JavaScript is disabled in your browser. Please enable JavaScript to view this website.
AB315216

Anti-Flt3 ligand/Flt3L antibody [EPR24899-137]

Be the first to review this product! Submit a review

|

(0 Publication)

Rabbit Recombinant Monoclonal Flt3 ligand/Flt3L antibody. Suitable for WB and reacts with Mouse, Rat samples.

View Alternative Names

Flt3l, Flt3lg, Fms-related tyrosine kinase 3 ligand, Flt3 ligand, Flt3L, SL cytokine

4 Images
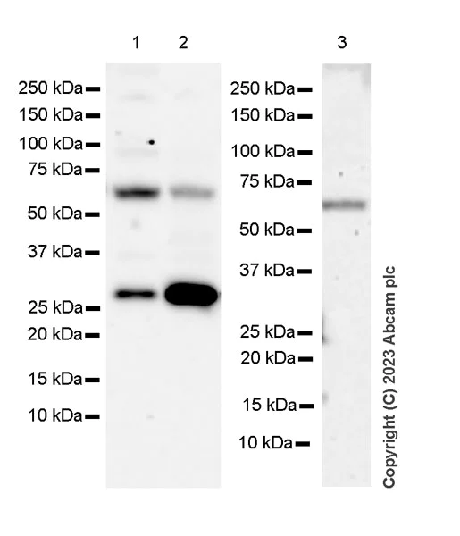
Western blot - Anti-Flt3 ligand/Flt3L antibody [EPR24899-137] (AB315216)
  • WB

Supplier Data

Western blot - Anti-Flt3 ligand/Flt3L antibody [EPR24899-137] (AB315216)

Blocking and diluting buffer and concentration : 5% NFDM/TBST.

Samples are non-boiled as boiling may cause protein aggregation.

34-kDa Flt3L monomer, 65-kDa Flt3L dimers are observed. The molecular weight observed is consistent with what has been described in the literature (PMID : 8896402).

Exposure time : Lane 1, 2 : 69 seconds Lane 3 : 147 seconds

All lanes:

Western blot - Anti-Flt3 ligand/Flt3L antibody [EPR24899-137] (ab315216) at 1/1000 dilution

Lane 1:

Mouse thymus tissue lysate at 20 µg

Lane 2:

Mouse spleen tissue lysate at 20 µg

Lane 3:

C2C12 (mouse myoblasts myoblast) whole cell lysate at 20 µg

Secondary

All lanes:

Western blot - Goat Anti-Rabbit IgG H&L (HRP) (<a href='/en-us/products/secondary-antibodies/goat-rabbit-igg-h-l-hrp-ab97051'>ab97051</a>) at 1/100000 dilution

Observed band size: 34 kDa,65 kDa

false

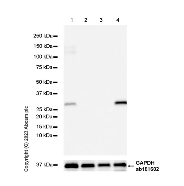
Western blot - Anti-Flt3 ligand/Flt3L antibody [EPR24899-137] (AB315216)
  • WB

Supplier Data

Western blot - Anti-Flt3 ligand/Flt3L antibody [EPR24899-137] (AB315216)

Blocking and diluting buffer and concentration : 5% NFDM/TBST.

Low expression : brain, testis, liver(PMID : 8145851).

Samples are non-boiled as boiling may cause protein aggregation.

In Western blot, Anti-GAPDH antibody [EPR16891] - Loading Control (ab181602) staining at 1/200000 dilution.

All lanes:

Western blot - Anti-Flt3 ligand/Flt3L antibody [EPR24899-137] (ab315216) at 1/1000 dilution

Lane 1:

Mouse brain tissue lysate at 20 µg

Lane 2:

Mouse liver tissue lysate at 20 µg

Lane 3:

Mouse testis tissue lysate at 20 µg

Lane 4:

Mouse spleen tissue lysate at 20 µg

Secondary

All lanes:

Western blot - Goat Anti-Rabbit IgG H&L (HRP) (<a href='/en-us/products/secondary-antibodies/goat-rabbit-igg-h-l-hrp-ab97051'>ab97051</a>) at 1/100000 dilution

Observed band size: 34 kDa,36 kDa

false

Exposure time: 5s

Western blot - Anti-Flt3 ligand/Flt3L antibody [EPR24899-137] (AB315216)
  • WB

Supplier Data

Western blot - Anti-Flt3 ligand/Flt3L antibody [EPR24899-137] (AB315216)

Blocking and diluting buffer and concentration : 5% NFDM/TBST.

