JavaScript is disabled in your browser. Please enable JavaScript to view this website.
AB232487

Anti-Flt3 ligand/Flt3L antibody [EP1140Y] - BSA and Azide free

Be the first to review this product! Submit a review

|

(1 Publication)

Rabbit Recombinant Monoclonal Flt3 ligand/Flt3L antibody. Carrier free. Suitable for IHC-P, WB, ICC/IF, Flow Cyt (Intra) and reacts with Human, Recombinant full length protein - Human samples. Cited in 1 publication.

View Alternative Names

Fms-related tyrosine kinase 3 ligand, Flt3 ligand, Flt3L, SL cytokine, FLT3LG

4 Images
Immunocytochemistry/ Immunofluorescence - Anti-Flt3 ligand/Flt3L antibody [EP1140Y] - BSA and Azide free (AB232487)
  • ICC/IF

Unknown

Immunocytochemistry/ Immunofluorescence - Anti-Flt3 ligand/Flt3L antibody [EP1140Y] - BSA and Azide free (AB232487)

This data was developed using ab52648, the same antibody clone in a different buffer formulation.

Immunocytochemistry/ Immunofluorescence analysis of MCF7 (Human breast adenocarcinoma epithelial cell) cells labeling Flt3 ligand/Flt3L with Purified ab52648 at 1 : 100 dilution. Cells were fixed in 100% Methanol and permeabilized with None. ab150077 Goat anti rabbit IgG(Alexa Fluor ® 488) was used as the secondary antibody at 1 : 1000 dilution. DAPI nuclear counterstain. PBS instead of the primary antibody was used as the secondary antibody only control.

Flow Cytometry (Intracellular) - Anti-Flt3 ligand/Flt3L antibody [EP1140Y] - BSA and Azide free (AB232487)
  • Flow Cyt (Intra)

Unknown

Flow Cytometry (Intracellular) - Anti-Flt3 ligand/Flt3L antibody [EP1140Y] - BSA and Azide free (AB232487)

This data was developed using ab52648, the same antibody clone in a different buffer formulation.

Intracellular Flow Cytometry analysis of HeLa (Human cervix adenocarcinoma epithelial cell) cells labeling Flt3 ligand/Flt3L with purified ab52648 at 1/50 dilution. Cells were fixed with 4% Paraformaldehyde. A Goat anti rabbit IgG (Alexa Fluor® 488) secondary antibody was used at 1/2000 dilution. Isotype control - Rabbit monoclonal IgG (Black). Unlabeled control - Cell without incubation with primary antibody and secondary antibody (Blue).

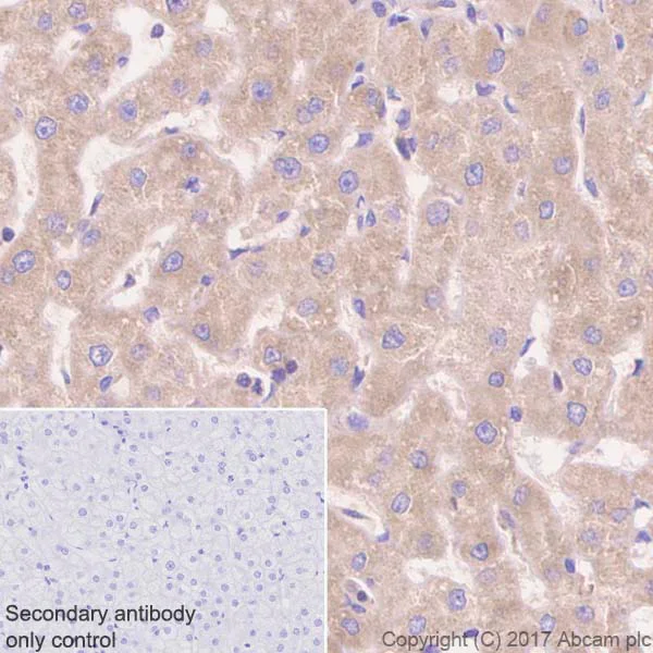
Immunohistochemistry (Formalin/PFA-fixed paraffin-embedded sections) - Anti-Flt3 ligand/Flt3L antibody [EP1140Y] - BSA and Azide free (AB232487)
  • IHC-P

Supplier Data

Immunohistochemistry (Formalin/PFA-fixed paraffin-embedded sections) - Anti-Flt3 ligand/Flt3L antibody [EP1140Y] - BSA and Azide free (AB232487)

This data was developed using ab52648, the same antibody clone in a different buffer formulation.

