 dilution (1μg) (Red) compared with a Rabbit monoclonal IgG (ab172730) / (Black) isotype control and an unlabelled control (cells without incubation with primary antibody and secondary antibody) (Blue). A Goat anti rabbit IgG (Alexa Fluor® 488, ab150077) at 1/2000 dilution was used as the secondary antibody.

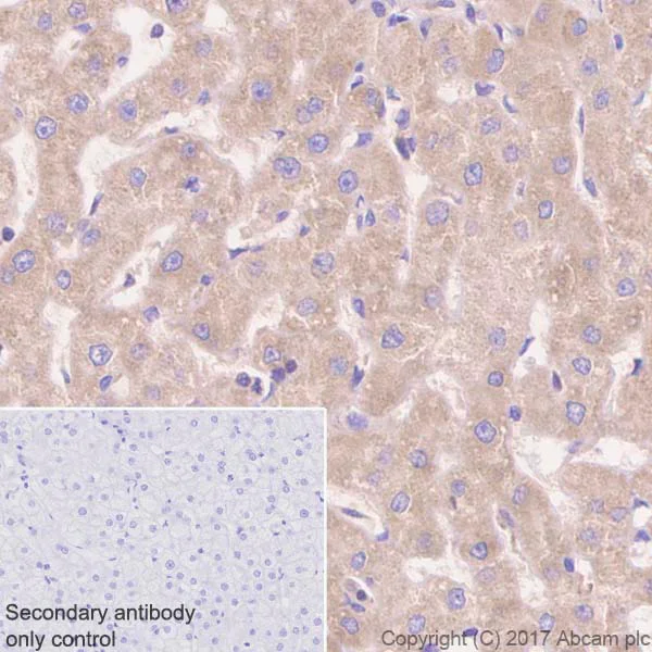
Immunohistochemistry (Formalin/PFA-fixed paraffin-embedded sections) - Anti-Flt3 ligand/Flt3L antibody [EP1140Y] (AB52648)
  • IHC-P

Supplier Data

Immunohistochemistry (Formalin/PFA-fixed paraffin-embedded sections) - Anti-Flt3 ligand/Flt3L antibody [EP1140Y] (AB52648)

Immunohistochemistry (Formalin/PFA-fixed paraffin-embedded sections) analysis of human liver tissue sections labeling Flt3 ligand with purified ab52648 at 1 : 180 dilution (2.9 μg/ml). ab93684 (Tris/EDTA buffer, pH 9.0). ImmunoHistoProbe one step HRP Polymer (ready to use) was used for detection. Negative control : PBS instead of the primary antibody. Hematoxylin was used as a counterstain.

Perform heat mediated antigen retrieval before commencing with IHC staining protocol.

Western blot - Anti-Flt3 ligand/Flt3L antibody [EP1140Y] (AB52648)
  • WB

Lab

Western blot - Anti-Flt3 ligand/Flt3L antibody [EP1140Y] (AB52648)

Blocking and diluting buffer : 5% NFDM/TBST.

All lanes:

Western blot - Anti-Flt3 ligand/Flt3L antibody [EP1140Y] (ab52648) at 1/100000 dilution

All lanes:

Human Flt3 ligand/Flt3L (aa 1 to 235) recombinant protein, 15ng

Secondary

All lanes:

Western blot - Goat Anti-Rabbit IgG H&L (HRP) (<a href='/en-us/products/secondary-antibodies/goat-rabbit-igg-h-l-hrp-ab97051'>ab97051</a>) at 1/100000 dilution

Predicted band size: 26 kDa

false

  • Carrier free

    Anti-Flt3 ligand/Flt3L antibody [EP1140Y] - BSA and Azide free

Key facts

Host species

Rabbit

Clonality

Monoclonal

Clone number

EP1140Y

Isotype

IgG

Carrier free

No

Reacts with

Human

Applications

WB, ICC/IF, Flow Cyt (Intra), IHC-P

applications

Immunogen

The exact immunogen used to generate this antibody is proprietary information.

Specificity

The antibody has been tested against recombinant protein in western blotting, we do not have data regarding recognition of endogenous protein. We suggest K562 and HL-60 cells could be expressing Flt3 ligand/Flt3L. The antibody was raised against the extracellular domain of the protein, however please note permeabilisation in FACS greatly improves the signal.