Low expression : brain, testis, liver(PMID : 8145851).

Samples are non-boiled as boiling may cause protein aggregation.

In Western blot, Anti-GAPDH antibody [EPR16891] - Loading Control (ab181602) staining at 1/200000 dilution.

All lanes:

Western blot - Anti-Flt3 ligand/Flt3L antibody [EPR24899-137] (ab315216) at 1/1000 dilution

Lane 1:

Rat brain tissue lysate at 20 µg

Lane 2:

Rat liver tissue lysate at 20 µg

Lane 3:

Rat testis tissue lysate at 20 µg

Lane 4:

Rat spleen tissue lysate at 20 µg

Secondary

All lanes:

Western blot - Goat Anti-Rabbit IgG H&L (HRP) (<a href='/en-us/products/secondary-antibodies/goat-rabbit-igg-h-l-hrp-ab97051'>ab97051</a>) at 1/100000 dilution

Observed band size: 34 kDa,36 kDa

false

Exposure time: 7s

Western blot - Anti-Flt3 ligand/Flt3L antibody [EPR24899-137] (AB315216)
  • WB

Supplier Data

Western blot - Anti-Flt3 ligand/Flt3L antibody [EPR24899-137] (AB315216)

Blocking and diluting buffer and concentration : 5% NFDM/TBST.

Low expression : heart(PMID : 8145851)

Samples are non-boiled as boiling may cause protein aggregation.

In Western blot, Anti-GAPDH antibody [EPR16891] - Loading Control (ab181602) staining at 1/200000 dilution.

All lanes:

Western blot - Anti-Flt3 ligand/Flt3L antibody [EPR24899-137] (ab315216) at 1/1000 dilution

Lane 1:

Mouse lung tissue lysate at 20 µg

Lane 2:

Mouse heart tissue lysate at 20 µg

Secondary

All lanes:

Western blot - Goat Anti-Rabbit IgG H&L (HRP) (<a href='/en-us/products/secondary-antibodies/goat-rabbit-igg-h-l-hrp-ab97051'>ab97051</a>) at 1/100000 dilution

Observed band size: 34 kDa,36 kDa

false

Exposure time: 15s

  • Carrier free

    Anti-Flt3 ligand/Flt3L antibody [EPR24899-137] - BSA and Azide free

Key facts

Host species

Rabbit

Clonality

Monoclonal

Clone number

EPR24899-137

Isotype

IgG

Carrier free

No

Reacts with

Mouse, Rat

Applications

WB

applications

Immunogen

The exact immunogen used to generate this antibody is proprietary information.

Reactivity data

{ "title": "Reactivity Data", "filters": { "stats": ["", "Species", "Dilution Info", "Notes"], "tabs": { "all-applications": {"fullname" : "All Applications", "shortname": "All Applications"}, "WB" : {"fullname" : "Western blot", "shortname":"WB"}, "IHCP" : {"fullname" : "Immunohistochemistry (Formalin/PFA-fixed paraffin-embedded sections)", "shortname":"IHC-P"}, "FlowCytIntra" : {"fullname" : "Flow Cytometry (Intracellular)", "shortname":"Flow Cyt (Intra)"}, "IP" : {"fullname" : "Immunoprecipitation", "shortname":"IP"} }, "product-promise": { "all": "all", "testedAndGuaranteed": "tested", "guaranteed": "expected", "predicted": "predicted", "notRecommended": "not-recommended" } }, "values": { "Human": { "WB-species-checked": "notRecommended", "WB-species-dilution-info": "", "WB-species-notes": "<p></p>", "IHCP-species-checked": "notRecommended", "IHCP-species-dilution-info": "", "IHCP-species-notes": "<p></p>", "FlowCytIntra-species-checked": "notRecommended", "FlowCytIntra-species-dilution-info": "", "FlowCytIntra-species-notes": "", "IP-species-checked": "notRecommended", "IP-species-dilution-info": "", "IP-species-notes": "" }, "Mouse": { "WB-species-checked": "testedAndGuaranteed", "WB-species-dilution-info": "1/1000", "WB-species-notes": "<p></p>", "IHCP-species-checked": "notRecommended", "IHCP-species-dilution-info": "", "IHCP-species-notes": "<p></p>", "FlowCytIntra-species-checked": "notRecommended", "FlowCytIntra-species-dilution-info": "", "FlowCytIntra-species-notes": "<p></p>", "IP-species-checked": "notRecommended", "IP-species-dilution-info": "", "IP-species-notes": "<p></p>" }, "Rat": { "WB-species-checked": "testedAndGuaranteed", "WB-species-dilution-info": "1/1000", "WB-species-notes": "<p></p>", "IHCP-species-checked": "notRecommended", "IHCP-species-dilution-info": "", "IHCP-species-notes": "<p></p>", "FlowCytIntra-species-checked": "notRecommended", "FlowCytIntra-species-dilution-info": "", "FlowCytIntra-species-notes": "", "IP-species-checked": "notRecommended", "IP-species-dilution-info": "", "IP-species-notes": "" } } }