Immunohistochemistry (Formalin/PFA-fixed paraffin-embedded sections) analysis of human liver tissue sections labeling Flt3 ligand/Flt3L with Purified ab52648 at 1 : 180 dilution. Heat mediated antigen retrieval was performed using ab93684 (Tris/EDTA buffer, pH 9.0). Tissue was counterstained with Hematoxylin. ImmunoHistoProbe one step HRP Polymer (ready to use) secondary antibody was used at 1 : 0 dilution. PBS instead of the primary antibody was used as the negative control.

Western blot - Anti-Flt3 ligand/Flt3L antibody [EP1140Y] - BSA and Azide free (AB232487)
  • WB

Lab

Western blot - Anti-Flt3 ligand/Flt3L antibody [EP1140Y] - BSA and Azide free (AB232487)

This data was developed using ab52648, the same antibody clone in a different buffer formulation.

Blocking and diluting buffer : 5% NFDM/TBST.

All lanes:

Western blot - Anti-Flt3 ligand/Flt3L antibody [EP1140Y] - BSA and Azide free (ab232487) at 1/100000 dilution

All lanes:

Human Flt3 ligand/Flt3L (aa 1 to 235) recombinant protein, 15 ng

Secondary

All lanes:

Western blot - Goat Anti-Rabbit IgG H&L (HRP) (<a href='/en-us/products/secondary-antibodies/goat-rabbit-igg-h-l-hrp-ab97051'>ab97051</a>) at 1/100000 dilution

Predicted band size: 26 kDa

false

Key facts

Host species

Rabbit

Clonality

Monoclonal

Clone number

EP1140Y

Isotype

IgG

Carrier free

Yes

Reacts with

Human

Applications

WB, ICC/IF, Flow Cyt (Intra), IHC-P

applications

Immunogen

The exact immunogen used to generate this antibody is proprietary information.

Specificity

The antibody has been tested against recombinant protein in western blotting, we do not have data regarding recognition of endogenous protein. We suggest K562 and HL-60 cells could be expressing Flt3 ligand/Flt3L. The antibody was raised against the extracellular domain of the protein, however please note permeabilisation in FACS greatly improves the signal.

Reactivity data

{ "title": "Reactivity Data", "filters": { "stats": ["", "Species", "Dilution Info", "Notes"], "tabs": { "all-applications": {"fullname" : "All Applications", "shortname": "All Applications"}, "IHCP" : {"fullname" : "Immunohistochemistry (Formalin/PFA-fixed paraffin-embedded sections)", "shortname":"IHC-P"}, "WB" : {"fullname" : "Western blot", "shortname":"WB"}, "ICCIF" : {"fullname" : "Immunocytochemistry/ Immunofluorescence", "shortname":"ICC/IF"}, "FlowCytIntra" : {"fullname" : "Flow Cytometry (Intracellular)", "shortname":"Flow Cyt (Intra)"} }, "product-promise": { "all": "all", "testedAndGuaranteed": "tested", "guaranteed": "expected", "predicted": "predicted", "notRecommended": "not-recommended" } }, "values": { "Human": { "IHCP-species-checked": "testedAndGuaranteed", "IHCP-species-dilution-info": "", "IHCP-species-notes": "<p></p>", "WB-species-checked": "guaranteed", "WB-species-dilution-info": "", "WB-species-notes": "", "ICCIF-species-checked": "testedAndGuaranteed", "ICCIF-species-dilution-info": "", "ICCIF-species-notes": "<p></p>", "FlowCytIntra-species-checked": "testedAndGuaranteed", "FlowCytIntra-species-dilution-info": "", "FlowCytIntra-species-notes": "<p><a href='/en-us/products/primary-antibodies/rabbit-igg-monoclonal-epr25a-isotype-control-low-endotoxin-azide-free-ab199376'>ab199376</a>-Rabbit monoclonal IgG (Low endotoxin, Azide free), is suitable for use as an isotype control with this antibody.</p>" }, "Recombinant full length protein - Human": { "IHCP-species-checked": "notRecommended", "IHCP-species-dilution-info": "", "IHCP-species-notes": "", "WB-species-checked": "testedAndGuaranteed", "WB-species-dilution-info": "", "WB-species-notes": "<p></p>", "ICCIF-species-checked": "notRecommended", "ICCIF-species-dilution-info": "", "ICCIF-species-notes": "", "FlowCytIntra-species-checked": "notRecommended", "FlowCytIntra-species-dilution-info": "", "FlowCytIntra-species-notes": "" } } }

Product details

ab232487 is the carrier-free version of ab52648.