Reactivity data

{ "title": "Reactivity Data", "filters": { "stats": ["", "Species", "Dilution Info", "Notes"], "tabs": { "all-applications": {"fullname" : "All Applications", "shortname": "All Applications"}, "IHCP" : {"fullname" : "Immunohistochemistry (Formalin/PFA-fixed paraffin-embedded sections)", "shortname":"IHC-P"}, "WB" : {"fullname" : "Western blot", "shortname":"WB"}, "ICCIF" : {"fullname" : "Immunocytochemistry/ Immunofluorescence", "shortname":"ICC/IF"}, "FlowCytIntra" : {"fullname" : "Flow Cytometry (Intracellular)", "shortname":"Flow Cyt (Intra)"} }, "product-promise": { "all": "all", "testedAndGuaranteed": "tested", "guaranteed": "expected", "predicted": "predicted", "notRecommended": "not-recommended" } }, "values": { "Human": { "IHCP-species-checked": "testedAndGuaranteed", "IHCP-species-dilution-info": "1/180", "IHCP-species-notes": "<p></p>", "WB-species-checked": "testedAndGuaranteed", "WB-species-dilution-info": "1/100000", "WB-species-notes": "<p></p>", "ICCIF-species-checked": "testedAndGuaranteed", "ICCIF-species-dilution-info": "1/100 - 1/250", "ICCIF-species-notes": "<p></p>", "FlowCytIntra-species-checked": "testedAndGuaranteed", "FlowCytIntra-species-dilution-info": "1/50", "FlowCytIntra-species-notes": "<p><a href='/en-us/products/primary-antibodies/rabbit-igg-monoclonal-epr25a-isotype-control-ab172730'>ab172730</a> - Rabbit monoclonal IgG, is suitable for use as an isotype control with this antibody.</p>" }, "Rhesus monkey": { "IHCP-species-checked": "predicted", "IHCP-species-dilution-info": "", "IHCP-species-notes": "", "WB-species-checked": "predicted", "WB-species-dilution-info": "", "WB-species-notes": "", "ICCIF-species-checked": "predicted", "ICCIF-species-dilution-info": "", "ICCIF-species-notes": "", "FlowCytIntra-species-checked": "predicted", "FlowCytIntra-species-dilution-info": "", "FlowCytIntra-species-notes": "" } } }

Product details

Species reactivity
Mouse, Rat: We have preliminary internal testing data to indicate this antibody may not react with these species.
Please contact us for more information.

Patented technology
Our RabMAb® technology is a patented hybridoma-based technology for making rabbit monoclonal antibodies. For details on our patents, please refer to RabMAb® patents.

What are the advantages of a recombinant monoclonal antibody?
This product is a recombinant monoclonal antibody, which offers several advantages including:

  • - High batch-to-batch consistency and reproducibility
  • - Improved sensitivity and specificity
  • - Long-term security of supply
  • - Animal-free batch production

For more information, read more on recombinant antibodies.

Properties and storage information

Form
Liquid
Purification technique
Affinity purification Protein A
Storage buffer
pH: 7.2 - 7.4 Preservative: 0.01% Sodium azide Constituents: PBS, 40% Glycerol (glycerin, glycerine), 0.05% BSA
Shipped at conditions
Blue Ice
Appropriate short-term storage duration
1-2 weeks
Appropriate short-term storage conditions
+4°C
Appropriate long-term storage conditions
-20°C
Aliquoting information
Upon delivery aliquot
Storage information
Avoid freeze / thaw cycle

Supplementary information

This supplementary information is collated from multiple sources and compiled automatically.

The Flt3 ligand (Flt3L) also known as Flt3-L Flt3 ligand protein or flt-3 ligand protein is a small cytokine with a molecular mass of approximately 18 to 19 kDa. It acts as a growth factor by binding to the Flt3 receptor tyrosine kinase on the surface of hematopoietic progenitor cells. Flt3L is expressed in various tissues including the bone marrow where it plays a significant role in hematopoiesis. It is critical in dendritic cell and B cell development impacting the immune response mechanism.
Biological function summary

The Flt3 ligand plays an essential role in the immune system. It is a monomeric cytokine that induces proliferation of early lineage cells within the hematopoietic system. Flt3L does not function as part of a complex but acts independently to stimulate the proliferation differentiation and survival of hematopoietic cells. By interacting directly with its receptor it significantly influences the innate and adaptive immune systems through the maturation of dendritic and B cells.