Product details

Patented technology
Our RabMAb® technology is a patented hybridoma-based technology for making rabbit monoclonal antibodies. For details on our patents, please refer to RabMAb® patents.

What are the advantages of a recombinant monoclonal antibody?
This product is a recombinant monoclonal antibody, which offers several advantages including:

  • - High batch-to-batch consistency and reproducibility
  • - Improved sensitivity and specificity
  • - Long-term security of supply
  • - Animal-free batch production

For more information, read more on recombinant antibodies.

Properties and storage information

Form
Liquid
Purification technique
Affinity purification Protein A
Storage buffer
pH: 7.2 - 7.4 Preservative: 0.01% Sodium azide Constituents: PBS, 40% Glycerol (glycerin, glycerine), 0.05% BSA
Shipped at conditions
Blue Ice
Appropriate short-term storage duration
1-2 weeks
Appropriate short-term storage conditions
+4°C
Appropriate long-term storage conditions
-20°C
Aliquoting information
Upon delivery aliquot
Storage information
Avoid freeze / thaw cycle

Supplementary information

This supplementary information is collated from multiple sources and compiled automatically.

The Flt3 ligand (Flt3L) also known as Flt3-L Flt3 ligand protein or flt-3 ligand protein is a small cytokine with a molecular mass of approximately 18 to 19 kDa. It acts as a growth factor by binding to the Flt3 receptor tyrosine kinase on the surface of hematopoietic progenitor cells. Flt3L is expressed in various tissues including the bone marrow where it plays a significant role in hematopoiesis. It is critical in dendritic cell and B cell development impacting the immune response mechanism.
Biological function summary

The Flt3 ligand plays an essential role in the immune system. It is a monomeric cytokine that induces proliferation of early lineage cells within the hematopoietic system. Flt3L does not function as part of a complex but acts independently to stimulate the proliferation differentiation and survival of hematopoietic cells. By interacting directly with its receptor it significantly influences the innate and adaptive immune systems through the maturation of dendritic and B cells.

Pathways

The Flt3 ligand is involved in hematopoietic signaling pathways primarily the PI3K-Akt signaling pathway. This pathway is essential for cell survival and growth where Flt3L aids in transmitting growth signals necessary for hematopoietic cells. Flt3L also interacts with proteins such as FLT3 receptor and influences the downstream signaling cascade affecting cell fate decisions in hematopoiesis and immune cell maturation.

Flt3 ligand is connected to leukemia particularly acute myeloid leukemia (AML) due to dysregulation of the FLT3 signaling pathway. Mutations in the FLT3 receptor can lead to uncontrolled cell proliferation contributing to tumorigenesis. Additionally Flt3L plays a role in autoimmune disorders by influencing immune cell development. It is closely connected with the FLT3 receptor and other tyrosine kinases which when mutated can exacerbate disease pathology through abnormal cell signaling and proliferation.

Product protocols

For this product, it's our understanding that no specific protocols are required. You can visit:

Target data

Stimulates the proliferation of early hematopoietic cells by activating FLT3. Synergizes well with a number of other colony stimulating factors and interleukins.
See full target information Flt3lg

Product promise

We are committed to supporting your work with high-quality reagents, and we're here for you every step of the way. In the unlikely event that one of our products does not perform as expected, you're protected by our Product Promise.
For full details, please see our Terms & Conditions

Please note: All products are 'FOR RESEARCH USE ONLY. NOT FOR USE IN DIAGNOSTIC OR THERAPEUTIC PROCEDURES'.

For licensing inquiries, please contact partnerships@abcam.com