Patented technology
Our RabMAb® technology is a patented hybridoma-based technology for making rabbit monoclonal antibodies. For details on our patents, please refer to RabMAb® patents.

What are the advantages of a recombinant monoclonal antibody?
This product is a recombinant monoclonal antibody, which offers several advantages including:

  • - High batch-to-batch consistency and reproducibility
  • - Improved sensitivity and specificity
  • - Long-term security of supply
  • - Animal-free batch production

For more information, read more on recombinant antibodies.

Conjugation ready
Our carrier-free antibodies are typically supplied in a PBS-only formulation, purified and free of BSA, sodium azide and glycerol. This conjugation-ready format is designed for use with fluorochromes, metal isotopes, oligonucleotides, and enzymes, which makes them ideal for antibody labelling, functional and cell-based assays, flow-based assays (e.g. mass cytometry) and Multiplex Imaging applications.

Use our conjugation kits for antibody conjugates that are ready-to-use in as little as 20 minutes with 1 minute hands-on-time and 100% antibody recovery: available for fluorescent dyes, HRP, biotin and gold.

Compatibility
This product is compatible with the Maxpar® Antibody Labeling Kit from Fluidigm, without the need for antibody preparation. Maxpar® is a trademark of Fluidigm Canada Inc.

Properties and storage information

Form
Liquid
Purification technique
Affinity purification Protein A
Storage buffer
pH: 7.2 - 7.4 Constituents: PBS
Shipped at conditions
Blue Ice
Appropriate short-term storage conditions
+4°C
Appropriate long-term storage conditions
+4°C
Storage information
Do Not Freeze

Supplementary information

This supplementary information is collated from multiple sources and compiled automatically.

The Flt3 ligand (Flt3L) also known as Flt3-L Flt3 ligand protein or flt-3 ligand protein is a small cytokine with a molecular mass of approximately 18 to 19 kDa. It acts as a growth factor by binding to the Flt3 receptor tyrosine kinase on the surface of hematopoietic progenitor cells. Flt3L is expressed in various tissues including the bone marrow where it plays a significant role in hematopoiesis. It is critical in dendritic cell and B cell development impacting the immune response mechanism.
Biological function summary

The Flt3 ligand plays an essential role in the immune system. It is a monomeric cytokine that induces proliferation of early lineage cells within the hematopoietic system. Flt3L does not function as part of a complex but acts independently to stimulate the proliferation differentiation and survival of hematopoietic cells. By interacting directly with its receptor it significantly influences the innate and adaptive immune systems through the maturation of dendritic and B cells.

Pathways

The Flt3 ligand is involved in hematopoietic signaling pathways primarily the PI3K-Akt signaling pathway. This pathway is essential for cell survival and growth where Flt3L aids in transmitting growth signals necessary for hematopoietic cells. Flt3L also interacts with proteins such as FLT3 receptor and influences the downstream signaling cascade affecting cell fate decisions in hematopoiesis and immune cell maturation.

Flt3 ligand is connected to leukemia particularly acute myeloid leukemia (AML) due to dysregulation of the FLT3 signaling pathway. Mutations in the FLT3 receptor can lead to uncontrolled cell proliferation contributing to tumorigenesis. Additionally Flt3L plays a role in autoimmune disorders by influencing immune cell development. It is closely connected with the FLT3 receptor and other tyrosine kinases which when mutated can exacerbate disease pathology through abnormal cell signaling and proliferation.

Product protocols

For this product, it's our understanding that no specific protocols are required. You can visit:

Target data

Stimulates the proliferation of early hematopoietic cells by activating FLT3. Synergizes well with a number of other colony stimulating factors and interleukins.
See full target information FLT3LG

Publications (1)

Recent publications for all applications. Explore the full list and refine your search

Molecular medicine reports 19:4863-4871 PubMed31059064

2019

Caffeic acid phenethyl ester attenuates nuclear factor‑κB‑mediated inflammatory responses in Müller cells and protects against retinal ganglion cell death.

Applications

Unspecified application

Species

Unspecified reactive species

Yanwen Jia,Shengqun Jiang,Chen Chen,Guohua Lu,Yang Xie,Xincheng Sun,Liqin Huang
View all publications

Product promise

We are committed to supporting your work with high-quality reagents, and we're here for you every step of the way. In the unlikely event that one of our products does not perform as expected, you're protected by our Product Promise.
For full details, please see our Terms & Conditions

Please note: All products are 'FOR RESEARCH USE ONLY. NOT FOR USE IN DIAGNOSTIC OR THERAPEUTIC PROCEDURES'.

For licensing inquiries, please contact partnerships@abcam.com