Pathways

The Flt3 ligand is involved in hematopoietic signaling pathways primarily the PI3K-Akt signaling pathway. This pathway is essential for cell survival and growth where Flt3L aids in transmitting growth signals necessary for hematopoietic cells. Flt3L also interacts with proteins such as FLT3 receptor and influences the downstream signaling cascade affecting cell fate decisions in hematopoiesis and immune cell maturation.

Flt3 ligand is connected to leukemia particularly acute myeloid leukemia (AML) due to dysregulation of the FLT3 signaling pathway. Mutations in the FLT3 receptor can lead to uncontrolled cell proliferation contributing to tumorigenesis. Additionally Flt3L plays a role in autoimmune disorders by influencing immune cell development. It is closely connected with the FLT3 receptor and other tyrosine kinases which when mutated can exacerbate disease pathology through abnormal cell signaling and proliferation.

Product protocols

For this product, it's our understanding that no specific protocols are required. You can visit:

Target data

Stimulates the proliferation of early hematopoietic cells by activating FLT3. Synergizes well with a number of other colony stimulating factors and interleukins.
See full target information FLT3LG

Publications (10)

Recent publications for all applications. Explore the full list and refine your search

Molecular medicine (Cambridge, Mass.) 31:37 PubMed39901071

2025

Conventional type 1 dendritic cells in the lymph nodes aggravate neuroinflammation after spinal cord injury by promoting CD8 T cell expansion.

Applications

Unspecified application

Species

Unspecified reactive species

Li-Qing Wang,Xiao-Yi Wang,Yue-Hui Ma,Heng-Jun Zhou

Biomaterials research 29:0130 PubMed39780958

2025

Intratumoral Injection of Engineered Induces Antitumor Immunity and Inhibits Tumor Growth.

Applications

Unspecified application

Species

Unspecified reactive species

Hang Zhou,Junmeng Zhu,Yi Mei,Aoxing Chen,Rui Liu,Xiaonan Wang,Xiangyu Wu,Xiaotong Chen,Baorui Liu

Cell 187:2817-2837.e31 PubMed38701783

2024

FLT3L governs the development of partially overlapping hematopoietic lineages in humans and mice.

Applications

Unspecified application

Species

Unspecified reactive species

Mana Momenilandi,Romain Lévy,Steicy Sobrino,Jingwei Li,Chantal Lagresle-Peyrou,Hossein Esmaeilzadeh,Antoine Fayand,Corentin Le Floc'h,Antoine Guérin,Erika Della Mina,Debra Shearer,Ottavia M Delmonte,Ahmad Yatim,Kevin Mulder,Mathieu Mancini,Darawan Rinchai,Adeline Denis,Anna-Lena Neehus,Karla Balogh,Sarah Brendle,Hassan Rokni-Zadeh,Majid Changi-Ashtiani,Yoann Seeleuthner,Caroline Deswarte,Boris Bessot,Cassandre Cremades,Marie Materna,Axel Cederholm,Masato Ogishi,Quentin Philippot,Omer Beganovic,Mania Ackermann,Margareta Wuyts,Taushif Khan,Sébastien Fouéré,Florian Herms,Johan Chanal,Boaz Palterer,Julie Bruneau,Thierry J Molina,Stéphanie Leclerc-Mercier,Jean-Luc Prétet,Leila Youssefian,Hassan Vahidnezhad,Nima Parvaneh,Kristl G Claeys,Rik Schrijvers,Marine Luka,Philippe Pérot,Jacques Fourgeaud,Céline Nourrisson,Philippe Poirier,Emmanuelle Jouanguy,Stéphanie Boisson-Dupuis,Jacinta Bustamante,Luigi D Notarangelo,Neil Christensen,Nils Landegren,Laurent Abel,Nico Marr,Emmanuelle Six,David Langlais,Tim Waterboer,Florent Ginhoux,Cindy S Ma,Stuart G Tangye,Isabelle Meyts,Nico Lachmann,Jiafen Hu,Mohammad Shahrooei,Xavier Bossuyt,Jean-Laurent Casanova,Vivien Béziat

Frontiers in oncology 12:974573 PubMed36110967

2022

Combined treatment of marizomib and cisplatin modulates cervical cancer growth and invasion and enhances antitumor potential and .

