JavaScript is disabled in your browser. Please enable JavaScript to view this website.
AB72105

Anti-FMNL2 antibody

Be the first to review this product! Submit a review

|

(5 Publications)

Rabbit Polyclonal FMNL2 antibody. Suitable for WB, IHC-P and reacts with Mouse, Human samples. Cited in 5 publications. Immunogen corresponding to Synthetic Peptide within Human FMNL2.

View Alternative Names

FHOD2, KIAA1902, FMNL2, Formin-like protein 2, Formin homology 2 domain-containing protein 2

3 Images
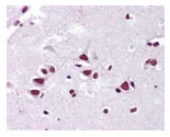
Immunohistochemistry (Formalin/PFA-fixed paraffin-embedded sections) - Anti-FMNL2 antibody (AB72105)
  • IHC-P

Unknown

Immunohistochemistry (Formalin/PFA-fixed paraffin-embedded sections) - Anti-FMNL2 antibody (AB72105)

Immunohistochemical analysis of FMNL2 expression in paraffin embedded human brain cortical tissue using ab72105 at 10ug/ml.

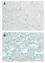
Immunohistochemistry (Formalin/PFA-fixed paraffin-embedded sections) - Anti-FMNL2 antibody (AB72105)
  • IHC-P

Unknown

Immunohistochemistry (Formalin/PFA-fixed paraffin-embedded sections) - Anti-FMNL2 antibody (AB72105)

Immunohistochemical analysis of FMNL2 expression in paraffin embedded normal human brain tissue using ab72105 at 6 ug/ml (figure A) and a control rabbit Ig (figure B).

Western blot - Anti-FMNL2 antibody (AB72105)
  • WB

Unknown

Western blot - Anti-FMNL2 antibody (AB72105)

All lanes:

Western blot - Anti-FMNL2 antibody (ab72105) at 2 µg/mL

Lane 1:

mouse embryo body tissue lysate

Lane 2:

mouse embryo body tissue lysate with immunizing peptide

Predicted band size: 123 kDa

Observed band size: 123 kDa,40 kDa

false

Key facts

Host species

Rabbit

Clonality

Polyclonal

Isotype

IgG

Carrier free

No

Reacts with

Mouse, Human

Applications

WB, IHC-P

applications

Immunogen

Synthetic Peptide within Human FMNL2. The exact immunogen used to generate this antibody is proprietary information.

Q96PY5

Reactivity data

{ "title": "Reactivity Data", "filters": { "stats": ["", "Species", "Dilution Info", "Notes"], "tabs": { "all-applications": {"fullname" : "All Applications", "shortname": "All Applications"}, "WB" : {"fullname" : "Western blot", "shortname":"WB"}, "IHCP" : {"fullname" : "Immunohistochemistry (Formalin/PFA-fixed paraffin-embedded sections)", "shortname":"IHC-P"} }, "product-promise": { "all": "all", "testedAndGuaranteed": "tested", "guaranteed": "expected", "predicted": "predicted", "notRecommended": "not-recommended" } }, "values": { "Human": { "WB-species-checked": "guaranteed", "WB-species-dilution-info": "", "WB-species-notes": "", "IHCP-species-checked": "testedAndGuaranteed", "IHCP-species-dilution-info": "5-10 µg/mL", "IHCP-species-notes": "<p></p>" }, "Mouse": { "WB-species-checked": "testedAndGuaranteed", "WB-species-dilution-info": "1-3 µg/mL", "WB-species-notes": "<p></p>", "IHCP-species-checked": "guaranteed", "IHCP-species-dilution-info": "", "IHCP-species-notes": "" } } }

Properties and storage information

Form
Liquid
Purification technique
Affinity purification Protein G
Storage buffer
pH: 7.4 Preservative: 0.05% Sodium azide Constituents: PBS, 0.05% BSA
Shipped at conditions
Blue Ice
Appropriate short-term storage duration
1-2 weeks
Appropriate short-term storage conditions
+4°C
Appropriate long-term storage conditions
-20°C
Storage information
Avoid freeze / thaw cycle

Product protocols

For this product, it's our understanding that no specific protocols are required. You can visit:

Target data

Plays a role in the regulation of cell morphology and cytoskeletal organization. Required in the cortical actin filament dynamics.
See full target information FMNL2

Publications (5)

Recent publications for all applications. Explore the full list and refine your search

iScience 28:112205 PubMed40212590

2025

FMNL2/SRC-mediated androgen receptor translocation into the nucleus promotes enzalutamide resistance of prostate cancer.

Applications

Unspecified application

Species

Unspecified reactive species

Jianpeng Yu,Yukui Gao,Mingpeng Zhang,Yue Gao,Chun Wang,Yuanjie Niu,Zhiqun Shang

Oncology 100:475-484 PubMed35772391

2022

Formin-Like 2 Is a Potential Biomarker of Poor Prognosis in Nasopharyngeal Carcinoma.

Applications

Unspecified application

Species

Unspecified reactive species

Sung-Wei Lee,Ching-Chieh Yang,Hong-Yue Lai,Hsin-Hwa Tsai,Cheng-Fa Yeh,Yu-Hsuan Kuo,Nai-Wen Kang,Tzu-Ju Chen,Shih-Lun Chang

International journal of clinical and experimental pathology 13:1655-1661 PubMed32782685

2020

Expression of Formin-like 2 and cortactin in gallbladder adenocarcinoma and their clinical significance.

Applications

Unspecified application

Species

Unspecified reactive species

Jiannan Guo,Yue Zhang,Xu Mao,Zenong Cheng,Shiwu Wu,Shoufan Wu,Lei Zhou

Molecular biology of the cell 27:1246-61 PubMed26912794

2016

Mechanical confinement triggers glioma linear migration dependent on formin FHOD3.

Applications

Unspecified application

Species

Rat

Pascale Monzo,Yuk Kien Chong,Charlotte Guetta-Terrier,Anitha Krishnasamy,Sharvari R Sathe,Evelyn K F Yim,Wai Hoe Ng,Beng Ti Ang,Carol Tang,Benoit Ladoux,Nils C Gauthier,Michael P Sheetz

Journal of cell science 129:298-313 PubMed26621033

2015

The formins FHOD1 and INF2 regulate inter- and intra-structural contractility of podosomes.

Applications

WB

Species

Human

Linda Panzer,Leona Trübe,Matthias Klose,Ben Joosten,Johan Slotman,Alessandra Cambi,Stefan Linder
View all publications

Product promise

We are committed to supporting your work with high-quality reagents, and we're here for you every step of the way. In the unlikely event that one of our products does not perform as expected, you're protected by our Product Promise.
For full details, please see our Terms & Conditions

Please note: All products are 'FOR RESEARCH USE ONLY. NOT FOR USE IN DIAGNOSTIC OR THERAPEUTIC PROCEDURES'.

For licensing inquiries, please contact partnerships@abcam.com