Applications

Unspecified application

Species

Unspecified reactive species

Ziruizhuo Zhang,Songcheng Zhang,Bingjie Lin,Qixin Wang,Xiaojing Nie,Yonghua Shi

Cancer cell 39:999-1014.e8 PubMed34171263

2021

The AML microenvironment catalyzes a stepwise evolution to gilteritinib resistance.

Applications

Unspecified application

Species

Unspecified reactive species

Sunil K Joshi,Tamilla Nechiporuk,Daniel Bottomly,Paul D Piehowski,Julie A Reisz,Janét Pittsenbarger,Andy Kaempf,Sara J C Gosline,Yi-Ting Wang,Joshua R Hansen,Marina A Gritsenko,Chelsea Hutchinson,Karl K Weitz,Jamie Moon,Francesca Cendali,Thomas L Fillmore,Chia-Feng Tsai,Athena A Schepmoes,Tujin Shi,Osama A Arshad,Jason E McDermott,Ozgun Babur,Kevin Watanabe-Smith,Emek Demir,Angelo D'Alessandro,Tao Liu,Cristina E Tognon,Jeffrey W Tyner,Shannon K McWeeney,Karin D Rodland,Brian J Druker,Elie Traer

Frontiers in oncology 11:649980 PubMed34178637

2021

MAPK-RAP1A Signaling Enriched in Hepatocellular Carcinoma Is Associated With Favorable Tumor-Infiltrating Immune Cells and Clinical Prognosis.

Applications

Unspecified application

Species

Unspecified reactive species

Hailin Li,Guangyu Han,Xing Li,Bowen Li,Bo Wu,Hongyuan Jin,Lingli Wu,Wei Wang

Nature communications 10:2498 PubMed31175312

2019

Mesenchymal stem cell therapy induces FLT3L and CD1c dendritic cells in systemic lupus erythematosus patients.

Applications

Unspecified application

Species

Unspecified reactive species

Xinran Yuan,Xiaodong Qin,Dandan Wang,Zhuoya Zhang,Xiaojun Tang,Xiang Gao,Wanjun Chen,Lingyun Sun

Cancer research 76:6471-6482 PubMed27671675

2016

FGF2 from Marrow Microenvironment Promotes Resistance to FLT3 Inhibitors in Acute Myeloid Leukemia.

Applications

Unspecified application

Species

Unspecified reactive species

Elie Traer,Jacqueline Martinez,Nathalie Javidi-Sharifi,Anupriya Agarwal,Jennifer Dunlap,Isabel English,Tibor Kovacsovics,Jeffrey W Tyner,Melissa Wong,Brian J Druker

Laboratory investigation; a journal of technical m 92:1398-406 PubMed22906984

2012

VEGF, FLT3 ligand, PlGF and HGF can substitute for M-CSF to induce human osteoclast formation: implications for giant cell tumour pathobiology.

Applications

Unspecified application

Species

Unspecified reactive species

Richard M Taylor,Takeshi G Kashima,Helen J Knowles,Nicholas A Athanasou

Arthritis and rheumatism 62:3447-56 PubMed20556820

2010

The Fms-like tyrosine kinase 3 ligand, a mediator of B cell survival, is also a marker of lymphoma in primary Sjögren's syndrome.

Applications

IF

Species

Human

Gabriel J Tobón,Yves Renaudineau,Sophie Hillion,Divi Cornec,Valérie Devauchelle-Pensec,Pierre Youinou,Jacques-Olivier Pers
View all publications

Product promise

We are committed to supporting your work with high-quality reagents, and we're here for you every step of the way. In the unlikely event that one of our products does not perform as expected, you're protected by our Product Promise.
For full details, please see our Terms & Conditions

Please note: All products are 'FOR RESEARCH USE ONLY. NOT FOR USE IN DIAGNOSTIC OR THERAPEUTIC PROCEDURES'.

For licensing inquiries, please contact partnerships@abcam.com